Tous les forums
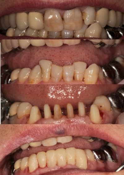
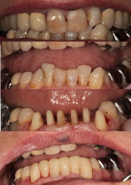
petit travail du matin
20/05/2010 à 14h20
pas osé faire des facettes, donc ceram pressées
taille empreinte et provisoires 2 heures.
la suite au prochain numero
--
xbk
20/05/2010 à 16h21
j'vais peut etre me faire lyncher, mais c'est pas un tantinet du surtraitement?
20/05/2010 à 16h58
C'est quoi l'indication,la motivation de départ s'il te plait?
Les incisives du haut,tu va les couronner aussi? Tu fais tout en HN ??
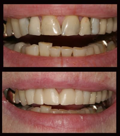
Les provisoires semblent deja pas mal au niveau esthétique..
Merci de partager la suite,on attend avec impatience
20/05/2010 à 17h02
Dentair'Eve écrivait:
---------------------
> j'vais peut etre me faire lyncher, mais c'est pas un tantinet du surtraitement?
non tu ne va pas te faire lyncher, ortho refusé et ne veux plus de ses dents.
j'ai hésiter pour les facettes mais pas osé car pas sur de la solidité dans ce cas.
après, de savoir si la patiente et le dentiste ont tord, chacun peux juger.
pour Monsieur Marc, faire le haut et le bas dans la mâtiné je ne me sentais pas.
--
xbk
20/05/2010 à 17h26
pxav écrivait:
faire le haut et le bas dans la mâtiné je ne me sentais pas.
> --
ahhhh, si vieillesse pouvait...
20/05/2010 à 17h29
pxav écrivait:
--------------
>faire le haut et le bas dans la mâtiné je ne me sentais pas.
feignasse!
;)))
20/05/2010 à 17h41
gandhi écrivait:
----------------
> C'est quoi l'indication,la motivation de départ s'il te plait?
motivation esthétique (surtout) et fonctionnelle
d'abord un petit wax up puis on se lance
HN
la suite plus tard
--
xbk
20/05/2010 à 17h44
et ça tient comment ?
c'est toujours la question que je me pose pour les facettes qui sont collées.
20/05/2010 à 18h07
D'accord, je comprend mieux!
; )
Du coup tu as gardé les dents vivantes?
Perso j'ai toujours peur d'avoir une pulpite sous couronne, surtout sur des incisives mandibulaire, mais tes tailles sont jolies, et les dents semblent suffisamment larges.
En tout cas merci de faire partager ton expérience.
20/05/2010 à 18h15
Marc Apap écrivait:
-------------------
> Le haut, ça ne lA gêne pas ?
Non ,rien qu'avec le bas , le mari est content ...
20/05/2010 à 18h31
Dentair'Eve écrivait:
---------------------
> Du coup tu as gardé les dents vivantes?
> Perso j'ai toujours peur d'avoir une pulpite sous couronne, surtout sur des
> incisives mandibulaire, mais tes tailles sont jolies, et les dents semblent
> suffisamment larges.
oui dents vivantes, c'est mieux, taille d'abord sur le modèle en plâtre pour que le prothésiste fasse le Wax up (je préfères tailler moi, ça me donne une séance d'entrainement)puis taille en bouche, traitement wmk pour la sensibilité, empreinte du wax up et provisoire avec du dentocrown A3 scellé provisoire
--
xbk
20/05/2010 à 18h35
pxav écrivait:
--------------
> traitement wmk pour la sensibilité,
Attention, la plupart des traitements anti sensibilité perturbent le collage, mieux vaut sceller avec un adhésif.
20/05/2010 à 19h02
J'ai fait ça hier. Automoulage, Rest Automix Prima comme résine et Seal Temp S pour le scellement provisoire (deux produits de chez Elsodent)
On ne le voit pas bien, mais c'était deux bridges collés remplaçant les latérales, et 6 dents de toutes les couleurs, dont centrales grises à cause du métal visible par transparence.
20/05/2010 à 19h30
Marc, avec les résines bisacryl c'est vrai que c'est super pour faire toute une bouche de provisoires en cinq minutes, par contre avec des éléments solidarisés comment fais-tu pour les desceller ? Avec la contraction, chez moi c'est pas possible, je suis obligé à chaque fois de tout découper...
Le Seal Temp S, j'ai eu de gros soucis, apparemment la résine n'est pas copine avec le sulfate ferrique que j'utilise pour mes empreintes, résultats ça percole à donf sous les provisoires et j'ai un patient qui s'est pointé avec une pulpite carabinée le jour de la pose !
20/05/2010 à 19h58
1/ Jamais eu de problème avec les résines que j'ai utilisé (et j'en ai testé pas mal). Le Rest automix prima et le Phoenix de chez Elsodent me donnent entière satisfaction (le Phoenix est plus agréable car il ne fait pas de film gras, mais le Rest est plus résistant pour les bridges longs).
2/ Je ne connais pas l'interaction avec le sulfate ferrique. J'en ai utilisé hier (Viscostat) mais j'ai bien rincé et je n'ai pas eu de problème.
A moins que tu n'utilises ce produit avant de faire la provisoire, je te conseille de faire la provisoire d'abord, puis de prendre l'empreinte ensuite.
Pendant la prise d'empreinte tu peux faire la finition de la résine (évidemment, s'il te faut tenir le PE en bouche, tu ne peux pas, d'où l'intérêt des empreintes en mordu pour les unitaires ou petites reconstructions.)
20/05/2010 à 21h10
Marc Apap écrivait:
-------------------
> J'ai fait ça hier. Automoulage, Rest Automix Prima comme résine et Seal Temp S
> pour le scellement provisoire (deux produits de chez Elsodent)
> On ne le voit pas bien, mais c'était deux bridges collés remplaçant les
> latérales, et 6 dents de toutes les couleurs, dont centrales grises à cause du
> métal visible par transparence.
que je suis déçu !
toi le spécialiste des présentations, essaye les photos bouche fermée, de toutes façon rien a voir sur les tiennes;
ce qui est important avec des provisoires, c'est la partie juxta gingival, le reste est sans intérêt.
et pour les postérieures tu ne fait rien?
:-)))
mdr
--
xbk
20/05/2010 à 21h17
pxav écrivait:
--------------
> Marc Apap écrivait:
> -------------------
> > J'ai fait ça hier. Automoulage, Rest Automix Prima comme résine et Seal Temp S
> > pour le scellement provisoire (deux produits de chez Elsodent)
> > On ne le voit pas bien, mais c'était deux bridges collés remplaçant les
> > latérales, et 6 dents de toutes les couleurs, dont centrales grises à cause du
> > métal visible par transparence.
>
> que je suis déçu !
> toi le spécialiste des présentations, essaye les photos bouche fermée, de toutes
> façon rien a voir sur les tiennes;
> ce qui est important avec des provisoires, c'est la partie juxta gingival, le
> reste est sans intérêt.
> et pour les postérieures tu ne fait rien?
> :-)))
> mdr
> --
> xbk
> Bien joué pxav, 1 partout balle au centre!
20/05/2010 à 21h46
J'ai posté parce que tu nous fais tout un fromage de ton truc et que je voulais te montrer que tu n'es pas le seul à bosser.
Maintenant, si c'est pour faire un concours de bites, ne compte pas sur moi.
20/05/2010 à 22h02
Marc Apap écrivait:
-------------------
> J'ai posté parce que tu nous fais tout un fromage de ton truc et que je voulais
> te montrer que tu n'es pas le seul à bosser.
> Maintenant, si c'est pour faire un concours de bites, ne compte pas sur moi.
comme d'ab tu ne comprends que ce que tu veux, tu critiques de façon acerbe, tous les posts, exceptionnellement avec humour (volontaire?) alors je t'en prie professeur accepte d'avoir un petit miroir qui te permets pour une fois de regarder, non pas ta bite mais un tout petit peu de ton coté suffisant.
En dehors de ça je ne fais pas un fromage de 6 ccc, je post simplement par ce que tout comme j'apprends en regardant les posts des autres, je suppose que si un ou deux confrères prends un tout petit peu de plaisir à regarder ça doit correspondre à l'esprit eugénol.
Excuse moi je te parle d'esprit c'est peut être de mauvais gout.
Et dans tous les cas, si tu post fais le comme il faut que diable tu va y arriver accroche toi Marc.
--
xbk
20/05/2010 à 22h42
"Et dans tous les cas, si tu post fais le comme il faut que diable tu va y arriver accroche toi Marc. "
Tu auras remarqué qu'il est extrêmement difficile de faire des images d'une qualité irréprochable. A part Ceramik et Olivier Noah... qui ne montrent que des choses impeccables, tous les autres essayent de se dépatouiller avec la vraie vie, et ce n'est qu'exceptionnellement reluisant.
De toutes façons, cela ne m'a jamais intéressé de montrer ici, que je peux arriver parfois à travailler correctement.
20/05/2010 à 22h48
Marc Apap écrivait:
-------------------
> Chacun utilise ce forum pour en faire ce qu'il veut. En ce qui me concerne, cela n'a jamais été pour montrer que réussis parfois à bien travailler.
moi y en a content, toi yen a français maintenant.
tu as du bol que Marc Apap n'est pas là, il nous demandes de toulours nous relire avant de poster, nous ne sommes pas des bouseux, mais des Docteurs, enfin quoi!!!!!!
t'es presque touchant de simplicité ce soir mon ami...
ça fais du bien de voir que toi aussi tu es NORMAL, cad simple.
--
xbk