Cookie Consent byPrivacyPolicies.comMade in Tunisia - Eugenol

Made in Tunisia

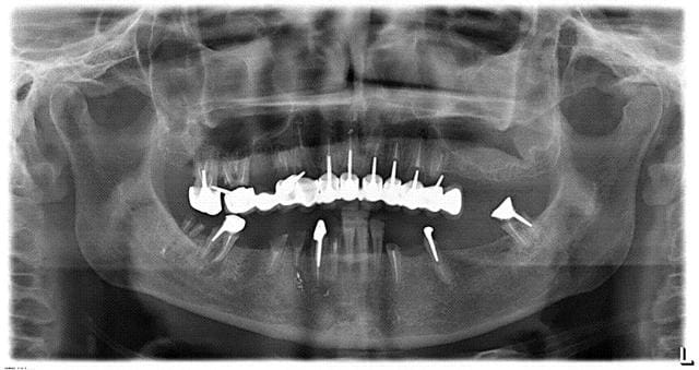
ceel

03/11/2010 à 19h27

bridges max et mand faits il y a deux ans de ça au pays basque
là je crois qu'on bat tout le monde

Belkadi n 20101103 253 trskxa - Eugenol

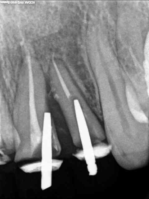
Photo pluton1b h9n4ea - Eugenol
pluton

03/11/2010 à 19h43

pas mal ceel
mais bon, y a quand même quelques tenons dans l'axe...;-)))

j'adore celui de la 16 qui vient s'ancrer dans la 17...mdr ;-)))

bon, et bien là t'as du taf...;-)


Bagheera tudzjy - Eugenol
bagheerra

03/11/2010 à 20h50

pays Basque... français ou espagnol ?


M xowzvs - Eugenol
orvieto2

04/11/2010 à 09h49

Made in USA :

Screwpost usa vdmfdg - Eugenol

P1060810  800x600  dlavv9 - Eugenol
Hebken

04/11/2010 à 11h13

Bobby écrivait:
---------------
> Certainement pas non...Reste que c'est un truc que je n'ai jamais vu en France.


MDR!


macfrancis

04/11/2010 à 13h00

made in France

R1 syc1dp - Eugenol

4a338550 6a5b 47ea b2a7 d3cb675c5076 oni5gh - Eugenol
fistule69

04/11/2010 à 17h25

La preuve que l'alcoolisme touche tout le monde...


Pepsi tmi4vp - Eugenol
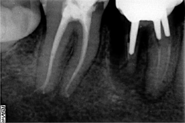
cartman

04/11/2010 à 19h00

pluton écrivait:
----------------
> pas mal ceel
> mais bon, y a quand même quelques tenons dans l'axe...;-)))
>
> j'adore celui de la 16 qui vient s'ancrer dans la 17...mdr ;-)))


et celui de la 14 en 13....

fortiche le gars


king_zoulou

04/11/2010 à 22h46

Made in Portugal pour la première
Made in France pour la seconde


Portugal fvvwgn - Eugenol
France dtjhec - Eugenol

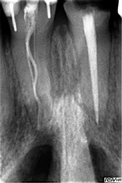
Utilisateur banni

05/11/2010 à 17h33

Et le gars ne se plaignait pas (ou comment implanter un pivot)

Tfm wnvbvz - Eugenol

12