Cookie Consent byPrivacyPolicies.comBridge avec taquet d'occlusion sur l'un des pilier - Eugenol

Bridge avec taquet d'occlusion sur l'un des pilier

sow

01/12/2010 à 21h51

Bonjour,

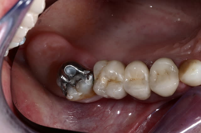
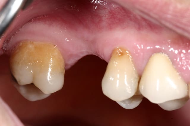
Je soigne en cabinet la mère de mon prothésiste et je suis confronté à une dent saine en 26, édentement en 25 et dent dévitalisé en 24.
J'ai annoncé à la patiente que je ne peux pas faire de bridge entre 24 et 26 car 26 est saine ou alors un bridge avec dent vitale en 26. Le prothésiste me suggère de réaliser un bridge avec un pilier couronne en 24 et un taquet occlusal en 26.

Je ne suis pas très tenté de réaliser un bridge avec taquet occlusal en 26 car à la fac, on nous critiquait bcp ce genre de bridge mais le prothésiste m'a dit qu'il en faisait bcp.

Qu'en pensez vous ?



Dr - Eugenol
JeRis

01/12/2010 à 22h03

... carie assurée sur la 6.


Avatar reduit tuudiu - Eugenol
saitosama

01/12/2010 à 22h08

C'est foireux les piliers taquets occlusaux.

La le top serait d'implanter la seconde prémolaire non?

Au pire il est possible de couronner 26 en la gardant vitale, la maman de ton prothésiste ne doit plus être toute jeune, souvent la pulpe est très rétracter et au final tu laisse suffisamment de dentine résiduelle pour ne pas trop échauffer la pulpe pendant la prépa. Mais c'est bancal quand même.


87 ujotte - Eugenol
Spatouille

01/12/2010 à 22h16

c'est intéressant .... le diagnostique carie est toujours valable si légère prépa onlay dans l'émail et collage rigoureux ?


Dr - Eugenol
JeRis

01/12/2010 à 22h24

... le différentiel de rétention entre une couronne et une prépa inlay + collage est trop important compte tenu des mobilités, même physiologique, des dents => décollement de l'inlay => carie.

La seule solution qui irait dans ce sens, ce serait inlay fraisé + contre inlay. Mais la 6 est indemne ...


colza2

01/12/2010 à 22h26

je ris: qu'est ce qu'inlay fraisé + contre inlay ? merci


aldo74

01/12/2010 à 22h27

bonsoir,je ne vois pas ou est le problème de couronner une dent vitale.au moins la prothèse sera durable.
il existe peut-être une alternative ,pour éviter la carie trop rapide, si tu ne veux pas couronner,c'est la technique de l'inlay contre inlay sur la 26.surtout si elle a déjà une reconstitution ,cependant plus couteux .


Dr - Eugenol
JeRis

01/12/2010 à 22h36

colza2 écrivait:
----------------
> je ris: qu'est ce qu'inlay fraisé + contre inlay ? merci

... inlay métal scellé/collé avec fraisage type attachement glissière femelle recevant son contre mâle solidaire du bridge.
Mais c'est un peu vieillot ça :)


87 ujotte - Eugenol
Spatouille

01/12/2010 à 22h44



merci Jeris,

vieillot peut-être mais sérieux ! quelle chronologie est la plus adaptée ?
une seule empreinte et tout réaliser au labo ou scellement inlay primaire , empreinte puis réalisation du bridge ?


Image001 e0kg9q - Eugenol
clemsdent

01/12/2010 à 23h53

pas de tacquet. Le prothé ne voit ça que sur so modèle de plâtre, et pas 5ans après en bouche !!!
toutes ces constructions que je vois, sont décollé au niveau du tacquet, ou alors carie secondaire.

Même inlay seul est limite, car sans recouvrmeent de la cuspide palatine.

IL faut à mon avis (si pas d'implant , ou couronne vivante) au moins recouvrir la cuspide travaillante (couronne 3/4). Surtout s' il y une couronne à l'autre pilier.

Sinon ça marche mieux en haut, qu'en bas (pas de torsion).
Bonne hygiène obligatoire par contre, car limites dans des zones "difficiles".




Img 3657 cwjvqm - Eugenol
alapex

02/12/2010 à 01h16

Bon , ton prothésiste a dans les .....72 ans , il continue le métier par amour , ou il lui manque des trimestres car avant il bossait au black ; sa mère a 95 ans .
Vas-y fonce .

A moins qu'elle n'est la même génétique que Jeanne Calman...


Img 3657 cwjvqm - Eugenol
alapex

02/12/2010 à 01h21

As tu entendu dire par des confrères quel bien ils pensent des prémolaires supérieures ? Surtout la 4 ?


Smile beach jgh0a1 - Eugenol
Céramik

02/12/2010 à 05h36

c'est quoi cette idée de ne pas pouvoir couronner une dent vitale, si refus de l'implant ?

J'ai des cas, 10 ans de recul, où j'ai fait un onlay sur la molaire et une couronne sur la pré-molaire, c'est moins délabrant qu'un bridge avec taille complête et surtout, pas d'endo

--
Céramik


Dr - Eugenol
JeRis

02/12/2010 à 06h07

Spatouille écrivait:
--------------------
> merci Jeris,
>
> vieillot peut-être mais sérieux ! quelle chronologie est la plus adaptée ?
> une seule empreinte et tout réaliser au labo ou scellement inlay primaire , empreinte puis réalisation du bridge ?


... une seule empreinte.

Le même cas et les réponses: > http://www.eugenol.com/sujets/232545-couronne-en-extension


Morgan ztbb1b - Eugenol
BONNET jc

02/12/2010 à 11h30

Je confirme taquet=carie


letropezien

02/12/2010 à 16h37

faire une attelle collée sur la 6


87 ujotte - Eugenol
Spatouille

02/12/2010 à 20h47

Super, encore merci !

le contre inlay n'est donc pas scellé .....
en postérieur, quid de la remarque d'englober la cuspide travaillante par l'onlay primaire ? cela apporte-il réellement une sécurité ?
j'y crois pas trop ....


aldo74

02/12/2010 à 21h36

le contre inlay n'est pas scellé mais il peut être collé....si l'inlay est en composite de labo ou en céram......


aldo74

02/12/2010 à 21h40

si tu veux englober la cuspide travaillante il faut au moins en prendre sur 1.5mn d'épaisseur ,autant faire une couronne pilier sur dent vivante tu prendra finalement moins de risque car plus facile techniquement.....


chicote64

06/12/2010 à 00h02

Surtout ne pas ménager le spray pendant la taille de la dent vivante:3 secondes de taille sans spray,la pulpe est cramée et c'est irréversible.


Smile beach jgh0a1 - Eugenol
Céramik

06/12/2010 à 01h10

chicote64 écrivait:
-------------------
> Surtout ne pas ménager le spray pendant la taille de la dent vivante:3 secondes
> de taille sans spray,la pulpe est cramée et c'est irréversible.

Encore une légende urbaine pour dentiste...


--
Céramik


chicote64

13/12/2010 à 20h09

"légende urbaine" Ceramik,quand du haut de ta grandeur,tu daignes répondre sur ce forum,aies au moins les couilles de t'expliquer:Si tu tailles les dents vivantes sans sptay fais nous partager ton expérience sinon c'est que tu as juste envie d'etre désagreable(et c'est reussi)


Smile beach jgh0a1 - Eugenol
Céramik

13/12/2010 à 20h50

chicote64 écrivait:
-------------------
> "légende urbaine" Ceramik,quand du haut de ta grandeur,tu daignes répondre sur
> ce forum,aies au moins les couilles de t'expliquer:Si tu tailles les dents
> vivantes sans sptay fais nous partager ton expérience sinon c'est que tu as
> juste envie d'etre désagreable(et c'est reussi)


Manque de 2e sens chez toi...

Toutes tailles doit être faites avec le but de protéger la pulpe, mais toucher une dent sans eau ne la fera pas mourir automatiquement !

Tu sembles (je me trompes peut-être) avoir peur de faire des couronnes sur dents vivantes.

Quand tu lances une mise en garde, un peu grosse selon moi, que 3 sec de taille sans eau crame les dents de façon irreversible, je trouve tu y vas pas mal fort.

Cela dit, il y a un vent de susceptibilité sur ce forum...

Vivement les vacances de fin d'année

--
Céramik


003 penrd2 - Eugenol
Cingulum

13/12/2010 à 21h07

le choix de la raison, onlay de Mc Boyle.
Pas de décollement, et préparation à minima de la 6...


--
Dr Cingulum
-----Ancien interné----
----Attaché à l'apex----
www.clinic-all.fr formation par passion

Img 6612 m4jyes - Eugenol
Img 6634 neu7mw - Eugenol
Img 6461 ybvxka - Eugenol
Img 6615 y2ozzn - Eugenol
Img 6621 kxqhrf - Eugenol
Img 6626 kusaet - Eugenol

Grueavatar nptrc9 - Eugenol
Le Choixpeau magique

13/12/2010 à 21h19

chicote64 écrivait:
-------------------
> Surtout ne pas ménager le spray pendant la taille de la dent vivante:3 secondes
> de taille sans spray,la pulpe est cramée et c'est irréversible.

N'oublie pas non plus de mettre une fraise sur le contre angle, c'est utile pour tailler les dents.


12