Cookie Consent byPrivacyPolicies.comENFIN ! La Pap n'est pas encore morte les amis - Eugenol

ENFIN ! La Pap n'est pas encore morte les amis

 mg 0207 xwjxcl - Eugenol
Tillc

26/10/2010 à 15h41

J'aime pas trop faire les vas-y-que-jte-montre-cke-jsais-faire .
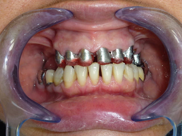
Mais la, apres 1 an de traitements reguliers, entre les lambeaux d'assainissements, les élongations coronaires et les reprises de traitements pourrave j'ai enfin BOUCLE CE CAS !
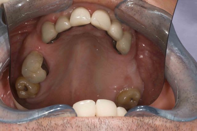
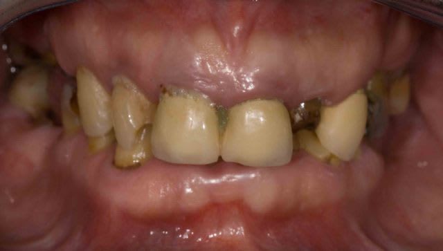
A l'origine le patient ne voulait surtout pas touché aux dents encore " saine" car il les trouvait bien.
Maintenant il les trouve jaunes et veux les blanchir. Comme quoi un nouveau sourire amene souvent un nouveau regard.

 mg 0006 q8ps9i - Eugenol
 mg 0012 dzxsrt - Eugenol
 mg 0062 jbf6xl - Eugenol
 mg 0071 p9nvgl - Eugenol
 mg 0005 yv3r8e - Eugenol

 mg 0207 xwjxcl - Eugenol
Tillc

26/10/2010 à 15h43

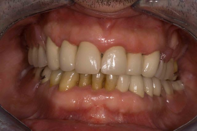
La fin.
Spéciale kassededi à cyril couscous

 mg 0129 lgwqpc - Eugenol
 mg 0121 ta3qnv - Eugenol
 mg 0128 fi6r2e - Eugenol
 mg 0114 xuu3bk - Eugenol
 mg 0119 phmybm - Eugenol
 mg 0123 pkvaiy - Eugenol

l adan

26/10/2010 à 17h04

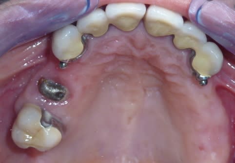
Peux tu détailler les fraisages effectués , le type d'attachement ( en bas attachement que d'un coté ?) , si les couronnes sont solidaires ou un itaires ?
Merci de nous faire partager ce cas .


Image19 iebot6 - Eugenol
athos

26/10/2010 à 18h25

j'aime


belette

26/10/2010 à 19h02

Joli travail mais pourquoi des dents si blanches ?

^ ... ^
Ô"""Ô
= o =


Grueavatar nptrc9 - Eugenol
Le Choixpeau magique

26/10/2010 à 19h17

Super, maintenant on veut en savoir plus !

--
FSDL, what else ?


Fouilla h6plsy - Eugenol
fouilla

26/10/2010 à 19h20


+1 avec tout le monde
mais (tu t'y attendais non ?) pourquoi ne pas avoir réglé le problème de l'égression de 42 41 en même temps ?
--
.


 mg 0207 xwjxcl - Eugenol
Tillc

26/10/2010 à 20h41

Pour l'egression des dents mandibulaire le patient ne voulait SURTOUT pas toucher au dents encore "saines" .
"Chaques fois qu'on ma touché une dent j'ai eu un probleme donc si elles n'ont rien touchez les pas svp "dixit le patient. En augmentant la DV de 4 mm j'ai pu eviter les meulages.
Le probleme c'est que maintenant il ne les trouvent pas belles et veut les blanchir/meuler... Sont jamais content les patients.

Pourquoi blanche : toujours selon le patient . "Dr j'ai eu les dents pourris toutes ma vie, aucun dentiste n'a voulu me soigner . Si vous me faites quelque chose je veux que se soit blanc" Amen

Pour les attachements et les fraisage je vous envois les tof rapidement.


Bagheera tudzjy - Eugenol
bagheerra

26/10/2010 à 21h11

Je n'aime pas la ligne des collets incisifs.
(signé : Schtroumpf grognon)


fou

27/10/2010 à 02h22

j'aime!
faudra un jour que tu me brief sur les attachements.
jattend les photos
et la prochaine fois prend nous des ptites photos de tes resections apicales par ce que tous le monde ne sais pas que tu adore ça.
merci pour la kassedi et te pose pas la question :demonte!


Smile beach jgh0a1 - Eugenol
Céramik

27/10/2010 à 03h43

Tillc écrivait:
---------------
> Pour l'egression des dents mandibulaire le patient ne voulait SURTOUT pas
> toucher au dents encore "saines" .
> "Chaques fois qu'on ma touché une dent j'ai eu un probleme donc si elles n'ont
> rien touchez les pas svp "dixit le patient. En augmentant la DV de 4 mm j'ai pu
> eviter les meulages.
> Le probleme c'est que maintenant il ne les trouvent pas belles et veut les
> blanchir/meuler... Sont jamais content les patients.
>
> Pourquoi blanche : toujours selon le patient . "Dr j'ai eu les dents pourris
> toutes ma vie, aucun dentiste n'a voulu me soigner . Si vous me faites quelque
> chose je veux que se soit blanc" Amen
>
> Pour les attachements et les fraisage je vous envois les tof rapidement.



Blanc ?
C'est les dent 31-41-42-43 qui sont jaunes au max, c'est pas les courones qui sont blanches !

Chez nous, c'est pas blanc ça !

Je ne comprenais pas le plan de tx de 31 à 43...mais si c'est le patient qui décide...


--
Céramik


17082007 synnio - Eugenol
kalif

27/10/2010 à 09h03

pas mal.

pourquoi avoir choisi de décolleter au niveau de 16-17?


 mg 0207 xwjxcl - Eugenol
Tillc

27/10/2010 à 12h28

bagheerra écrivait:
-------------------
> Je n'aime pas la ligne des collets incisifs.
> (signé : Schtroumpf grognon)

Pour la ligne des collets j'ai proposé en fin de traitement de le faire mais le patient a refusé apres 4 opérations il etait soulé

Pour le decolletage : A titre personel j'ai remarqué que si une prothése était ajouré il y avait moins de retention alimentaires et moins de caries. Donc des que je peux decolleter autour de dents naturelles je le fait . Il s'agit d'obervation personelles et non pas détudes !

Céramique : A l'orgine le patient n'en avait strictement rien a foutre de l'esthetique . Laisser ces 4 dents saines , meme jaunes, n'empechait pas de réaliser tout le reste . Alors si le patient le veut et que je peux il n'y avait aucune raison de toucher a ces dents (sauf peut etre pour les canadiens :) ).

Concernant les attachements j'ai une preference pour les attachement extra coronaires type VKS . Plusieurs forces differentes, tres facile a changer et pas trop chere. Par contre commme il s'agit d'extracoronaires je solidarise toujours les dents afin de limiter l'effet balancoire sur les couronnes. C'est pour cette raison que sur 45 j'ai mis un crochet et non pas un attachement car la dent est seule.
Pour le reste 11-13 solidarisés, 21 23 solidarisé, 31 unitaires et 32-34 solidarisé.


Gbazylo1 fvg1vg - Eugenol
Aron

27/10/2010 à 15h59

Ca c'est du service patient, bravo!

Cela dit j'ai peur que ton bruxisme en latéralité gauche te pète tes dents, ta gencive ou tes cerams, mais bon qui vivra...


aldo74

27/10/2010 à 22h00

bonsoir,je suis un fana de la prothèse composite et belle réalisation,cependant je me permet de trouver le travail du prothésiste insatisfaisant en sup:
crochet sur sept non rétentif(au dessus de la ligne plus grand contour)
ligne des collets non aligné
et fraisage des faces occlusales à la barbare;
je me suis battu des années pour que mon prothésiste améliore ses prestations en mobile et je pense que le tient à une marge de progression sur ce type de cas.....
qu'en penses tu?
peut-étre ais-je mal vu?


Dos02 qpcfgi - Eugenol
Rick

27/10/2010 à 22h12

Aie Aldo, le pavé dans la mare?
Tu as formé un prothésiste, bravo, il te remerciera à vie.
Tout comme je le fais ici même, merci les potes CDs, vous m'avez fait baver mais, sans vous je ne serait rien, je vois que la relève est encore là.


aldo74

27/10/2010 à 22h22

échange de bon procédé, mes prothésistes m'ont bcp fait progresser en fixe ....la mobile était le parent pauvre....


 mg 0207 xwjxcl - Eugenol
Tillc

28/10/2010 à 00h29

aldo74 écrivait:
----------------
> bonsoir,je suis un fana de la prothèse composite et belle réalisation,cependant
> je me permet de trouver le travail du prothésiste insatisfaisant en sup:
> crochet sur sept non rétentif(au dessus de la ligne plus grand contour)
> ligne des collets non aligné
> et fraisage des faces occlusales à la barbare;
> je me suis battu des années pour que mon prothésiste améliore ses prestations
> en mobile et je pense que le tient à une marge de progression sur ce type de
> cas.....
> qu'en penses tu?
> peut-étre ais-je mal vu?

Pour les collets tu peux lire plus haut.
Pour mon protho tu as tout a fait raison le problème c est que je ne parle pas chinois... Non je plaisante c est vrai que je le fait chier mais on ne travail ensemble que depuis 1 an. Les choses tendent t a s améliorer .


spirou

28/10/2010 à 02h41

Très beau cas compte tenu de la difficulté...
Pas sur qu'on soit tous capables de faire aussi bien. Moi, en tout cas, j'y travaille ;)


aldo74

28/10/2010 à 14h13

bonjour,je parlais des collets des dents résines sup gauche, pas de la fixe... et bon courage pour faire comprendre au prothésiste qu'une prothèse amovible peut aussi être esthétique en plus de servir à manger(faces occlusales)...


 mg 0207 xwjxcl - Eugenol
Tillc

28/10/2010 à 19h11

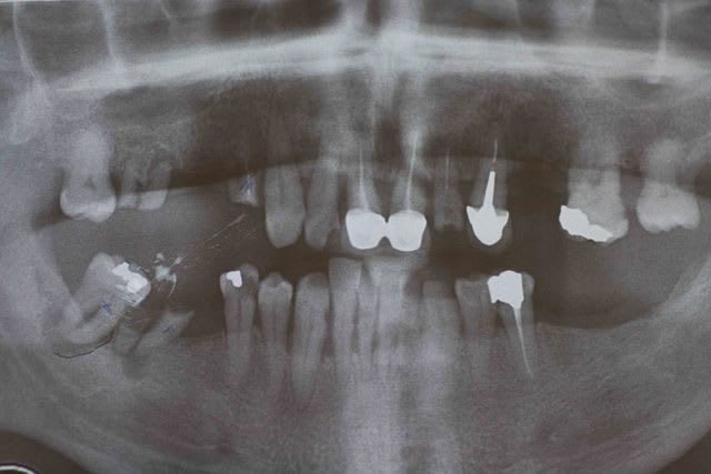
J'avais oublié la pano de départ + la photo des fraisages et attachement .


 mg 0207 xwjxcl - Eugenol
Tillc

28/10/2010 à 19h12

oups

 mg 0067 dgteck - Eugenol
 mg 0124 h2ub8k - Eugenol
 mg 0125 cmsoip - Eugenol
 mg 0126 gqtwk1 - Eugenol

Dos02 qpcfgi - Eugenol
Rick

29/10/2010 à 12h36

Salut tillc
Pas évident dessin sur photo, l'encre est presque finie, dessin rapide.
Pour alléger le tout et respecter le décolletage (que tu aimes bien) sur la totalité.

2 variantes châssis s'arrêtant aux 23-23 cadre palatin
Retour fraisés sur les canines avec retour en M (ouvert SVP) bien vertical.

Autre avec fraisages sur tout le bloc I C, S'inspirer photo 2
Une seule barre palatine au niveau des 6, la rigidité ant. Faite par le fil cingulaire.

Petite astuce pour désinsertion par le patient au niveau des attachements toujours délicate
Rainure dans la FG de part et d'autre, pouce sur la canine et ongle de l'index sur rainure de la résine.

PS: il n'est pas inutile de prévenir le patient que la prothèse s'insère avec les mains et pas avec son antagoniste.
En cas de contrôle ultérieur donner naturellement la prothèse au patient et si mauvaise insertion en bouche un coup de bâton ;)
Pas belle la vie.

Ch01 v3wgaz - Eugenol
Ch02 ycgqcm - Eugenol

Smile beach jgh0a1 - Eugenol
Céramik

29/10/2010 à 15h22

Sur la pano, les ant. inf semble très faible
(paro, perte osseuse, extrusion)
Tu as prévu quoi ?


Les ant sup sont-elle toutes solidarisées ?
Si oui, tu ne crains pas un manque d'hygiène de ce patient, avec son passé dentaire ?

Merci
--
Céramik


19066 1223810679128 1344811835 30546764 2261510 n medium ozxaxj - Eugenol
vitalic

29/10/2010 à 18h35

vive la PAP !
(même si je préfère la PIP)

Armatures 2 wqmzhl - Eugenol
Nouveau 010 juu5ye - Eugenol
Armatures ozzn5b - Eugenol
Nouveau 014 sk3oqu - Eugenol
Nouveau 004 bzqwrx - Eugenol
Nouveau 005 ybt9dx - Eugenol

12