Cookie Consent byPrivacyPolicies.comCarie Sous Gingivale: Comment traiter ? - Eugenol

Carie Sous Gingivale: Comment traiter ?

flicflac

29/09/2010 à 06h59

le patient semle assez jeune, résorbtion externe en provenance d'une réaction pulpaire, extraction et implant est le meilleur pronostic à long terme, une chururgie osseuse pour se donné accès sans la perte osseuse résultante au buccal ferais perdre de l'os nécessaire pour un implant sans compter la nécessité d'un traitement de canal,

pour ce qui est de céramik la lésion ressemble à une abfraction juxta-osseuse casé par une forc dans un mauvais axe...exo et implant


Avatar reduit tuudiu - Eugenol
saitosama

29/09/2010 à 11h05

flicflac écrivait:
------------------
> le patient semle assez jeune, résorbtion externe en provenance d'une réaction
> pulpaire, extraction et implant est le meilleur pronostic à long terme, une
> chururgie osseuse pour se donné accès sans la perte osseuse résultante au buccal
> ferais perdre de l'os nécessaire pour un implant sans compter la nécessité d'un
> traitement de canal,
>
> pour ce qui est de céramik la lésion ressemble à une abfraction juxta-osseuse
> casé par une forc dans un mauvais axe...exo et implant


Pinaise! On est loin du concept de conservation de la denture naturelle ^^

Vous feriez ça aussi s'il s'agissait de VOS dents? Personnellement, je tente TOUJOURS de conserver la dent naturelle, l'exo c'est le dernier recours... mais je suis peut être has-been avant l'age...


Grueavatar nptrc9 - Eugenol
Le Choixpeau magique

29/09/2010 à 12h17

saitosama écrivait:
-------------------
> Personnellement, je tente
> TOUJOURS de conserver la dent naturelle, l'exo c'est le dernier recours... mais
> je suis peut être has-been avant l'age...

Qu'est-ce que demande le patient ? De tenter de sauver la dent à tout prix, même si le pronostic est très réservé et qu'il risque de perdre du temps et de l'argent en cas d'échec ? Ou bien d'avoir un résultat prévisible, quitte à perdre la dent ?

--
FSDL, what else ?


Avatar reduit tuudiu - Eugenol
saitosama

29/09/2010 à 12h36

Le Choixpeau magique écrivait:
------------------------------
> saitosama écrivait:
> -------------------
> > Personnellement, je tente
> > TOUJOURS de conserver la dent naturelle, l'exo c'est le dernier recours...
> mais
> > je suis peut être has-been avant l'age...
>
> Qu'est-ce que demande le patient ? De tenter de sauver la dent à tout prix, même
> si le pronostic est très réservé et qu'il risque de perdre du temps et de
> l'argent en cas d'échec ? Ou bien d'avoir un résultat prévisible, quitte à
> perdre la dent ?
>
> --
> FSDL, what else ?

Effectivement, il faut voir ce que demande le patient. Il sera peut être de votre avis, peut être du mien ^^


55 s2ba7n - Eugenol
Bjorn Again

29/09/2010 à 13h22

En même temps son avis n'est que le résultat du discours que tu lui tiendras pour le convaincre, vu qu'il n'y connaît rien.
Donc son avis sera ton avis.


Marque a3 orange fyvhyq - Eugenol
Marc Apap

29/09/2010 à 13h38

Absolument !
On pourrait imaginer de redresser la dent par de l'ortho, puis une fois en place, la restaurer si elle ne s'est pas trop abimée entre temps.
Cela éviterai un implant supplémentaire, puisque celui remplaçant 36 est tout indiqué.
Maintenant, étant donné l'inconfort + le coût d'un tt ortho + implant de toute façon, extraction + deux implants paraît plus logique.
Maintenant, au tarif sécu, on ne peut pas faire. Et certains vont dire : grr, ces salauds de dentistes qui ne favorisent pas l'accès aux soins, et cette sécu qui ne paye rien !
Et si on disait : ces ignorants et autruches de patients qui ne se préoccupent pas de leurs dents, se les font extraire (36) et attendent la saint glin glin pour se préoccuper du reste (37 couchée).
Et puis, si on fermait les yeux et qu'on abondait dans le sens du patient qui ne veut rien faire et se porte très bien comme ça tant qu'il ne sent rien ?
Ah, la médecine n'est qu'une science humaine.


55 s2ba7n - Eugenol
Bjorn Again

29/09/2010 à 13h59

Marc Apap écrivait:
-------------------
>
> Et puis, si on fermait les yeux et qu'on abondait dans le sens du patient qui ne
> veut rien faire et se porte très bien comme ça tant qu'il ne sent rien ?


Stratégie commerciale très courante, le tout saupoudré d'un "je suis très conservateur" et on devient le dentiste "honnête" du coin, plus qu'à attendre les pulpites et autres fractures de tous les patients qu'on fait semblant de prendre en charge. Des IC+CCM pour mille ans, sans avoir à se justifier.
Certains ne prennent même plus de nouveaux patients avec cette technique des patients captifs pourrissant à petit feu.


mark's

29/09/2010 à 22h11

Il y a des praticiens qui font de l'éducation, d'autres de l'élevage...
Et si en plus les cons se reproduisent, c'est toute une carrière qui est assurée.


Smile beach jgh0a1 - Eugenol
Céramik

29/09/2010 à 22h38

J'ai suggéré ortho (même si je n'en fais pas)
La patiente (45 ans) ne désire pas l'ortho.

Reste quoi ?
exo et 2 implants, stellite (?)

Elle y pense et on verra...
si elle fait implant je placerais la suite...

Je trouvais le fil juste à point pour ce cas.



--
Céramik


flicflac

30/09/2010 à 07h03

J'ai ouvert le département des miracles plus d'une fois pour sauvés des dents compromises... et puis développement de poches péridentaires à cause de l'empiètement dans l'espace biologique. perte osseuse à quel prix? L'implantologie est très prévisible et le pronostic à long terme très bon alors pourquoi se mettre la tête sur une bûche pour sauvé à tout prix... une dent finit...combien de fois endo-pivot-couronne avec mauvais certissage ou effet virole à cause de la perte extrême de substance dentaire...fracture infection et perte de la plaque buccale....ROG et implant... L'IMPLANT aurait été la solution de choix dès le départ...

merci les cousins


3f3boxni50k58rq7e9ce9ddqrxgk - Eugenol
dentiste57

30/09/2010 à 09h52

souvent les patients ne veulent pas d'ortho car ils ne veulent pas se déplacer ou qu'ils ne veulent pas de bagues inesthétiques.
peux tu lui proposer un simple mini implant ou ancrage ortho en arrière de cette dent, et un petit élastique. parfois ça suffit et ça ne demande pas beaucoup d'efforts.


Avatar ow44t3 - Eugenol
Chicot

02/10/2010 à 13h02

flicflac écrivait:
------------------
> J'ai ouvert le département des miracles plus d'une fois pour sauvés des dents
> compromises... et puis développement de poches péridentaires à cause de
> l'empiètement dans l'espace biologique. perte osseuse à quel prix?
> L'implantologie est très prévisible et le pronostic à long terme très bon alors
> pourquoi se mettre la tête sur une bûche pour sauvé à tout prix... une dent
> finit...combien de fois endo-pivot-couronne avec mauvais certissage ou effet
> virole à cause de la perte extrême de substance dentaire...fracture infection et
> perte de la plaque buccale....ROG et implant... L'IMPLANT aurait été la solution
> de choix dès le départ...
>
> merci les cousins


+1 je suis entièrement d'accord avec toi !

Si un patient ne remplace pas sa 36 et laisse sa 37 se coucher il y a plusieurs possibilités:

manque d'info de la part de "l'arracheur de dent"
manque de moyen pour placer un implant
rien à foutre de ses dents
j'ai pas mal
...

je pense que nous devons honnêtement (même si c'est chronophage) donner les possibilités thérapeutiques et les taux de succès à long terme et pas faire forcement "comme pour nous" car qui parmi nous laisserai dans sa bouche un édentement de 36 non restauré ?

et pour la carie sous gingivale je ferais déjà un lambeau pour mieux y voir, en prévenant le patient que ça peut finir en exo.

--
;O)


Smile beach jgh0a1 - Eugenol
Céramik

02/10/2010 à 16h37

Pour mon cas (voir radio), ça sera exo et 2 implants.



--
Céramik


guttapercha

12/03/2012 à 16h22

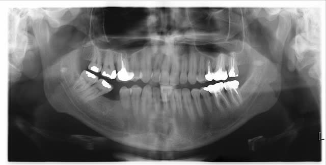
Je relance le sujet, pour savoir comment vous traiteriez cette petite carie sous-gingivale sur 47 ?

Pano hyf4qy - Eugenol
M - Eugenol

maz

12/03/2012 à 17h43

un composite sous digue

si jamais tu arrives pas à bien isoler, mettre une matrice bien sertie autour de la dent pour assurer l'étanchéité, les matrices en forme de banane (greater curve) sont super pour ça.


Avatar ow44t3 - Eugenol
Chicot

12/03/2012 à 19h48

Tu ne vois que la carie ?

Je vois une résorption importante de 45, une 46 absente, et une 47-48 qui se couchent

Il y aurait peut être autre chose à faire non ?

Enfin je dis ça, mais soit tu fais du traitement local: un soin soit du global et la ça devient plus intéressant pour l'avenir dentaire du patient


--
;O)


guttapercha

12/03/2012 à 21h20

Non je ne vois pas que ça, d'ailleurs il a une poche paro de 10mm qu'on ne voit pas très bien autour de la 16, en plus de toutes tes observations.

Vu le sujet de la discussion, je ne voulais pas digresser ;)

Rien que pour l'éviction carieuse, ça va être chaud... A moins d'évincer la gencive, temporiser et faire le compo dans une 2eme séance. Si seulement j'avais un laser !!!


Marque a3 orange fyvhyq - Eugenol
Marc Apap

12/03/2012 à 21h47

J'ai déjà dit : une anesthésie, un coup de fraise pour éliminer la gencive et un frotti frotta avec de l'astringedent X, ça te laisse le champ opératoire propre et net pour travailler; Y a vraiment pas de problème sur ce cas. C'est seulement l'obturation qui est un peu difficile si l'on fait un abord cervical et pas une boîte occlusale.


Avatar 46 aoi1yc - Eugenol
HononLulu

12/03/2012 à 22h50

Et pourquoi soigner cette carie ?
A travailler dans cet axe, elles en ont pour combien de temps ces dents?
Logiquement, la dégradation physiologique du point de contact entre 48 et 47 va entraîner des caries proximales sur chacune.
Dentiste, c'est juste boucher des trous ??


guttapercha

12/03/2012 à 23h03

Il est au courant, j'ai d'ailleurs des radios d'autres patients assez parlantes d'édentements non compensés similaires, mais il ne veut pas d'odf... Il a 33 ans, j'ai beau lui dire que, si dans 10 ans il perd ses molaires droites, c'est ballot, il se rend pas bien compte. Je peux rien pour lui à ce niveau, c'est pas pour ça que je vais fermer les yeux sur les autres problèmes, même si sur du long terme, c'est un coup d'épée dans l'eau.


Smile beach jgh0a1 - Eugenol
Céramik

13/03/2012 à 03h22

Tu tailles la 43+44+47+48 (exo 45) et hop un beau bridge en CM.
Pourquoi s'emmerder avec une carie ?


--
Céramik


12