Cookie Consent byPrivacyPolicies.cominterception - Eugenol

interception

Charlie tn4wmz - Eugenol
lordofthedam

13/11/2010 à 11h55

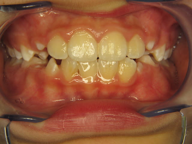
Enfant de 9ans avec déglutition infantile, résultat au bout de 4 mois de port de T4K. Et dire que l'ortho voulait le baguer à 12 ans!

Photo 574 gvsbiq - Eugenol
Photo 001 dpoao9 - Eugenol

Ylfwcw979cz1jnx9gfqeaxndiuzk - Eugenol
Algi

13/11/2010 à 18h50

J


Ylfwcw979cz1jnx9gfqeaxndiuzk - Eugenol
Algi

13/11/2010 à 21h15

Désolé BJC mais l'ortho fonctionnele ça marche et quand ça marche ça ne recidive pas!

Par contre je n'ai jamais dit que c'était la seule alternative.

Tu le sais, je pense aussi que les techniques avec forces légéres sont trés interessantes, donc Damon par exemple pour qui sait faire.

Ensuite il y a aussi des cas qui necessiteront de la chirurgie (simples extractions ou chirurgie maxillo-faciale)et/ou le port d'appareillages plus lourds mais, et tu le sais aussi bien que moi, ça reste minoritaire.

Perso je suis omnipraticien et,effectivement, je recherche la facilité (et puis j'ai pas forcément le temps ni l'envie de passer 5 ans à me former à des techniques maîtrisées par d'autres). Donc, j'essaie de bosser en interception sur mes plus jeunes patients mais aussi, tant qu'à faire, j'ai aussi et neanmoins quelques cas ados et adultes sympas avec juste du fonctionnel, la chance sans doute....

Effectivement je suis, des fois, en colère et un peu excessif mais permet moi de dire pourquoi je suis si véhément:

Je suis omnipraticien depuis presque 20 ans maintenant; j'ai vu tout au long de ma carrière et encore très récemment des patients, jeunes et moins jeunes, avec supra, béances, ddm, dysfonctions diverses et variées de la deglutition et de la respiration qui avaient consulté des ortho qualifiés et dûment estampillés cecsmo qui leur ont dit "on attend 12 ans", "on va extraire 4 premolaires pour faire de la place", "c'est la faute aux dents de sagesse", "on va y passer 5 ans en multibague".... et puis je vois aussi ceux qui ont subi tout ça et qui recidivent, qui ont des soucis d'atm et de bruxisme, qui ont leur profil bousillé car on leur a foutu la gueule en arrière, qui pourront plus jamais fonctionner correctement parcequ'on les a mutilé inutilement.....

Te concernant je sais que tu maîtrise ton sujet mais malheureusement tu es, semble-t-il, d'une espèce rare.... personnellement j'ai juste essayé à mon niveau de traiter les cas qui me semblent dans mes cordes car sinon j'aurai été contraint de les mettre entre les mains d'incompétents et de criminels....

Si moi, avec mes petits moyens,activateurs et pistes de planas, j'arrive à remettre en bonne voie certains de mes patients je pense que d'autres omni qui ont ni l'envie ni le temps de se former à des techniques complexes en ortho peuvent le faire aussi et ce forum est là pour ça, partager et donner envie.

D'autre part j'ai eu une intéressante discussion avec un ortho réputé de chez moi qui m'a avoué que, multibaque ou pas, il fallait IMPERATIVEMENT que la fonction soit operationnelle pour definitivement stabiliser les patients mais que ça lui prenait trop de temps et que de toutes façons les patients en avaient rien à foutre puisque leur demande est, dans la plupart des cas, purement esthetique!!!!!

Donc si je resume: je suis en premiere ligne pour diagnostiquer les problémes ortho, je peux essayer trés tôt de corriger le tir sans faire courir de risque au patient car soit ça marche soit il se passe rien... si il se passe rien au bout de 2 mois soit on revoit la motivation soit alors on adresse à un ortho qui tient la route mais y'en a si peu que si j'adresse tous mes patients ils pourront pas répondre à la demande!

Si tous les omni font comme moi certes il y aura moins de boulot pour les spé mais ils pourront pleinement s'occuper de VRAIS cas d'ortho, passionnants, complexes, exaltants et faisant appel à la totalité de leurs si merveilleuses compétences inaccessibles au commun des praticiens :0))

--
"On a toujours le choix! Mais entre quoi et quoi?
FSDL! What else?"