Cookie Consent byPrivacyPolicies.comgerme surnuméraire, racine de lait? - Eugenol

germe surnuméraire, racine de lait?

gilles69

06/11/2010 à 23h56

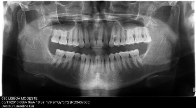
en clinique épulis entre 22 et 23 et hyperplasie en palatin de 23.
je pense que la chirurgie sera nécessaire, mais c'est quoi selon vous?

Li m kym51p - Eugenol

Avatar hjdsnm - Eugenol
TiGabi

07/11/2010 à 00h19

Tu ne saura ce que c'est qu'après avoir ouvert, voire même après anapath si besoin. Ça semble vaguement conoïde : donc odontome possible, mais l'image n'a pas la même radio-opacité que les dents (semble plus dense). L'image se superpose à la racine de 23 mais masque celle de 24 : résorption ? L'image de poche paro en mésial de 23 et les lésions gingivales que tu décris me semblent également atypiques pour un odontome.
Dis nous le résultat quand tu en saura plus.

Est-ce que vous voyez une image radio-opaque ronde entre les apex de 11/21 ?

Depuis quelques semaines, tout le monde laisse le nom du patient sur les pano....

En photo : le dernier que j'ai enlevé.

P1000544 jgso1f - Eugenol

chicote64

07/11/2010 à 00h42

pour moi ça ressemble à un odontome