Cookie Consent byPrivacyPolicies.comA votre avis? - Eugenol

A votre avis?

vince34

30/10/2010 à 21h12

Bonsoir,
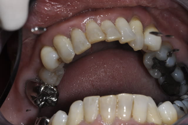
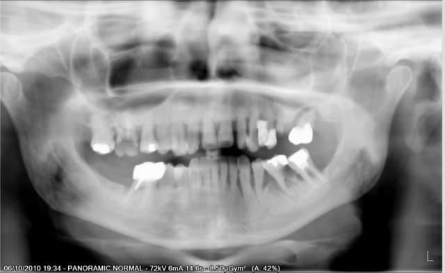
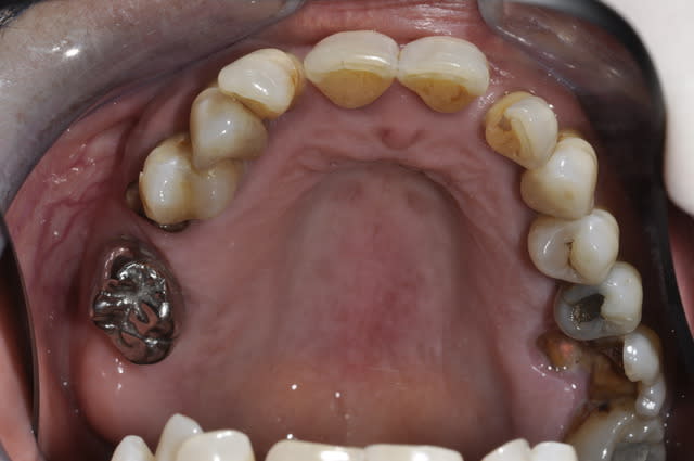
Patiente qui se presente au cabinet car ne supporte plus ses dents.
Elle fume 1 paquet par jour.
Pour le maxillaire je lui ai proposé de faire 4 implants + locator + PTotale
ou 6 implants + prothése fixe ( type pilotis). Au choix de la patiente.
Par contre pour la mandibule je sèche un peu.
Est ce que je garde des dents ou pas?
Je pensais peut être garder de 46 à 33 avec assainissement paro et pose de 2 implants en 34/36 avec bridge sur implant.
Ou alors j'extrais tout et je fais une prothése implanto portée?
Merci pour vos réponses.

 dsc0004 oneotu - Eugenol
 dsc0005 gt65z4 - Eugenol
 dsc0006 wceyyk - Eugenol
 dsc0008 ki36wv - Eugenol
 dsc0009 zjbe1d - Eugenol
13446001 extr0h - Eugenol

alhoun

30/10/2010 à 21h15

ne fais jamais de prothèse stabilisée si c'est toi qui édente le patient.
que du fixe.
la stabilisée n'est bien acceptée que par les porteurs de totale.
cette patiente risque d'être déçue.


vince34

30/10/2010 à 21h22

Pour ma part je préfère la fixe.
Mais j'ai proposé la solution de prothése stabilisée car le devis n'est pas le même non plus.
Et puis elle va bien s'en rendre compte déjà avec le port de la prothése provisoire et après elle fera son choix.
Je lui ai aussi présenté comme solution définitive ou transitoire long termes car si plus tard elle veut basculer sur du fixe je n'aurais qu'à mettre 2 implants de plus et refaire la prothése.


Cuisinier2 vnbbxx - Eugenol
jeff2

30/10/2010 à 21h24


arrêtez de fumer madame!, et revenez moi dans six mois
je ne propose plus d'implant à des patients qui fument un paquet par jour, car je sais que si j'envoie à ma correspondante adorée, ca sera le même discours
L'état de cette bouche est en phase terminale, la patiente en a t'elle consciente
a jouer avec le "feu"on se brule, maintenant c'est à elle de choisir, mais ses poumons ne seront pas meilleur état que ses dents!
--
Aux élections URPS du 16 décembre!
FSDL What Else?


vince34

30/10/2010 à 21h30

La patiente le sait, le traitement ne pourra être entamé que si elle stoppe ou diminue fortement sa consommation de tabac.


Cuisinier2 vnbbxx - Eugenol
jeff2

30/10/2010 à 22h14

alors all on six haut bas en deux etapes chir et 4 étapes prothéses, sans que jamais cette patiente soit sans dent ni prothèse amovible.

--
Aux élections URPS du 16 décembre!
FSDL What Else?


Smile beach jgh0a1 - Eugenol
Céramik

30/10/2010 à 22h22

vince34 écrivait:
-----------------
> La patiente le sait, le traitement ne pourra être entamé que si elle stoppe ou
> diminue fortement sa consommation de tabac.

Elle a bouzillé ses dents, assure-toi qu'elles ne fera pas la même chose avec les implants...

Tx paro en bas, et conserver la 33 ?

Pour le haut, je fais pas du fixe sur 6 implants.
Je vise 8 au minimum et 10 si possible.


--
Céramik


Smile beach jgh0a1 - Eugenol
Céramik

30/10/2010 à 22h29

jeff2 écrivait:
---------------
> alors all on six haut bas en deux etapes chir et 4 étapes prothéses, sans que
> jamais cette patiente soit sans dent ni prothèse amovible.
>
>

Tu as un cas comme cela avec radio et photo ?
Merci


--
Céramik


Cuisinier2 vnbbxx - Eugenol
jeff2

30/10/2010 à 22h36

mardi je poste avec l'autorisation de ma correspondante et si elle lit elle peut poster a ma place


--
Aux élections URPS du 16 décembre!
FSDL What Else?


S2y2o1v7q53ws4r5wy6ou8czrpom - Eugenol
pxav

31/10/2010 à 00h10

Céramik écrivait:
-----------------

>
> Pour le haut, je fais pas du fixe sur 6 implants.
> Je vise 8 au minimum et 10 si possible.
>
>
> --
> Céramik
+1

--
xbk
"Si tous ceux qui croient avoir raison n'avaient pas tort, la vérité ne serait pas loin".Pierre Dac.


flicflac

31/10/2010 à 03h54

Céramik écrivait:
-----------------

>
> Pour le haut, je fais pas du fixe sur 6 implants.
> Je vise 8 au minimum et 10 si possible.
>
+1=3

La raison: densité osseuse pour densité osseuse le haut= la moitié du bas D'où contact osseux moindre par implant... on double le nombre d'implants haut comparativement au bas...Cas de fixe totalement supporté par les implants en bas, quelque cas à 4 Implants (p'tite dame) majorité 5 Implants, le double = 8-10 voire 12 Implants..
salut les cousins