Cookie Consent byPrivacyPolicies.comPPA ESTHETIQUES FLEXIBLES - Eugenol

PPA ESTHETIQUES FLEXIBLES

PHICAL

08/10/2010 à 01h12

J'ai reçu une information d'un prothésiste pour des PPA "DEFLEX". ce sont des prothèses esthétiques flexibles en polyamide semi-rigide.est ce que quelqu'un a déjà utilisé ce procédé et quels sont les résultats.


dzong guy

08/10/2010 à 18h40

pas grand chose


Img 3657 cwjvqm - Eugenol
alapex

08/10/2010 à 19h13

PHICAL écrivait:
----------------
> J'ai reçu une information d'un prothésiste pour des PPA "*****". ce sont des
> prothèses esthétiques flexibles ....quels sont les résultats.



C'est comme la flexibilité de l'emploi , c'est abandonné .-:)



Marque a3 orange fyvhyq - Eugenol
Marc Apap

08/10/2010 à 19h19

Par contre, il paraît que la flexigestion, c'est super. Demande à ton copain Ed.


letropezien

09/10/2010 à 18h51

PHICAL écrivait:
----------------
> J'ai reçu une information d'un prothésiste pour des PPA "DEFLEX". ce sont des
> prothèses esthétiques flexibles en polyamide semi-rigide.est ce que quelqu'un a
> déjà utilisé ce procédé et quels sont les résultats.

c'est tout sauf de la prothèse digne de ce nom !


Utilisateur banni

09/10/2010 à 19h09

alapex écrivait:
----------------

> C'est comme la flexibilité de l'emploi , c'est abandonné .-:)

Les systèmes d'injection se multiplient sur le marché et même de très grandes marques du dentaire en proposent.


Img 3657 cwjvqm - Eugenol
alapex

09/10/2010 à 20h28

Tu ne mets pas un petit mot à Saint Trop. ?
:::)))


Utilisateur banni

09/10/2010 à 23h33

alapex écrivait:
----------------
> Tu ne mets pas un petit mot à Saint Trop. ?
> :::)))
Pourquoi pas ? ;-))


Utilisateur banni

10/10/2010 à 22h09

letropezien écrivait:
---------------------
> c'est tout sauf de la prothèse digne de ce nom !
Mais il semblerait que la demande existe du côté des patients.

Bredent   injection yibanc - Eugenol

110 obivck - Eugenol
allure1

13/10/2010 à 15h45

Trop souple, trop élastique..je l'ai essayé pour 3 dents. Séduisant mais inéfficace.


letropezien

19/10/2010 à 20h24

AgentCo écrivait:
-----------------

> Mais il semblerait que la demande existe du côté des patients.

le trop répond :

Je serai étonné si tes patients avaient le catalogue présenté comme livre de chevet ....

La proposition ne vient pas du saint esprit mais bien du praticien !

Mais après tout pourquoi ne pas vendre de la ...., bien emballée, cela rapporte sans soucis , pas de préparation de la bouche, pas de tracé, ...

Empreinte à la va vite, pose rapide, emballé, payé, marge confortable, c'est l'avenir !!!!!!


Dos02 qpcfgi - Eugenol
Rick

19/10/2010 à 20h39

Faut pas s'énerver Letro le patient est ROY
Comme moi prends des cachets.


letropezien

20/10/2010 à 11h17

Rick écrivait:
--------------
> Faut pas s'énerver Letro le patient est ROY
>

Non Rick, il faut dénoncer les arnaques qui dévalorisent nos professions, CD et Prothos ....

Si l'on se met à faire tout et n'importe quoi ou va -t-on ?

Lorsque tu prends l'avion, c'est le commandant de bord qui pilote, pas le passager !


Gbazylo1 fvg1vg - Eugenol
Aron

20/10/2010 à 13h27

Rick écrivait:
--------------
> Faut pas s'énerver Letro le patient est ROY

Ouais chez les vendeurs de pompes ou de bagnoles.
On ne fait pas le même métier. Bon vent.

> Comme moi prends des cachets.

J'imagine qu'avec les couleuvres que tu dois avaler au niveau de tes plans de traitement, tu dois en avoir besoin. Moi, pas.


Dr - Eugenol
JeRis

20/10/2010 à 13h30

... Aron, Rick est un (excellent) prothésiste :)


Dos02 qpcfgi - Eugenol
Rick

20/10/2010 à 15h35

JeRis écrivait:
---------------
> ... Aron, Rick est un (excellent) prothésiste :)

Tu en sais des choses JeRis ;)
Aron pas,peut être oublié de prendre ses cachets?


Gbazylo1 fvg1vg - Eugenol
Aron

20/10/2010 à 17h24

Ah?

Bon alors désolé, Rick.

La prochaine fois, il serait préférable que tu mettes des smileys ou des parenthèses, que l'on sache que tu plaisantes, tout le monde ne fait pas (encore) dans la boule de cristal.
Ou alors il faut s'attendre à des réactions dans le genre de la mienne. Merci.


Dos02 qpcfgi - Eugenol
Rick

20/10/2010 à 18h53

Pô grave Aron tu est sain d'esprit ;)


letropezien

22/10/2010 à 17h00

Rick écrivait:
--------------
> Faut pas s'énerver Letro le patient est ROY
>
et le CD est son bouffon !!!!
.


chekirine

14/11/2010 à 14h13

bonjour.franchement je ne connaissais pas cette resine avant quelques mois.mais depuis qu on commencé à travailler avec c'est tout le monde qui change de prothese.surtout pour les cas d'edentements intercalés,meme pour une dent ;l'avantage est d'avoir des crochet plus ou moins flexibles afin d'eviter toute atteinte de dents piliers.et puis c'est plus esthetique. à vous merci


Img 3657 cwjvqm - Eugenol
alapex

14/11/2010 à 14h16

chekirine écrivait:
-------------------
>
> ;l'avantage est d'avoir des crochet plus ou moins flexibles afin d'eviter toute
> atteinte de dents piliers.et puis c'est plus esthetique. à vous merci


Oui , pis c'est bien parce qu'une prothèse amovible qui bouge c'est mieux pour les crêtes , ça donne du travail à Pépélaratiche par la suite...))))


aldo74

14/11/2010 à 14h59

bonjour,j'utilise ce type de prothèse en provisoire uniquement,en temporisatrion avant implanto car pas de prépa des dents piliers et pas trop moche; problème se rebase très mal.


letropezien

14/11/2010 à 16h34

technique simpliste , pas de préparation des piliers !!!!!

Oh Oui c'est une technique pour les NULS


lemondentier

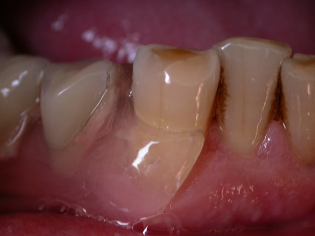
18/02/2011 à 21h15

voila le résultat en bouche.

Deflex e n bouche ao5giy - Eugenol

letropezien

20/02/2011 à 12h08

lemondentier écrivait:
----------------------
> voila le résultat en bouche.
beau , fonctionnel , la merveille !!!!


12