Cookie Consent byPrivacyPolicies.comImage étrange - Eugenol
Le Gaucher

17/09/2010 à 15h26

Bonjour
Quelques radios d'un cas en cours de traitement.
Aucun signe d'infection, pas de voussure, sauf une fistule en distal de la 13 qui apparaitrait régulièrement.
A votre avis la 12 peut elle être a l'origine des 2 lésions.
Si c'est le cas, l'extraction de la 12 pourait elle permettre de sauver la 13.
Qui est pour tout extraire (11 12 13)?
Une scanner pourrait-il être utile pour tenter d'en sauver une, afin de détemriner l'origine de la lésion ?

Merci de votre aide

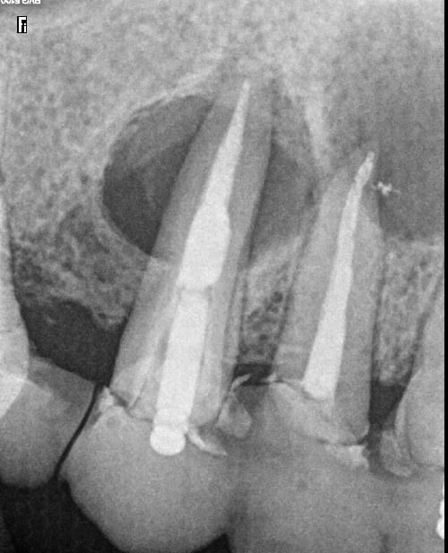
Capture plein  cran 16092010 181813 - Eugenol
Capture plein  cran 16092010 181849 - Eugenol
Capture plein  cran 16092010 181746 - Eugenol

Cuisinier2 vnbbxx - Eugenol
jeff2

17/09/2010 à 15h37

Direct chez un endo qui possède un cône beam.

--
FSDL What Else?


3f3boxni50k58rq7e9ce9ddqrxgk - Eugenol
dentiste57

17/09/2010 à 15h47

11 et 13 en cause pour moi.


Fouilla h6plsy - Eugenol
fouilla

17/09/2010 à 20h35

13 parait fenestrée de vestibulaire en palatin
donc ROG à ce niveau indispensable non ?


--
.


33.2 - Eugenol
scuba06

17/09/2010 à 22h54

Pas de rétro alvéolaire avant la dépose des prothèses?
Un scan (ou cone beam) te permettra de visualiser avec précision l'étendue de la lésion.. peut être de mettre en évidence une fenestration de 13 (indication de chir endo).


Olieve

18/09/2010 à 19h27

Je n'ai que la pano pour juger mais quand on regarde l'état paro de la 23 (avec une 22 en extension...) et l'apex de 26.... + 13 + 12 + syndrome du lapin => extraction et plan de traitement prothétique.


flicflac

29/09/2010 à 07h09

est-ce possible que les lésions soient devenues kystique
fort volume....


endotitine

04/10/2010 à 14h15

hello, pourquoi ne pas glisser un cone de gutta dans la fistule et faire une radio pour déterminer la dent causale? méthode donnée par un prof. biz


Le Gaucher

04/10/2010 à 17h49

Merci de vos réponses.
La 23, donc de l'autre coté, a été extraite (racine explosée par un pivot énorme), et pas de fistule visible actuellement pour glisser une cone de gutta.
Je prépare l'ordonnance pour un scanner, mais je suis de plus en plus persuadé que ça finira par une triple extraction. Difficile à faire avaler à un patient (genre analysant) qui ne ressent rien de particulier, qui ne veut pas de PAP et n'a pas les moyens pour un traitement implantaire type bridge complet et qui voulait à la base juste "refaire les couronnes là devant".
Quand j'ai le scanner ,je le mets en ligne.


endotitine

06/10/2010 à 00h40

ok!
tu diras ce que ton patient accepte comme plan de traitement? ce serait sympa...


marcus

06/10/2010 à 01h44

endotitine écrivait:
--------------------
> hello, pourquoi ne pas glisser un cone de gutta dans la fistule et faire une
> radio pour déterminer la dent causale?


+10 évident brav'endotitine !


Le Gaucher

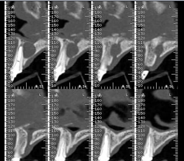
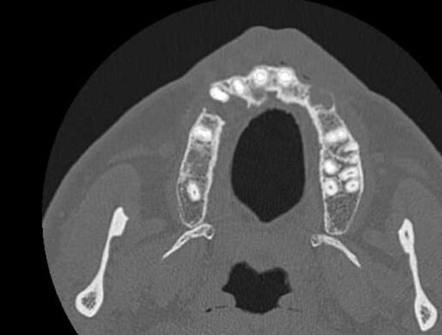
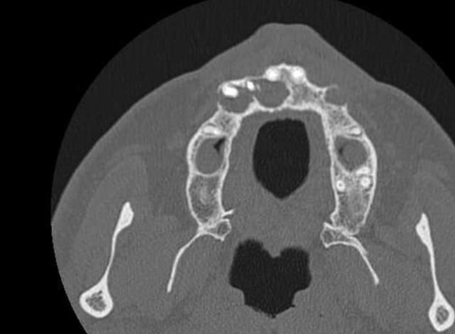
10/11/2010 à 16h18

Voilà j'ai mieux que la gutta (pas de fistule visible en ce moment de toute façon )
Un scan. Voici quelques extraits.

Donc on extrait tout ce qui reste devant, on est d'accord ?

Capture plein  cran 08112010 195339 iooxx8 - Eugenol
Capture plein  cran 08112010 195200 hqvtaj - Eugenol
Capture plein  cran 08112010 195226 zdxd00 - Eugenol
Capture plein  cran 08112010 195332 dbvpuh - Eugenol

aldo74

10/11/2010 à 22h10

il semble y avoir une communication avec les sinus frontaux visible sur les coupes ,personnellement je serai très méfiant sur les extractions,que je déléguerais car les suites risques de ne pas être si simples, et ne les ferais pas sans avoir préalablement défini un plan de traitement post chirurgical surtout si le patient ne se plaint de rien actuellement;car ce type de situation mal anticipée peut amener des conflits.


Avatar 46 aoi1yc - Eugenol
HononLulu

10/11/2010 à 23h14

Pourquoi tu ne mets pas toutes les coupes en rapport avec la 13 ?

--
FSDL , what else ?


Canin

11/11/2010 à 11h40

aldo74 écrivait:
----------------
> il semble y avoir une communication avec les sinus frontaux --


T'en es bien sûr ????


Canin


aldo74

11/11/2010 à 21h43

il semble ....on sera sur quand on sera dedans!!


Le Gaucher

11/11/2010 à 22h50

J'ai pas prévu de réaliser cette chirurgie moi même heureusement. Le radiologue a en effet parlé au patient d'un possible commnunication (mais rien sur le compte rendu officiel bien sur).Si il y communication, celà posera t-il problème pour réaliser un comblement en vue d'un traitement implantaire ?


rene

12/11/2010 à 07h58

sinus frontaux??????

peut etre une communication avec les fosses nasales , mais les sinus frontaux me paraissent plus haut !



aldo74

12/11/2010 à 22h21

c'est pas faux


rene

13/11/2010 à 02h06

c'est meme juste o))))


dk

19/11/2010 à 00h47

Dépose de la prothèse puis évaluation du cas avec nouvelles radios


RépondreCiter
Le Gaucher

19/11/2010 à 01h06

Ah ! ok dk, bonne idée.