Cookie Consent byPrivacyPolicies.comSummers quels instruments??? - Eugenol

Summers quels instruments???

Photo pluton1b h9n4ea - Eugenol
pluton

12/11/2010 à 00h40

le kit est livré avec 2 séries "d'ostéotomes" à visser, des convexes qui servent à densifier l'os, effracter la corticale sinusienne (4 tailles) et concaves pour racler les parois et pousser de l'os/biomat (3 tailles)
et en plus, à toi les joies de l'expansion...;-)


Christophe13

13/12/2010 à 14h13

Depuis 2/3 ans je me sers de l OSTEOSINUS de Boukhris, je trouve que c'est assez simple à utiliser et comme dans le cas de la "Récession par ROG" où je me suis fait plein de nouveaux amis c'est fiable, reproductible après bien évidement une formation.

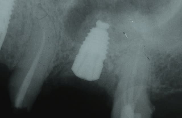
Présentation du cas : extraction de 26 , attente 2 mois cicatrisation, hauteur résiduelle estimé à 5 mm , mauvaise surprise après avoir oté le provisoire, très belle crète bien large mais invaginée en son centre.
Forage au milieu à 3mm + effraction du plancher ,manoeuvre de Walsava OK, bourrage au Gen Oss (0.5cc) , re Walsava, et implant IDCAM 10/5.2 bloqué au maximum .

Pour ceux qui n'en n'ont jamais fait avant d'attaquer entrainez nous avec une jauge implanto à ressentir l'élasticité de la membrane après l'extraction de dents type 6/7 par exemple

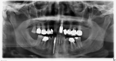
Pano b7ukst - Eugenol

Christophe13

13/12/2010 à 14h15

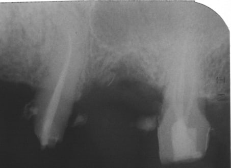
oups , les photos de ce matin.

Copie de img 4513 qvvptt - Eugenol
Copie de img 4514 ewj6gz - Eugenol

PopHip

13/12/2010 à 14h53

pluton écrivait:
----------------
> le kit est livré avec 2 séries "d'ostéotomes" à visser, des convexes qui servent
> à densifier l'os, effracter la corticale sinusienne (4 tailles) et concaves pour
> racler les parois et pousser de l'os/biomat (3 tailles)
> et en plus, à toi les joies de l'expansion...;-)

Utilisés la semaine dernière pour gagner a peine 2mm, histoire de pas jouer les cowboys. Impeccable !! Merci du tuyau !


Smile beach jgh0a1 - Eugenol
Céramik

13/12/2010 à 15h35

Christophe13 écrivait:
----------------------
> oups , les photos de ce matin.


P'tite question...
sur la radio post-op, l'espace entre l'implant et la pré-molaire, non comblé, ne causera pas de problème ?

J'aurais tenter un SA-3, pour comblé plus large et évité ce vide, qui est un ramasse bactérie dans le sinus...


--
Céramik


Christophe13

13/12/2010 à 16h36

pour céramik
peut être , mais je parie plutot sur une remontée générale du plancher dans ce secteur, vu la faible distance avec la prémolaire.
On va faire comme d'hab, on va attendre les photos à 6 mois pour savoir qui a raison.

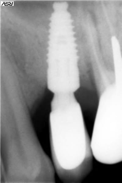
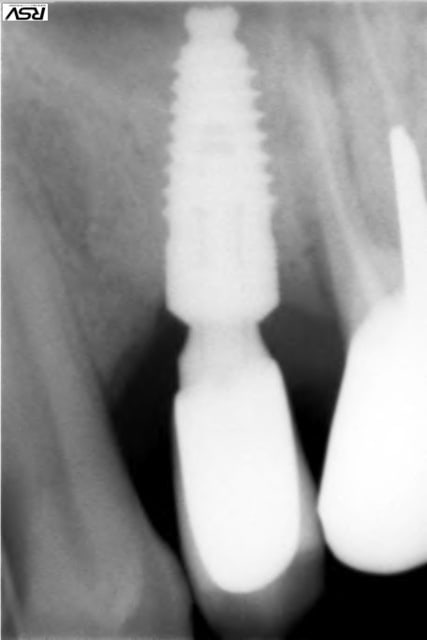
Tiens jette un coup d'oeil sur la partie mésial de cet implant sans comblement où 3 spires ont été englouties dans la cicatrisation osseuse

1 mrz3ip - Eugenol
2 ubljjt - Eugenol

Smile beach jgh0a1 - Eugenol
Céramik

13/12/2010 à 17h07

Christophe13 écrivait:
----------------------
> pour céramik
> peut être , mais je parie plutot sur une remontée générale du plancher dans ce
> secteur, vu la faible distance avec la prémolaire.
> On va faire comme d'hab, on va attendre les photos à 6 mois pour savoir qui a
> raison.
>
> Tiens jette un coup d'oeil sur la partie mésial de cet implant sans comblement
> où 3 spires ont été englouties dans la cicatrisation osseuse


3 spires, cool, mais il en reste quelques une ?
Tu aimes le risque...
La racine mésiale de la 6 ne te fais pas peur ?

;-)


--
Céramik


sinclair

13/12/2010 à 18h58

Céramik écrivait:
-----------------
>
>
> J'aurais tenter un SA-3, pour comblé plus large et évité ce vide, qui est un
> ramasse bactérie dans le sinus...
>
>
> --
> Céramik

Salut ceramik

J'avoue n'avoir jamais pense a cet argument
Est ce qu'il existe de ls biblio la dessus?
Merci


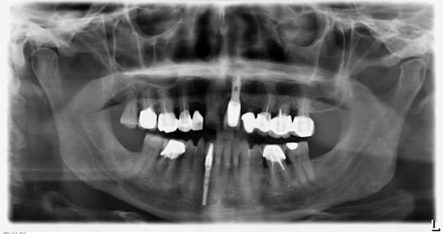
Img 0812 mvp6i0 - Eugenol
jeamba

13/12/2010 à 19h03


> Céramik écrivait:
> -----------------
> >
> >
> > J'aurais tenter un SA-3, pour comblé plus large et évité ce vide, qui est un
> > ramasse bactérie dans le sinus...
> >
> >
> > --
> > Céramik
>
> Salut ceramik
>
Pour ne pas me coucher bête ce soir, que veux-tu dire par SA-3 ?
Merci.


Smile beach jgh0a1 - Eugenol
Céramik

13/12/2010 à 19h16

Terminologie du Dr Misch pour les élévations sinusales
SA-1-2-3-4


SA-3 :
􀁹 SA-3 pour une hauteur résiduelle comprise entre 5 et 8 mm pour laquelle un volet latéral est
nécessaire, mais où les implants peuvent être posés dans le même temps que le comblement sous-sinusien, à la condition que leur stabilité primaire soit assurée;


http://implanto-cio-marseille.com/fichiers/Publications/Sinus.pdf


page 2, voir graphique.




--
Céramik


Smile beach jgh0a1 - Eugenol
Céramik

13/12/2010 à 19h22

sinclair écrivait:
------------------
> Céramik écrivait:
> -----------------
> >
> >
> > J'aurais tenter un SA-3, pour comblé plus large et évité ce vide, qui est un
> > ramasse bactérie dans le sinus...
> >
> >
> > --
> > Céramik
>
> Salut ceramik
>
> J'avoue n'avoir jamais pense a cet argument
> Est ce qu'il existe de ls biblio la dessus?
> Merci

C'est une remarque personnelle suite à mes formations chez Misch.
Le sinus doit évacuer une bonne quantité de mucus tout les jour, et les cul de sacs favorisent l'accumulation, épaississement membranne, sinusite chronique, etc.
Donc, si possible, éviter en manipulant le sinus, de créer ces poches...
Des patients avec des sinus fortement pneumatisés rapportent moins de sinusite, car le volume normal est rétabli suite à l'élévation (qui est en fait un repositionnement, par une réelle élévation...)

Je dis cela, mais je me trompe peut-être...
j'aurais comblé plus...

--
Céramik


Img 0812 mvp6i0 - Eugenol
jeamba

13/12/2010 à 19h26

Merci céramik


S2y2o1v7q53ws4r5wy6ou8czrpom - Eugenol
pxav

13/12/2010 à 21h59

Céramik écrivait:
-----------------
> Je dis cela, mais je me trompe peut-être...
> j'aurais comblé plus...
>
> --
> Céramik

+1
et la 6 racine mésiale....
--
xbk
La théorie, c'est quand on sait tout et que rien ne fonctionne. La pratique, c'est quand tout fonctionne et que personne ne sait pourquoi. Albert EINSTEIN


3f3boxni50k58rq7e9ce9ddqrxgk - Eugenol
dentiste57

14/12/2010 à 00h46

Christophe13 écrivait:
----------------------
> oups , les photos de ce matin.

je te trouve couillu!
j'aurai certainement fait un sa4 donc sinus lift, comme le dit.. ça va devenir un ramasse poussière.


Smile beach jgh0a1 - Eugenol
Céramik

14/12/2010 à 01h59

dentiste57 écrivait:
--------------------
> Christophe13 écrivait:
> ----------------------
> > oups , les photos de ce matin.
>
> je te trouve couillu!
> j'aurai certainement fait un sa4 donc sinus lift, comme le dit.. ça va devenir
> un ramasse poussière.
>

Donc tu penses aussi qu'il faut éviter de créer "poches" dans le sinus ?

--
Céramik


Christophe13

14/12/2010 à 14h48


Cette histoire de poche est très intéressante et l'article de Moheng également.
Mais des panos de sinus lift par voie latérale fait par des confrères spécialisés où il y a un gros manque au niveau de la partie distale du pilier canin je peux t'en montrer quelques unes...
Sans parler des interventions loupées


Quant à la racine mésial de la 26 , c'est une des premières coiffe métal que j'ai réalisé en 1997, et vu la forme fine de la racine j' y touche pas, elle ne m'empêche pas de dormir et le patient non plus .
Désolé si elle vous rend insomniaques

A chaque fois qu'on montre une photo ou une radio , il ya toujours un confrère qui va chercher la petite bête sur un pb qui est hors sujet. C'est désespérant...
Heureusement que vous n'êtes pas dentistes conseils !


Img 0812 mvp6i0 - Eugenol
jeamba

14/12/2010 à 16h53

Il faut penser à la bouteille à moitié pleine et positiver, peut être qu'il y en a ou deux qui pinaillent ( c'est le jeu et il faut accepter ses règles )mais sûrement beaucoup apprécient.


S2y2o1v7q53ws4r5wy6ou8czrpom - Eugenol
pxav

14/12/2010 à 21h57

Christophe13 écrivait:
----------------------
> C'est désespérant...
> Heureusement que vous n'êtes pas dentistes conseils !
>
toute la différence avec cingulum!
http://www.eugenol.com/sujets/391077-bridge-avec-taquet-d-occlusion-sur-l-un-des-pilier?page=1#post_528969
Sur Eugenol les brosses à reluire c'est entre potes, ou alors niveau Olivier, sinon nonol c'est fait pour apprendre, désolé si nous t'avons froissé?

--
xbk
Au commencement, Dieu ne savait pas qu'il était Dieu, puisqu'il était tout seul. Pour savoir qu'on est Dieu, il faut être deux: un qui est Dieu, et l'autre qui lui dit: «Mon Dieu».

François Cavanna


Avatar ow44t3 - Eugenol
Chicot

15/12/2010 à 09h16

Christophe13 écrivait:
----------------------
>
> Cette histoire de poche est très intéressante et l'article de Moheng également.
> Mais des panos de sinus lift par voie latérale fait par des confrères
> spécialisés où il y a un gros manque au niveau de la partie distale du pilier
> canin je peux t'en montrer quelques unes...
> Sans parler des interventions loupées
>
>
> Quant à la racine mésial de la 26 , c'est une des premières coiffe métal que
> j'ai réalisé en 1997, et vu la forme fine de la racine j' y touche pas, elle ne
> m'empêche pas de dormir et le patient non plus .
> Désolé si elle vous rend insomniaques
>
> A chaque fois qu'on montre une photo ou une radio , il ya toujours un confrère
> qui va chercher la petite bête sur un pb qui est hors sujet. C'est
> désespérant...
> Heureusement que vous n'êtes pas dentistes conseils !
>

C'est pas parceque c'est toi qui a réalise la coiffe en 1997 que l'endo est bonne:

Les bactéries risquent d'envahir la zone manipulée à tout moment. N'aurait-il pas mieux

traiter cette 6 ( endo, amputation, exo,...) avant de poser l'implant ?

Les poches intrasinusiennes sont à éviter si possible, mais parfois c'est pas si facile.

Il faut raisonner physiologie pas uniquement " faut que j'y fourre le sinus pour placer ma cheville" !

Sinon + 1 avec Ceramik et papa xav'

;O)


C'est pour la même raison qu'il faut vérifier la perméabilité du méat moyen
--
;O)


12