Cookie Consent byPrivacyPolicies.comPulpolithe => CAT? - Eugenol

Pulpolithe => CAT?

Krakinette

20/08/2010 à 15h36

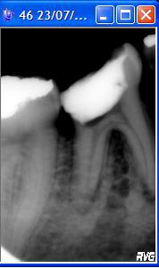
Bonjour, j'ai une patiente de 20ans que j'ai vu pour une pulpite sur 46, ouverture de chambre etc, jusque là classique.
Le problème c'est la radio (cf pièce jointe). Je pense à un pulpolithe (à seulement 20ans :s) mais je ne sais pas quoi en faire...
Si j'essaye de le faire sauter vu l'épaisseur du plancher et l'existence probable des multiples canaux accessoire pour faire une couronne sur cette dent ca va être périlleux.
Si je le laisse je crains les douleurs et une contamination de mon endo...

J'ai aussi une image bizarre au niveau des racines mésial (début de résorption?), je referrais une radio.

Vous feriez quoi?

Merci à tous!

Sans titre hp03rj - Eugenol

Tozzi

20/08/2010 à 15h48

Il est préférable d'enlever cette calcification sinon c'est l'échec assuré. Normalement çà s'enlève en le mobilisant.
Surveiller l'évolution de la résorption et la sensibilité dans les mois qui suivent le traitement.
Couronne immédiate risquée surtout avec un support parodontal affaibli.


Krakinette

20/08/2010 à 15h51

Il ne bouge pas à la sonde, je n'ai pas encore essayé les US.
Tu crois que la dent va supporter un IC après avec un plancher si faible?


Cd7ab0fb be26 42ce a229 3d3cb85fbdc0 wqmnyz - Eugenol
dorado

20/08/2010 à 16h22

ça semble mal barré pour cette dent!
vu la longueur de la racine distale, la carie qui descend très bas, un IC + CCM n'ira pas loin dans le temps
perso, je propose exo+implant
depuis 20 ans que j'implante, j'ai largement plus confiance en une couronne sur implant qu'en ce genre de dent qu'on récupère après moultes acrobaties endodontotinesques!


Krakinette

20/08/2010 à 17h04

J'ai déjà parlé d'implant et elle n'a pas de sous :/


Pure msn be1nue - Eugenol
drilleur

20/08/2010 à 21h46

je pose une question peut etre idiote mais vu la taille de la dent, il ne pourrait pas s'agir de sa molaire de lait, pas de résorption, suite à une agénésie de sa permanente?

possible? pas possible?


Krakinette

20/08/2010 à 23h10

J'avoue ne pas m'être posé la question, elle est bien bien délabrée mais sa forme et teinte ne m'a pas paru bizarre. Je revois la patiente demain, je ferais attention.


Krakinette

20/08/2010 à 23h10

Et donc pas d'autres avis pour mon pulpolithe? je fais sauter? et après je met quoi dans la dent pour reconstituer? :X


Tozzi

21/08/2010 à 12h40

Il faut confirmer qu'il s'agit bien d'une calcification et que le plancher se situe bien juste au dessus de la furcation. Pour cela, tu peux voir la dent controlatérale.


Canin

21/08/2010 à 12h49

Une petite extraction-implantation immédiate c'est pas mal non plus.

Tu es sûre qu'il s'agit d'une véritable 46 ?? ça ressemble à une dent de lait non ????

il faut bien informer le patient que l'avenir de cette dent est sérieusement compromis et que tu peux rien lui promettre.

--
Canin


Pierre-E

21/08/2010 à 13h29

Mouais, je penche pour une dent lactéale également. La chambre d'une 46 ressemble pas à ça, là elle est trop large, les canaux trop rectilignes.


Krakinette

21/08/2010 à 20h00

Pour le "plancher" que je vois pour le moment c'est jaunatre et granuleux, pas lisse, j'ai jamais vu un tel aspect (jamais vu de pulpolithe non plus).
Sinon je n'ai pas vu la patiente ce matin, elle n'est pas venue.. mais effectivement je m'étais fait la réflexion que les racines étaient plus courtes mais l'hypothèse "dent de lait" n'a pas fait son chemin (un peu honte quand même).

Bon du coup, SI elle revient, j'essaye de faire sauter aux US et j'avise après en fonction de ce que je trouve dessous?


Smile beach jgh0a1 - Eugenol
Céramik

21/08/2010 à 20h12

Krakinette écrivait:
--------------------
>> effectivement je m'étais fait la réflexion que les racines étaient plus courtes
> mais l'hypothèse "dent de lait" n'a pas fait son chemin (un peu honte quand
> même).
>

+1 dent primaire...
exo et implant...

>Céramik


Pure msn be1nue - Eugenol
drilleur

21/08/2010 à 21h30

c'était donc bien une lactéale, et de l'autre coté ça donne quoi?


Krakinette

22/08/2010 à 01h39

drilleur écrivait:
------------------
> c'était donc bien une lactéale, et de l'autre coté ça donne quoi?

La patiente m'a posé un lapin ce matin donc je n'ai pas pu regarder avec attention mais je sais que j'ai soigné la 7 de l'autre coté et la 6 ne m'a pas paru étrange. Après certaines 5 de lait sont tellement grosses que je ferai une radio si elle revient pour comparer les 2.


Smile beach jgh0a1 - Eugenol
Céramik

22/08/2010 à 04h14

Krakinette écrivait:
--------------------
> drilleur écrivait:
> ------------------
> > c'était donc bien une lactéale, et de l'autre coté ça donne quoi?
>
> La patiente m'a posé un lapin ce matin donc je n'ai pas pu regarder avec
> attention mais je sais que j'ai soigné la 7 de l'autre coté et la 6 ne m'a pas
> paru étrange.


Comme la 85 sur la radio ?
;-)



Après certaines 5 de lait sont tellement grosses que je ferai une
> radio si elle revient pour comparer les 2.

Si elle revient...la lapine...



--
Céramik


Krakinette

22/08/2010 à 19h03

Si elle revient oui, je vais pas lui courrir après non plus! ^^