Cookie Consent byPrivacyPolicies.comJournées toujours aussi plaisantes en implanto... - Eugenol

Journées toujours aussi plaisantes en implanto...

Pépélaratiche

31/10/2010 à 14h59

Pp vous remet bien le bonjour à tous et part en vacances après s'être bcp trop amusé ces temps-ci...

Pp ;-))))))))))))))))

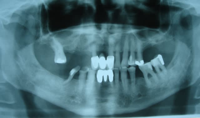
PS Désolé pour les kissing implants en 12 13 ...

Dsc02390 z29vye - Eugenol
Img 6927 huxgcy - Eugenol
Img 7054 z542ra - Eugenol
Img 7055 gn7v9s - Eugenol
Img 7056 hdafer - Eugenol

sinclair

31/10/2010 à 21h24

pp joli travail, mais je ne vois pas vraiment l'interet d'en faire un post de plus


200106 10150128247663588 709988587 6466236 5598391 n d7mksb - Eugenol
hallboy

31/10/2010 à 21h29

pourquoi pas de 6 en bas?


Pépélaratiche

31/10/2010 à 21h50

Parce que 6 en bas, ça te condamne à faire des extensions distales si tu veux un semblant de molaire

Et sur le long terme les extensions c est pas top

Et qd tu fais des prothèses "courtes" qui s arrêtent aux prémolaires, les patients se plaignent svt de ne pas avoir de molaires et donc de puissance masticatoire

Mais chaque praticien fait comme il veut, comme il le sent et comme il arrive à la faire passer à ses patients

Pour ma part ils sont tjs contents d avoir une bouche complète avec des molaires fixes et bien soutenues donc je n ai aucune raison de faire autrement...et stt pas de raison économique qui me pousseraient à leur proposer 6 implants sans molaires

Certes je "perds" sans doute des patients en proposant un nombre d implants plus élévés que des confrères mais je veux juste une grande sécurité et leur confort donc on ne déroge pas à la règle

Pp ;-)))))))))))


Smile beach jgh0a1 - Eugenol
Céramik

31/10/2010 à 21h54

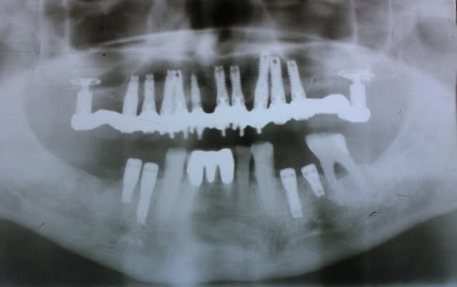
Bon, va falloir faire tjs plus !
Sérieusement, plus de 10 par arcades, c'est bcp.

Dans ton cas, j'aime pas les kissing implants, zolis nom pour une belle gaffe, sans rancune.

C'est quoi tes implants cylindres ? (vs les disk)

--
Céramik


Avatar jt8tlq - Eugenol
bogenom

31/10/2010 à 21h58

on veut des photos Pépé
quelques precisions ce serait pas du luxe :

-extractions/implantations/MCI?
-temps de cicatrisation?
-temporisation?

et que ça saute

Bonnes vacances


200106 10150128247663588 709988587 6466236 5598391 n d7mksb - Eugenol
hallboy

31/10/2010 à 22h55

Pépélaratiche écrivait:
-----------------------
> Parce que 6 en bas, ça te condamne à faire des extensions distales si tu veux un
> semblant de molaire
>


j'ai du mal m'exprimer: porquoi tu lui a pas remplacer la 36 et la 46?