Tous les forums
diagnostic OPG
05/07/2010 à 12h53
Bonjour,
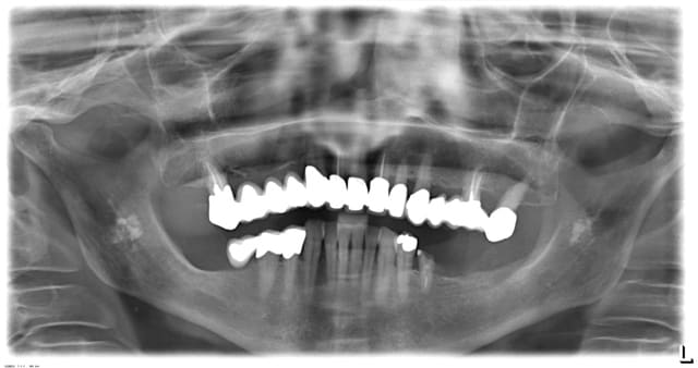
J'ai vu ceci sur un OPG (ci-joint)dernièrement, des calcifications à gauche et à droite au niveau de l'angle mandibulaire autour du n. mandibulaire.
Asymptomatique et pas de signes cliniques, patiente de 70 ans....
Est-ce quelqu'un aurait une idée de quoi il s'agit?
05/07/2010 à 13h28
J'avais pensé à la même chose. Mais des calculs parotidiens, c'est douleureux, non?
05/07/2010 à 23h59
bonsoir
il sagit probablement d atheromes carotidiens bilateraux
prescrit un teleradiographie de profil...voir fichier joint
06/07/2010 à 13h43
Merci pour votre aide diagnostique! Vers quel spécialiste orienter la patiente?
13/07/2010 à 19h22
johnnybegood écrivait:
----------------------
> bonsoir
>
> il sagit probablement d atheromes carotidiens bilateraux
>
> prescrit un teleradiographie de profil...voir fichier joint
Euh justement vu le siège des calcifications sur ton document (4ème vertèbre sous la corne hyoïdienne), et la répartition des taches sur la pano, je pencherai aussi pour une lithiase parotidienne bilatérale.
J'enverrais à l'ORL pour une lithotritie.
18/07/2010 à 01h02
Vu les signes radios, je confirmerai déjà la localisation par une échographie.
Après peu d'ORL pratique la lithotritie parotidienne donc je redonne l'adresse (j'ai pas d'action) pour l'institut d'explorations fonctionnelles des glandes salivaires à Paris
www.glandessalivaires.com/
C'est toujours mieux qu'une parotidectomie partielle avec lésion du VII
21/07/2010 à 23h52
Faire une scanner pour confirmer la localisation.
Il s'agit certainement de tonsilithes bilatéraux, trop en avant pour la parotide d'après moi.
pas de traitement.
Jètes un coup d'oeil en bouche peut-être tu vois un trucs sinon envois chez orl.
pas de traitement.
--
Canin