Cookie Consent byPrivacyPolicies.comdiagnostic lésion gingivale - Eugenol

diagnostic lésion gingivale

Badge moustache forever wieg2r - Eugenol
Eliot

18/06/2010 à 01h46

Le patient se plaint de douleurs gingivales en regard de la 13 depuis 24h. Elles sont permanentes, irradiantes, insomniantes et ne cèdent pas aux antalgiques. Elles s'accompagnent d'une altération de l'état général: grosse fatigue voire désorientation mais sans fièvre ni adénopathie.
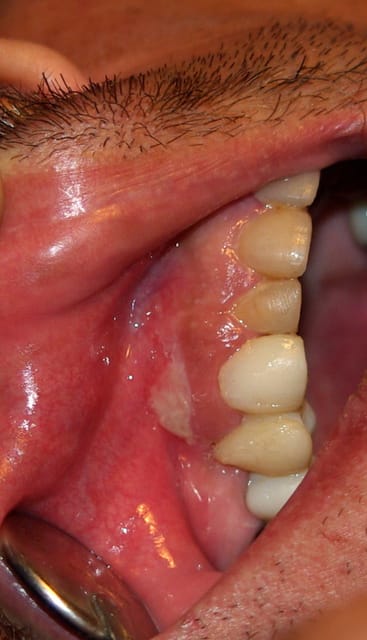
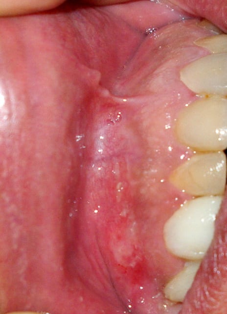
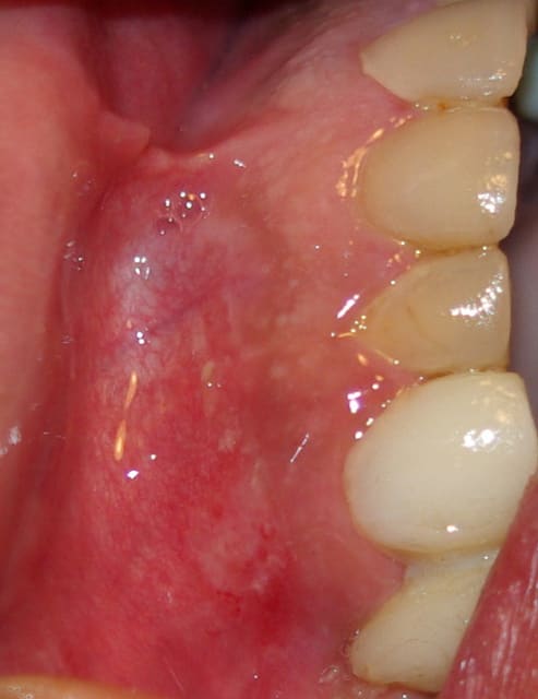
La lésion semble bulleuse devenant érosive érythémateuse recouverte des lambeaux persistants blanchâtres du toit de la bulle. De taille environ 1cm de diamètre. Entourée au départ de petites bulles transparentes encore intactes.
Le patient est alcoolo-tabagique tendance immunodéprimé, il raconte avoir appliqué de l'alcool 70° à ce niveau le jour de l'apparition des douleurs.
Je lui ai conseillé des bains de bouche au bicarbonate de sodium pour l'instant.
Serait-ce simplement une brûlure causée par l'alcool ou dois-je chercher autre chose (kératose, candidose, lichen)?

Imgp4988 ozam8p - Eugenol
Imgp4985 nhqwsc - Eugenol
Imgp4986 djj3bc - Eugenol

Scan10030 ukikhq - Eugenol
vava

18/06/2010 à 03h05

Eliot écrivait:
---------------

> Serait-ce simplement une brûlure causée par l'alcool ou dois-je chercher autre
> chose

conseille lui le bourbon


Badge moustache forever wieg2r - Eugenol
Eliot

18/06/2010 à 04h17

:-)
je lui ai évidemment précisé qu'il faudrait s'abstenir la prochaine fois...


mouchette

18/06/2010 à 11h29

un train cache l'autre : si il a appliqué de l'alcool "avec application" c'est sûr les ulcérations en sont la conséquence maintenant si il l'a fait pour calmer une douleur il faudrait revoir ton patient à l'issue de la guérison des dommages collatéraux (3 semaines) pour voir si il n'y a pas autre chose dessous.


Canin

18/06/2010 à 20h46


atteinte virale, zona en 1 ou herpès why not ?? car AEG associé et lésion vésiculeuses d'après la description car les photos ne sont pas très parlante.

aphte géant why not, voir antécédents médicaux, ttt en cours.

faire un NFS, recherche de virus aussi mais ça coûte cher

faut suivre.

trop peu d'éléments à ce jour
--
Canin


Badge moustache forever wieg2r - Eugenol
Eliot

18/06/2010 à 23h56

Merci pour ces indications
J'ai revu le patient aujourd'hui, l'état général est amélioré mais les douleurs n'ont pas diminué limitant l'alimentation. La lésion ne semble plus être vésiculeuse, elle forme un placard blanchâtre sur un fond érythémateux mais le raclage est rendu difficile car très douloureux, je pensais à une candidose mais la couche blanchâtre ne semble pas s'éliminer et la lésion est isolée et ne semble pas s'étendre.
En même temps l'aspect me ferait bien penser à un lichen...
Je connais plutôt bien le patient et l'herpès est pour l'instant écarté.
En effet, l'alcool est-il l'unique facteur étiologique ou révélateur d'une affection sous-jacente...?

Je pense faire un prélèvement.


Avatar 46 aoi1yc - Eugenol
HononLulu

19/06/2010 à 00h34

C'est pas un peu précipité tout ça ??
Tu veux pas laisser filer au moins 10 j depuis le début des symptômes?
Sur ta photo ça peut même ressembler à un mauvais coup avec sa brosse à dents.
Il sera toujours temps de s'affoler si cela dure + de 10 j, non??


Canin

19/06/2010 à 01h12

et les dents dans tout ça ?? il s'est peut-^tre créer lui même cette lésion en y touchant car il avait mal sur la 13 ??

Possible d'après toi ??

--
Canin


Badge moustache forever wieg2r - Eugenol
Eliot

19/06/2010 à 01h28

Canin écrivait:
---------------
> et les dents dans tout ça ?? il s'est peut-^tre créer lui même cette lésion en y
> touchant car il avait mal sur la 13 ??
>
> Possible d'après toi ??
>
> --
> Canin

Je ne pense pas (je le connais vraiment bien...)
Il aurait sacrément gratté le bougre!
En plus la lésion a pris en relief et il dit ne pas y toucher du tout.

Pour répondre au dernier post (Hononlulu), j'ai tendance à m'investir (peut-être un peu trop?) surtout lorsque mon patient ressent de telles gênes.
Évidemment je vais attendre un peu (le tps d'affiner les étiologies potentielles...)mais je ne peux pas le laisser comme ca avec des signes d'AEG (je risquerais de me sentir incompétente...)
Pour l'instant je penche vraiment vers le lichen plan...


ziyous

19/06/2010 à 02h36

l'absence d'ADP élimine les infections virales (zona, herpès, HIV). l'absence de l'induration (à confirmer) et saignement au contact (pour l'instant) éliminent l'ulcération néoplasique, mais à surveiller vu le contexte alcoolo-tabagique.
- ulcération traumatique ?, masquant une autre cause (l'état des racines du bridge provisoire)Rx
- pemphigus vulgaire? biopsie
perso je donne solupred en bain de bouche, xylocaine visqueuse