Cookie Consent byPrivacyPolicies.comgencive bleutée... dessus d'une CCC. - Eugenol

gencive bleutée... dessus d'une CCC.

spirou

19/06/2010 à 02h36

Tout est dans le titre....dans certains cas, malgré mes efforts, il arrive qu'il persiste un aspect legèrement bleuté au niveau de la gencive kératinisée au dessus d'une CCC. Ca vient d'ou?? c'est la racine un peu plus sombre de la dent dépulpée qui apparait au travers d'un parodonte un peu fin?? a noter que : 1- ça n'arrive pas sur les dents vivantes... 2- le parodonte n'est pas du tout inflammatoire....
je joins des photos au plus vite...


Smile beach jgh0a1 - Eugenol
Céramik

19/06/2010 à 04h29

Endo ?
IC métal (eurk) ?

On attend la photo et la radio si possible.


--
Céramik


Cd7ab0fb be26 42ce a229 3d3cb85fbdc0 wqmnyz - Eugenol
dorado

19/06/2010 à 10h32

tatouage de la gencive par diffusion d'ions métalliques
don't worry, en plus c'est très tendance


Morgan ztbb1b - Eugenol
BONNET jc

19/06/2010 à 12h29

Question bète: C'est quoi une CCC? Je connais la CM (couronne métal), la CCM (couronne céramo-métal), la CIV (couronne à incrustation vest) mais CCC?


Morgan ztbb1b - Eugenol
BONNET jc

19/06/2010 à 13h07

Réponse à moi- même: CCC=couronne céramo-céramique / Dans ce cas il ne peut y avoir de diffusion de sels métalliques sauf si pivot métal dessous.Si taches sombres mais ailleurs aussi cela peut être taches ethniques


spirou

19/06/2010 à 14h44

je vous poste une photo la semaine prochaine.
Si'l vous arrive vous aussi d'avoir des "echecs" (faut pas déconner c'est pas gravissime non plus...) esthétiques de ce genre, pourriez alimenter en iconographie ce topic? Histoire aussi parfois parfois de montrer autre chose que nos réussites totales..


Gonzo k0qhwz - Eugenol
matten

08/07/2010 à 15h47

A part greffe de gencive keratinisee+ conjonctif enfoui pour augmenter l'epaisseur et masquer le gris dessous pas grand chose a faire. (ah si extraction+pose implant ceramique lol)


 mg 0207 xwjxcl - Eugenol
Tillc

08/07/2010 à 19h33

blanchiment interne sauf si c'est du metal qui est a l'origine de la coloration


Ylfwcw979cz1jnx9gfqeaxndiuzk - Eugenol
Algi

08/07/2010 à 21h11

Blanchiment, attendre sous provisoire puis si ça a marché, sc33 tenon fibré/compo (direct ou indirect)ou inlay core zircone puis CZ ou CCC (céramo zircone).

Au cas où, possible obtenir décoloration avec laser+H202 dans chambre et 1/3 racine camerale.

--
"On a toujours le choix! Mais entre quoi et quoi?
Vas-y boulégue et l'avenir te le dira!"


003 penrd2 - Eugenol
Cingulum

09/07/2010 à 16h11

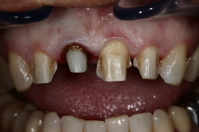
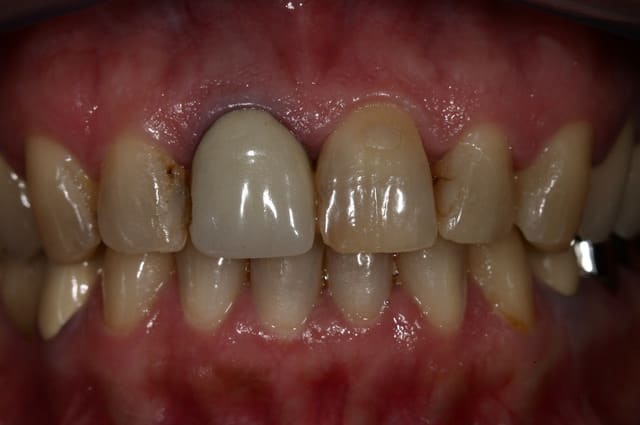
Ce sont toujours des cas un peu frustrant. La racine est difficilement "eclaircissable".
On parviens en général a limiter l'effet grisatre, sans le faire disparaitre complètement.
un exemple en photo.

--
Dr Cingulum
-----Ancien interné----
----Attaché à l'apex----
www.clinic-all.fr formation par passion

Img 8669 thmsi8 - Eugenol
Img 8735 uswk0f - Eugenol
Img 8737 fnxn0w - Eugenol
Img 8608 txq6il - Eugenol

Ylfwcw979cz1jnx9gfqeaxndiuzk - Eugenol
Algi

09/07/2010 à 16h36


T'aurais peut être gagné en integration en remontant ta limite de preparation, éliminant de la gencive colorée et alignant le contour gingival par la même occasion mais joli cas neanmoins.
--
"On a toujours le choix! Mais entre quoi et quoi?
Vas-y boulégue et l'avenir te le dira!"


003 penrd2 - Eugenol
Cingulum

09/07/2010 à 17h14

très juste, je m'en rend plus compte sur les photos !

--
Dr Cingulum
-----Ancien interné----
----Attaché à l'apex----
www.clinic-all.fr formation par passion


S2y2o1v7q53ws4r5wy6ou8czrpom - Eugenol
pxav

10/07/2010 à 21h58

Cingulum écrivait:
------------------
> très juste, je m'en rend plus compte sur les photos !
>
> --
d'où l'intérêt de publier, ça permet de voir nos cas avec un œil plus critique.


--
xbk


3f3boxni50k58rq7e9ce9ddqrxgk - Eugenol
dentiste57

11/07/2010 à 15h14

un tout petit peu de chir ou tout simplement une couronne provisoire qui respecte le parodonte aurait permit de corriger l'aspect bleuté et la différence de hauteur des collets, non ?


003 penrd2 - Eugenol
Cingulum

11/07/2010 à 20h59

ok pour la chir, mais surtout pour aligner les collets. La racine se voit assez haut...
Et ma provisoire respectait le parodonte ! :)
De toute façon un cas comme ça, il faut laisser maturer la gencive au moins quelques mois... je vous remets des photos dans 6 mois (là on est à 1 semaine après la pose)
--
Dr Cingulum
-----Ancien interné----
----Attaché à l'apex----
www.clinic-all.fr formation par passion