Cookie Consent byPrivacyPolicies.comA votre avis...? - Eugenol

A votre avis...?

Lily

17/09/2010 à 23h06

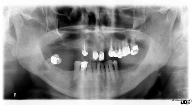
Un patient de 80 ans, ancien fumeur, en bonne santé si on excepte un diabète type 2 compensé diagnostiqué à 46 ans, âge auquel il a arrêté de fumer.

Il n'a pas vu de dentiste depuis 20 ans et vient pour faire refaire sa prothèse maxillaire. Il ne porte plus la mandibulaire depuis 10 ans ("elle était devenue gênante").

Je me pose des questions sur l'image en apical de la 47, qui est vitale et normalement mobile, insensible à la percussion.

Il n'y a pas de voussure, ni de ganglions, aucune sensibilité particulière.

j'ai tenté de faire une rétro, mais ce n'est pas facile sur un vieux monsieur qui n'a pas vu de dentiste depuis vingt ans...

A votre avis?

Merci par avance!

Panoramique 47 jwyn0p - Eugenol

3f3boxni50k58rq7e9ce9ddqrxgk - Eugenol
dentiste57

18/09/2010 à 00h15

l'empreinte osseuse d'une glande quelconque???


Canin

19/09/2010 à 12h39

Vu l'âge et le contexte..., cette image ne correspond sans doute à aucune lésion suspecte.

il faudrait palper la mandibule pour voir si tu sens une lacune à ce niveau du côté linguale.

la mandibule peut être simplement plus fine de ce côté par rapport au côté opposé tout simplement.

sinon l'hypothèse de la "glande quelconque" est possible sauf que la glande en question est la submandibulaire et par un prolongement antérieur peut "creuser" la mandibule" sur sa face interne et donner ce qu'on appelle la fameuse "lacune de stafne". La topographie et le type d'image correspondent.

Si tu veux investiguer d'avantage tu peux en première intention faire faire une échographie de la glande submand pour obersver un éventuel prolongement antérieur et discuter ainsi avec le radiologue de ton hypothèse. ça coûte rien, c'est rapide et indolore mais en même temps risque d'être faiblement contributif.

en fonction des résultats un petit scanner.


--
Canin


Logo m4n3gc - Eugenol
drmarcus

19/09/2010 à 12h51

Pas de pathologie! Symptomatique ou clinique! Pas de demande du patient! La radio n'étant pas un diagnostic je n'évoque même pas le sujet au patient et je note sur son dossier pour une demande ultérieure.


Dent clr a8dwyo - Eugenol
Lounille

19/09/2010 à 14h24

Drmarcus,

Quand on sait que les tumeurs ou lésion les plus mauvaises sont en général indolore, je ne suis spécialement d'accord avec ton post...

Dans ce cas là on est face à un dépistage, et meme si ce n'est rien au final, je pense qu'il ne faut pas faire l'autruche

--
Lounille


Canin

19/09/2010 à 18h00

quand on regarde l'otp de plus près, on remarque également une "raréfaction osseuse" du coté opposé mais qui est moins marqué.

a priori je penche pour une particularité anatomique, étant entendu que se que j'avance se base uniquement sur le petit otp fourni et le l'anamnèse rapportée.

--
Canin


Lily

20/09/2010 à 12h29

Merci de vos réponses. C'est à peu près ce que j'espérais lire. A la palpation je n'ai rien noté d'anormal, je vais donc m'abstenir et simplement notre "à surveiller" sur le dossier.

De toutes manières je n'en n'avais pas parlé au patient (inutile de lui faire passer une mauvaise semaine...).

Merci encore, c'est bien de savoir qu'on à quelqu'un à qui demander conseil!