Cookie Consent byPrivacyPolicies.comblanchiment externe unitaire - Eugenol

blanchiment externe unitaire

mark's

27/07/2010 à 14h36

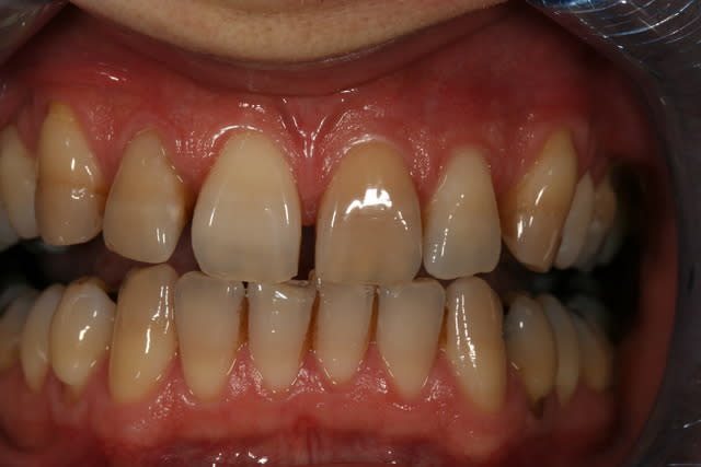
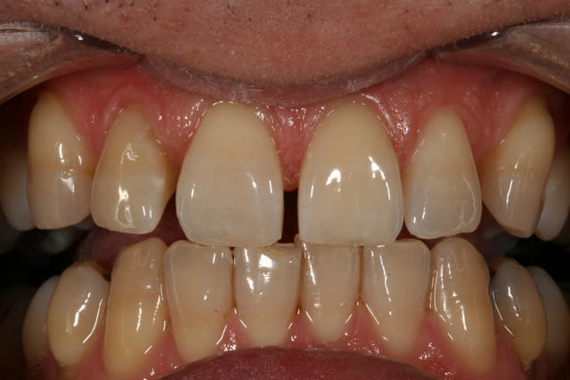
Une centrale post-traumatique
Disparition totale de la chambre et du canal.
Denture par ailleurs parfaite.
Coloration uniforme, d'une teinte, ou à peine plus.
Sujet jeune mais fumeur.

Il me gonfle pour un blanchiment.

Je n'en suis pas partisan d'ordinaire, mais là je ne veux ni risquer une effraction-contamination sur dent indemne pour un blanchiment interne au prétexte de la nécrose, ni lui faire le coup de la facette à refaire dans quelques années, sur un bruxomane, de surcroît.

Quelqu'un a-t-il de l'expérience en la matière (produits utilisés, méthode au fauteuil ou avec gouttière adaptée à cette seule dent)?

Merci d'avance.


mark's

02/08/2010 à 21h31

Non, vraiment, merci!


Avatars  181  hqw4ds - Eugenol
messabots

02/08/2010 à 21h48

mark's écrivait:
----------------
> Non, vraiment, merci!

Boooa...de rien...your welcome!

Et........Olééeeeee?!


Prod 1280 mscsgu - Eugenol
JohnJohn

03/08/2010 à 14h04

mark's écrivait:
----------------

> Sujet jeune mais FUMEUR.
>
> Il me gonfle pour un blanchiment.
>

Tout est dit : Fumeur+emmerdeur= NON, c'est NON !


maz

03/08/2010 à 14h30

ça semble être une indication d'éclaircissement externe, tu fais une gouttière pour une seule dent, tu lui expliques bien comment mettre le produit que ça aille pas sur les dents à coté et tu lui dit qu'il faut être patient.
et tu peux toujours te protéger en parlant déjà de facette si ça marche pas

par contre, faut arrêter de fumer pour ça, donc tu pourra voir si il est vraiment motivé :)

produit : n'importe quel peroxyde de carbamide ... entre 10 et 20% ... je crois pas que ce soit très important

 claircissement 21 apr s cqpbwi - Eugenol
 claircissement 21 avant bueyjx - Eugenol

Zoe   son arriv e whwqpj - Eugenol
emma

03/08/2010 à 15h57

maz écrivait:
-------------
> ça semble être une indication d'éclaircissement externe,

+1

pour rebondir sue ce sujet, ceux et celles qui pratiquent l'éclaircissement interne ont-ils ou elles de bon résultats?

j'ai fais ce protocole avec un produit du commerce pour deux prémolaires complètement noircies par les produits d'obturation employés par le praticien précédent, j'ai eu de bons résultats quant à l'éclaircissement, mais les dents se sont avérées très fragilisées par cette méthode, j'ai pourtant, comme à mon habitude, suivi le protocole préconisé par les cours que j'ai suivi à ce sujet et par les recommandations du fabriquant.

est-ce du à l'oxydation des produits utilisés en première intention ou est-ce le fait de l'éclaircissent?
--
Emma


chicote64

08/08/2010 à 21h30

une amie a voulu rendre service à un de ses copains:11 dépulpée depuis 20 ans (vilaine).Elle a voulu lui faire un blanchiment interne:résultat fracture de la couronne proces perdu par mon amie , bon courage!