Cookie Consent byPrivacyPolicies.comBridge ? - Eugenol

Bridge ?

Smile beach jgh0a1 - Eugenol
Céramik

05/10/2010 à 05h11

Plusieurs le savent, j'aime mieux les implants que les bridges. Et bien seulement les fous ne changent pas d'idée...
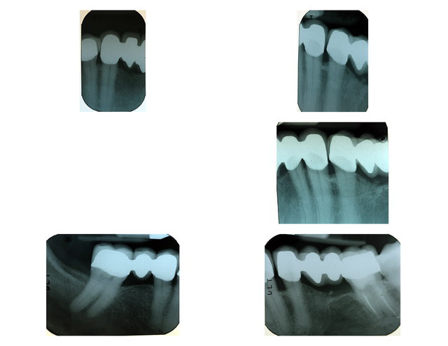
Aujourd'hui, pose de 3 bridges zircone.

A: 34-X-X-37 (espace de 2 prémolaire entre 34 et 37)
B: 44-X-46
C: 33-32-X-X-X-43

Il y avait déjà des couronnes sur 33+34+43+44 et facette sur 32. La 37 avait besoin d'une endo, et la 46 avait un large amalgame. J'ai fait un compo sur la 38, pour enlever l'amalgame (la patiente ne voulait plus de métal en bouche).

Le haut est un complet, donc forces réduites, et la patiente, qui voulait se départir d'un stelitte, ne voulait pas d'implant...faut bien travailler, alors...

Zircone Nobel-Procera et modèle numérique i-Tero.
La couleur (1M1) est le choix de la patiente, qui voulait encore plus blanc au départ...
--
Céramik

Zircone bridge p1 laahs1 - Eugenol

Photo pluton1b h9n4ea - Eugenol
pluton

05/10/2010 à 09h38

très joli...;-)

tu vois que tu sais faire autre chose que des implants...;-)


200106 10150128247663588 709988587 6466236 5598391 n d7mksb - Eugenol
hallboy

05/10/2010 à 10h52

photos des prepas et photos en bouche???

C'est blanc/blanc qd mm...;) assorti au complet?


Olieve

05/10/2010 à 11h04

hallboy écrivait:
-----------------

> C'est blanc/blanc qd mm...;) assorti au complet?

J'osais pas le dire ! :-)


South park   craig te7bfk - Eugenol
CRAIG

05/10/2010 à 11h48

C'est normal c'est le sourire à "l'américaine"...
Euh à la Canadienne...Sorry....


Grueavatar nptrc9 - Eugenol
Le Choixpeau magique

05/10/2010 à 12h19

CRAIG écrivait:
---------------
> C'est normal c'est le sourire à "l'américaine"...
> Euh à la Canadienne...Sorry....

Manquerait plus que les canadiens soient des américains...

--
FSDL, what else ?


S2y2o1v7q53ws4r5wy6ou8czrpom - Eugenol
pxav

05/10/2010 à 12h34

salut Céramik
pour les photos comme d'ab. c'est bien, par contre pour la teinte, il est certain que chez nous, seul certains présentateurs de TV naissent (?) avec des dents comme ça.
mais sur ton continent, jackson est bien devenu blanc... alors:-))

--
xbk


Pubg2 rjl8jc - Eugenol
vincent71

05/10/2010 à 12h46

Il ne faut pas montrer ce genre de teinte à mes patients ... Il ne comprendrait pas pourquoi je refuse systématiquement de leur mettre la teinte la plus claire de mon mon teintier !

Travail magnifique mais o tempora o mores !

--
Jeune dentiste !

Vive les petites villes loin des facs !! 5 dentistes pour 20000 habitants, ca vaut le coup !!


Rorschachwhite tx6rqr - Eugenol
Candide Candida

05/10/2010 à 13h47

Pas de collet, pas d'incisal, pas de sillons colorés, pas de maquillage, une seule teinte pour toutes les dents.

Tu ferais le bonheur de mon prothésiste :-))

CC.


3 76 hchzpi - Eugenol
kingkong

05/10/2010 à 13h58

C'est ce qu'on appelle le sourire Ultra Bright


Smile beach jgh0a1 - Eugenol
Céramik

05/10/2010 à 14h44

Olieve écrivait:
----------------
> hallboy écrivait:
> -----------------
>
> > C'est blanc/blanc qd mm...;) assorti au complet?
>
> J'osais pas le dire ! :-)


Et oui, je choisit pas les teintes des patientes de 55 ans qui trouve A1 trop jaune, trop vieux comme couleur...
Elle voulait 0M1 0M2 comme teinte (c'est plus blanc que B1 pour ceux qui sont encore au guide Vita Classic).

1M1, c'est assez proche de B1


--
Céramik


Avatar 46 aoi1yc - Eugenol
HononLulu

05/10/2010 à 14h49

C'est du bon boulot, vraiment.
Dommage que ce soit si vilain.

--
FSDL , what else ?


200106 10150128247663588 709988587 6466236 5598391 n d7mksb - Eugenol
hallboy

05/10/2010 à 15h43

:))))))))))))))))))))))))))))))


bon, on peut voir les prepa et en bouche pour qu'on puisse s'extasier ? ( pour la photo en bouche, un cil de photoshop, tu bascule en A2 et ça le fera;)

c'est moi, ou cette connerie de zircone qui fait que les embrasures sont un peu fermées?


Kon nx3ojp - Eugenol
Kon

05/10/2010 à 18h56

hallboy écrivait:
-----------------

> bon, on peut voir les prepa et en bouche
+1
et des radio ? :)


Cd7ab0fb be26 42ce a229 3d3cb85fbdc0 wqmnyz - Eugenol
dorado

05/10/2010 à 21h17

Dis-moi Ceramik, ton vrai pseudo c'est pas Jacob Delafon?

;-)


Squash u44zd8 - Eugenol
steph

05/10/2010 à 23h15

Comme Hall, je suis intéressé par ton scanner et je voudrais voir ce que ça donne sur le modèle.
Combien de prises de vues pour un seul modèle?
Fils de rétraction, expasyl et quoi que ce soit pour éverser la gencive?
Combien de temps pour cette empreinte optique?


Grumpy cat ifik8s - Eugenol
radich_a_tord

06/10/2010 à 01h38

Le système iTero est distribué par Straumann en Europe.
C'est la plus grosse caméra d'empreinte optique, mais la plus moderne. On peut se passer du poudrage des préparations.

Par contre comme avec tous ces sytèmes, obligation d'avoir un accès au sulcus parfait et éviter les limites intrasulculaires.

Quelques vidéos :





http://www.youtube.com/results?search_query=itero&aq=f


Smile beach jgh0a1 - Eugenol
Céramik

06/10/2010 à 02h45

dorado écrivait:
----------------
> Dis-moi Ceramik, ton vrai pseudo c'est pas Jacob Delafon?
>
> ;-)


Jalousie...


--
Céramik


Smile beach jgh0a1 - Eugenol
Céramik

06/10/2010 à 03h31

steph écrivait:
---------------
> Comme Hall, je suis intéressé par ton scanner et je voudrais voir ce que ça
> donne sur le modèle.
> Combien de prises de vues pour un seul modèle?
> Fils de rétraction, expasyl et quoi que ce soit pour éverser la gencive?
> Combien de temps pour cette empreinte optique?


Les modèles sont tout simplement extra, faut les toucher pour bien voir.

Prise de vues, selon le nombre de taille, et l'étendue du scan. C'est 2 photo par les dents non taillées et 3 photo pour les dents taillées. Une photo, avec un peu de pratique, c'est 5-10 sec. Les espaces édentés, c'est comme une dent non taillée. Je prend une arcade en 6 minutes. Pour la qualité du résultat, c'est très peu d'effort.
J'avoue que mon 1er cas, j'ai mit 20 minutes !

Fil, laser expansyl, ce que tu veux.
Pour des unité multiples, ce qui est sympa, c'est d'enlever le fil sur une ou deux dents, scanner, et ainsi de suite. C'est donc facile quand tu tailles 6-8-10 dents, car enlever tous les fils, et avoir une gencive parfaite partout, c'est pas tjs facile. Tu peux même laisser le 2e fil au fond et scanner.

Tu vois tes tailles grossit 10 X sur l'écran...tu peux corriger et reprendre une photo de ta retouche...pas besoin de tout refaire.

La précision est dans les 15 microns...aucun problème d'adaptation.


Mon labo commence à imprimer (oui, en 3D) les chapes calcinables/pressables de e-Max à partir du scan.

Empreinte numérique, wax-up virtuel, chape imprimée puis pressée, le 3D avance très vite.

Pour les autres, j'ai pas de photo des tailles en bouche, Je peux placer des photo de modèles i-Tero et des radio du cas (d'ici vendredi).





--
Céramik


Squash u44zd8 - Eugenol
steph

08/10/2010 à 01h45

Merci.
Je reviens juste d'une soirée consacrée à iTero, c'est bluffant.
C'est presque magique tellement tu peux faire de choses.


Smile beach jgh0a1 - Eugenol
Céramik

08/10/2010 à 03h30

steph écrivait:
---------------
> Merci.
> Je reviens juste d'une soirée consacrée à iTero, c'est bluffant.
> C'est presque magique tellement tu peux faire de choses.


;-)

J'ai eu une rencontre avec les gars de ATLANTIS (ils font des pilliers implants CAD_CAM, zircone et titane)

Bientôt...scan i-tero de l'implant et pillier CAD_CAD 100% numérique...

Pour l'instant, je fais scanner (Dental-wings)le modèle et Atlantis me fait le pillier.

http://www.dental-wings.com/

http://www.toptobottomdental.com/downloads/3DS_ProJetDP_Brochure_FR.pdf


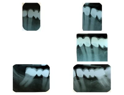
Ci-joint radio des bridge Zircone


--
Céramik

Radio zirconia q5smv5 - Eugenol

Squash u44zd8 - Eugenol
steph

08/10/2010 à 12h47

C'est une solution numérique qui me branche vraiment.
Dommage que tu sois loin, je serais bien venu voir en live ; il y a une démo sur le stand Straumann à l'ADF, mais manipuler sur un mannequin...bof!!!
Que 2 scanner intra-oraux vendus en France pour le moment (50 en Espagne et 50 en Hollande).


Grumpy cat ifik8s - Eugenol
radich_a_tord

08/10/2010 à 15h46

Je pense que l'itero c'est l'avenir, mais :

- Taille du machin, qui est quand même très très volumineux

- support du système. Aux USA et au Canada pas de problème. Mais en Europe, on ne connait pas la politique de Straumann : ils vont intégrer ça à leur système Etkon, mais à 20 000 € la bête il faut être sur de pouvoir s'en servir longtemps. Je ne sais pas si les fichiers de sortie sont d'un format ouvert (j'en doute) ou au format propriétaire (sûrement le cas).


Squash u44zd8 - Eugenol
steph

08/10/2010 à 19h37

Ce sera vendu 37000€.
Quant au format des fichiers, j'en sais rien.


Grumpy cat ifik8s - Eugenol
radich_a_tord

08/10/2010 à 20h24

et à peu près 25 000 $ aux USA... Va comprendre


12