Tous les forums
extraction-implantation et sinus par voie crestale
21/10/2010 à 23h33
perso, j'aurais fait au minimum un conjonctif pédiculé en faisant des incisions palatines, comme nous l'a appris Noah à Lyon, pour assurer une parfaite herméticité du site autour de l'implant...
c'est le seul truc qui me gène dans ton intervention (magnifique, une fois de plus...) car au moindre pépin de cicat, ou à la moindre petite infection, et tout ton comblement au biooss est compromis...
22/10/2010 à 01h13
si je puis me permettre, mac, une membrane (même une pas cher type collagen AT à 40€ pièce) simplement percée grâce à une pince à digue puis vissé par le vis de cica te permettrait de garder ton bio os plus longtemps.
tu as choisi de ne pas faire de lambeau ici, et je pense que tu as raison, mais tu aurai pu simplement décoller un peu et insérer ce qui aurait débordé de la membrane ainsi transvissée à ton implant.
même rapidement exposée aux bactéries, elle pourra temporiser un peu et stabiliser le Bio os.
22/10/2010 à 02h50
Très joli en effet mais je me pose des questions
1-Stabilité du Bio-os
2-Vas-tu avoir de l'os autour de l'implant ou seulement du bio-mat très peu transformé en os ?
3-Riques d'avoir infiltration des cellules fibreuses, non ?
Place nous la suite dans 4 mois, 8 mois 12 mois.
Merci
--
Céramik
22/10/2010 à 06h07
faire tenir une membrtane par les vis de cicatrisation ne me semble pas être une bonne technique. La membrtane rédorbera ewt laissera un vide entre le capuchon de cicatrisation et l'implant... un vide mal venu,,youm youm bactérie
salut cousin
flic flac
22/10/2010 à 08h51
Céramik écrivait:
-----------------
> Très joli en effet mais je me pose des questions
>
> 1-Stabilité du Bio-os
> 2-Vas-tu avoir de l'os autour de l'implant ou seulement du bio-mat très peu
> transformé en os ?
> 3-Riques d'avoir infiltration des cellules fibreuses, non ?
>
>
> Place nous la suite dans 4 mois, 8 mois 12 mois.
>
> Merci
>
>
>
> --
> Céramik
je me retiens depuis hier, mais là je me lâche!
joli cas Mac et surtout félicitations de publier et te t'offrir à la critique.
Ceci étant, sur quelles publications scientifiques te bases tu pour imaginer que le bio-os va rester là tranquille, la littérature mentionne cette façon de faire?
ou bien comme nous sommes nombreux à le faire tu adaptes et tu pense que ça va aller?
personnellement j'aurais essayé de fermer soit avec une demie épaisseur (pas génial) soit avec un prélèvement palatin.
Tiens nous au courant et continuons tous a progresser (ou du moins à ne pas régresser) en publiant des cas et en profitant de la critique des confrères.
--
xbk
"Si tous ceux qui croient avoir raison n'avaient pas tort, la vérité ne serait pas loin".Pierre Dac.
22/10/2010 à 09h14
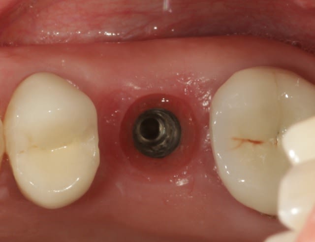
ok je vais essayer de répondre à tout le monde,
y a t il des études avec des alvéoles d'extraction comblées au Bio-Oss sans membrane? oui y en a plein, depuis une quinzaine d'années, là j'ai pas le temps de vous faire une revue de littérature, ni ce week end mais si ça vous intéresse on peut faire ça lundi.
est ce qu'on va avoir tout le Bio-Oss transformé en os? clairement la réponse est non,
est ce que cela aurais été mieux de mettre une membrane? pour avoir de l'os sans doute, mais alors il aurait fallu recouvrir cette membrane par un greffon conjonctif ou épithélio-conjonctif et là plus de vis de cicatrisation, enfin c'est plus la même procédure, pour un gain qui est pas évident.
est ce que je veux avoir de l'os? franchement on s'en fout l'objectif c'est surtout de maintenir le volume, l'implant est dans le septum il est quasiment entouré d'os partout, donc peu importe.
voilà j'espère avoir répondu à vos questions.
22/10/2010 à 09h41
qu'est-ce qui t'empêche, si ton greffon conjonctif est pédiculé, de le "partager" pour en faire passer 1/2 de chaque côté de ta vis de cicat?
22/10/2010 à 09h52
mac écrivait:
-------------
> voilà j'espère avoir répondu à vos questions.
CQFD!
--
xbk
"Si tous ceux qui croient avoir raison n'avaient pas tort, la vérité ne serait pas loin".Pierre Dac.
22/10/2010 à 10h08
pluton écrivait:
----------------
> qu'est-ce qui t'empêche, si ton greffon conjonctif est pédiculé, de le
> "partager" pour en faire passer 1/2 de chaque côté de ta vis de cicat?
juste pour maintenir le Bio-Oss oui, mais pas pour mettre une membrane dessous.
22/10/2010 à 11h53
y a un truc qui m'échappe mac...
tu mets du biooss...c'est pour avoir de l'os au final, non?
quel est l'intérêt, alors, de ne pas donner à ton biomat, toutes les chances de pouvoir être transformé en os (même si pas intégralement...on sait tous ce qu'il en est sur les propriétés du biooss...)
en laissant le site sans "étanchéité" comme tu l'as fait, non protégé, tu n'auras vraisemblablement pas de meilleurs résultats...qu'avec de simples éponges de collagène insérées dans chacune des alvéoles pour stabiliser le caillot...peut être un poil plus de conservation de volume...et encore...
quant au coût...tant pour toi que certainement aussi pour ton patient...il est sans commune mesure...(éponges vs biooss)
alors oui, pour ce qui est de mettre obligatoirement une membrane, je suis d'accord avec toi...çà aurait certainement été du "sur-traitement"...mais dans ce cas, le ptit conjonctif, à mon avis, aurait été judicieux...
mac, ces remarques, c'est pour être constructif...ton cas est intéressant et je suis impatient de voir la suite...je croise les doigts pour que tout fonctionne comme tu le veux...;-)
22/10/2010 à 13h37
pluton écrivait:
----------------
> y a un truc qui m'échappe mac...
>
> tu mets du biooss...c'est pour avoir de l'os au final, non?
oui et non, je veux aussi garder du volume.
> quel est l'intérêt, alors, de ne pas donner à ton biomat, toutes les chances de
> pouvoir être transformé en os (même si pas intégralement...on sait tous ce qu'il
> en est sur les propriétés du biooss...)
pour donner toutes les chances au biomat, il faudrait une membrane et du coup pas de vis de cicatrisation, mais c'est vrai que j'aurais pu ( du ? ) couvrir avec une éponge de collagène ou quelque chose dans le genre.
>
> en laissant le site sans "étanchéité" comme tu l'as fait, non protégé, tu
> n'auras vraisemblablement pas de meilleurs résultats...qu'avec de simples
> éponges de collagène insérées dans chacune des alvéoles pour stabiliser le
> caillot...peut être un poil plus de conservation de volume...et encore...
non les éponges de collagène ne permettent pas de garder le volume comme le Bio-Oss.
>
> quant au coût...tant pour toi que certainement aussi pour ton patient...il est
> sans commune mesure...(éponges vs biooss)
le coût c'est pas le problème.
>
> alors oui, pour ce qui est de mettre obligatoirement une membrane, je suis
> d'accord avec toi...çà aurait certainement été du "sur-traitement"...mais dans
> ce cas, le ptit conjonctif, à mon avis, aurait été judicieux...
je suis d'accord, tu vois ;)
22/10/2010 à 17h21
noahaxeltiger-olivier écrivait:
-------------------------------
> Je suis certain que tu en perdras plus que tu ne crois. Si tu avais voulu qu'il
> reste en place sans apport d'une "couverture", il t'aurais fallu utiliser du
> BioOss Collagène.
> Dans le cas de granules de BioOss tu peux simplement couvrir le tout par une
> éponge de collagène qui se dégradera certe mais qui permettra au caillot de
> s'organiser et de se stabiliser avant que l'éponge ne disparaisse.
>
> Cela na pas une grande importance dans ton cas puisque ton implant est placé
> dans le septum, mais tu auras un défaut gingival certain qui prendra du temps à
> cicatriser.
Salut Olivier,
Tout à fait d'accord avec toi, dans ce type de cas il faut un bio matériau collagéné, de plus le fait de ne pas le protéger au moins quelques jours le laisse en contact avec la salive qui par ses effets délétères va en contaminer toute la partie superficielle qui sera perdue dans les semaines qui suivent.
Cette technique fonctionne très bien, je la pratique depuis plusieurs années, elle est assez simple et donne d'excellents résultats, mais il faut prendre le soin de couvrir le bio matériau avec des éponges de collagène prédécoupées et ajustées pour protéger le site et faire des sutures les plus étanches possibles pour laisser au caillot le temps de se former et de se stabiliser.
Perso je n'ai jamais utilisé de mb ni de lambeau pédiculé par dessus et tout se passe très bien.
L'épithélialisation des éponges se fait assez vite et protège le site.
Pour répondre à Pluton, en ce qui concerne le remplissage des alvéoles autour, je me suis rendu compte que l'on pouvait combler avec des éponges dans la partie apicale puis remplir avec un bio matériau jusqu'au niveau crestal puis à nouveau des éponges de collagène et suturer le tout.
Les éponges de collagène se retrouvent entourées d'os et accélèrent la formation osseuse dans les alvéoles.
Le bio mat évite une certaine invagination de l'ensemble.
Cela dit le cas de Mac est un cas très favorable, puisque l'implant est entouré d'os, je pense que tout se passera bien.
Bravo mac pour ta réalisation et tes photos.
Cordialement
--
Marc
25/03/2011 à 15h31
superbe!
une seule image et beaucoup de certitudes (et de critiques) envolées.
22/02/2012 à 02h34
pour info le bioos est un matériau pas ou très peu résorbable.
dans le cas présenté, c'est donc une excellente indication car son role est essentiellement de maintenir le volume alvéolaire.
mais je me pose quand même toujours la même question sur ce genre d'extraction/implantation immédiate sur molaire : quel est l'intérêt ??? pourquoi ne pas extraire et implanter 6 semaines plus tard avec une muqueuse cicatrisée et un alvéole plein d'ostéoïde qui présente un excellent potentiel ostéogénique ?
si c'est pour gagner du temps ? est on pressé à ce point pour remplacer une molaire ? et en plus sur la durée totale du traitement, il n'y aura pas une grande différence avec l'ext/imp immédiate car l'ostéointégration sera plus rapide si on a pas utilisé de bioos.
techniquement, faire une ext/imp sur une pluriradiculée est loin d'être facile. dans le cas présent, l'implant est parfaitement placé et je pense que la préparation du site aux US en est la raison (bravo !), mais avec un forage, il est très difficile d'éviter de "glisser" vers l'une ou l’autre des alvéoles.
le seul avantage est qu'il n'y a qu'une seule intervention chirurgicale donc un plus pour le confort du patient, mais c'est une intervention qui présente des taux de succès légèrement moins bon, donc pourquoi faire courir un risque, même faible, au patient ?
en plus : financièrement, c'est plus couteux car il faut combler le gap (au bioos ou avec ce que vous voulez, pourvu que ce soit fait proprement, ça marche très bien).
pour moi, l'ext/imp imédiate prend tout son intérêt sur les dents monoradiculée, et dans la mesure où l'on y met la provisoire tout de suite, car oui, le bénéfice pour le patient est conséquent (esthétique, pas de PAP, meilleure soutien des tissus mous, etc...), mais c'est une technique à manipuler avec précaution et en respectant bien les indications, sur biotype épais et dans un contexte osseux favorable
bonne continuation à tou(te)s.
confraternellement,