Cookie Consent byPrivacyPolicies.comCarie Sous Gingivale: Comment traiter ? - Eugenol

Carie Sous Gingivale: Comment traiter ?

3f3boxni50k58rq7e9ce9ddqrxgk - Eugenol
dentiste57

26/09/2010 à 12h31

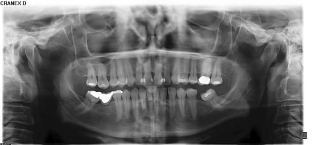
j'ai un patient qui vient en consultation pour ce que je croyait n'être qu'une simple mylolyse. douleur lors du brossage, petits chocs éléctriques, ...mais aussi douleur avec le sucre (inhabituel pour les mylolyses).

en regardant, je ne vois rien,et pas de mylolyse.
" vous êtes sure?"

je fais une radio, et là.! voici ce qu'on trouve; une jolie cavité dans laquelle la sonde pénètre bien facilement.

je vais faire un lambeau muco-périosté, sécher et isoler au mieux avant de reconstituer.
mais avec quoi ? amalgame, composite, onlay, ..????
comment va se comporter la gencive en contacte avec cette restauration ???
bref , vos avis .

R1 ku4yvz - Eugenol
Dsc 9431 tswtbf - Eugenol

Www resimcity com kus resimleri 2 pkbmdm - Eugenol
all-ex

26/09/2010 à 12h54

j'aurai essayé du cvi.. ou tr et inlay si pas d'autre choix


Canin

26/09/2010 à 12h59

Mon avis est que si ça "plonge" et que le patient a un certain âge, il vaut mieux dévitaliser la dent car la pulpe a déjà souffert pas mal d'après ce que tu rapportes.

Ensuite déplacer la gencive apicalement et faire une couronne.

juste restaurer c'est se garder la possibilité à moyen terme d'une pulpite ou nécrose à bas bruit

à toi de voir si cette carie est pas trop prodond.

toujours est-il que si tu laisses la gencive en l'état avec la restauration il y aura une inflammation perssistante jusqu'à que l'espace biologique se reforme avec rétraction.



--
Canin


Canin

26/09/2010 à 13h01

Il faut aussi essayer de comprendre pourquoi le patient a dévéloppé une telle carie, restaurer dans les mêmes conditions va conduire à une récidive car on agit pas sur la cause

--
Canin


55 s2ba7n - Eugenol
Bjorn Again

26/09/2010 à 13h06

Canin écrivait:
---------------

> toujours est-il que si tu laisses la gencive en l'état avec la restauration il y
> aura une inflammation perssistante jusqu'à que l'espace biologique se reforme
> avec rétraction.
>


Je ne connais pas cette technique d'élongation coronaire, ça vient de quel pays?


johnnybegood

26/09/2010 à 13h09

hello
je suis d avis de canin: elongation coronaire et reconstitution prothetique...


Canin

26/09/2010 à 13h12

Bjorn Again écrivait:
---------------------
> Canin écrivait:
> ---------------
>
> > toujours est-il que si tu laisses la gencive en l'état avec la restauration il
> y
> > aura une inflammation perssistante jusqu'à que l'espace biologique se reforme
> > avec rétraction.
> >
>
>
> Je ne connais pas cette technique d'élongation coronaire, ça vient de quel
> pays?


ça vient du pays où les praticiens ne connaissent pas le concept de l'espace biologique.

--
Canin


55 s2ba7n - Eugenol
Bjorn Again

26/09/2010 à 13h14

:-)


Marque a3 orange fyvhyq - Eugenol
Marc Apap

26/09/2010 à 14h06

Si ça se trouve, ce n'est pas une carie, mais une résorption externe. Il est possible qu'elle communique avec la pulpe, donc, on connaît la suite.
Le pb n'est pas de savoir avec quoi restaurer, le pb est d'abord d'apprécier l'étendue de la lésion et d'en tirer les conséquences.
D57, toi qui sait si bien manier le bistouri, je suis étonné que tu t'interroges sur cette histoire. Si tu fais une légère ostéoplastie (c'est possible car la furcation semble assez loin), en même temps que la gingivectomie, la cicatrisation se fera sous niveau de la lésion. Et la restauration sera au pire, juxta-gingivale. C'est bien ce qu'on recherche, il me semble ?


Grueavatar nptrc9 - Eugenol
Le Choixpeau magique

26/09/2010 à 14h28

Lambeau d'exploration et ensuite tu avises...

--
FSDL, what else ?


3f3boxni50k58rq7e9ce9ddqrxgk - Eugenol
dentiste57

26/09/2010 à 14h47

Marc Apap écrivait:
-------------------
> Si ça se trouve, ce n'est pas une carie, mais une résorption externe. Il est
> possible qu'elle communique avec la pulpe, donc, on connaît la suite.


c'est une possibilité que j'avais envisagé.
on verra bien au momoent du lambeau d'accé.

> Le pb n'est pas de savoir avec quoi restaurer, le pb est d'abord d'apprécier
> l'étendue de la lésion et d'en tirer les conséquences.
> D57, toi qui sait si bien manier le bistouri, je suis étonné que tu t'interroges
> sur cette histoire.

je m'interroge plus sur le type de matéraiux que sur la technique.
amalgame= tatouage
composite=toxicité
IRM trop poreux donc inflamation
civ ... ça pourrait le faire...
sinon, je dévitaliserai si et seulement si les douleurs persistent le patient est jeune et bénéfici donc d'un potentiel de cicatrisation plus important que le mien.


Marque a3 orange fyvhyq - Eugenol
Marc Apap

26/09/2010 à 15h05

Tu fais partie de la génération new-age écolo ?
Passons sur l'amalgame qui est d'une autre époque mais plutôt bien accepté en bouche (le tatouage gingival c'est surtout quand on fraise ou qu'il y a des métaux différents). La toxicité du composite ??? Pas plus que n'importe quoi, faut arrêter la parano. Quant à imaginer un matériau d'obturation provisoire (IRM) ou voué à la destruction à plus ou moins court terme ((CVI) quand on s'est cassé la tête à faire un chirurgie, ça me paraît pour le moins surréaliste.


3f3boxni50k58rq7e9ce9ddqrxgk - Eugenol
dentiste57

26/09/2010 à 17h21

rassure toi , je ne suis pas un écolo bobo
quand je parle toxicité, je vise surtout la ré-attache épithéliale.
si parmis vous certain sont forts en matériaux...


Smile beach jgh0a1 - Eugenol
Céramik

26/09/2010 à 17h30


+ résorbtion

MTA ?



J'ai fait un cas, lambeau, ablation d'une zolie lésion en palatin d'un 24, plus d'os sur 40% de la racine apicalement, placer MTA, 5 ans plus tard RAS...
C'est juste un cas (de chance), mais tu perds pas grand chose d'essayer...ensuite endo, chirurgie, couronne...


--
Céramik


Marque a3 orange fyvhyq - Eugenol
Marc Apap

26/09/2010 à 17h39

dentiste57 écrivait:
--------------------
> rassure toi , je ne suis pas un écolo bobo
> quand je parle toxicité, je vise surtout la ré-attache épithéliale.

Si tu fais une gingivectomie et une ostéoplastie de telle sorte que le bord apical de la lésion cervicale se trouve 2-3 mm a dessus de l'os, où est le problème de la réattache ?
Et de toutes façons, quel que soit le matériau utilisé, tu aura le même pb d'attache si tu ne respectes pas cet espace biologique.


Grueavatar nptrc9 - Eugenol
Le Choixpeau magique

26/09/2010 à 17h50

Je peux me tromper mais quoi que tu fasses tu n'auras pas de réattache, la problématique c'est surtout de savoir si tu ne vas pas être trop délabrant au niveau osseux en faisant l'élongation, mais ça tu ne pourras le voir vraiment qu'en ouvrant.
Dans une situation comme ça je ne pense pas que le MTA soit le matériau de choix.

--
FSDL, what else ?


Marque a3 orange fyvhyq - Eugenol
Marc Apap

26/09/2010 à 18h51

Absolument : il faut ouvrir et voir, puis décider ensuite.
Le MTA ce serait bon en coiffage direct, à condition que la résorption soit circonscrite. Parfois (souvent), ça ronge la dent comme un gruyère (emmental) et la seule issue est l'exérèse large de la zone détruite, ou l'extraction.


Squash u44zd8 - Eugenol
steph

26/09/2010 à 19h43

Le MTA est le mojns mauvais des choix, parce qu'il durcit en présence d'humidité, parce que compatible avec la santé paro mais on sait qu'avec le fluide gingival il aura tendance à être lavé et donc à s'éliminer progressivement.
Je l'utiliserais en 1è intention avant de faire l'élongation et la couronne.


Pa050055 igyagy - Eugenol
mark

26/09/2010 à 20h10

1- c'est ma vue qui me joue des tours ou on peut voir un compo cervical en juxta gingival?
2- si c'est le cas, l'accès à la cavité me paraît tout trouvé
3- avec un bon écarteur de gencive on doit pouvoir commencer à cureter, manuellement d'abord puis à la fraise H1SM céramique de Komet parfaitement atraumatique et respectant la dentine dure, saine ou réactionnelle
4- personnellement j'obtiens des résultats avec un CVI (Fuji IX) lissable à la spatule, facile à finir à la fraise multilames à pointe mousse (héhé! encore Komet!) sous spray pour ne pas l'échauffer, puis à finir au GC COAT

Le plus délicat reste de travailler sans digue tout en décontaminant à la chlorhexidine, en étant sûr de tenir la cavité indemne d'humidité d'origine sulculaire.

Dans le cas contraire, au mépris le plus complet de l'espace biologique, je trucide la gencive à la fraise céramique lisse (p.... son nom ne me revient pas!), sans spray, pour une découpe et coagulation thermique combinée.

Reste la question de la proximité pulpaire.

Dans le cas d'une effraction, je procède encore par la pose punctiforme de Dycal.

Bien sûr le MTA est une alternative alléchante, et plus encore le Biodentine, plus facile à manipuler, encore plus biocompatible, à prise plus rapide. Mais ici, ni l'un ni l'autre ne me permettrait raisonablement de régler le problème sans temporisation.

Alors... dans le cadre d'une dentisterie sociale, humaniste et comptable....


Marque a3 orange fyvhyq - Eugenol
Marc Apap

26/09/2010 à 20h49

La Biodentine, tu en as déjà vu la couleur ?


Pa050055 igyagy - Eugenol
mark

27/09/2010 à 03h03

Marc Apap écrivait:
-------------------
> La Biodentine, tu en as déjà vu la couleur ?


et je l'ai essayée.

Un échantillon obtenu lors d'une présentation en première mondiale à Marseille grâce au papa d'Algi ;)


Marque a3 orange fyvhyq - Eugenol
Marc Apap

27/09/2010 à 10h52

Il y a deux ans, le produit était paraît il assez long à prendre (comme matériau d'obturation coronaire): plusieurs minutes. Qu'en est-il aujourd'hui ?


Grueavatar nptrc9 - Eugenol
Le Choixpeau magique

27/09/2010 à 12h15

12 minutes apparemment


--
FSDL, what else ?


mark's

27/09/2010 à 22h07

pas mieux
ce qui contraint à remettre à une séance ultérieure l'obturation définitive en restauratrice
une contrainte dont on peut s'affranchir en endo


Smile beach jgh0a1 - Eugenol
Céramik

29/09/2010 à 04h59

Consultation ce matin...

Carie très mal placée, sous gingivale, en mésial d'un 37 bien couchée...symptômes de pulpite...

endo ?
ortho ?
chirurgie ?
alors vos idées ?

--
Céramik

X9557209 lsyw1f - Eugenol
X9557208 11 vam12o - Eugenol

12