Cookie Consent byPrivacyPolicies.comControle d'activité et réflexion personnelle - Eugenol

Controle d'activité et réflexion personnelle

Dent masqu e petite f0pbaj - Eugenol
dudule

10/10/2010 à 02h32

J'ai, il y a quelques mois, eu un controle d'activité pour une patiente qu'un confrère m'avait adressé pour l'avulsion d'une racine résiduelle incluse.
Ce geste a nécessité la réalisation d'un lambeau et une alvéolectomie.
J'avais appliqué une cotation de DC40 pour "dent incluse ou enclavée" mais je me suis fait taper sur les doigts...

Je vous livre ma réflexion dans un courrier que je pense adresser à ce dentiste conseil zelé.


Roger federer 300x217 eqdnuv - Eugenol
Patatrasse

10/10/2010 à 10h32

Tu as entièrement raison et ton courrier est excellent,
tiens nous au courant de la réponse que tu auras (si tu en as une ,ce qui m'étonnerait fortement)

--
aux élections URPS du 16 décembre ,
FSDL What Else?


X ray 03 medium zvq18j - Eugenol
cyber_quenottes

10/10/2010 à 11h26

quand tu dis "taper sur les doigts" , le CDC t'a dit quoi exactement ?
C'était pas le seul reproche puisque tu parles de contrôle d'actvité....?

sinon ton courrier est très bien , la définition d'une "dent" ne peut changer du simple fait qu'elle soit encore atteignable depuis la cavité buccale ou non

et si dans la bouche la racine est une dent , dans l'os elle le reste

le seul souci c'est que TOI tu dois yte justifier , alors que le CDC ne le doit pas

ce qui est une injustice

--
--------------------------
signez la pétition
pour demander a la CNSD
de se barrer du proctocole
ici:
http://goo.gl/mER9


Blason dql7mj - Eugenol
growler

10/10/2010 à 11h33

Patatrasse écrivait:
--------------------
> Tu as entièrement raison et ton courrier est excellent,
> tiens nous au courant de la réponse que tu auras (si tu en as une ,ce qui
> m'étonnerait fortement)
>
> --
> aux élections URPS du 16 décembre ,
> FSDL What Else?


+1


Michel4 ve7g1x - Eugenol
chabit

10/10/2010 à 11h54

Je suppose que tu as la radio pré op. Ta démonstration tient la route pour moi, pour le CDC moins sûr, mais au moins elle se rendra compte que ta cotation est tout de même le fruit d'une cogitation comparable à son interprétation de la nomenclature. Cela dit, je pense que la référence à la CCAM, même si elle est censée, trouvera une réponse nette autant que simple: la CCAM n'est pas en application pour les cabinets dentaires!
Mais de toute façon elle retombera sur ses pattes en allant demander des comptes au confrère qui aura eu l'indélicatesse de coter une extrac (même si nous n'avons pas l'obligation de résultat!). Je t'assure de toute ma compassion et te souhaite bon courage.


Sans titre tztxfv - Eugenol
Monet

10/10/2010 à 12h00

Moi je pense que dudule aurait dû le faire gratuitement...ou l'adresser au CDC pour qu'elle lui montre comment on fait de la chirugie buccale.


X ray 03 medium zvq18j - Eugenol
cyber_quenottes

10/10/2010 à 12h18

LE GROS avantage de ce "courrier" ( je suppose qu'il y a un écrit ??...!!???)

c'est que face à ton argumentaire, le CDC devrait produire un écrit en retour

il faut éviter que le CDC se "déballonne" et laisse tomber sans se prononcer sur le cas

sinon , ca recommence dans la circonscription d'à coté , voire le dentiste voisin la semaine prochaine

c'est pour ca que le retour de Dudule a son importance

--
--------------------------
signez la pétition
pour demander a la CNSD
de se barrer du proctocole
ici:
http://goo.gl/mER9


Dent masqu e petite f0pbaj - Eugenol
dudule

10/10/2010 à 13h04

> nomenclature. Cela dit, je pense que la référence à la CCAM, même si elle est
> censée, trouvera une réponse nette autant que simple: la CCAM n'est pas en
> application pour les cabinets dentaires!

La CCAM n'est pas applicable dans les cabinets dentaires mais je l'applique déjà à la clinique et il me semble qu'elle est aussi également en place dans les hopitaux.

Pour ce qui est de mon controle, il ne s'agit que du controle de cet acte de façon spécifique avec rappel à l'ordre au final.
Cette CDC de la MSA me controle moi et d'autres dans mon coin pour des actes aussi passionnant que : justifier votre consultation préopératoire, pourquoi avoir coté DC40 pour un mésiodens... D'habitude elle n'a rien à redire mais là j'ai lourdement fauté !



Img 3657 cwjvqm - Eugenol
alapex

10/10/2010 à 13h29

Ta lettre est très bien , toutefois , le dentiste conseil t'a envoyé un courrier type que tu peux trouver protocolaire mais c'est la voie "normale".
A ta place , je passerais un coup de fil pour lui expliquer le temps opératoire passé sur ce cas , gentiment , point . Tu as en face de toi un praticien qui comprendra , le tout étant de désamorcer tout conflit de façon cool .


alhoun

10/10/2010 à 13h31

moi je trouve qu'une profession qui accepte de se faire chier à pondre des courriers à des gardes chiourme pour 20 ou 30 euros ne peut , et ne sera jamais prise au sérieux.


Utilisateur banni

10/10/2010 à 13h34

C'est marrant...ou pas...

Qd on discute avec les copains et que je compare à mon expérience, les CDC qui font le plus chier pour de l'infiniment petit, ceux sont les CDC nanas. Quelles chieuses! Et comme la logique n'est pas souvent (désolé les filles) féminine, va leur faire entendre raison...


Wra300x300 gotue6 - Eugenol
hop

10/10/2010 à 13h39

Tapavuméclé écrivait:
---------------------
> les CDC qui font le plus chier pour de l'infiniment petit, ceux sont les CDC nanas. Quelles chieuses!

La faute à qui ?

A leurs mecs qui les baisent pas ou mal, c'est aussi simple que ça.


RépondreCiter
Dent masqu e petite f0pbaj - Eugenol
dudule

10/10/2010 à 13h48

alapex écrivait:
----------------
> Ta lettre est très bien , toutefois , le dentiste conseil t'a envoyé un courrier
> type que tu peux trouver protocolaire mais c'est la voie "normale".
> A ta place , je passerais un coup de fil pour lui expliquer le temps opératoire
> passé sur ce cas , gentiment , point . Tu as en face de toi un praticien qui
> comprendra , le tout étant de désamorcer tout conflit de façon cool .

Je lui avais envoyé la radio et le compte rendu opératoire (dès que je repasse à mon cabinet je vous l'envoie).
Son courrier n'a rien du coup d'un courrier type puisqu'elle avait tous les éléments pour prendre sa décision.
Je n'ai aucun conflit en particulier mais je trouve juste incroyable que l'on controle autant la chirurgie que personne ne veut faire et qui est très encadrée conventionnellement.
Cela pose toujours le prb du 2 poids, 2 mesures entre nous et les stomatos en secteur 2.
Déjà que nous n'avons pas le droit au C2 pour consultation sur avis alors après...
Nos instances syndicales comme toujours nous ont très bien défendu puisque les stomatos ont réussi à nous faire reconnaitre comme faisant parti du parcours de soins pour les patients adressés chez eux mais pas chez les autres médecins et pas d'un chirurgien dentiste vers un autre.

Je ne vais quand même pas passer 30 min pour DC16 sur des avulsions complexes que mes confrères ne veulent ou ne peuvent pas réaliser.


Img 3657 cwjvqm - Eugenol
alapex

10/10/2010 à 14h17

Je sais bien .


dentatronche

10/10/2010 à 14h27

malheureusement le terme de racine incluse n'existe pas. Une racine est intra osseuse par définition et le fait qu'un confrère laisse une racine en place ne lui confère par de caractère d'inclusion supplémentaire au sens de la ngap.
On parle de dent incluse lorsque la totalité de la dent et notamment la couronne est intraosseuse sans communication du sac péricoronaire, et d'enclavement lorsqu'il existe une ouverture du sac péricoronaire avec la cavité buccale.

Si la racine que tu as extraite faisait partie d'une dent sur arcade, la cotation pour la ngap est un dc16. Libre à toi ensuite d'expliquer au patient que l'intervention sera compliquée, qu'elle nécessitera de fraiser de l'os et de coter en HN la mise en place d'un matériau de comblement intra alvéolaire par exemple.


X ray 03 medium zvq18j - Eugenol
cyber_quenottes

10/10/2010 à 14h35

haaa , la MSA

pourquoi ne pas l'avoir dit de suite

effectivement ce petit régime a la particularité d'être assez "disponible" pour aller chercher la petite bête qui ne fait avancer en rien

j'ai tout compris

ils ont que ca a foutre , faut les comprendre

;-)))

--
--------------------------
signez la pétition
pour demander a la CNSD
de se barrer du proctocole
ici:
http://goo.gl/mER9


Dent masqu e petite f0pbaj - Eugenol
dudule

10/10/2010 à 15h30

dentatronche écrivait:
----------------------
> malheureusement le terme de racine incluse n'existe pas. Une racine est intra
> osseuse par définition et le fait qu'un confrère laisse une racine en place ne
> lui confère par de caractère d'inclusion supplémentaire au sens de la ngap.
> On parle de dent incluse lorsque la totalité de la dent et notamment la couronne
> est intraosseuse sans communication du sac péricoronaire, et d'enclavement
> lorsqu'il existe une ouverture du sac péricoronaire avec la cavité buccale.
>
> Si la racine que tu as extraite faisait partie d'une dent sur arcade, la
> cotation pour la ngap est un dc16. Libre à toi ensuite d'expliquer au patient
> que l'intervention sera compliquée, qu'elle nécessitera de fraiser de l'os et de
> coter en HN la mise en place d'un matériau de comblement intra alvéolaire par
> exemple.

Tu n'as rien du lire et comprendre de ma démonstration de logique formelle.
Je n'ai jamais dit personnellement qu'une racine incluse existait, j'ai justement expliqué que les experts de la sécurité sociale ont créé une cotation pour "extraction d'une racine incluse" et qu'ils considèrent donc que cela existe.
Après il faut rester logique jusque'au bout et donner une CAT logique !
Le principe de la logique formelle est de s'appuyer sur des postulats pour obtenir une démonstration. Le fait que ceux ci te paraissent faux est un autre débat puisque la SS l'a défini autrement.
Le fait que la distinction n'est pas scientifique n'a aucune importance. Nous n'avons pas affaire à un groupe de scientifique mais à une caisse qui définit des cotations pour des actes.


Little shop of horrors brzqjx - Eugenol
chatondecarte

10/10/2010 à 16h05

dentatronche écrivait:
----------------------

> Si la racine que tu as extraite faisait partie d'une dent sur arcade, la
> cotation pour la ngap est un dc16. Libre à toi ensuite d'expliquer au patient
> que l'intervention sera compliquée, qu'elle nécessitera de fraiser de l'os et de
> coter en HN la mise en place d'un matériau de comblement intra alvéolaire par
> exemple.


Ah voilà une démonstration qui prouve que les soins opposables diminuent l'accès aux soins au lieu de l'augmenter.
Au lieu de payer le juste prix d'une extraction, le patient va payer le juste prix d'une extraction + le prix d'un matériaux inutile soit 100€ pour rien.


paradoxe

10/10/2010 à 16h06

Merci.
Un argument de plus pour ne pas toucher ou d'arréter une extraction complexe chronophage:
votre dent possède un risque de fracture, et la Sécu ne rembourse pas les récupérations de bouts de racinesJ
Comme je suis honn$ete et que je ne veux pas avoir d'ennui avec la Sécu, et je n'en ai jamais eu, je laisse comme ça et vous adresse à un stomato.

Pas mal, non ? (quoique triste)


Dent masqu e petite f0pbaj - Eugenol
dudule

10/10/2010 à 16h35

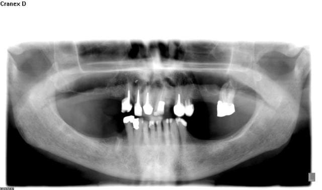
Voilà je vous fournis l'OPT et le CRO.
Avant que tout le monde ne rentre dans le débat de savoir si c'est un acte très complexe ou pas, je tiens à vous rappeler que le débat n'est pas là.
On peut considérer cette racine sur un plan clinique comme incluse ou enclavée, la muqueuse était totalement refermée par dessus.
Ce n'est pas le geste chirurgical le plus difficile mais cela n'enlève rien à la cotation et à l'interprétation de la CDC.

Dru ahoqgq - Eugenol

Avatar transparent iqadnc - Eugenol
adhoc

10/10/2010 à 17h16

> Un argument de plus pour ne pas toucher ou d'arréter une extraction complexe chronophage:
votre dent possède un risque de fracture, et la Sécu ne rembourse pas les récupérations de bouts de racinesJ
Comme je suis honn$ete et que je ne veux pas avoir d'ennui avec la Sécu, et je n'en ai jamais eu, je laisse comme ça et vous adresse à un stomato.<


Excellent!! On peut meme substituer
-vous adresse à un stomato

par

-vous adresse a votre CDC qui trouvera la bonne solution pour pallier à ce cas qui est mal défini dans la Nomenclature.

Peut etre notre seule facon de se sortir de ce type de reprimande absurde est de les submerger par la vindicte populaire. Ils finiront par proner la desobeissance civile qui est l'abandon de cette nomenclature illogique.
Les CDC doivent geuler et l'abandonner. C'est tout. Ce sont des confreres, que diable!


ameli

10/10/2010 à 17h34

dudule écrivait:
----------------

> Je n'ai jamais dit personnellement qu'une racine incluse existait, j'ai
> justement expliqué que les experts de la sécurité sociale ont créé une cotation
> pour "extraction d'une racine incluse" et qu'ils considèrent donc que cela
> existe.
> Après il faut rester logique jusque'au bout et donner une CAT logique !
> Le principe de la logique formelle est de s'appuyer sur des postulats pour
> obtenir une démonstration.

C'est effectivement juste si ton postulat est juste !
Comme il est faux, ta logique n'est qu'une logique apparente.
En effet tu compares deux textes, et deux logiques qui ne proviennent pas de la même source, et dont un (la CCAM) n'a aucune existence.
De plus, ce 2è texte, outre qu'il n'est pas reconnu dans sa version "dentaire" (hélas), n'a pas été écrit par des experts "sécu" comme tu le suggères.
C'est un peu comme si on critiquait la théorie de l'évolution en utilisant la genèse comme référence : on a beau construire une belle logique, avoir une mentalité de jésuite, et faire du sophisme, on ne peut utiliser une référence qui n'a pas de valeur reconnue. C'est bien dommage, mais c'est comme ça.


dentisteee

10/10/2010 à 18h42

bah voilà! plutôt que de de battre avec un DC qui sait tout mieux que moi ben les extractions même simplicimes sont systématiquement confiées a un stomato qui se fera une joie de prendre un dépassement... parcequ en résumé les extracs ça peut se transformer en plan galère, générer des douleurs post ops qui me feront passer pour un nul le tout pour en plus perdre de l argent( rien que le prix du fil en moins et on bosse pour mmoins que le smic!)


Capture d  cran 2015 03 12 12.28 - Eugenol
chicot29

10/10/2010 à 23h28

bien sur mais faut pas pousser ! tes patients vont finir par aller voir le confrere d'en face qui va extraire ta dent "simplicime" en 2 mn et alors là oui tu passeras pour un nul.


ameli

11/10/2010 à 01h02

J'aime bien ces jeux de logique !
Mais il y a un argument logique qui n'a pas encore été dit.
Ce bout de racine vient bien de quelque part, non ?
Y aurait pas quelqu'un qui l'aurait laissé en faisant l'extraction, et qui très probablement a coté un DC 16 ?
Je parlais ailleurs du cout astronomique de la non-qualité...
Ma question logique est donc : est-ce au patient ou à la sécu de payer pour une bêtise faite par un confrère maladroit ? Y a qu'à envoyer la facture à celui qui a laissé ce bout de racine.
ça, ce serait logique.

Mais je suppose que vous trouveriez anormal de coller un indu pour ce DC 16 mal fait...


RépondreCiter
12...