Cookie Consent byPrivacyPolicies.comvos avis - Eugenol
Avatar jt8tlq - Eugenol
bogenom

05/11/2010 à 16h52

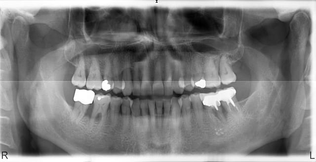
Patient 54 ans
non fumeur

douleur zone 46 47
suppuration 36
hbd acceptable

Pano kikw0h - Eugenol

Img 0812 mvp6i0 - Eugenol
jeamba

05/11/2010 à 18h59

Pour moi 46-47 c'est pas conservable et au risque de perdre encore un peu plus d'os. 36 je ne vois pas la racine mésiale sur ta pano. La distale est condamnée. Si possible de garder la racine mésiale et faire un bridge avec la 37. Celà dépendra de la possibilité de refaire le traitement canalaire( encore que les racines mésiales sont plus difficiles à conserver par rapport aux distales. Sinon et avant tout assainissement global avant d'extraire.


Avatar jt8tlq - Eugenol
bogenom

05/11/2010 à 19h33

OK Jeamba
j'ai pensé conserver 46 47 avec apprentissage de la brossette après detartrage supragingival

extraction 36 mais comblement ou pas ?
La separation de racin ne m'a pas semblée jouable, j'essaye de mettre les retros en ligne

d'autres propositions ?


Photo pluton1b h9n4ea - Eugenol
pluton

05/11/2010 à 19h48

t'emmerdes pas avec un biomat pour la 36...t'as de la hauteur...au pire, récupère de l'os de forage si tu poses un implant ici...
pour moi, exo de 36/46/47, assainissement paro et 3 clous....;-)


Img 0812 mvp6i0 - Eugenol
jeamba

05/11/2010 à 20h22

bogenom écrivait:
-----------------
> OK Jeamba
> j'ai pensé conserver 46 47 avec apprentissage de la brossette après detartrage
> supragingival
>
> extraction 36 mais comblement ou pas ?
> La separation de racin ne m'a pas semblée jouable, j'essaye de mettre les retros
> en ligne
>
> d'autres propositions ?
Moi j'aurais tenté de conserver la racine mésiale de 36 mais à voir sur une rétroalvéolaire. Sinon pas de comblement, ce que je fais et qui marche bien c'est mettre en surface de l'alvéole( aprés un trés bon curetage) un bouchon de métrogène(de chez Septodont) ou n'importe quel matériau collagénique pour protéger ton caillot et empêcher la compétition cellulaire, suture par dessus et le tour est joué.


vince34

05/11/2010 à 20h46

Et le maxillaire tu fais rien?
Image de perte osseuse sur 13 et 27 qui sont importantes.


Avatar jt8tlq - Eugenol
bogenom

05/11/2010 à 20h49

la 27 me semble compromise qu'auriez vous fait


nolive

05/11/2010 à 22h25

bogenom écrivait:
-----------------
> la 27 me semble compromise qu'auriez vous fait

Pb occlusal ???

Sinon pour moi, extraction de 36-46-47 assainissement et pose de 3 clous (+1 pour pluton).

Salut


Smile beach jgh0a1 - Eugenol
Céramik

05/11/2010 à 23h58


Bilan PAro (rétro et tout)
Bilan Occlusion
Ensuite, tu verra quoi faire...
Effectivement, la 13 semble plus problématique.
27 hop bye-bye
les molaires du bas, fait voir ton bilan paro et résultat du tx paro dans 6 mois...

--
Céramik


flicflac

06/11/2010 à 02h31

meme avis que pluton,
dent 36 endo-paro combiné...exo...
salut les cousins


Img 0812 mvp6i0 - Eugenol
jeamba

06/11/2010 à 15h21

cousin, as-tu déjà fait des amputations radiculaires? En as-tu l'expérience? Si ta racine mésiale(qui a l'ai intacte, en tout cas sur la pano) est récupérable au niveau endo, une amputation de la distale et un bon curetage va te recréer de l'os consolidant la racine mésiale. Je trouve que comme dans les films de science fiction vous avez la gachette facile. Le moindre doute, on ne réfléchit plus,on extrait et on pose des clous. Allons cousin.


flicflac

06/11/2010 à 22h53

J'ai déjà fait amputation de racine...est-ce que le jeu en vaut la chandelle... d'après mois non demamde un bon investissement de la part du patient pour sauvé, dans ce cas-ci un moignon radiculaire mésial et par la suite couronné et faire un bridge...avec un pronostic mitigé..
alors le cousin n'en fait plus.


flicflac

06/11/2010 à 22h54

nous on pose plutot des Implants...


flicflac

06/11/2010 à 22h57

dans cette bouche... j'investirais plus sur l'hygiène et si et seulement si le patient est apte à bien entretenir traitement au niveau de la dent 13


Img 0812 mvp6i0 - Eugenol
jeamba

06/11/2010 à 23h09

flicflac écrivait:
------------------
> J'ai déjà fait amputation de racine...est-ce que le jeu en vaut la chandelle...
> d'après mois non demamde un bon investissement de la part du patient pour sauvé,
> dans ce cas-ci un moignon radiculaire mésial et par la suite couronné et faire
> un bridge...avec un pronostic mitigé..
> alors le cousin n'en fait plus.

Moi aussi je pose des implants mais je fais aussi des bridges sur racines conservées et surtout dans ce cas où la 37 est à couronner. Ce genre de bridge sont en bouche, dans mon cabinet, depuis plus de 10 ans et 10 c'est beaucoup pour un patient de plus de 50 ans car n'oublie pas qu'il y a 10 l'implantologie n'était pas ce qu'elle est aujourd'hui et dans 10 ans elle ne sera certainement pas celle d'aujourd'hui. Alors cousin "continuez à poser des implants" mais gardez les pieds sur terre et mettez un peu de réflexion dans vos actes ça ne fera pas de mal à vos chevilles.


Avatar jt8tlq - Eugenol
bogenom

07/11/2010 à 00h59

Merci pour vos avis

ci joint le pano pris jeudi
donc pour recapituler
pano initial : mars 2008
detartrage, apprentissage techniques hyhiènes, stoppage du broxodjette en direction des apex patience tel ceramik l'a suggeré

équilibration occlusale :grosses interferences NT bien vu Nolive

j'ai été conservateur désolé nolive et Pluton des 46 47 (mais jusqu'à quand)
Merci aussi cousin pour tes avis

aucun materiau de comblement comme Jeamba (promis pour la furcation de 46 c'est pas du photoshop) ni de separations qui demande à mon humble avis une (trop) grande coopération du patient

Sans faire de pub pour l'implant mais plutôt pour le concept switching Platform, j'aime bien le design, le niveau osseux stable qui sont des constantes pour ce systeme

L'extraction a eu lieu le jour du pano
l'implant 40 jours après
pano de controle 2 ans et 9 mois plus tard avec un contrôle detartrage tous les 9 mois environ

Je pense gicler la 27 l'année prochaine si la météo est favorable

quels sont vos indications sur l'utilisation de materiaux de comblement post extraction, et lesquels



Pano 4 si8hhp - Eugenol
Pano1 zv37fl - Eugenol

Smile beach jgh0a1 - Eugenol
Céramik

07/11/2010 à 04h54

bogenom écrivait:
-----------------
>> detartrage, apprentissage techniques hyhiènes, stoppage du broxodjette en direction des apex

broxodjette ??????


patience tel ceramik l'a suggeré>

+1 !
:-)


> équilibration occlusale :grosses interferences NT bien vu Nolive
>
bilan occlusion :
+2 céramik !

>
> Sans faire de pub pour l'implant mais plutôt pour le concept switching Platform,
> j'aime bien le design, le niveau osseux stable qui sont des constantes pour ce systeme


sympa l'implant...anlylos ?
chanceux avec le résidu de matériel endo en apex...


>
> L'extraction a eu lieu le jour du pano
> l'implant 40 jours après
> pano de controle 2 ans et 9 mois plus tard avec un contrôle detartrage tous les
> 9 mois environ

j'aurais fait détartrage aux 4 mois...



>
> Je pense gicler la 27 l'année prochaine si la météo est favorable


non, c'est urgent selon moi, vire la 27 !

A+


--
Céramik


Avatar jt8tlq - Eugenol
bogenom

07/11/2010 à 17h41

le detartrage aux 4 mois était prevu mais luxation de l'epaule du patient, naissance de la petite derniere et autres evenements ont dicté le rythme
Le petit puff ne te plaît pas ceramik ?



Smile beach jgh0a1 - Eugenol
Céramik

07/11/2010 à 17h52

bogenom écrivait:
-----------------
> le detartrage aux 4 mois était prévu

bien


> Le petit puff ne te plaît pas ceramik ?

Ben non, c'est quand même un corp étanger prêt d'un implant,
j'ai vu un cas comme ça virer en catastrophe, avec obligation d'enlever l'implant...

et explication svp de :

"stoppage du broxodjette en direction des apex"

merci

--
Céramik


Avatar jt8tlq - Eugenol
bogenom

07/11/2010 à 19h24

http://eu.broxo.com/images/broxojet_kompakt/broxojet_reflected.jpg


le patient en était un grand utilisateur d'ou probablement les problemes paro entretenus
peut être pas D'AMM au CANADA ?


flicflac

08/11/2010 à 03h11

implant 40 jours après extraction.... je préfère 3 ou 4 mois suis-je trop patient?
salut cousin


flicflac

08/11/2010 à 04h27

jeamba, la dent 37 a déjà été couronnées, pour faire ton bridge avec racine mésial 36 et dent 37, tu doit démollir la couronne sur 37... à moins de carie récurante où la couronne est à refare de toute facon et ce qui confirme pas d'hygiène... pas de prothèse fixe
salut cousin


Smile beach jgh0a1 - Eugenol
Céramik

08/11/2010 à 04h33

bogenom écrivait:
-----------------
> http://eu.broxo.com/images/broxojet_kompakt/broxojet_reflected.jpg
>
>
> le patient en était un grand utilisateur d'ou probablement les problemes paro
> entretenus
> peut être pas D'AMM au CANADA ?


OK, c'est un water-pick !

http://www.waterpik.com/oral-health/products/countertop-dental-water-flosser/WP-100/


J'ai jamais vu de cas paro devenir pire avec cela...
Je le recommande aux patients en ortho.


--
Céramik


Img 0812 mvp6i0 - Eugenol
jeamba

08/11/2010 à 12h10

flicflac écrivait:
------------------
> jeamba, la dent 37 a déjà été couronnées, pour faire ton bridge avec racine
> mésial 36 et dent 37, tu doit démollir la couronne sur 37...
Quel est le coûtb d'un bridge sur deux dents par rapport à un implant et sa prothèse? Sans parler de la rapidité de réalisation.
à moins de carie
> récurante où la couronne est à refare de toute facon et ce qui confirme pas
> d'hygiène... pas de prothèse fixe


Pas d'hygiène pas d'implant non plus.
Notre discussion tourne en rond et finalement chacun a sa façon de voir les choses, de bien réfléchir sur les facteurs temps, économies(financière et tissulaire) et habitudes opératoires.
Salut cousin


l adan

08/11/2010 à 12h12

Très jolie cicatrisation de 46 .Tu n'as effectué que du non chirurgical ? quelle évolution du sondage et indice de saignement sur 13 ?