Cookie Consent byPrivacyPolicies.comParo: La Nouvelle Vague. - Eugenol

Paro: La Nouvelle Vague.

Avatar jt8tlq - Eugenol
bogenom

20/10/2010 à 23h47

Allez un pano au moins
pitié


Marque a3 orange fyvhyq - Eugenol
Marc Apap

21/10/2010 à 00h07

Olieve écrivait:
----------------
> Juste une photo pour juger, c'est pas simple.
>
> Le 1er cas : 30 ans, fumeuse, stressée, malocclusion, malposition... Pas bien!
> Mais question primordiale : elle souhaite quoi la patiente ?

Je suggère la greffe du bras droit. Comme ça, elle pourra se brosser les dents en tenant sa cigarette de la main gauche.


Img 0812 mvp6i0 - Eugenol
jeamba

21/10/2010 à 14h34

Trés instructif cherche encore. C'est la montagne qui accouche d'une souris. Qualité des photos digne d'un amateur, photos de'un cas mais résultat d'un autre, pas de photos du départ, de l'arrivée, pas de bilan radio, pas de sondage. Super, j'ai bien fait de suivre ton poste. Je commençais à douter de mes humbles capacités en paro, et je voulais me mettre à jour avec le début de ton poste assez énergique et volontaire il faut reconnaître. Je retourne à mes connaissances, et comme disait coluche, quand on n'en sait pas plus et qu'on n'a rien à dire on n'a qu'on droit c'est de la f....


cherche encore !

21/10/2010 à 23h04

OUH, et ben dites donc!!!

Mon sujet de départ à propos de ces deux patients, c'est :

Comment vous gérez ces deux cas, AU DÉPART !!!

Comment envisagez vous de les traiter, comment faire le devis, comment leur expliquer leur pathologie, comment leur dire qu'un détartrage ne suffit pas, comment décrire ce que vous allez leur faire, ect, ect...

A propos, Jeamba:
Je suis un amateur, comme toi. Et il me semble que j'ai dit, plus d'une fois, que je n'avais rien de révolutionnaire à dire, et rien à "vendre" (et surtout pas mes photos, je sais qu'elles sont nulles, et je n'avais pas vraiment prévu de les monter, tu vois...)

Si le post était nourri par des gens qui, au lieu de me critiquer ( ce qui est très facile) pouvaient faire un peu avancer les choses en nous disant ce qu'il font, RÉELLEMENT, nous pourrions apprendre les uns des autres.

Mais bon, c'est pas grave.
Enfin, si, c'est grave: disons que c'est comme d'habitude.
Il y a moins d'1 praticien sur 20 qui fait de la paro, et quand on essaie de faire bouger un peu tout ça, on s'entend répondre qu'on a qu'à la fermer .
Que tout reste comme c'est, c'est mieux!

Sinon, je dois avoir des radios de ces cas quelque part.
Par contre, c'était le temps ou j'étais en argentique, donc ça va encore une fois être moche.

Mais quelqu'un aurait peut être un cas un peu plus étayé?
ça m'éviterai de devoir répondre aux "arsénieux"...


Img 8465 fqhxid - Eugenol
noahaxeltiger-olivier

22/10/2010 à 00h26

explique nous ton approche des 2 cas que tu as commencer à présenter plutôt que de parler dans le vent.

Je suis sur que cela n'interesse pas que moi.
Je t'assure que je serai constructif dans mes critiques !

Allez hop !!


Img 0812 mvp6i0 - Eugenol
jeamba

22/10/2010 à 00h41

cherche encore ! écrivait:
--------------------------
> A propos, Jeamba:
> Je suis un amateur, comme toi. Et il me semble que j'ai dit, plus d'une fois,
> que je n'avais rien de révolutionnaire à dire, et rien à "vendre" (et surtout
> pas mes photos, je sais qu'elles sont nulles, et je n'avais pas vraiment prévu
> de les monter, tu vois...)
Tu sais que même si la paro n'a rien de compliqué, celà reste tout demême une discipline exigente et qui dépasse la frontière du surfaçage et de l'assainissement.Tu oublies la chirurgie mucco gingivale autour des dents et autours des implants, avant et aprés implantation. Ce n'est pas un lynchage ni une critique envers toi ou envers ton post mais quand j'ai commencé à m'intéresser à ton post je m'attendais, avec mon humble bagage paro, à apprendre quelques choses et c'est l'un des buts de ce forum sur certaines rubriques dont la paro(sinon il faut poster en engénologie).Or je n'ai rien appris et ma décéption m'a amené à penser que celles ou ceux qui ont envie de faire de la paro ou qui en font déjà un peu n'ont pas beaucoup avancé.
>
> Si le post était nourri par des gens qui, au lieu de me critiquer ( ce qui est
> très facile) pouvaient faire un peu avancer les choses en nous disant ce qu'il
> font, RÉELLEMENT, nous pourrions apprendre les uns des autres.

Je te signale que ce n'est pas moi qui a posté et donc par conséquence c'est à celui qui avait des choses à dire c'était toi
>
> Mais bon, c'est pas grave.
> Enfin, si, c'est grave: disons que c'est comme d'habitude.
> Il y a moins d'1 praticien sur 20 qui fait de la paro, et quand on essaie de
> faire bouger un peu tout ça, on s'entend répondre qu'on a qu'à la fermer .
> Que tout reste comme c'est, c'est mieux!

J'aimerais que ton post réussisse à faire augmenter le pourcentage mais je doute qu'avec des inserts à la place des curettes et avec deux photos hybrides tu puisses y arriver.
>
> Sinon, je dois avoir des radios de ces cas quelque part.
> Par contre, c'était le temps ou j'étais en argentique, donc ça va encore une
> fois être moche.

Et à cette époque de numérique tu n'en fais plus de paro? pas de photos non plus?
>
> Mais quelqu'un aurait peut être un cas un peu plus étayé?
> ça m'éviterai de devoir répondre aux "arsénieux"...

Ne te sens pas obligé, mais si tu as réellement des choses à nous faire partager tu es le(ou la) bienvenu(e).
Je suis désolé si je t'ai involontairement agressé, c'est mon caractère grincheux qui veut çà, mais je compense par une rigueur et une longue réflexion avant l'action.


Olieve

22/10/2010 à 01h46

Je répète ma question constructive :

Elle attend quoi de son dentiste cette patiente ?

Le point de départ il est là !


cherche encore !

22/10/2010 à 09h39

La patiente (la première) attend que l'on lui dise ce qu'elle a et, qu'éventuellement, on lui donne une solution pour se traiter.


Je suis d'accord avec toi,Olieve, c'est déjà une bonne chose qu'elle s'interresse à ses dents.
Elle est d'ailleurs la seule: tous les praticiens qu'elle a vu en dix ans, lui ont dit qu'il n'y avait pas de traitement possible.

J'ai des choses à faire partager, mais je n'ai pas de choses à EXPOSER... Je n'ai pas crée ce post pour présenter mes beaux cas, avec photos et radios ad-hoc...je n'ai pas ce genre de choses! Je ne perds pas de temps à ça, j'ai déjà trop peu de temps au cabinet...

Je veux bien partager, mais si vous êtes tous là à me critiquer, excusez moi, mais ça ne m'interresse plus du
tout.

Par contre, j'aimerai bien un partage, une discussion...
Mais je sens bien que ça sera impossible.



Img 8465 fqhxid - Eugenol
noahaxeltiger-olivier

22/10/2010 à 15h36

Si j'ai bien compris :
- tu veux bien discuter ... mais tu ne dis rien!
- tu veux bien partager ... mais tu ne donnes rien
- tu veux bien qu'on parle de cas clinique ... mais tu ne montres rien et en plus tu n'as pas le temps

effectivement pas simple la communication avec toi. Certains pourraient même qualifier cela comme un manque de respect envers ceux qui alimentent ton post !

Bon ce post avait une bonne ambition au départ, mais la mêche a vraiment été très courte ou la bouche plus grande que ...,

Moi qui ai justement plein de temps à perdre .....


cherche encore !

22/10/2010 à 21h44

Je remercie tout le monde de trouver que ce sujet est intéressant.

C'est au moins ça.

Je vais te répondre en toute honnêteté, Noahxa:
C'est vrai que je suis partie un peu bille en tete, tout en pensant échanger de façon sympatique sur le sujet avec d'autres confrères.
Ce qui est attesté par ma réponse dans le sujet de "parodontite agressive" , ou j'ai mis joyeusement mon plan de traitement pour le cas présenté.
Après, il y a eu une telle déferlante d'animosité contre mon traitement que ça m'a tout bonnement refroidi.

Refroidissement qui c'est encore accentué depuis que j'ai osé mettre deux malheureuses photos, puisque personne d'autre ne présentait de cas.

Manque de respect...Et bien, ça fait un bail que j'attends le tien, de traitement, pour la parodontite agressive .
Tu as critiqué ce que je faisais, et cela , je t'en remercie; parce que toute critique constructive est bonne à prendre.
Par contre tu n'as pas mouillé ton maillot ni pour répondre à Choipeaux concernant le H2O2, ni faire profiter les eugénoliens te TON plan de traitement.

Donc, je ne remercie personne d'"alimenter" mon sujet de toutes ses critiques, qui sont pénibles et contre-productives.

Je ne pensais pas que c'était ça, Eugenol.



Bien, en ayant relativement marre d'être toute seule à "échanger" paro, je pense que ce sujet, dont la seule qualité était le mérite d'exister, va mourir de sa belle mort.

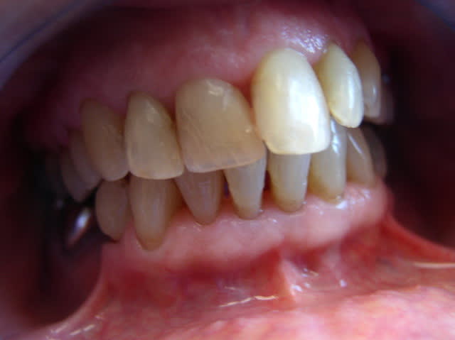
Je vous lègue, en guise de pauvre épitaphe, deux atroces photos de traitements paro finis ce jour.

Ainsi, la Nouvelle Vague c'est échouée, un beau jour d'Octobre ,telle un petit embrum, sur le Lac Léman.

Lautrey fr  fin de tt paro rkdet3 - Eugenol
Picard fin paro e151zm - Eugenol

Img 3657 cwjvqm - Eugenol
alapex

22/10/2010 à 22h38

Clap , clap , clap , j'approuve .

Bon , je dirai quand même que tu as tort ...))))).
Tu devrais rester pour la bonne raison et simple raison que tu ne dois pas te laisser impressionner et si tu as des choses à dire , tu dois le faire .
Finalement si personne n'intervient ce n'est peut-être pas par manque d'intérêt mais plus par ignorance ou par usage de pratiques inavouées , contraire à la dentisterie , à la HAS ...va savoir .
Imagine , ils sont tous nuls en paro ! (c'est possible)
Il y a des gens qui regardent nonol , qui s'apprêtent à s'inscrire , à intervenir qui sait ?!?!?
Et tu dis que le fil est cassé ? Que tu t'en vas .
Ils sont comme ça sur nonol , sont pas bavards , enfin avec les étrangers , alors fait ta route , dis leur m.... , tu peux car des fois ça leur fait du bien , mais reste ...

Allez move your body !


Pépélaratiche

23/10/2010 à 02h44

cherche encore ! écrivait:
--------------------------
> Je remercie tout le monde de trouver que ce sujet est intéressant.
>
> C'est au moins ça.
>
> Je vais te répondre en toute honnêteté, Noahxa:
> C'est vrai que je suis partie un peu bille en tete, tout en pensant échanger de
> façon sympatique sur le sujet avec d'autres confrères.
> Ce qui est attesté par ma réponse dans le sujet de "parodontite agressive" , ou
> j'ai mis joyeusement mon plan de traitement pour le cas présenté.
> Après, il y a eu une telle déferlante d'animosité contre mon traitement que ça
> m'a tout bonnement refroidi.
>
> Refroidissement qui c'est encore accentué depuis que j'ai osé mettre deux
> malheureuses photos, puisque personne d'autre ne présentait de cas.
>
> Manque de respect...Et bien, ça fait un bail que j'attends le tien, de
> traitement, pour la parodontite agressive .
> Tu as critiqué ce que je faisais, et cela , je t'en remercie; parce que toute
> critique constructive est bonne à prendre.
> Par contre tu n'as pas mouillé ton maillot ni pour répondre à Choipeaux
> concernant le H2O2, ni faire profiter les eugénoliens te TON plan de traitement.
>
> Donc, je ne remercie personne d'"alimenter" mon sujet de toutes ses critiques,
> qui sont pénibles et contre-productives.
>
> Je ne pensais pas que c'était ça, Eugenol.
>
>
>
> Bien, en ayant relativement marre d'être toute seule à "échanger" paro, je
> pense que ce sujet, dont la seule qualité était le mérite d'exister, va mourir
> de sa belle mort.
>
> Je vous lègue, en guise de pauvre épitaphe, deux atroces photos de traitements
> paro finis ce jour.
>
> Ainsi, la Nouvelle Vague c'est échouée, un beau jour d'Octobre ,telle un petit
> embrum, sur le Lac Léman.

Ca va sûrement en faire bondir certains mais ds les paros aggressives, il y longtps que je fais un truc qui ferait hurler tous les paros : je vire les dents et je pose des implants de partout avant que l os ne se soit comlètement barré et que là on soit vraiment ds la très grosse merde...

Même en pratiquant la basale qui permet de traiter des cas extrêmes, on n est pas plus fous que les poseurs d axiaux ...on n aime qd il reste plus d os que trop peu car ça nous rend la vie plus simple en implanto

Pp

PS ne t en vas pas cherche encore... Pp a eu des problème en se faisant massacrer aussi au début mais bon au bout d un tps, ils se sont "habitué" à moi et peut qu ils se sont dit que je n étais pas si fou ou si sénile ;-)))))))))))


flicflac

23/10/2010 à 06h43

le début de ce post.......Parce que je suis persuadée, et l'expérience me le prouve, que l'exercice en paro est bien plus facile que l'on voudrait nous faire croire.

Parce que je suis sure qu'il est possible de proposer à nos patients des traitements simples, reproductibles et à la portée de tous.

On ne sait toujourspas de quel traitement il s'agit...Je crois qu'il n'utilise pas les curettes...
est-ce une devinette...
utilises-t-il un laser?
Mais je sais de quoi les patients on besoin après des traitement...simple.. BROSSE À DENTS ET SOIE AVEC INSTRUCTIONS D'UTILISATION
vous avez pas le temps de vous en occupez... hygiéniste...faites des mopuves dans la profession
salut les cousins
flic flac


Smile beach jgh0a1 - Eugenol
Céramik

23/10/2010 à 07h02

noahaxeltiger-olivier écrivait:
-------------------------------
> Ben dis donc, ces posts en paro, c'est vraiment animé. !!!
>

Regarde les fils sur la digue ou les IC !!!
Ah, les paradigmes...

:-)))


Bon, je retourne en implanto, c'est plus intéressant, car au moins, on a des radio des cas, même des vidéo...pas juste des photo floues...
--
Céramik


Pépélaratiche

23/10/2010 à 10h17

Céramik écrivait:
-----------------
> noahaxeltiger-olivier écrivait:
> -------------------------------
> > Ben dis donc, ces posts en paro, c'est vraiment animé. !!!
> >
>
> Regarde les fils sur la digue ou les IC !!!
> Ah, les paradigmes...
>
> :-)))
>
>
> Bon, je retourne en implanto, c'est plus intéressant, car au moins, on a des
> radio des cas, même des vidéo...pas juste des photo floues...
> --
> Céramik

Pp ;-)


Olieve

23/10/2010 à 15h56

cherche encore ! écrivait:
--------------------------
> Je vous lègue, en guise de pauvre épitaphe, deux atroces photos de traitements
> paro finis ce jour.

T'as de la chance de finir tes cas paro !

Moi j'y arrive jamais, je dois les revoir tout les 3 ou 6 mois, les remotiver, les détratrer et les polirs encore et encore... Puis aussi les désensibiliser, les contentionner.... Pffft

Faut être fou d'accepter de traiter des paro agressives chez les moins 30 ans, on pourra jamais prendre notre retraite à 60 ans avec eux ! :-p