Cookie Consent byPrivacyPolicies.comAdenome hypophysaire - Eugenol

Adenome hypophysaire

Photo 158 mluhia - Eugenol
robin

08/11/2010 à 18h34

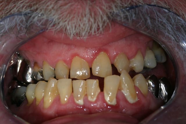
bonjour

pour l'anecdote, le patient m'a été adressé par son généraliste pour un problème d'ATM. Un vieux souvenir de fac ( il en reste quelques uns) m'a incité à le renvoyer chez son généraliste pour un dosage de l'hormone de croissance. Résultat: adénome hypophysaire.

Img 8464 pq5b99 - Eugenol
Img 8460 tiannd - Eugenol
Img 8462 rlatgq - Eugenol

Avatar hjdsnm - Eugenol
TiGabi

08/11/2010 à 20h46

Qu'est-ce qui t'as fait suspecté le problème ? A voir les photos, j'aurai pensé à une banale gingivite marginale "tartrique".


Canin

08/11/2010 à 21h27

La promandibulie est un signe spécificque de l'AH ??

--
Canin


Photo 158 mluhia - Eugenol
robin

08/11/2010 à 22h51

TiGabi écrivait:
----------------
> Qu'est-ce qui t'as fait suspecté le problème ? A voir les photos, j'aurai pensé
> à une banale gingivite marginale "tartrique".

Je connaissais ce patient. Effectivement l’hygiène n’est pas terrible, mais la promandibulie n’existait pas quelques mois auparavant, il était en bout à bout incisif je crois.
Il y avait aussi le motif de consult du patient. Il avait consulté son généraliste car il trouvait qu’il avait « changé de tête » depuis quelques mois.
Les photos ont été prises il y a quelques jours. Il est revenu me voir, car il voulait savoir si on pouvait faire quelque chose pour l’occlusion. Après avoir extrait une 7 complètement alvéolisées, il mords sur 2 PM. La solution ne peut être que chirurgicale, mais il n’en veut pas, il me dit qu’il arrive à manger comme ça.