Cookie Consent byPrivacyPolicies.comUne chtit endo...suite a des reclamations. - Eugenol

Une chtit endo...suite a des reclamations.

vincent64

15/06/2010 à 17h40

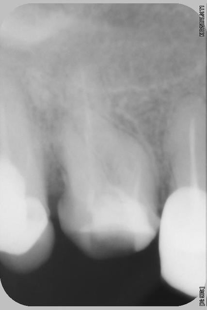
Patiente adressée, douleurs chronique sourde depuis 5 ans au niveau de la 16, ses differents dentistes depuis ne voulaient pas lui demonter la couronne en absence de signes radiologiques.(Ironie du sort je fais parti de ces differents dentistes puisque j'avais moi meme recue cette patiente en urgence en 2007!)
Apres quelques temps sur le fauteuil je suis parvenue a instrumenter le MV, et j'ai deouvert un faux canal sur le palatin, apres quinzes jours le signes cliniques ont disparuent.
Alors origine des douleurs? Pour moi ce n'est pas le MV mais bien le faux canal de la racine palatine, bien que la patiente se soit retrouvée chez moi a cause de la courbure du MV.

005 cwtxti - Eugenol
012 od6nin - Eugenol
007 drwinq - Eugenol
013 ufenyk - Eugenol

Tozzi

15/06/2010 à 21h29

Peut-être que c'était la couronne qui était en surocclusion ;-)
Il y avait un tenon ? Le faux canal était peut-être dû au logement du tenon qui n'est pas parfaitement dans l'axe du canal.


vincent64

15/06/2010 à 23h11

Tozzi écrivait:
---------------
> Peut-être que c'était la couronne qui était en surocclusion ;-)
> Il y avait un tenon ? Le faux canal était peut-être dû au logement du tenon qui
> n'est pas parfaitement dans l'axe du canal.
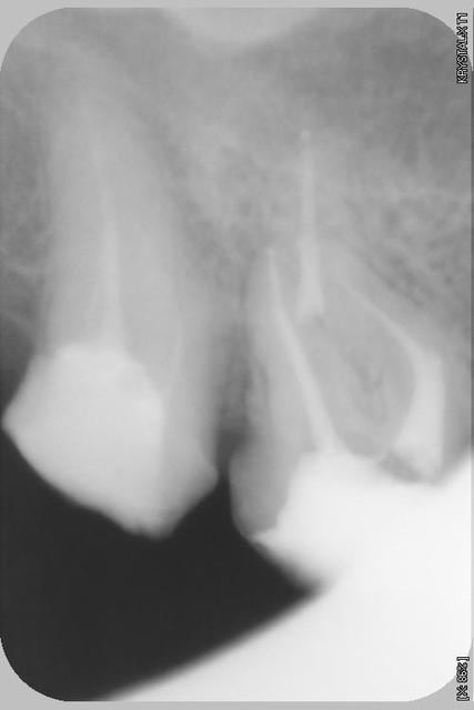
Heu...pour la couronne je ne me souviens plus (mais la douleur etait percistante apres que la couronne ai sauté) par contre ta question m'a remis le nez sur la radio de 2007,( ce n'est pas moi qui ai viré la couronne), et en fait il n'y a pas de tenon ce que l'on voit tres dense c'est l'obturation du MV...je pense, a l'epoque je ne faisais pas grand cas des angulateurs!!! ;)


Harley davidson fat boy special 2010 2 pqsaxa - Eugenol
elmex

16/06/2010 à 12h23

et le dv il me semble pas obturé ou trés peu sur la premier radio non?


vincent64

16/06/2010 à 13h21

elmex écrivait:
---------------
> et le dv il me semble pas obturé ou trés peu sur la premier radio non?
Il y avait de la gutta dedans lors du retraitement, les trois cannaux peuvent etres a l'origine de cette douleur, c'est clair, le probleme c'est qu'en 5 ans aucuns signes radio n'est venu confirmer quoi que ce soit, et cela chez plusieurs dentistes, et je ne veux pas croire qu'ils doivent tous changer leur capteur... ;)
De l'oportunité d'utiliser la 3D?