Cookie Consent byPrivacyPolicies.comun cas qui m'embête - Eugenol

un cas qui m'embête

INTACA

10/05/2010 à 21h16

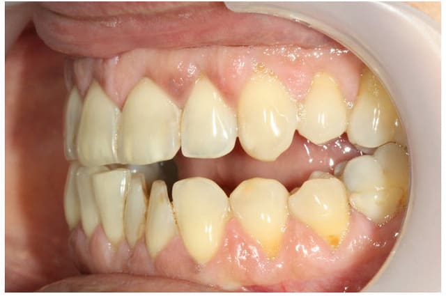
patiente adulte, ne veut pas de chir, 24 extraite à l'adolescence. Avez vous déjà traité un tel cas? Peut on fermer la beance sans chir avec ext de 34? ET le pb de langue? HELP


RépondreCiter
belette

11/05/2010 à 11h07

Je t'aide : mais t'enlèves les autres hein ?

^ ... ^
Ô"""Ô
= o = mais compte pas sur moi pour la béance, :-)

Face jyyeri - Eugenol
Profil vc8esq - Eugenol
Dent face dlgujq - Eugenol
Dent profil slf9gf - Eugenol

INTACA

11/05/2010 à 11h36

Merci :)


1 p3qrc4 - Eugenol
Bjc.

11/05/2010 à 18h37

la demande de la patiente est esthétique ou fonctionnelle?

@+ Bjc.


INTACA

11/05/2010 à 19h55

Plutôt fonctionnelle, elle décrit des tensions musculaires et une gêne à la mastication.