Cookie Consent byPrivacyPolicies.comSURPRISES! Qu'est ce qu'il y a la dessous ? - Eugenol

SURPRISES! Qu'est ce qu'il y a la dessous ?

3f3boxni50k58rq7e9ce9ddqrxgk - Eugenol
dentiste57

25/05/2010 à 01h40

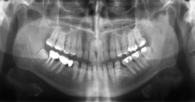
c'est quoi ces trucs ?

Dsc 6998 gm4fkz - Eugenol

Images 1 qtgoxf - Eugenol
ciwil

25/05/2010 à 02h13

exostoses ?


Smile beach jgh0a1 - Eugenol
Céramik

25/05/2010 à 02h16

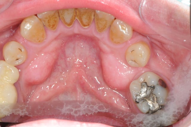
quoi, un miroir pas trop net ?
un vilain amalgame au mercure ?
du tartre ?
faut être plus précis...
;-)

--
Céramik


calou340

25/05/2010 à 02h25

Ce sont les tori mandibulaires...


Photo pluton1b h9n4ea - Eugenol
pluton

25/05/2010 à 09h17

apophyses géni hypertrophiées, dues à une traction musculaire importante des muscles abaisseurs...
j'en ai déjà vu plusieurs fois des comme çà...voir même encore plus volumineuses...


cyberquenottes

25/05/2010 à 09h51

moi celles que je préfère c'est celles en plusieurs boules successives bien moches et assymétriques

--
LA PETITION anti protocole MFP se trouve ICI :

http://tiny.cc/InhAX

!!!!!!! vous êtes 158 a avoir signé !!!!!!!

que vous signiez ou pas c'est mort de toutes façons

et bientôt on va faire un enterrement de 1ère classe
aux différents protocoles mutualistes

hé hé hé


Photo pluton1b h9n4ea - Eugenol
pluton

25/05/2010 à 13h24

cyberquenottes écrivait:
------------------------
> moi celles que je préfère c'est celles en plusieurs boules successives bien
> moches et assymétriques

ouaip...bien galère quand on veut faire une adjointe...çà blesse souvent sévère....


liné

25/05/2010 à 13h27

ou alors prémolaires inférieures incluses ? a priori tori mandibulaire
une radio ?
bonne journée


3f3boxni50k58rq7e9ce9ddqrxgk - Eugenol
dentiste57

25/05/2010 à 15h52

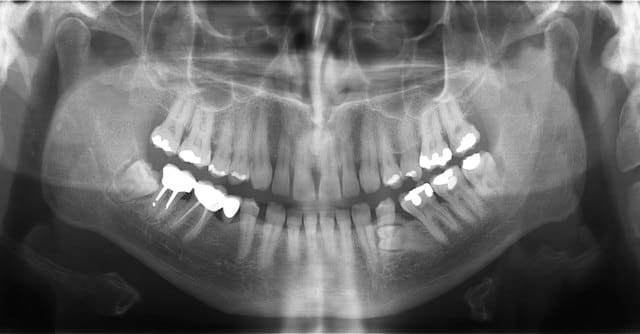
gagné !

ceux sont bien des tori mandibulaires, mais avec option dent incluse.

Sans titre 1 gopkyk - Eugenol

Img 3657 cwjvqm - Eugenol
alapex

25/05/2010 à 16h47

Au lieu de poser des devinettes , applique toi sur le détartrage ! En plus tu perds gros ! 28,92 € ...quand même !


3f3boxni50k58rq7e9ce9ddqrxgk - Eugenol
dentiste57

25/05/2010 à 20h00

tu rigoles, le protocole, c'est d'abord
-photos (hn)
-détartrage (28.92)
-aeropolissage (20 euros hn)
-réflexions intense le soir avec une binouz devant mon ordi...(ça, ça n'a pas de prix!)


Prod 1280 mscsgu - Eugenol
JohnJohn

25/05/2010 à 20h09

dentiste57 écrivait:
--------------------
> tu rigoles, le protocole, c'est d'abord
> -photos (hn)
> -détartrage (28.92)
> -aeropolissage (20 euros hn)
> -réflexions intense le soir avec une binouz devant mon ordi...(ça, ça n'a pas de
> prix!)


C'est beau la VitalCard !


3f3boxni50k58rq7e9ce9ddqrxgk - Eugenol
dentiste57

25/05/2010 à 21h49

mdr!


Canin

25/05/2010 à 22h35

Il en a une belle paire .... de torus, ton patient.

--
Canin