Cookie Consent byPrivacyPolicies.comPremiére pour moi. - Eugenol

Premiére pour moi.

vince34

08/10/2010 à 03h14

bonsoir,
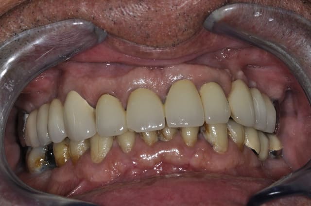
patient sur lequel je dois réaliser un bridge sur implant avec 23 et 25 en pilier.
Le patient présente un bridge étendu avec 26/22/21/11/12 en pilier mais le bridge s'est fracturé entre 22/23.
J'ai proposé au patient de refaire des couronnes unitaires de 12 à 22 et une couronne sur 26, puis le bridge sur implant.

Bien sur à la mandibule hygiéne à revoir et quelques soins/prothèses.

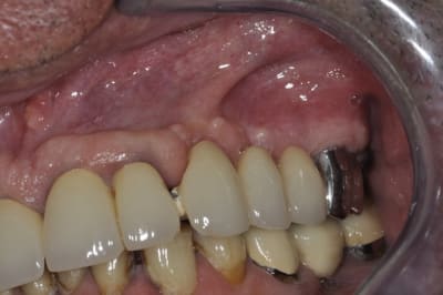
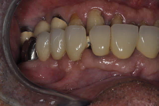
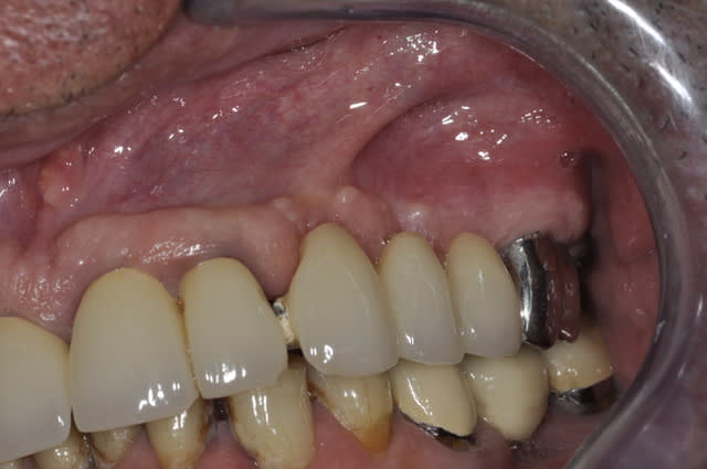
Je voulais conserver le même couloir prothétique secteur 2, vu la perte osseuse (surtout canine) j'aurai été obligé de positionner les implants trop en palatin , de sacrifier mon emergence et de poser un 3.3 en canine donc limite.

Donc j'ai décidé de faire une rog en vestibulaire avec BTCP + membrane collagène + pin's.
En même temps j'ai fait une technique du rouleau avec un conjonctif palatin pédiculé qui me permet de gagner de la gencive attachée et du volume.

Mes craintes: trop de volume avec le conjonctif qui était épais, le conjonctif sera t-il suffisamment vascularisé , et puis plein d'autre question mais je ne sais pas quoi mettre.

A votre avis est ce que j'en ai trop fait?, l'expansion aurait été pas mal mais je ne sais pas faire.
Merci pour les critiques.

 dsc1097 hwy6p9 - Eugenol
 dsc1098 tyiw53 - Eugenol
 dsc1100 ygjdgj - Eugenol
 dsc1144 wexnzu - Eugenol
 dsc1145 uaouy4 - Eugenol
 dsc1147 jtqrk3 - Eugenol
 dsc1149 glgycu - Eugenol
 dsc1151 hreajx - Eugenol
 dsc1152 q7pnel - Eugenol
 dsc1154 coyp7c - Eugenol
 dsc1155 dg1bhc - Eugenol
 dsc1156 evbmqk - Eugenol
 dsc1099 gjfpd7 - Eugenol
 dsc1142 sbp5tz - Eugenol
 dsc1143 zniyyg - Eugenol
 dsc1146 mcz33p - Eugenol

Smile beach jgh0a1 - Eugenol
Céramik

08/10/2010 à 03h43

1-pour une première, c'est bien.
2-Expansion, oui, semble possible (pxav?)
3-Tu as un scan ?
4-Hyg en bas...tssst...Olivier ne sera pas content...une bonne scéance de détartrage avant la chirurgie...
5-J'aurais attendu pour le conjonctif.
5-Laisser guérir, on verra dans qq mois...


--
Céramik


S2y2o1v7q53ws4r5wy6ou8czrpom - Eugenol
pxav

08/10/2010 à 09h27

Céramik écrivait, et pxav aussi:
-----------------
> 1-pour une première, c'est bien, même très bien.
> 2-Expansion, oui, semble possible (pxav?)quel dommage de ne pas savoir faire de l'expansion pour ce cas, c'est vraiment l'idéal pour se lancer, avec 95% de chance pour ton implant (ce qui est normal donc)
> 3-Tu as un scan ? après au moins
> 4-Hyg en bas...tssst...Olivier ne sera pas content...une bonne scéance de
> détartrage avant la chirurgie... c'est mieux effectivement, mais ...
> 5-J'aurais attendu pour le conjonctif, moi aussi je crois.
> 5-Laisser guérir, on verra dans qq mois...ainsi va la vie
>
>
> --
> Céramik et xbk

photos correctes, merci.
Ps il y a des formations sur l'expansion.....

http://www.eugenol.com/sujets/388535-formation-expansion?page=2


" Tous savaient que c'était impossible.
Est arrivé un imbécile qui ne le savait pas...Et qui l'a fait!"
Marcel Pagnol"


Blason dql7mj - Eugenol
growler

08/10/2010 à 09h43

c'est bien vince. J'aurais plutôt déplacé le conjontif soit le jour de la pose des implants si en un temps soit à la mise en fonction si en 2 temps.Et puis, pour de la ROG, je préfère utiliser un matériau moins résorbable que le pur bétaTCP tel que le bio-oss ou un synthétique biphasé bétaTCP-HA.
Avec un scan on aurait pu apprécier la possibilité d'une pose directe des implants, auquel cas tu aurais alors pu prélever l'os de forage pour l'utiliser seul ou associé avc un matériau pour ta ROG.

un petit détail, essaie pour ta présentation, de mettre toutes les photos dans le même sens.

Ca fait toujours plaisir de voir de la chir muco-gingivale s'insérée dans un traitement implantaire.