Cookie Consent byPrivacyPolicies.comTraitement d’une Cl. III. - Eugenol

Traitement d’une Cl. III.

1 p3qrc4 - Eugenol
Bjc.

30/05/2010 à 15h15



DEPART

1 exdxj8 - Eugenol

1 p3qrc4 - Eugenol
Bjc.

30/05/2010 à 15h17

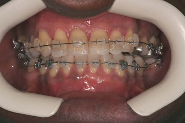
le patient peut se mettre en bout à bout incisif

2 qvgxxz - Eugenol

1 p3qrc4 - Eugenol
Bjc.

30/05/2010 à 15h26

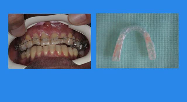
Pose d’un Q.H. à forces asymétriques

3 s1as6b - Eugenol

1 p3qrc4 - Eugenol
Bjc.

30/05/2010 à 15h28

associé a un arc Sup. 0.014 thermique et a une gouttière de surélévation

4 qnsxnr - Eugenol

1 p3qrc4 - Eugenol
Bjc.

30/05/2010 à 15h30

l’overjet se réduit (lentement)

5 ynbzmb - Eugenol

1 p3qrc4 - Eugenol
Bjc.

30/05/2010 à 15h31


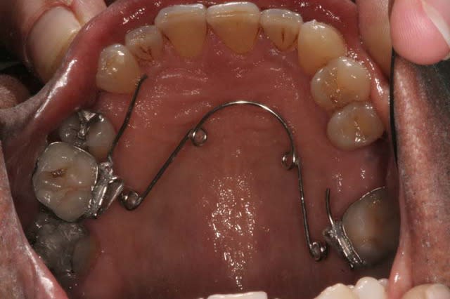
Je rajoute un Q.H. Crozat

6 qzips3 - Eugenol

1 p3qrc4 - Eugenol
Bjc.

30/05/2010 à 15h33


Et rallonge le bord libre des Inc. Sup.

7 ox3jxr - Eugenol

1 p3qrc4 - Eugenol
Bjc.

30/05/2010 à 15h38

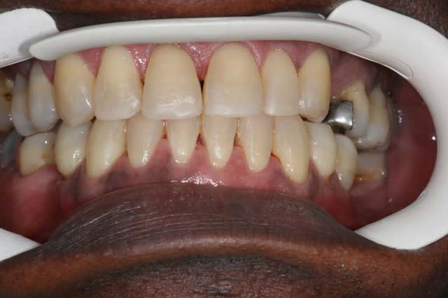
Je peux alors mettre un arc Inf.

8 uqmptf - Eugenol

1 p3qrc4 - Eugenol
Bjc.

30/05/2010 à 15h40

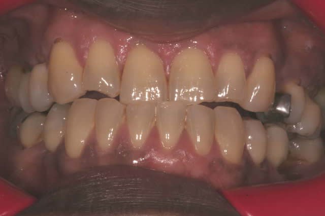
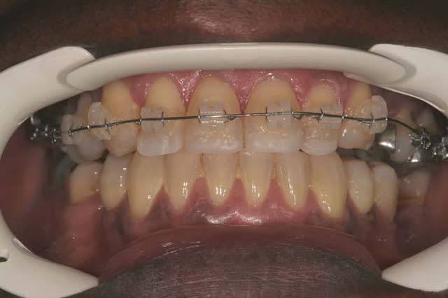
Cas terminé

@+ Bjc.

9 zusb4q - Eugenol
10 p0hjed - Eugenol

1 p3qrc4 - Eugenol
Bjc.

03/06/2010 à 16h38

rectification: voici son profil fin de TTT.,

@+ Bjc.

11 fuxu8e - Eugenol

orthoscp

08/04/2015 à 17h36

merci pour ce cas traité avec détails.