Cookie Consent byPrivacyPolicies.comquesaco - Eugenol

quesaco

Image0003 h8bton - Eugenol
jf560

27/09/2010 à 16h50

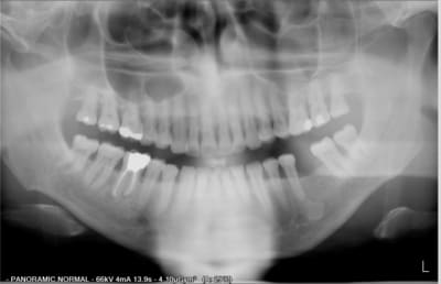
bonjours chers eugenoliens quelqu'un aurait aurait il une idée sur la condebsation en regard de l'apex de la 35 chez mon patient.dent vivante asymptomatique.quesaco??merci d'avance.

010 jrj5ur - Eugenol

Grueavatar nptrc9 - Eugenol
Le Choixpeau magique

27/09/2010 à 18h07

C'est probablement un cémentome.

--
FSDL, what else ?


Rape p0as4f - Eugenol
rapelapente

27/09/2010 à 18h20

C'est un beau cas d'implanto au nx 36 !


Image0003 h8bton - Eugenol
jf560

28/09/2010 à 11h21

d'apres la parodontite chronique de ce patient fumeur de 43 ans n'est elle pas a traiter.seul probleme pas de signe clinique tres peu de poches.le ttt ideal ne consisterait il pas en larret du tabac?quelles sont vos experiences face a de tels cas.merci.