Tous les forums
premieres facettes
12/11/2010 à 02h00
pirlipili écrivait:
-------------------
> sinon parmis les nonoliens ayant proposés des facettes a leurs patients, avez
> vous tous continué ?
> dans le cas contraire pourquoi?
Drôle de question...les facettes, c'est assez fréquent non ? L'époque des couronnes complêtes CCM, c'est un peu dépassée.
;-)
--
Céramik
12/11/2010 à 10h24
Céramik écrivait:
-----------------
> Drôle de question...les facettes, c'est assez fréquent non ? L'époque des
> couronnes complêtes CCM, c'est un peu dépassée.
Pas chez nous Céramik.
Déjà, pour trouver un prothésiste qui sache les faire, c'est pas gagné.
Ensuite, ne nous leurrons pas, il y a un problème de formation.
Enfin la sensibilité européenne quant aux indications purement esthétiques n'est pas la même. Perso, j'ai un peu de mal à tailler comme certains américains des dents saines pour corriger un sourire sub-parfait. Et sur les gros handicaps esthétiques indéniables, j'ai souvent peur de la prévisibilité du résultat des facettes.
Et l'on sait bien que les choses qu'on propose pour lesquelles on n'est pas à 100% à l'aise sont rarement acceptés.
Les facettes chez nous, c'est un peu l'implantologie d'il y a dix ans.
12/11/2010 à 11h25
Reste plus qu'a se former alors :)
Il y a quand même bcp d'indication...
On ne propose que ce que l'on sait faire...et les patients comprennent l'intérêt de conserver au mieux les tissus sains, tant pour le résultat esthétique que pour le pronostic à long terme.
Les facettes de céramique ont un taux de survie supérieur au restauration périphérique !
--
Dr Cingulum
-----Ancien interné----
----Attaché à l'apex----
www.clinic-all.fr formation par passion
12/11/2010 à 12h16
et, élément indispensable pour ne pas être déçu, il faut absolument travailler avec un céramiste qui connaît très bien ce domaine.
12/11/2010 à 13h09
Cingulum écrivait:
------------------
> Les facettes de céramique ont un taux de survie supérieur au restauration
> périphérique !
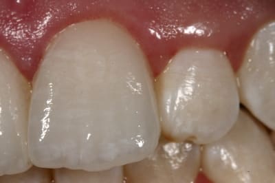
Une facette pour éviter une coiffe, on applaudit. Mais une facette contre un compo direct, c'est plus contestable.
Autre interrogation, dans le beau cas que tu viens de poster, comment pouvais-tu être sûr de la profondeur de la coloration ?
Dans ces cas, je sais que certains conférenciers recommandent le périphérique systématiquement.
Enfin comment gérer dans la communication avec le patient ce que certains appellent le gradient thérapeutique ? Quand vous commencez à parler de micro-abrasion et que ça se termine avec un congé de 2mm, ça la fout un peu mal vis à vis du patient.
12/11/2010 à 15h07
*Des références de système de collage à recommander avec l'Emax?
*Pour la provisoire, si je comprends bien, tu poses un petit pois d'etching puis un peu de flow à polymériser à travers?
Est ce que ça part facilement le jour de la pose?
* pas d'adhésif tout de suite après la préparation pour sceller d'éventuelles tubuli mis à nus?
Merci
12/11/2010 à 16h23
avec l'emax tu as le variolink mais l'adhésif qui va evec est un MR2 ( je crois)
personnellment, je prends l'optibond FL ( MR3) avec le Nexus 3
12/11/2010 à 18h00
Variolink avec emax, c'est bon.
Je passe un coup d'adhésif juste après préparation, systématiquement quand je fais une taille de dent vivante
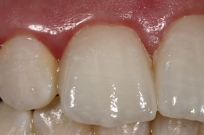
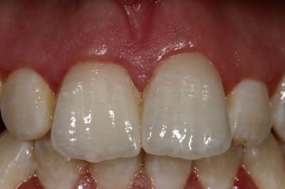
Superbond et Panavia sont plus indiqués pour coller le métal, mais ça marche aussi. Je pense quand même qu'un composite de collage est mieux.
Pour masquer de fortes colorations, c'est toujours un compris opaque/translucide mais souvent le patient est quand même très satisfait.
12/11/2010 à 19h33
ceel écrivait:
--------------
> avec l'emax tu as le variolink mais l'adhésif qui va evec est un MR2 ( je crois)
C'est effectivement un MR2 dual, mais n'importe quel adhésif dual ou avec activateur fera l'affaire.
> personnellment, je prends l'optibond FL ( MR3) avec le Nexus 3
Tu n'as pas de problème de sur-épaisseur avec l'optibond FL ? Il se dit qu'il est trop difficile à amincir suffisamment.
Sinon il y a le Variolink Veneer qui est photo, ce qui permettrait d'éviter les risques de virage coloré dans le temps.
12/11/2010 à 22h02
Le Choixpeau magique écrivait:
------------------------------
>
> Sinon il y a le Variolink Veneer qui est photo, ce qui permettrait d'éviter les
> risques de virage coloré dans le temps.
Il est commercialisé en France ou toujours pas?
12/11/2010 à 22h21
Lors de la phase de collage, utilisez vous la digue? Comment gérer la pose de la digue avec une limite juxta gingivale?
Comment retire t on les provisoires?
12/11/2010 à 22h45
personne ne colle avec les auto mordançant comme le speedcem, le totalcem ou autre ?
le provisoire peut se retirer avec une curette,attention ça saute.....
pour la digue ,je ne prend pas le risque de toucher la gencive j'utilise des fils ,comme pour les caries de collets...
12/11/2010 à 23h43
cartman écrivait:
-----------------
> Il est commercialisé en France ou toujours pas?
Oui, je l'ai vu dans le catalogue Schein.
13/11/2010 à 14h49
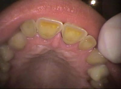
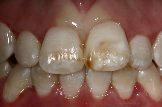
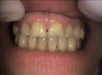
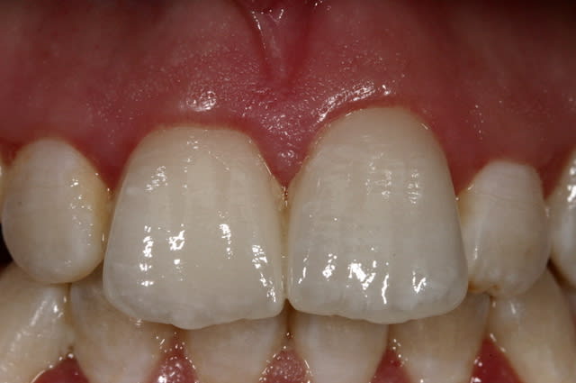
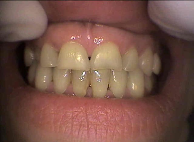
Dans un cas comme celui ci , les facettes sont elles contre indiquées ?
( je précise avant les remarques que le problème paro est en cours de traitement )
13/11/2010 à 15h43
je veillerai à ce que sa boulimie anorexie soit également prise en charge.
ensuite une photo avec sourire et lèvre au repos suivi d'un montage sur articu pour déterminer où doit être idéalement situé le bord incisif sup afin d'éviter de lui faire des dents "trop longues". Une élongation coronaire peut etre plus judicieuse dans ce cas.
13/11/2010 à 18h15
C'est pas une indication de facettes.
Tu as de multiples choses à voir dans ce cas...
Paro, occlusion, bruxisme, émail lingual absent (reflux, boulimie, etc).
--
Céramik