Tous les forums
Un joli (?) cas d'expansion pour René .....
31/05/2010 à 18h57
dentiste57 écrivait:
--------------------
> très bon ? !!
> Tu rigoles !!!
>
> c'était du D1 voir D0 si ça pouvait exister!
>
> j'ai presque détruit un foret sur cette !?;&§§$% d'os!
Fallait pas viser l'implant...
;-)
Sérieusement, c'était le bio-mat ? Le vital-os ?
Ça saignait ? ou bien juste du ciment ?
> Ps je l'ai eu samedi dernier en consultation, tout est ok.
Le samedi, c'est pas pour bosser...
--
Céramik
31/05/2010 à 19h45
Céramik écrivait:
-----------------
> Sérieusement, c'était le bio-mat ? Le vital-os ?
> Ça saignait ? ou bien juste du ciment ?
> --
> Céramik
alors paradoxalement, j'avais un peu les boules, car j'avais oublié le Vitalos, chez moi (la chir se passait chez D57)
donc nous n'avons mis que de la poudre de perlimpinpin.
par contre dans ce cas, la réussite est due au fait que Thomas a remis le bridge du patient en provisoire, en corrigeant les inters pour qu'ils protègent la zone expansée.
--
xbk
31/05/2010 à 23h23
merci Xavier pour les cas presentés
superbe
faut que je m'equipe pour essayer de faire certains cas plus simples
3 heures pour 2 implants , je ne peux pas encore
j'ai pas encore ton grand age o)))
je vais cogiter
31/05/2010 à 23h25
osteotenseur
j'ai pas lu la dessus
qui peux faire passer de la biblio SVP
et quel est le matos?
les formations?
31/05/2010 à 23h39
j'ai trouvé ça
http://www.implantoral.be/lectures/article-osteotenseur-pdf.pdf
de scortecci
qui a l'habitude ?
et les resultats?
31/05/2010 à 23h39
rene écrivait:
--------------
> osteotenseur
> qui peux faire passer de la biblio SVP
il faut que je la retrouve
--
xbk
31/05/2010 à 23h50
rene écrivait:
--------------
> merci Xavier pour les cas presentés
> superbe
> faut que je m'equipe pour essayer de faire certains cas plus simples
>
> 3 heures pour 2 implants , je ne peux pas encore
> j'ai pas encore ton grand age o)))
> je vais cogiter
3 heures pour 3 implants, stp
dans touts les cas, tu as vu en direct que le temps fait partie de l'expansion.
pour mon grd age, patiente ça t'arrivera:-)) p'ti con!
pour l'équipement, la série de photos c'est pour te montrer que n'importe quel outils peut avoir une fonction.
même le tatum D1 peux être remplacé par autre chose.
l'expansion c'est d'abord comprendre l'os.
après, c'est beaucoup de réflexion: comment le faire bouger et
aller là où tu veux.
si je peux je te ferais passer la suite tu verra ce que l'on peux faire avec un simple bistouri ou deux ou trois instruments
--
xbk
01/06/2010 à 01h31
Céramik écrivait:
-----------------
>
> Sérieusement, c'était le bio-mat ? Le vital-os ?
> Ça saignait ? ou bien juste du ciment ?
>
> Céramik
non, je ne pense pas du tout que c'était le bio mat, (xavier avait en plus oublié son vital os), mais le patient avait déjà à la base une corticale épaisse alors pas étonnant qu'il en ai refait.
en plus type dolicocéphale méditerranéen ...
pas le temps d'en dire plus, demain je vais à Strasbourg , alors au dodo.
01/06/2010 à 11h13
la suite:
ostéotome angulé
D1 utilisation normale
Inversion de sens du D1 pour avoir une action légère su la corticale palatine et "pousser" la paroi vestibulaire en bloc.
Bistouri
expansion burs (meissinger)
spreader (A,B..)
spreader et "déplacement à l'ostéotome plat de la portion distale de l'os vestibulaire
au dévissage, los vestibulaire s'enroule après le spreader, donc j'ai mis du sérum phy pour "lubrifier".
Cette partie osseuse "crenelée", est importante, il ne faut pas la rompre.
--
xbk
01/06/2010 à 16h12
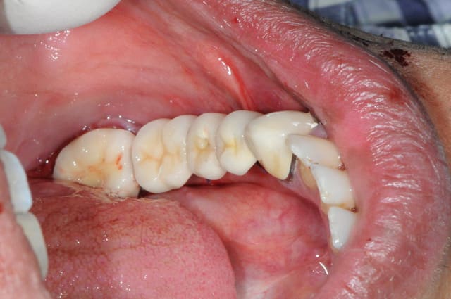
pxav,
Sur la photo 7, je trouves la table osseuse vestibulaire très mince et j'aurais peur de placer un implant sans greffer cette zone. Tu n'as pas de déhiscence osseuse ?
Merci
--
Céramik
Un simple planteur de vis
01/06/2010 à 16h40
Céramik écrivait:
-----------------
> pxav,
>
> Sur la photo 7, je trouves la table osseuse vestibulaire très mince et j'aurais
> peur de placer un implant sans greffer cette zone. Tu n'as pas de déhiscence
> osseuse ?
>
> Merci
>
>
> --
> Céramik
> Un simple planteur de vis
c'est tout l'objet de cette expansion, ne pas greffer et garder cette feuille d'os en l'état de se régénérer (une sorte d'auto-ROG en gros)
des que je peux je te montre la suite, c'est un cas que je trouve très sympa pour ça, peu d'os mais la qualité qui va bien pour ce type de restauration, beaucoup de patiente et un résultat conforme a ce que j'avais espérer, (rien de miraculeux, juste bien).
--
xbk
Un autre simple planteur de vis
01/06/2010 à 17h44
pxav écrivait:
--------------
>
> c'est tout l'objet de cette expansion, ne pas greffer et garder cette feuille
> d'os en l'état de se régénérer (une sorte d'auto-ROG en gros)
ta feuille d'os elle va se résorber.
01/06/2010 à 19h23
mac écrivait:
-------------
> ta feuille d'os elle va se résorber.
j'adore ton optimisme Mac.
le cas de Sallanches aussi était infaisable et ne pouvait être traité en expansion, bon c'est vrai il n'a que 8 implants pas de quoi en faire un plat.
Il est possible que ça se résorbe, mais je préfère voir la bouteille moitié pleine que moitié vide.
Mais si cela te donne des boutons de voir des trucs, simple, à la portée de n'importe quel praticien consciencieux et bien zappe mes posts, ils ne sont pas faits pour les seigneurs d'Eugénol mais pour le praticien lambda.
Dans le cas présent pour René, qui pratique son métier avec conscience et méthode.
Ps si la feuille d'os se résorbe, je saurais le dire.
--
xbk
01/06/2010 à 19h25
alhoun écrivait:
----------------
> et le simple planteur aura un simple plantage?
ça va mon saigneur?
--
xbk
01/06/2010 à 19h41
pxav écrivait:
--------------
> mac écrivait:
> -------------
> > ta feuille d'os elle va se résorber.
>
> j'adore ton optimisme Mac.
juste réaliste.
> le cas de Sallanches aussi était infaisable et ne pouvait être traité en
> expansion, bon c'est vrai il n'a que 8 implants pas de quoi en faire un plat.
tu es trop fort!
> Il est possible que ça se résorbe, mais je préfère voir la bouteille moitié
> pleine que moitié vide.
> Mais si cela te donne des boutons de voir des trucs, simple, à la portée de
> n'importe quel praticien consciencieux et bien zappe mes posts, ils ne sont pas
> faits pour les seigneurs d'Eugénol mais pour le praticien lambda.
je suis un praticien lambda et le problème c'est que le praticien lambda il va au casse pipe s'il suit tes conseils.
attention c'est bien beau de mettre un implant dans une feuille d'os, mais faut voir combien il va rester d'os dans 5 ans, et là bonjour les emmerdes.
01/06/2010 à 23h09
mac écrivait:
-------------
> je suis un praticien lambda et le problème c'est que le praticien lambda il va au casse pipe s'il suit tes conseils.
>
> attention c'est bien beau de mettre un implant dans une feuille d'os, mais faut voir combien il va rester d'os dans 5 ans, et là bonjour les emmerdes.
>
>
alors la bonne solution c'est de ne pas mettre d'implants?
j'ai des problèmes (je ne fais pas partie de ces bienheureux qui visent le 99% de réussites)mais mis à part de rares implantites mes seuls vraies gamelles arrivent dans les 5 semaines post pose.
Ceci étant, je trouve dommage le coté négatif que tu développe souvent à propos des cas que je post.
je ne te considère pas comme un praticien lambda, et si l'expansion n'est pas ton truc, n'en fais pas, fais ce que tu aimes et donc ce qui marche pour toi.
Désolé j'aurais du dire le praticien lambda qui croit en l'expansion.
--
xbk
02/06/2010 à 04h26
pxav écrivait:
--------------
>> c'est tout l'objet de cette expansion, ne pas greffer et garder cette feuille
> d'os en l'état de se régénérer (une sorte d'auto-ROG en gros)
> des que je peux je te montre la suite, c'est un cas que je trouve très sympa
> pour ça, peu d'os mais la qualité qui va bien pour ce type de restauration,
> beaucoup de patiente et un résultat conforme a ce que j'avais espérer, (rien de
> miraculeux, juste bien).
> --
> xbk
> Un autre simple planteur de vis
>
Merci.
J'aurais bien placé un peu de biomat, par plaisir !
J'aime bien avoir le plus d'os possible, mais j'aime bien aussi le concepte le l'expansion, avec quelque réserve sur mes capacités de gérer les cas limites. Et puis 3 heures, c'est vachement long...
A+
--
Céramik
02/06/2010 à 10h25
Céramik écrivait:
-----------------
> Merci.
>
> J'aurais bien placé un peu de biomat, par plaisir !
> J'aime bien avoir le plus d'os possible
>
> A+
>
> --
> Céramik
Je n'ai pas dis que c'était fini sur la dernière photo, je dois en être à 20 mn de travail....
la suite des que possible
--
xbk
02/06/2010 à 18h50
comment boucher l'espace de trois implants avec un seul!
tu aurais dû prendre 25 min sur ce coup.