Cookie Consent byPrivacyPolicies.comJe sais pas quoi faire.. - Eugenol

Je sais pas quoi faire..

dentinatum

07/09/2010 à 14h48

Bonjour

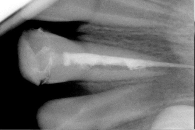
Gamin de 8 ans, fracture de sa 21 suie a trauma..
Vu en urgence..Pulpectomie, mise en place d'hydroxide de calcium..explications,certificat,..

Revu 15 jours apres..Hydroxide de calcium de nouveau..

3 semaine plutard (5 semaines après trauma)..Tentative d'endo..le gamin qui pleure, qui bouge etc...Finalement un gros dépassement...

Que dois je faire pour la suite,avez vous des avis à me donner..J'avais dit aux parents que peut etre il fallait extraire plus tard pour mettre un implant et tout...


Merci à vous

15405006 envihd - Eugenol

Blondie

07/09/2010 à 15h18

A 8 ans, l'apex est immature. Tu n'aurais pas dû tenter l'obturation définitive d'emblée, mais au choix :
- une apexogenèse s'il était possible de conserver la vitalité pulpaire
- une apexification ou encore mise en place d'un bouchon de MTA dans le cas contraire.

Dans ce cas là, je tenterais de désobturer. Avec un peu de chance le cône de gutta ressort complétement. De toute façon, dépassement ou pas, l'obturation n'est pas satisfaisante.

Pour la suite du traitement, si tu ne sais pas faire, délègue car un mauvais traitement remet fortement en cause le pronostic de la dent...


levm

07/09/2010 à 15h26

Je ne suis pas un expert en endo , ni en pédo . Mais je pense que tu aurais du laisser plus longtemps l'hydroxyde de calcium afin de tenter une apexification.
L'utilisation de MTA aurait été judicieux , je pense .
Le dépassement que tu as fait était prévisible , tu n'as pas jaugé le diamètre apicale (les apex ne sont pas fermés).
Avant d'obturer , il aurait fallut que tu fasses une radio cône en place à LT-1mm avec de la friction au retrait.
Je pense qu'il aurait été préférable que tu adresses à un endo.
Je pense qu'avant l'implant t'as l'option "chirurgie à rétro"


Capture d écran 2021 07 12 à 23.31 - Eugenol
mêmepasmal

07/09/2010 à 15h38

as tu mis une contention?
Comme l'ont dit les autres, il faut retirer le cône et tenter une apexification maintenant qu'il n'y a plus de tissu pulpaire....
si il n'y a pas de résorption qui se met en place, pourquoi extraire et mettre un implant? Il faut tenter des solutions plus simples avant, et l'implant ça ne sera pas avant ses 18-20 ans alors.....


levm

07/09/2010 à 15h43

http://www.adf.asso.fr/cfm/site/thesaurus/detail_conference.cfm?rubrique_origine=47&conference=110/2006

L'obturation a du être réalisée avec un monocone +ciment , le ciment a du durcir , je ne vois pas comment il va pouvoir récupérer le cône en entier .


Capture d écran 2021 07 12 à 23.31 - Eugenol
mêmepasmal

07/09/2010 à 15h45

levm écrivait:
--------------
> http://www.adf.asso.fr/cfm/site/thesaurus/detail_conference.cfm?rubrique_origine=47&conference=110/2006
>
> L'obturation a du être réalisée avec un monocone +ciment , le ciment a du durcir
> , je ne vois pas comment il va pouvoir récupérer le cône en entier .

en croisant les doigts....


Mosquitogif zt3c7k - Eugenol
mosquito

07/09/2010 à 16h38

levm écrivait:
--------------
> L'obturation a du être réalisée avec un monocone +ciment , le ciment a du durcir
> , je ne vois pas comment il va pouvoir récupérer le cône en entier .
------
en évitant d'utiliser un solvant quelconque,.
en passant un instrument le long du cône il va sortir vu le manque de densité de l'obturation.


levm

07/09/2010 à 17h33

meme en passant un instrument , c est tres dur a sortir .


marcus

07/09/2010 à 23h38

levm écrivait:
--------------
> meme en passant un instrument , c est tres dur a sortir .

Mais non !
y a un cone , et on voit que le canal n'est pas rempli

1) Passer un insert N° 4O de chez SATELEC sans eau pendant 5à6 secondes pour exploser le ciment et que la chaleur fonde le cone à l'entrée du canal.

2) irriguer l'entrée , puis le canal au fur et à mesure de l'avancée avec de l'acétate d'éthyle ( en vente dans toutes les bonnes pharmacies )
l'acetate fait fondre la gutta ainsi que la plupart de nos ciments canalaires (sauf les bakélites qu'on utilise plus depuis les années 80 )

3) désobturer avec le kit de désobturation Protaper ( 3 limes géniales les seules du système protaper qui ne pètent pas !) tout en irriguant à l'acetate.

Durée de l'opération 5 minutes maxi ( le cone se collera à une des limes du kit et remontera avec)

Aprés , la question se pose pour une bonne réobturation et un vrai avenir pour cette dent.


MAUVE

17/10/2010 à 23h31

bonjour,
certes on ne peut pas remonter le temps,
mais pour éviter ce genre de situation si manque de coopération de l'enfant, il faut différer l'obturation finale et remettre un CaOH, même mal mis,
et laisser l'enfant grandir, sans le perdre de vue évidemment.
sinon, la désobturation de ce cas ne me parait pas si difficile, c'est un tel boulevard.