Cookie Consent byPrivacyPolicies.comQuestions sur cas de prothèse fixe et amo avec perte de DV - Eugenol

Questions sur cas de prothèse fixe et amo avec perte de DV

Mianchan

19/10/2010 à 10h21

Bonjour,

J'ai plusieurs fois le même cas de figure problématique avec plusieurs patients. Ce sont des cas d'édentés partiels qui n'ont jamais remplacés leurs dents absentes et ont donc des égressions multiples et une perte de DV.

Voilà mes questions :
- Comment gérer les egréssions vraiment importante (quand la coronoplastie ne suffit pas) ?
- Lorsque j'ai une couronne et un appareil amovible à réaliser avec une perte de DV dans quelle ordre procéder ? Je ne peux pas faire la couronne avant car je ne sais pas quelle hauteur elle va devoir avoir. Donc puis-je faire l'empreinte primaire puis en séance ultérieure l'empreinte de la couronne en même temps que la RIM. Et dans une autre séance, sceller la couronne et faire les empreintes secondaires ? Puis faire un essayage et livraison classiquement ?
- Une fois la DV rétablie certaines dents ne seront plus en occlusion je fais des composites pour augmenter leur hauteur et rétablir des contacts occlusaux où ça va partir ?

Je ne sais pas si c'est très claire, mais si vous avez des pistes sur la conduite à tenir, n'hésitez pas car je galère vraiment.
Merci


Squash u44zd8 - Eugenol
steph

19/10/2010 à 10h31

Pour savoir où aller, il te faut un maximum de renseignements.
Bilan radio et empreintes d'études sont le strict nécessaire ; avec les empreintes, fais un wax-up, ou demande le à ton prothésiste.
Tu sauras ainsi quoi faire.
Mais si les égressions sont trop marquées, l'extraction est indiquée.
Quant à la prothèse combinée, le labo peut faire un montage directeur qui te guidera dans le choix des dents à conserver et extraire.
En général, on fait toujours la prothèse fixée d'abord ; mais tu ne scelles pas la couronne, elle doit venir dans ton empreinte pour permettre au prothésiste de réaliser un partiel adapté à ton patient, tu scelleras la couronne en même temps que tu livreras ce partiel.
Wax-up et montage directeur doivent te permettre de faire un traitement global, il ne peut pas y avoir de dents en inocclusion, sinon ton patient aura des problèmes par la suite (pbs occlusaux, pbs paro, bourrages,...).


Mianchan

19/10/2010 à 10h52

Merci pour ta réponse.
J'ai bien fait un contrôle radio et des modèles d'études. Seulement, mes patients étant CMU je sais que ça risque de ne pas passer au niveau du cabinet de demander des wax up au labo. Personnelement je me lancerais bien dedans mais mes talents en wax up étaient inexistants à la fac... pour info, ça s'achète où de la cire à wax up ?
Autre questions bête, les wax up j'ai jamais trop compris à quoi ça servait. C'est pour déteminer la futur hauteur des couronnes mais aussi pour éventuellement voir où ajouter des compos sur les dents saines ?
Je galère vraiment sur ces cas là, d'autant que j'ai oublié " de dire que ces patients mordaient de "travers" depuis des années et que je ne sais pas si je dois essayer de leur rétablir une occlusion plus conventionnelle ou si je dois laisser comme ça par peur de provoquer pire que mieux.


Ylfwcw979cz1jnx9gfqeaxndiuzk - Eugenol
Algi

19/10/2010 à 11h29

L'autre soluce est de passer par partiel et coiffes provisoires afin de tester tes choix de dv, facile alors de caler tes dents à remonter en compo, de realiser tes coronoplasties et eventuellement de realiser les extractions; il sera simple de rajouter des dents sur la ppa.

Attention aussi au x cales: si la hauteur à recuperer est importante elles sont souvent peu anatomiques, si il faut realiser des coiffes il te sera facile de montrer au patient que les dents "calées" sont moches et peu fonctionnelles et de le convaincre de realiser ces protheses en plus.
L'autre souci est que ces patients ont vecu des années avec une oclusoin/dv incorrecte et bien souvent il faut du temps pour reeduquer tout ça et verifier la tenue et le confort de ta proposition.

--
"On a toujours le choix! Mais entre quoi et quoi?
FSDL! What else?"


Mianchan

19/10/2010 à 11h44

Merci aussi pour ta réponse. Je comprends l'idée pour un patient "normal" ce qui et déjà bien. Maintenant je me heurte toujours au problème du patient CMU chez qui je ne pense pas pouvoir réaliser d'amo provisoire. A moins que ?
Merci en tout cas pour vos avis

MA


Grumpy cat ifik8s - Eugenol
radich_a_tord

19/10/2010 à 12h30

Salut,
En effet pas évident de tout remettre dans le bon ordre, surtout quand le facteur financier rentre en compte.

Dans l'idéal je fais :

- Empreinte pour modèles d'études

- Montage sur articulateur (arc facial, programmation sur l'articulateur semi adaptable)

- Elaboration du projet prothétique : soit un wax up (en cire) soit direct des provisoires. C'est à cette étape que tu vas réévaluer la DV si besoin

- Travail en bouche (préparation, inlay core pour la fixée, empreinte secondaire, coronoplasties, etc) et validation de ton projet par les provisoires. Pour avoir tes provisoires positionnées exactement comme sur l'articulateur, je fais une clé de transfert en putty.

- Réalisation des prothèses d'usage, en parallèle fixée et amovible : comme dit plus haut par Steph (qui est toujours d'excellent conseil je trouve :) ) je fais faire la chape de mes CCM avant la plaque de mes stellites, et j'emmène les chapes dans l'empreinte secondaire pour l'amovible. Les coiffes sont scellées le jour de la pose de la prothèse amovible.


Pour les patients CMU, je saute le wax up et la provisoire amovible. Il arrive qu'ils perdent ou me pètent des provisoires fixées, car leur occlusion est modifiée sans calage par la prothèse amovible, mais bon, c'est temporaire.

Je n'ai encore jamais eu de grosse eggression nécessitant une extraction, mais ça arrive.


Gbazylo1 fvg1vg - Eugenol
Aron

19/10/2010 à 17h30

Pour la CMU, ce que tu fais sort du panier de soins.

Donc tu dois faire un devis HN de tout ce que tu rajoutes en plus. Wax up, appareil provisoire etc...

Et si refus devis, refus traitement, c'est aussi simple que ça.

Après, si tu veux te faire plaisir avec des supers traitements sans les faire payer, tu peux, mais c'est de ta poche.

Et j'ajoute que si tu as un titulaire, discutes-en avec lui, car il peut très bien estimer que faire de l'humanitaire c'est bien, mais aux frais de son cabinet (+/- 45% de 0, ça fait 0 pour du matos et de l'assistante), ça va peut-être le gonfler un peu.


Mianchan

19/10/2010 à 17h39

C'est bien pour ça que je dis que le problème de mes patients c'est qu'ils sont CMU !


Ylfwcw979cz1jnx9gfqeaxndiuzk - Eugenol
Algi

19/10/2010 à 20h52


Bug informatique et modif de la réponse perdue.... je recommence donc:

Ici: il faut rester dans le panier.

1/ Empreinte et realisation ppa resine "immediate" et surtout pas provisoire.
"provisoire": hn
"immediate": remplaçable légalement quand l'état de la bouche s'est modifié...

Pour ça: soit tu fais directement la ppa et tes cales et provisoires ensuite, soit tu fais tes provisoires aprés coronoplastie sévére et endo+reconstitution sc33.
Les provisoires d'est du Hn, perso je facture 30€ aux CMU par dents histoire qu'ils participent.

Autre soluce: tu fais endo+core+taille puis empreinte et tu inclus les coiffes provisoires dans ta ppa comme overdentures (ça evite l'eternel probleme des coiffes provisoires support de crochet qui se barrent sans arret).

A partir de ta ppa tu fais comme pour un patient normal: rajout dents et crochets si tu extraies, reglages des dents resine si tu realise tes cales en antagoniste ensuite.

Si tu realises des cales, si tu modifies la dv de ta ppa tu fais alors de la "prothese de recouvrement pour correction de l'articulé" ou un truc assimilé et donc tu fais une entente prealable pour D60 par assimilation, c'est toujours 115,2€ à prendre....

Si les dents à caler sont saines fais gaffe à pas côter de sc17 car tu ne répares pas de perte de substance. Par contre si tes cales visent à restaurer une dent usée alors d'abord sc17 puis ensuite coiffe car ça n'est pas "durable".

Dans les 4 à 6 mois, quand tu as fini de regler ta dv, tu fais les coiffes, tu prend empreinte pour faire stellites. Tu ne scelles les coiffes que le jour de la pose des stellites pour pas d'emmerder à rebaser ou retailler la ppa pour l'adapter aux coiffes definitives.

J'ai quelque part sur le forum un cas iconographié illustrant un cas similaire, si je le retrouve je te passe le lien, sinon par mp je peux t'envoyer photos.
"On a toujours le choix! Mais entre quoi et quoi?
FSDL! What else?"


Ylfwcw979cz1jnx9gfqeaxndiuzk - Eugenol
Algi

19/10/2010 à 21h03

J'ai retrouvé le post, c'est "cmu le retour", mais les photos jointes ont disparu....


--
"On a toujours le choix! Mais entre quoi et quoi?
FSDL! What else?"


Mianchan

19/10/2010 à 21h09

Merci beaucoup pour cette réponse très détaillée et claire.
Je vais aller voir ton post dès que j'ai le temps sinon je veux bien les photos par message privé si ça ne te dérange pas.

Encore merci !


Ylfwcw979cz1jnx9gfqeaxndiuzk - Eugenol
Algi

20/10/2010 à 15h22

photos, si j'y arrive

--
"On a toujours le choix! Mais entre quoi et quoi?
FSDL! What else?"


letropezien

21/10/2010 à 14h18

1. Avant tout traitement déterminer s'il y a perte réelle de DV ou compensation par les procès alvéolairedeux choses s'imposent ...
Donc analyse occlusale, recherche d'une pathologie de l'ATM, ...

2. Si perte de DV, faire une mise en condition occlusale progressive en remontant progressivement ...


Ylfwcw979cz1jnx9gfqeaxndiuzk - Eugenol
Algi

21/10/2010 à 16h15

Point 1/ rien à dire sauf sur "analyse" oclusale. cf + bas.

Point 2/ c'est portnawac!

Ici on cause cmu et on peut donc pas se payer le luxe de passer 18 mois à remonter "progressivement", de passer par des gouttieres ou des ppa montées sur articulateur, ou de faire deux heures d'enregistrement sur arc facial et pantographie.
De toutes façons, y'a des moyens de trouver "de suite" la bonne hauteur, j'en ai déjà causé sur le forum et là j'ai aucune envie d'aller te chercher les posts antediluviens qui en parlent ;0))

--
"On a toujours le choix! Mais entre quoi et quoi?
FSDL! What else?"


letropezien

22/10/2010 à 17h04

Algi écrivait:
--------------
> Point 1/ rien à dire sauf sur "analyse" oclusale. cf + bas.
>
> Point 2/ c'est portnawac!
>
> Ici on cause cmu > --


désolé je mensais que l'on "causait" prothèse et ocluso ....


Grumpy cat ifik8s - Eugenol
radich_a_tord

22/10/2010 à 17h06

Tiens ça tombe bien j'ai un cas là.
Le patient vient me voir comme ça, il a les droits CMU ouverts, à jour et vient à ses RDV.

La solution pour moi :
Extraction 24 37
endo 12 -> 22, 17 47
CCM 13 -> 22
CC 17 47
Meulage occlusal 35
2 stellites

- Est ce que ce plan de traitement respecte la NGAP ? En particulier au niveau antérieur (traitement endo et CCM) ? Que feriez vous ?

P1 rmigsa - Eugenol
Img 8980 hdtku3 - Eugenol
Img 8977 hwbprv - Eugenol
Img 8978 zvzvio - Eugenol
Img 8979 bn4vge - Eugenol

Grumpy cat ifik8s - Eugenol
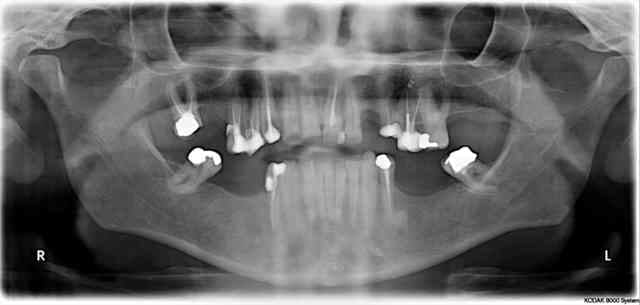
radich_a_tord

14/04/2011 à 23h02

Avant

Img 9205 mwixzj - Eugenol
Img 9207 pywuvq - Eugenol

Grumpy cat ifik8s - Eugenol
radich_a_tord

18/04/2011 à 22h22

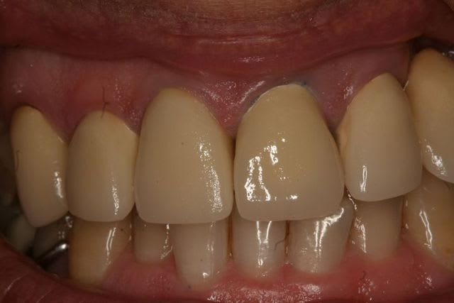
Après.

Pas de la grande prothèse mais pour un bénéficiaire de la CMU c'est pas mal.

Ce qui a été fait :

Endo/RTE 24
Endo/RTE dents antérieures
Endo/RTE 17 et 47

Montage arc facial articulateur et réalisation de provisoires de labo à DV + 3mm

Taille + adaptation des provisoires

Empreinte pour inlay core

Empreinte inlay core en place et remontage sur articulateur avec arc facial

CC sur 17 et 37

CCM sur 13 12 11 21
Bridge 22 -> 24 (initialement prévu 21, 22 -> 24 mais le labo a eu une déformation, donc je l'ai séparé).

Stellite 5 éléments Md

Le tout pour 4200 € en gros.
Frais de labo :
2 CC = 69.80
7 CCM = 609
Provisoires = 80
Total = 758€

Me reste :
4200 - 1680 - 758 = 1762 € avant charges sociales et IR...

Autant dire que c'est pour s'entrainer...

Fini  4  kzmkmb - Eugenol
Fini  1  xy8wah - Eugenol
Fini  2  xxbv7b - Eugenol
Fini  3  bven5g - Eugenol
Img 9406 geexft - Eugenol

Smile beach jgh0a1 - Eugenol
Céramik

19/04/2011 à 01h25

Bon boulôt, ton patient est bcp mieux qu'avant.
La prochaine fois essais de te faire mieux payer.

--
Céramik