Cookie Consent byPrivacyPolicies.comExtraction de la 52 maintenant? - Eugenol

Extraction de la 52 maintenant?

jouk

08/11/2010 à 19h56

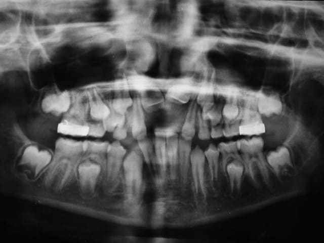
Jeune garcon de 6 ans,2 mois présentant une 52 et une 12 surnumeraire.Vu son retard dentaire,pensez vous qu'il est préferable de pratiquer l'extraction de la 52 mésiale maintenant ou de laisser évoluer et revoir ce jeune patient dans 6 mois;
Merci pour vos nombreuses réponses!!!

Theo y8dvge - Eugenol
Theo  1  kw1eca - Eugenol

Avatar hjdsnm - Eugenol
TiGabi

08/11/2010 à 20h43

Il faudra enlever la 52-bis et la 12-bis à un moment.

Si l'enfant est coopératif et le germe accessible sans délabrement excessif, fais le maintenant.

Si ce n'est pas le cas, attendre 6 mois te permettra de gagner un peu de maturité de l'enfant (6 ans : âge charnière) et, avec de la chance, d'avoir des germes plus bas.

Par contre, une temporisation n'est à envisager que si les parents ont un minimum de sérieux et ne laisseront pas courir le problème sur plusieurs années.


Canin

08/11/2010 à 21h15

Fait un scanner ou cone-beam, ça peut être joli.


le gros souci c'est ta 11 d'après ce que je constate est placée au niveau du seuil narinaire à cause de la 12 bis et par voie de conséquence la 52.

En principe il faut lever l'obstacle pour espérer une reprise des phénomènes de dentition.

A dicuster avec l'ortho.

Fait voir quelle est la bonne dent à extraire selon l'imagerie 3D, voir laquelle est la plus dysmorphique des 12.

Perso je dégage 52 et 12bis, je laisse évoluer 6 mois pour surveiller la 11 sinon faudra aussi la coller pour la tracter à terme.

Plan de traitement avec l'ortho traitant.
--
Canin


Image odged8 - Eugenol
ploc

08/11/2010 à 22h51

je me depeche de soigner ttes les caries...
2 avantages:
-eviter le risque de contamination des 6 qui arrivent, restaurer sans attendre plus de degats
-voir le degré de cooperation de l'enfant... et des parents

et je prends une decision ensuite avec l'odf


jouk

08/11/2010 à 22h53

Merci pour les réponses.L'ortho me demande d'extraire la 52 mais à ce stade ,je ne comprend pas trop l'intéret.
J'envisageais ,à mon sens, d'attendre encore pour permettre la descente des 12 et de procéder eventuellement à l'extraction simultanée(le probleme étant de savoir laquelle extraire :la 12 mésiale a une plus belle forme)


Avatar transparent iqadnc - Eugenol
adhoc

09/11/2010 à 00h20

oui, mais la 12M est responsable de (ou tout du moins maintient) la rotation et malposition de 11.
Et sa conservation (extraction de 12D) entrainera des manoeuvres ortho de distalation pas evidentes
Le choix n'est pas si facile....


1 p3qrc4 - Eugenol
Bjc.

09/11/2010 à 00h34

Même du coté G. ou il n’y a pas de dents surnuméraire, il y a encombrement
Il faut laisser faire la croissance, ou au besoin la stimuler avant de prendre une décision d’extraction

@+ Bjc.


jouk

09/11/2010 à 10h06

Bjc. écrivait:
--------------
> Même du coté G. ou il n’y a pas de dents surnuméraire, il y a encombrement
> Il faut laisser faire la croissance, ou au besoin la stimuler avant de prendre
> une décision d’extraction
>
> @+ Bjc.
>
Qu'entends tu par la stimuler?extraire la 52?


1 p3qrc4 - Eugenol
Bjc.

09/11/2010 à 12h11

"""Qu'entends tu par la stimuler?extraire la 52?"""

Stimuler la croissance osseuse, transversale et du prémaxillaire par un Q.H. par exemple,

à mon avis, une extraction, actuellement, est prématuré car les permanentes ne sont pas assez évoluées.
il faudra envisager les extractions lactéales lorsque la longueur des racines des dents permanentes sera égale à la longueur de leur couronne, car il faudra sans doute, en même temps que l’extraction de la 12 surnuméraire, tracter la 11

et si c’est le cas, ne faire qu’une seule chirurgie, deux chirurgies, à un an d’intervalle, posent des Pbs.

j’ai eu un cas semble, je vais essayer de te le retrouver

@+ Bjc.


1 p3qrc4 - Eugenol
Bjc.

10/11/2010 à 23h09

Patient 9 ans

La mère vient consulter car les Inc. centrales sont absentes
bien qu’on lui ait extrait les lactéales, il y a 2 ans

@+ Bjc.

1 qlyp2c - Eugenol

1 p3qrc4 - Eugenol
Bjc.

11/11/2010 à 18h16

La chirurgie est décidée : ablation des odontomes, ce qui va permettre l’éruption des centrales

@+ Bjc.

2 oejzwj - Eugenol
3 keajd0 - Eugenol

1 p3qrc4 - Eugenol
Bjc.

11/11/2010 à 18h24

Seule la 11 arrive sur l’arcade
Il faut donc faire une 2° chirurgie et coller un anneau de traction

4 uigevb - Eugenol

1 p3qrc4 - Eugenol
Bjc.

11/11/2010 à 18h36

Je décide faire moi-même, la 2° chirurgie
la 21 est en placement, sans trop de Pbs.

5 gudtwh - Eugenol

1 p3qrc4 - Eugenol
Bjc.

11/11/2010 à 18h48

La suite n’est plus qu’une formalité avec les frictions faibles

6 s7xn9x - Eugenol

1 p3qrc4 - Eugenol
Bjc.

11/11/2010 à 19h05

Evolution relationnelle du cas

Parents et enfants étaient en confiance jusqu’à la 2° intervention, qu’ils ont accepté avec des réserves non exprimées, mais que j’ai bien ressenti
il a fallu passer beaucoup de temps en explication avec tout le monde, et malgré cela, le manque de motivation de l’enfant s’est traduit par de grosses négligences au brossage

Je crois que je n’aurai pas du déléguer la 1° intervention, mon excuse est qu’elle me paraissait simple. pour une fois je suis d’accord avec Dancha, nous devons faire nos chirurgies nous-mêmes


1 p3qrc4 - Eugenol
Bjc.

11/11/2010 à 22h24

Pourquoi la 11 est elle descendue et pas la 22 ?

sur la Rx. avant Chir., on voit que la 22 est en position plus apicale que la 21
voici une Rx. après Chir., ou on voit que le dégagement osseux de la 22 est moins important que sur la 21, sans doute à cause de sa position plus apicale

ce qui expliquerait pourquoi la 22 est restée bloquée

@+ Bjc.


8 afry7x - Eugenol
7 igr0m8 - Eugenol

jouk

15/11/2010 à 18h11

Merci pour ton cas, je pense que je vais encore un peu attendre.Le probleme c'est que l'ortho a insisté pour que j'enleve cette 52;C'est toujours assez délicat de se mettre en opposition.....


did01

17/12/2010 à 23h14

2 odontomes ss les centrales --> extraction et traction ?