Tous les forums
Je m'interroge........................
07/07/2010 à 00h39
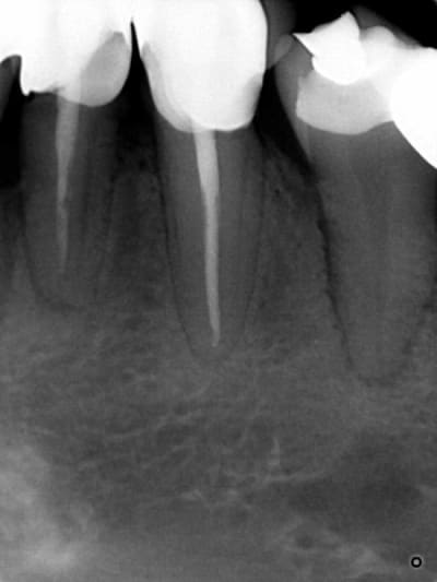
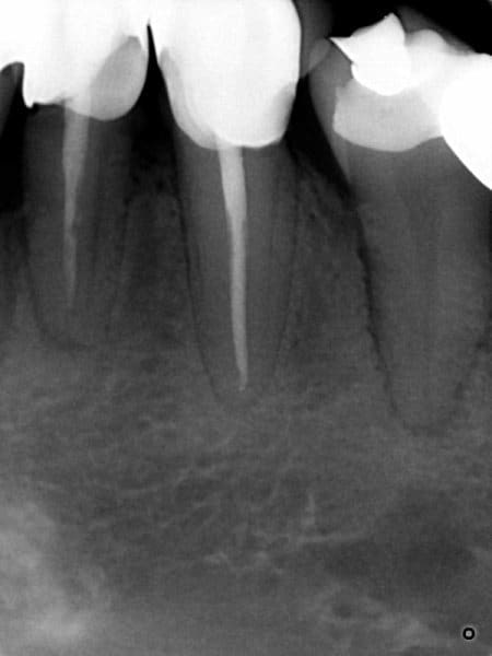
Patiente nouvelle. 38 ans. consulte pour douleur moyenne et gonflement léger au niveau de la 34. A la percussion, la 34 est la seule à réagir de façon modérée.
Comme je n'avais que 10 mn, Amoxicilline et R-V à j +2 pour traiter la 34.
A j+2, bel abcès qui suppure au collet de la 34. Je fraise en direction de la chambre, douleur, a l'ouverture de la chambre, douleur plus intense, j'attends................rien, pas de collection purulente mais une pulpe bien vivace.
Placé créosote de hêtre et elle reviendra après ses vacances dans 15 j. Avec possibilité de revenir en urgnece, elle n'est qu'à 100 km.
Aujourd'hui j+7, les AB sont terminés, elle m'appelle car toujours gonflée.
Je ne suis pas sûre que la 34 ait induit cette infection mais alors ??
07/07/2010 à 01h03
kyste résiduel dans la zone de la 35?
que dit la vitalité de la 36 (37?)...la zone est pas bien "claire" sous le pontique...
07/07/2010 à 01h23
HononLulu écrivait:
-------------------
> Je ne suis pas sûre que la 34 ait induit cette infection mais alors ??
deux posibilités?
Bourrage alimentaire inexpliqué sous la pontic ?
Pb paro sous ta 34 si test de vitalité à la fraise positif ?
07/07/2010 à 02h10
Grosse voussure en vestibulaire de la 34 qui lui déforme un peu le visage. la 34 n'est pas mobile et à peine douloureuse à la percussion.Ça n'évoque pas un abcès paro.
C'est situé plutôt en vestibulaire, antérieur /34, pas de gonflement en regard de 35. La 36 est asymptomatique et le fond du vestibule non douloureux.
J'ai aussi pensé à 33 et 32 mais cliniquement silencieuses.
merci d'avoir répondu.
07/07/2010 à 03h35
abcés migrateur de Chompret et L'hirondel?
la dent causale est une 8, mais l'abcés migre dans la région PM, guidé par les insertions du buccinateur, où il se collecte
07/07/2010 à 09h35
ziyous écrivait:
----------------
> abcés migrateur de Chompret et L'hirondel?
> la dent causale est une 8, mais l'abcés migre dans la région PM, guidé par les
> insertions du buccinateur, où il se collecte
je me posais la même question et je dis donc +1 comme possibilité, pas comme certitude (abces buccinato-migrateur de Chompret l'hirondelle) j'ai vu une fois le pus couler au niveau du meton (fistule externe) sur un patient de 20 ans.
--
xbk
07/07/2010 à 10h12
Merci pour cette réponse pertinente effectivement.
C'est une piste sérieuse que j'explore la prochaine fois et vous tiens au courant.
07/07/2010 à 11h16
Plus simplement,mastication unilatérale,( je doute de l'efficacité des implants à ce niveau...), équilibration du bridge ??? ( axe des forces de mastication sur l'inlay?) , destruction ligamentaire, envahissement bactérien...
Bientôt des implants à gauche?
^ ... ^
Ô"""Ô
= o = MAis c'est vrai que les hirondelles sont des oiseaux migrateurs...;-)
07/07/2010 à 14h05
Franchement je pense que Ziyou a trouvé.
Je vais faire le forcing pour qu'elle rentre plus tôt de congés afin de virer cette 38.
Tu as raison, les implants ne servent à rien. Je pense que le bridge antérieur subit trop de forces masticatoires et que ses jours sont comptés.
Pour couronner le tout c'est une grosse fumeuse.
07/07/2010 à 21h42
Bon, tout s'est accéléré, le gonflement, la douleur...
Elle est revenue et j'ai avulsé la 38 (elle commençait à être douloureuse!)
Elle a une belle cellulite. Je pense qu'il était grand temps de virer cette 38. L'odeur était magnifique.
Merci pour le diagnostic.
07/07/2010 à 23h25
Faut lui dire de changer sa méthode de brossage...Elle a de superbes mylolyses (ou régler le problème de bruxisme si bruxisme il y a ). :))
08/07/2010 à 00h10
Non pas de bruxisme, juste un brossage horizontal très certainement. Mais franchement ça n'est pas le plus grave dans sa cavité buccale.
08/07/2010 à 01h16
HononLulu écrivait:
-------------------
> Non pas de bruxisme, juste un brossage horizontal très certainement. Mais
> franchement ça n'est pas le plus grave dans sa cavité buccale.
...N'empêche qu' elle bruxe...
Je te parie un capteur Gendex...:))
08/07/2010 à 13h13
@Tozzi oui, sans hésiter mais bien sûr anesthésie à distance (Spix)
Cela fait 5 jours qu'elle carbure à l'Amoxicilline, donc à un moment faut agir. Depuis hier j'ai prolongé avec Augmentin pour encore 5 jours.
Revue ce matin, elle a beaucoup dégonflé et comme j'avais fait une injection de corticoïdes, plus aucune douleur depuis hier.
Je la reverrai juste pour faire l'endo de la 34 suite à mon erreur de diagnostic (pas très fière sur ce coup là, d'un autre côté elle était pas trop vivace quand même...)
08/07/2010 à 14h11
Je vais profiter de ce post pour vous poser une question.
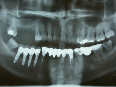
J'ai une patiente qui est en cours de soin et à qui j'ai fait une ordonnance pour une pano. Au dernier RDV, elle est venu avec sa pano, je découvre une grosse lésion apicale sur la 46, totalement asymptomatique. D'apres ce qu'elle m'a dit, cette dent ne lui a jamais fait mal. Je lui explique qu'il faut extraire la dent. Normalement, le RDV pour l'extration est prévu demain dans l'apres midi.
Mais lundi, elle est venue au cabinet en urgence car elle a fait un abces sur cette dent. Ma titulaire l'a mis sous ATB, sous amoxicilline. Je me pose la question, est ce que j'enleve la dent ou je reporte le RDV. Cela fera 4jours seulement d'ATB. D'apres ce que j'ai appris à la fac, il faut normalement attendre une semaine avant de réintervenir sur la dent
08/07/2010 à 15h04
HononLulu écrivait:
-------------------
> Je la reverrai juste pour faire l'endo de la 34 suite à mon erreur de diagnostic
> (pas très fière sur ce coup là, d'un autre côté elle était pas trop vivace quand même...)
Oh non Lulu pas de prise de tête sur ce coup la, quand tu regardes le premier pano 34 était sans doute contaminée, une Chompret l'hirondelle ne fait pas le printemps ....
--
xbk
08/07/2010 à 16h38
juninho56 écrivait:
-------------------
> Je vais profiter de ce post pour vous poser une question.
>
> J'ai une patiente qui est en cours de soin et à qui j'ai fait une ordonnance
> pour une pano. Au dernier RDV, elle est venu avec sa pano, je découvre une
> grosse lésion apicale sur la 46, totalement asymptomatique. D'apres ce qu'elle
> m'a dit, cette dent ne lui a jamais fait mal. Je lui explique qu'il faut
> extraire la dent. Normalement, le RDV pour l'extration est prévu demain dans
> l'apres midi.
>
> Mais lundi, elle est venue au cabinet en urgence car elle a fait un abces sur
> cette dent. Ma titulaire l'a mis sous ATB, sous amoxicilline. Je me pose la
> question, est ce que j'enleve la dent ou je reporte le RDV. Cela fera 4jours
> seulement d'ATB. D'apres ce que j'ai appris à la fac, il faut normalement
> attendre une semaine avant de réintervenir sur la dent
Dans mes souvenirs on me disait 48h, pas une semaine. Le but est de refroidir l'infection, pour ne pas anesthésier une poche de pus. Si tu avulses la dent demain, elle sera encore sous ATB pendant deux jours, ce n'est pas plus mal. Le geste thérapeutique (radical, ici) prime sur l'antibiothérapie.
08/07/2010 à 18h05
+ 1, surtout qu'il me semble que ça n'a pas de sens de faire l'avulsion quand les AB seront terminés.
Juste un petit truc si tu fais pas une troncu.
Comme les anesthésies prennent difficilement en local à côté d'une zone infectée à cause de l'acidité du milieu+acidité des conservateurs de la carpule, injecte du bicarbonate de sodium injectable juste après l'Anesthésie, tu auras une Anesthésie d'excellente qualité.
08/07/2010 à 19h43
Tu injectes beaucoup de trucs ... Des corticoïdes, du bicarbonate de sodium... Jamais fait ça moi, je m'interroge moi aussi !
^ ... ^
Ô"""Ô
= o =
08/07/2010 à 21h02
Un vieux de la vieille, presque à la retraite, prof à la fac quand j'y étais, m'a dit un jour "Tu sais, petit, rien n'est mieux que d'enlever une dent causale d'un abcés dés que possible", en ce qui me concerne j'ai toujours appliqué cet adage et ça se passe admirablement bien dans la majorité des cas. Vaso à 80 ou 100 millieme en intraligamentaire (la plupart du temps si l'abcés est bien là ça rentre comme dans du beurre), attendre que ça blanchisse, verifier avec le syndesmotome ou une sonde que la sensibilité est plus là et passer à l'acte! En gros faut 3 minutes.
J'étais en train de lire ce post y'a 30 minutes quand est arrivée une urgence avec abcés sur kyste 36, elle vient de repartir à l'instant, soulagée et sans sa dent; j'ai prescrit antibio au cas où, à ne prendre que d'ici 48 ou 72 heures si la douleur persiste ou réapparait.
ps: le truc du bicarbonate on me l'avait donné mais j'ai jamais eu besoin depuis que j'ai investi dans une transcorticale (quicksleeper pour ne pas la nommer).
--
"On a toujours le choix! Mais entre quoi et quoi?
Vas-y boulégue et l'avenir te le dira!"
08/07/2010 à 21h58
belette écrivait:
-----------------
> Tu injectes beaucoup de trucs ... Des corticoïdes, du bicarbonate de sodium...
> Jamais fait ça moi, je m'interroge moi aussi !
>
> ^ ... ^
> Ô"""Ô
> = o =
Ben, on ne l'apprend pas à la fac, mais ça change beaucoup la pratique, je trouve.
Penses-tu bien à protéger tes carpules anesthésie de la lumière au moins ?? ;-)))
Et tu connais l'atropine en intra veineuse pour stopper la salivation d'un gros bavouillou avant de sceller un bridge complet ??