Cookie Consent byPrivacyPolicies.comAnthogyr ou Tekka ? - Eugenol

Anthogyr ou Tekka ?

64cb

30/06/2010 à 13h05

baroud69 écrivait:
------------------
> J'utilise l'In-kone de chez TEKKA depuis un peu plus d'un an.

>
> Par contre, sur les 25 implants posés et mise en charge, j'en ai 4 avec une
> perte crestal à 10 mois +. Sur ces 4, deux ne sont pas assez enfouis à la base
> donc sanction et deux sont "parfaits". Deux sur 25, ca fait environ 10% ce qui
> est limite. Wait and see.
>
Pour le Crestal on pouvait le supposer vu la connection ( sous-crestal avec hexagone interne) par contre pour l'In-kone il semblerait que l'on ne retrouve pas de recolonnisation osseuce sur la partie sup. de l'implant comme,réguliérement, avec l'Ankylos ou l'Axiom.

Les forêts ou les spires de l'implant serait-ils trop aggressif pour l'os ?

Peux tu envoyer les radios de tes 4 cas avant et aprés. Merci.


neuville

07/07/2010 à 12h06

pour repondre à baroud les pertes osseuses rapides peri implantaire autour d implant cône morse (en faisant abstraction de l'erreur chirurgicale: diametre inadapté au vol osseux, torque trop important...) trouvent essentiellement leur origine dans la prothese qui commence dés la vis de cicatrisation un mauvais choix de vis va entrainer un mauvais choix de pilier et etre à l origine d une surcharge sur le cone muqueux entrainant une apicalisation de l attache et donc une cratérisation j espere que je t ai bien repondu.
Je suis utilisateur des cône depuis 9 ans et j'ai effectivement utilisé Ankylos qui est comme In kône ou Bicon de tres bons implants. Mais dans tous ces systèmes le plus important est la gestion de la prothese


S2y2o1v7q53ws4r5wy6ou8czrpom - Eugenol
pxav

07/07/2010 à 12h30

neuville écrivait:
------------------
> Je suis utilisateur des cône depuis 9 ans et j'ai effectivement utilisé Ankylos
> qui est comme In kône ou Bicon de tres bons implants. Mais dans tous ces
> systèmes le plus important est la gestion de la prothese

+1
--
xbk


neuville

07/07/2010 à 12h39

?


S2y2o1v7q53ws4r5wy6ou8czrpom - Eugenol
pxav

07/07/2010 à 12h58

+1 pour: le plus important est la gestion de la prothèse

--
xbk


sinclair

07/07/2010 à 13h08

neuville écrivait:
------------------
> pour repondre à baroud les pertes osseuses rapides peri implantaire autour d
> implant cône morse (en faisant abstraction de l'erreur chirurgicale: diametre
> inadapté au vol osseux, torque trop important...) trouvent essentiellement leur
> origine dans la prothese qui commence dés la vis de cicatrisation un mauvais
> choix de vis va entrainer un mauvais choix de pilier et etre à l origine d une
> surcharge sur le cone muqueux entrainant une apicalisation de l attache et donc
> une cratérisation j espere que je t ai bien repondu.
> Je suis utilisateur des cône depuis 9 ans et j'ai effectivement utilisé Ankylos
> qui est comme In kône ou Bicon de tres bons implants. Mais dans tous ces
> systèmes le plus important est la gestion de la prothese

tout à fait d'accord
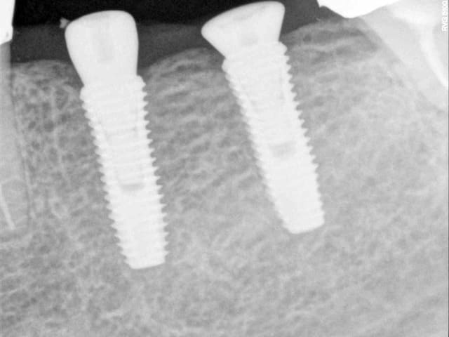
en ce qui concerne la gestion de la gencive
voici 2 implants de 4 mm de diamètre posés en 1 temps avec des piliers de cicatrisation de diamètre différents et pourtant une même conservation du niveau osseux

Dentium 4 mm diam tre qeeqia - Eugenol

neuville

07/07/2010 à 16h17

mais maintenant purrais tu me montrer la prothese dessus ? merci avec 6m à 1 an de recul


sinclair

07/07/2010 à 16h58

pour ce cas là dans 6m


Logo vuaztn - Eugenol
mac

07/07/2010 à 17h14

sinclair écrivait:
------------------
> pour ce cas là dans 6m


pourquoi 6 mois?


sinclair

07/07/2010 à 17h36

j'ai pris l'empreinte de ce cas ce matin
c'est neuville qui veut voir le travail à 6 mois ...


sinclair

07/07/2010 à 21h02

POUR NEUVILLE

un bon cas complet
la patiente a des implants artisanaux posés une vingtaine d'années plus tôt... mais qui tiennent bon

dans un 1er temps (fevrier 09) extraction de 15 greffe et pose de 2 implants en position de 14 et 16 (soulevé crestal)

mi juin 09 contrôle et pose du bridge sur implants

mi mars 2010 (+ 9 mois) contrôle pas ou très peu de perte osseuse

16 implant dentium 24 02 09 bt0f3y - Eugenol
Pr  op 09 07 08 ajr1ev - Eugenol
14 implant dentium 24 02 09 jec4bx - Eugenol
14 controle avant prothese 16 06 09 v3nnoy - Eugenol
16 controle avt prothese 16 06 09 ty9uu4 - Eugenol
9mois post prot max os3cyi - Eugenol

neuville

08/07/2010 à 02h16

je ne comprends pas vos reponses le probleme que je souleve est: la gestion de la prothese sur cône morse est vous me montrer des cas ou j ai l impression que vous choisissez vos vis de cicatrisation au petit bonheur la chance. Les systemes côniques sont bien plus compliqués que vous le sous entendez le diametre de l implant n impose pas le diametre des vis de cicatrisation comme dans les systemes avec connectique à plat. Donc ma question est: comment apprehendez vous ce probleme. Quand on me montre 1 cas avec 2 vis différentes dans une situation similaire je m interroge sur l arbre decisionnel.


neuville

08/07/2010 à 02h36

Pour le cas de sinclair qui est tres interressant tu nous montres les radios de tes 2 implants 14 16 qui me semble etre des astra qui sont bien posé avec un choix de vis sans pb mais tu ne nous montres pas le même raisonnement avec les autres implants notamment l implant en 44 ou 45 (je suis désolé je n ai plus la radio en face de moi)qui semble présenter un elargissement au niveau du col implantaire. aurais tu une explication? alors que les implants ancestraux sont semble t il stable meme si comme le montre ta premiere pano les vis de transfixation se sont cassées. en revanche excellente idée de faire un inlay core en lieu et place des piliers implantaires.


sinclair

08/07/2010 à 16h47

neuville,

dans ce type de système implantaire (connexion conique: switching platform), on dissocie complètement le diamètre de l'implant et celui du pilier de cicat.
le diamètre de l'implant est adapté à l'os
en ce qui concerne le pilier de cicat son but est de créer un berceau dans la gencive qui va accueillir le pilier
son diamètre va dépendre:
- de la dent à remplacer ( pour une molaire on aura une meilleure morphologie avec un diamètre de 6.5 plutôt que de 4)
- de la position vestibulo linguale de l'implant, en effet pour un implant remplaçant une molaire parfaitement centré en VL on utilisera le pilier de 6.5,
par contre si il y avait une fonte osseuse vestibulaire et que l'implant est décalé en lingual, alors on s'adapte avec un pilier au diamètre plus étroit

voilà mon arbre décisionnel

PS bien que cela y ressemble ce ne sont pa des implants Astra
mais des implants Dentium Superline


neuville

25/07/2010 à 11h22

cette réponse est intéressante mais ne repond qu à une partie du pb tu réponds dans le sens horizontal avec celle ci mais pas dans le sens vertical. L espace biologique comme tu le sais est en trois D alors comment gères tu la hauteur? et comment définis tu celle ci?


sinclair

25/07/2010 à 14h17

En ce qui concerne la hauteur, bien qu'idealement la hauteur de gencive devrait être de 3mm au plus pour ne pas créer de "fausses poches", parfois on s'adapte tout simplement a la hauteur sur le site


Paradox

01/08/2010 à 11h05

Bonjour à tous,
Je sais que Biotech sort le "Kontact". C'est un cône Morse à 10° avec une philosophie Ankylos.
Voit le ou la commercial(e)de ton secteur. Ils organisent une journée le 16 Sept à Marseille
Ciao


12