Cookie Consent byPrivacyPolicies.combridge collé céramique - Eugenol

bridge collé céramique

aldo74

24/11/2010 à 23h13

bonjour,certain ont-il déjà réalisé des bridge collés tout céram , par exemple en cas d'agénésies de latérales sup .
Emax ou zircone?


ndecer

24/11/2010 à 23h45

Bonsoir,

en conférence j'ai vu le Dr Launois proposer une poutre zircone recouvert d'empress pour le collage. Je suis en cours d'en faire un je passerai des photos.


aldo74

24/11/2010 à 23h48

intéressant j'attends ,merci


200106 10150128247663588 709988587 6466236 5598391 n d7mksb - Eugenol
hallboy

24/11/2010 à 23h51

Emax canine à canine

mais t uveux parler de bridges a ailettes je suppose?


Smile beach jgh0a1 - Eugenol
Céramik

25/11/2010 à 03h07

hallboy écrivait:
-----------------
> Emax canine à canine
>
> mais t uveux parler de bridges a ailettes je suppose?

Tu a fais du e-Max de canine à canine ?
Combien de pontiques ?
Tu as des photo ?


--
Céramik


aldo74

25/11/2010 à 09h41

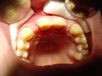
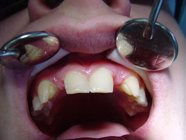
bonjour, le cas :

Dsc00091 vo4p11 - Eugenol

aldo74

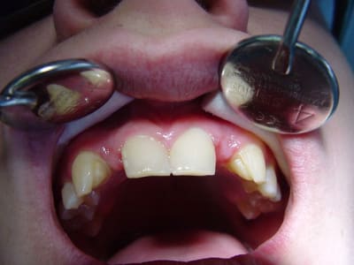
25/11/2010 à 09h45

rebonjour, le provisoire : excuse pour la qualité des photos

(sony cybertshot première génération 2.1mp....)

Dsc00085 ddh7ot - Eugenol

Logo vuaztn - Eugenol
mac

25/11/2010 à 09h55

amha le bridge collé c'est pas l'indication dans un cas comme ça.


200106 10150128247663588 709988587 6466236 5598391 n d7mksb - Eugenol
hallboy

25/11/2010 à 10h46

Céramik écrivait:
-----------------
> hallboy écrivait:
> -----------------
> > Emax canine à canine
> >
> > mais t uveux parler de bridges a ailettes je suppose?
>
> Tu a fais du e-Max de canine à canine ?
> Combien de pontiques ?
> Tu as des photo ?
>
>
> --
> Céramik

agenesie des 2 laterales. de taille grains de riz. donc les implants auraient donné un resultat moche avec de mini dents. en plus l'ancien bridge collé ( a ailettes ) s'etait infiltré une des canines bien bouffé et des compos sur les centrales.

trs joli resultat ( c'est pour mon neuveu)mais j'ai pas de photo.
en fait c'est 2 bridges que j'ai fait : 11 et 21 non liees, dents vivante/ collage au Vario link tarif CMU ;).


aldo74

25/11/2010 à 13h04

je parle de bridge à ailettes tout céram du type des bridge collés métallique .


aldo74

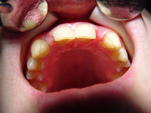
26/11/2010 à 16h07

ceci par exemple

Dsc00090 mq4djg - Eugenol
Dsc00089 nurt6y - Eugenol

aldo74

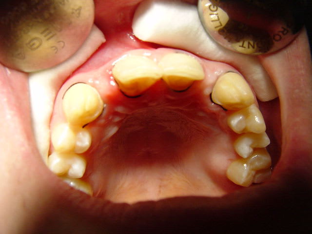
26/11/2010 à 22h47

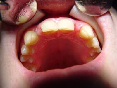
préparations pour bridge collé ...des commentaires?

Dsc00088 s3ie5k - Eugenol
Dsc00092 jmfmzu - Eugenol

Smile beach jgh0a1 - Eugenol
Céramik

27/11/2010 à 00h39

aldo74 écrivait:
----------------
> préparations pour bridge collé ...des commentaires?


oui, les photo sont floues
;-)

Sérieusement, j'aimerais mieux voir et voir aussi l'oclusion.
Si non, ça me semble bien


--
Céramik


S2y2o1v7q53ws4r5wy6ou8czrpom - Eugenol
pxav

27/11/2010 à 10h40


tu fais un léger retour vestibulaire en mésial des canines, tu ne crains pas que ça devienne visible?
sinon occlusion? et ça parait bien.
--
xbk
La théorie, c'est quand on sait tout et que rien ne fonctionne. La pratique, c'est quand tout fonctionne et que personne ne sait pourquoi. Albert EINSTEIN


aldo74

27/11/2010 à 11h20

pas vraiment de retour mais je souhaitais modifier légèrement l'aspect morpho des canines,
l'occlusion était un peu serrée au niveau des centrales ,mais il y a agénésie des 41 et 31 et j'ai remodelé le bridge collée antagoniste provisoire.
désolé pour la qualité photo mais je suis resté sur mon sony cybershot 2.1 mp qui doit avoir 10 ans(je me suis un peu lassé des photos;j'avais commencé par filmer mes interventions en Hi8 avec camescope Sony étanche installé sur 2°bras de fauteuil avec rotule Manfroto et alimentation interne par transfo intégré dans le fauteuil en 1990.....aie

Dsc00087 fgms53 - Eugenol

Smile beach jgh0a1 - Eugenol
Céramik

27/11/2010 à 15h19

La 13 semble avoir une limite trop vestibulaire en effet...faudra voir le collage final...

Prend un APN de meilleur qualité, il y en a plein, même pas besoin d'un reflex...



--
Céramik


Fresh watermelon 640x562 udulqz - Eugenol
gulguch

27/11/2010 à 17h37

Balèze; on est plutôt dans la 3/4, pas évident.
C'est quoi comme matériau svp?
Encore bravo.


aldo74

27/11/2010 à 17h53

céram E Max , déjà collé mais pas eu le temps de prendre les photos ,je revois en Décembre et j'essaierai mon Olympus µ étanche réservé pour les activités halieutiques....


aldo74

29/12/2010 à 22h41

résultat premier bridges collés Emax
à voir dans le temps...
gestion du temps provisoire pas évident
surtout sur un étudiant présent que le WE..

et encore désolé pour l'iconographie (pas ma préoccupation majeure car un peu pris ds le rythme .. )

Dsc00086 ndjykx - Eugenol
Pc220001 yewrw6 - Eugenol
Pc220002 h71mzd - Eugenol
Pc220008 xfltj8 - Eugenol

87 ujotte - Eugenol
Spatouille

29/12/2010 à 23h39

ça a vraiment le mérite d'avoir ete tenté , bravo ! surtout sur un etudiant , patient à vie risquée (sandwich, barre cereales etc ...) donnera une bonne idee du futur .

et puis le résultat est top compte tenu de la situation spaciale des collatérales ...beaux rendu de teinte et aussi du collage des canines ...


S2y2o1v7q53ws4r5wy6ou8czrpom - Eugenol
pxav

03/01/2011 à 15h29

Pourquoi ne pas avoir "travaillé" plus les embrasures, la papille va pas etre contente.
fraise tungstène spéciale c'est encore faisable, sans compromettre la solidité.
belle teinte.

--
xbk
La théorie, c'est quand on sait tout et que rien ne fonctionne. La pratique, c'est quand tout fonctionne et que personne ne sait pourquoi. Albert EINSTEIN


aldo74

03/01/2011 à 22h58

bonsoir,j'ai eu interdiction de retouche par ma prothésiste sous peine de non respect des impératifs de solidité au niveau des jonctions.
donc pas de retouche des embrasures.....dommage effectivement


S2y2o1v7q53ws4r5wy6ou8czrpom - Eugenol
pxav

04/01/2011 à 09h50

je pense que ta prothésiste se trompe, les critères de solidité ne sont pas uniquement en rapport avec l'épaisseur, mais dépendent aussi de la forme,et la forme permet la survie du parodonte, donc je retoucherais pour avoir une belle et bonne embrasure.

Ps: je vérifie en principe les cires avant que la pressée soit faite par le prothèsiste, mais la retouche est possible après.
jusqu'à présent je n'ai pas eu de casse sur pressée, mis à part une pressée transvissée sur implant (essai pour une provisoire, contre indiqué en prothèse d'usage, bien évidement.


--
xbk
La théorie, c'est quand on sait tout et que rien ne fonctionne. La pratique, c'est quand tout fonctionne et que personne ne sait pourquoi. Albert EINSTEIN


3 76 hchzpi - Eugenol
kingkong

05/01/2011 à 11h32

De mémoire, les connections en antérieurs sont à 6mm² de forme ovoïde ou en T et 9 mm² pour les post


aldo74

05/01/2011 à 11h38

bonjour deux petites remarques((bien que d'accord avec les observations précédentes),

la section entre inter et pilier doit être de 12mm2 pour respecter les impératifs fabricant (Ivoclar)et donc pouvoir bénéficier de la garantie"constructeur"... (source en cours de vérification)
pour revenir sur la papille j'ai égarer mes cours de paro mais il me semblait qu'elle n'existait pas en bordure d'édentation..j'ai faux??,


12