Cookie Consent byPrivacyPolicies.comUne radio sympathique. - Eugenol

Une radio sympathique.

vincent64

24/06/2010 à 14h49

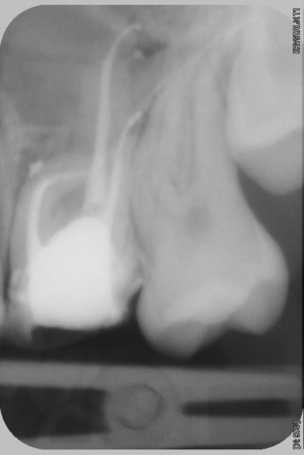
Le plan de traitement peu sembler étonnant, d'aucun me demanderons pourquoi pas extraction implant? Il ce trouve qu'il s'agit d'une très jeune patiente (16ans), "bénéficiant" de la couverture maladie universelle, mais pas de moyen financiers...donc plutôt que de l'édenter pour lui apprendre... je traite.
D'ou mon envie de au moins vous montrer cette radio, qui n'avait strictement aucun intérêt ni pour elle ni pour sa mère, qui sont par ailleurs toutes les deux très gentilles.
...
;)

004 kk5hl7 - Eugenol
007 idrous - Eugenol
008 qeoxem - Eugenol

200106 10150128247663588 709988587 6466236 5598391 n d7mksb - Eugenol
hallboy

24/06/2010 à 14h57

tres tres jolies endos... !!


Avatar jt8tlq - Eugenol
bogenom

24/06/2010 à 14h58

Superbe
technique de preparation ?
d'obturation?
Temps?

Bonne journée


aquarium

24/06/2010 à 15h08

Tu t'es fait plaisir!


Marque a3 orange fyvhyq - Eugenol
Marc Apap

24/06/2010 à 15h13

Bravo. Et comme bogenom, je suis impatient ce connaître ton protocole (je suis toujours admiratif devant les radios avec canaux latéraux obturés)


Bagheera tudzjy - Eugenol
bagheerra

24/06/2010 à 16h05

Je suis intéressé aussi par le protocole, notamment la technique d'obturation.
Y-a-t'il un MV2 ?


belette

24/06/2010 à 16h11

vincent64 écrivait:" d'aucun me demanderons pourquoi pas extraction implant? "

d'aucun aurions le davier un peu alerte quand même...

^ ... ^
Ô"""Ô
= o =


vincent64

24/06/2010 à 16h39

Bon je m’y colle.

Reconstitution au verre iono (fujifast c’est le9 je crois)
Digue
Ouverture sous microscope, ainsi que travail dans les chambres et sur les premiers tiers.
Détermination de la LT, ici ca ne se voit pas mais c’est le distal delà 26 qui m’a pris le plus de temps, tous les canaux avaient une courbure apicale, bilan quelques limes de 006, un gros paquet de 008 et de 010 a la poubelle mais tous sont perméables.
J’utilise les protaper SX, S1car je n’ose pas faire descendre le SX, puis S2 (s2 manuel sur le distal de la 26 toujours lui, le rotatifs s1 sortant despiralé alors qu’il était neuf…ouf !)
Puis F1 et F2 en manuel.

Hypochlorite 1 a 2 ml entre chaque instrument, plus passage d’une 008 ou 006 entre chaque instruments ou tout du moins au début, et re hypochlorite.J'aila certitude que c'est a ce moment que les lateraux ce nettoient.
A la fin 2mn d’EDTA liquide, puis ici 5 mn d’hypochlorite, j’aurais préfère 10…mais bon le temps…ici aussi ca aide bien pour les lateraux ;) j'utilise un chronometre pour etres sur de rincer assez longtemps.
Obturation au thermafil, j’utilise plus facilement le e-fil qui ressemble au sytemeB, pour chauffer ma gutta, mais encore une fois…le temps, mais aussi la certitude de ne pas descendre assez notamment dans le mv de la 26 m’ont fait choisir le termafil.
Pour finir pas de mv2 a proprement parler, je m’explique, au début j’étais certain qu’il était là, j’étais bien content(chui maso) je l’instrumente souvent en dernier, lorsque le mv1 est nickel, et surtout que le bain d’hypochlorite m’ai donné un peu plus de visibilité, (sous microscope c’est flagrant) et ici en fait le mv2 ressemblé plus a un isthme descendant le long du mv1, je l’ai nettoyer avec le SX et avec l’aide de l’EDTA pour le vider des débris.

Début des opérations, 9h30, fin 11h15 a noter que le RDV était a 9h mais j’étais déjà en retard.
Voilà si j’ai oublié un truc..N’hésitez pas.


Olieve

24/06/2010 à 16h43

belette écrivait:
-----------------
>
> d'aucun aurions le davier un peu alerte quand même...
>
>

Ne pas se poser la question de l'extraction serait une erreur, même si moi aussi je préfère conserver. La motivation du patient pèse pour beaucoup ici dans la décision

D'autant plus que la gestion du profil distal/point de contact de la 26 va pas être facile


vincent64

24/06/2010 à 16h50

Olieve écrivait:
----------------
> belette écrivait:
> -----------------
> >
> > d'aucun aurions le davier un peu alerte quand même...
> >
> >
>
> Ne pas se poser la question de l'extraction serait une erreur, même si moi aussi
> je préfère conserver. La motivation du patient pèse pour beaucoup ici dans la
> décision.
Ainsi que son age (et ces moyens financiers), mais je cherchais une raison supplementaire d'etres conservateur ici, meme si le plan de traitement fini par un ou des implants (il ne faut pas rever le peu de matieres sur la 26 laisse peu d'espoir de realiser une couronne avec une tres longue duréée de vie), il me semble difficile de le faire avant un an ou deux minimum, me voilà donc dans le cadre d'une endo "preimplantaire", rien de mieux pour conserver de l'os qu'une dent...non?


Smile beach jgh0a1 - Eugenol
Céramik

24/06/2010 à 17h17

Très jolies endo, bravo.
Le 5, super.
La 6, très bien aussi, mais la pérennité de la dent semble faible, du moins avec le peu d'info sur les radio.
Tu comptes faire un allongement au distal ?
Un compo, une couronne ?

Une idée (pas une critique) :
16 ans, une sagesse pas trop loin, je ne suis pas ortho, mais peut-être exo et ortho pour placer la 7 en 6, et la 8 en 7...

Sinon, implant dans quelques années, si tu as de l'os lors de la perte (fracture ? paro ? ) de la 6.


--
Céramik


vincent64

24/06/2010 à 17h49

Céramik écrivait:
-----------------
> Très jolies endo, bravo.
> Le 5, super.
> La 6, très bien aussi, mais la pérennité de la dent semble faible, du moins avec
> le peu d'info sur les radio.
> Tu comptes faire un allongement au distal ?
> Un compo, une couronne ?
>
> Une idée (pas une critique) :
> 16 ans, une sagesse pas trop loin, je ne suis pas ortho, mais peut-être exo et
> ortho pour placer la 7 en 6, et la 8 en 7...
>
> Sinon, implant dans quelques années, si tu as de l'os lors de la perte (fracture
> ? paro ? ) de la 6.
>
>
> --
> Céramik
Merci, comme le dit Aquarium, "je me suis fait plaisir", mais ce n’était pas le but.
La 6 est faible et tes remarques sont plus que judicieuses, comme on le dit au village, " j'ai pas encore le c.. sortit des ronces!"
Je pense opter pour une couronne sans allongement, mais avec une bonne et longue temporisation sous provisoire (après inlay core). Pour l'ortho, avec son âge et le problème financier (c'est une CMU je le rappelle), de plus un tel déplacement me laisse toujours septique, mais bon vu le niveau de mes connaissances en ortho, je ferais aussi bien de ne rien dire.
Par contre cela me fait penser a la possibilité de faire une exo réimplantation de la 8...mais là pour le coup ce serait vraiment pour la gloire...
Pour l'implant dans quelques années, il faudrait que le contexte sociopolitique évolue considérablement...et là on n’est pas à la quille.


Little shop of horrors brzqjx - Eugenol
chatondecarte

24/06/2010 à 21h32

vincent64 écrivait:
-------------------

> Pour l'implant dans quelques années, il faudrait que le contexte sociopolitique
> évolue considérablement...et là on n’est pas à la quille.


Ce qu'il faut pas entendre...
Tu crois pas que ça serait plus simple que la patiente mette 50€ par mois de coté pendant 3 ans plutôt que d'attendre que le "contexte sociopolitique évolu"...

tu crois pas qu'il serait plus judicieux que les praticiens puissent gagner leurs vie en faisant des endos comme ça plutôt que d'alourdir un peu plus les ursaff (c'est pas assez confiscatoire comme impôt? 27000000 de déficit c'est pas assez?) en offrant des implants à moitié prix aux CMU?


Grueavatar nptrc9 - Eugenol
Le Choixpeau magique

24/06/2010 à 23h13

Salut, je crois que la CMU est payée par l'impôt et pas par les urssaf.


Little shop of horrors brzqjx - Eugenol
chatondecarte

24/06/2010 à 23h54

ah bon? je croyais que c'était la sécurité sociale qui s'occupait de ça... Je suis pas super calé sur les rouages obscures de cette usine à gaz qu'est l'administration française.


Olieve

25/06/2010 à 11h14

Le fond du problème c'est le suivant : rembourser tout les implants dentaires c'est un panier sans fond. Et au final c'est toujours le citoyen qui paie.

Rembourser les implants dentaires c'est aussi la porte ouverte au grand n'importe quoi avec un taux de succès qui passera de 98 à 60%.... Enfin c'est mon avis...


Little shop of horrors brzqjx - Eugenol
chatondecarte

25/06/2010 à 11h48

Olieve écrivait:
----------------
> Le fond du problème c'est le suivant : rembourser tout les implants dentaires
> c'est un panier sans fond. Et au final c'est toujours le citoyen qui paie.
>


Beaucoup de citoyens ne paieront pas. Et généralement ceux qui ne paient pas, c'est ceux qui coûtent le plus (Mais c'est valable pour tous les soins).


33cyril

05/07/2010 à 11h13

bonjour vincent
je n'ai pas vu l'utilisation de necro dans ton protocole
ben pourquoi
un m'en donné il va falloir le reutilisé


marcus

06/07/2010 à 00h52

On fait comment pour extraire " economiquement3 sur le plan osseux la racine mesio/vest de 16 ?

Si pas extraction : reconstitution conventionnelle par couronne qui va durer minimum 15/2O ans vu la qualité de l'endo.

Si extraction d'entrée , vu les degats pour virer la racine mésiale c'est greffe à tous les coups puis implant.
CMU ou pas CMU qui est capable d'affirmer qu'un implant sur greffe va durer autant que la cr conventionnelle soit 15/20 ans ?