Cookie Consent byPrivacyPolicies.complein le cul des protaper! - Eugenol

plein le cul des protaper!

chirdent26

18/12/2010 à 08h55

Je suis pluton chicot Ré


Photo pluton1b h9n4ea - Eugenol
pluton

18/12/2010 à 10h16

chirdent26 écrivait:
--------------------
> Je suis pluton chicot Ré
ah, voilà pourquoi...çà manque de caféine...;-))


chirdent26

18/12/2010 à 16h38

plus sérieusement je comprends qu'on puisse en avoir assez des protaper.
Sur le post concernant la fracture de 2 implants easy on parle de déclaration de matério vigilance et pour peut-être des centaines de niti fracturé rien sinon gueuler sur eugenol parce qu'il n'y a pas que protaper qui casse.Machtou a dit qu'on travaillait trop les canaux et qu'il faudrait revenir à une plus grande humilité autant sur les fractures de niti que sur le risque sur les racines.
Il me sempble que traîne sur eugenol des grands noms de l'endo alors peut on avoir un avis clair.
Allez je monte à Marmotte 2 et je me fais le belvédère s'il n'est pas trop gelé...


200106 10150128247663588 709988587 6466236 5598391 n d7mksb - Eugenol
hallboy

18/12/2010 à 17h29

la limite est donnée par l'espace qui doit etre libéré pour assurer une circulation correct du desinfectant pendant l'irrigation et le diametre appical d'origine du canal. Donc de toute façon pas moins de 20 à 6% pour une bio... et plutot 25 a 7% ou 30 à 6 pour les retraitements.


sassouki

18/12/2010 à 19h20

salut,je ne comprends pas la difference entre le sx et le premier instrument du revo-s pasqke j'utilise les deux de façon aleatoire.


RépondreCiter
Marque a3 orange fyvhyq - Eugenol
Marc Apap

18/12/2010 à 19h43

Heureusement que Machtou a la chance de posséder une abondante crinière : il risque de s'arracher quelque cheveux en lisant ça.
Trêve de plaisanterie : ils n'ont pas la même forme, mais c'est vrai que les deux servent à élargir la portion plutôt cervicale du canal.


Ylfwcw979cz1jnx9gfqeaxndiuzk - Eugenol
Algi

19/12/2010 à 21h02

Moi aussi marre des protaper et marre de perdre du temps à passer des limes manuellement car la rotation continue c'est censément pour en gagner non?

Bref je suis passé à autre chose, endo express plus le localisateur dédié, et là on peut forcer comme un malade et passer avec du 15 ou du 20 si ça bloque (sinon on part de 8 et on avance tranquilou).

--
"On a toujours le choix! Mais entre quoi et quoi?
FSDL! What else?"


Marque a3 orange fyvhyq - Eugenol
Marc Apap

19/12/2010 à 21h32

Alors, est-ce que tu as reçu ton kit Endo express ? Est-ce que tu l'as essayé (je veux dire sur des canaux pas trop faciles) ?


Pierre-E

20/12/2010 à 15h42

Perso ProTaper jetés après le 7e passage (voire moins si je sens que je les ai forcés)
Je fais des cavités d'accès XL, sans arrière pensée. Si ma 15 est courbée avant d'entrer dans le canal et ne va pas à la LT, je ne rentre pas de Taper.
et au bas mot 10mL d'hypo pour une molaire par exemple.

Aucune casse depuis un an.

Bilan : j'adore l'endo, ça me donne envie d'un microscope !


Ah si seulement on pouvait prendre un peu de dépassement (!) sur les endos.... Je demande pas beaucoup, juste 50€ siouplé, pour payer les tuteurs de thermafil et le leasing du microscope....



EDIT : et là je teste un peu le Revo-S : les machins j'ai l'impression que c'est des TANKS !!! ils donnent l'impression d'être super robustes. Mais je n'aime pas, je les trouve pas assez coniques, ni en apical ni en coronaire.


Grueavatar nptrc9 - Eugenol
Le Choixpeau magique

20/12/2010 à 15h55

Pierre-E écrivait:
------------------
> EDIT : et là je teste un peu le Revo-S : les machins j'ai l'impression que
> c'est des TANKS !!! ils donnent l'impression d'être super robustes.

En fait non, ils sont très efficaces, même parfois brutaux (quelques mauvais souvenirs d'aspiration très puissante), mais si je n'en ai jamais cassé ils se détorsadent très facilement (ça m'est arrivé avec un instrument neuf dés le premier canal). Ce sont des instruments qui ont tendance à mettre un peu trop en confiance.


Mais je
> n'aime pas, je les trouve pas assez coniques, ni en apical ni en coronaire.

Je suis assez d'accord, ils ont tendance à surpréparer et on se retrouve avec un gros cylindre au lieu d'avoir un cône.


olivier

20/12/2010 à 16h41

Pareil....les pro tapers fini.....

Le CMA essayé il y a un et demi : pas mal mais tendance à se visser dans le canal sur certains instruments ...pas de casse mais gros stress pour le patient et pour toi.

Revo -S depuis un an ...peu de casse et courbure du canal plus sympa que le CMA mais moins que le pro taper...

Comme Ben ne frequente plus le forum...je me permet de poster en endo :))))


Cal pencil ry8wwk - Eugenol
valorel

20/12/2010 à 16h51

Algi écrivait:
--------------
> Moi aussi marre des protaper et marre de perdre du temps à passer des limes
> manuellement car la rotation continue c'est censément pour en gagner non?

Nope, la rotation continue n'est pas faite pour gagner du temps, mais pour augmenter la reproductibilité et améliorer la mise en forme canalaire.

Pour ma part, je pense que la plupart des instruments se valent, et qu'il faut d'abord comprendre le mode d'action des instruments qu'on a choisi, avant de se jeter dans des endos de fou.
Oui, il faudrait que les instruments soient plus tolérants à l'erreur, mais j'ai dans l'idée que les fabricants travaillent principalement sur cet axe de recherche. Faire tourner un instrument métallique extrèmement fin dans un canal à l'anatomie naturelle (comprendre par là, non rectiligne, non régulière, non prévisible) sans qu'il ne casse, pour pas cher, et adaptés à toutes les situations, les paramètres m'ont l'air monstrueusement complexes.

Je suis super content de mes protapers, mais les meilleurs instruments sont ceux avec lesquels tu es à l'aise. A part tester sur des dents extraites les instrus que les commerciaux te donneront gracieusement (à part le CMA et l'alpha-kite, tout est négociable) je ne vois pas comment choisir son système...

--
Don't feed the troll!


Pierre-E

20/12/2010 à 17h15

Le Choixpeau magique écrivait:
------------------------------
> Ce sont des instruments qui ont tendance à mettre un peu trop en
> confiance.



1000% d'accord.


Pierre-E

20/12/2010 à 17h15

Enparlant de vissage,j'ai un souvenir en rempa cet été.

Hero bleu, je savais qu'ils sont facilement aspiré. Je mets le majeur en butée pour coincer le contre-angle, et là pas de bol, le machin se visse et...... se démanche !!!!!

En gros la partie en nickel-titane qui est "sertie" dans le mandrin (qu'on enlenche dans le contre-angle) se sont DESOLIDARISEES !!!!! un truc de taré.....

Et là, je me dis "oh grand put*** de me***".
"alors gardez bien ouvert Mr, je vais juste retirer ça
ni une ni deux je prends une pince, et très délicatement je l'ai dévissé. J'ai eu du mal car évidemment ça glissait, mais je l'ai eu !

A la fin de la séance, l'assistante de me dire : "félicitations, je sais pas comment vous avez pu garder votre calme"...

Et ouais ! mais bon, à moindre mal étant un maniaque de NaOCl, je me dis tjrs que si je pète un instrument, au moins mon canal est propre.....


olivier

20/12/2010 à 17h45

comme tu mettais la digue.....pas de probleme


Capture d  cran 2015 03 12 12.28 - Eugenol
chicot29

21/12/2010 à 00h48

Le Choixpeau magique écrivait:
------------------------------
> chicot29 écrivait:
> ------------------
> > quand un protaper casse c'est toujours le f2 et 1 mm d'instrument bloqué à
> > l'apex
>
> Pour ça, la solution c'est de faire toutes les finitions en manuel.

ok, mais pour un instrument pété rarement, ca me gonfle de le faire en manuel, d'ou l'essai avec le 25-06 endo express en finition.


mark's

22/12/2010 à 13h48

Je n'ai plus cassé un protaper depuis ... pfffou!
en fait, depuis que je ne les utilise plus! ;)


RépondreCiter
marcus

22/12/2010 à 23h28

mark's écrivait:
----------------
> Je n'ai plus cassé un protaper depuis ... pfffou!
> en fait, depuis que je ne les utilise plus! ;)


Copieur ! je l'ai dit plus haut ! bienvenue au club ! n'en déplaise à certains qui , j'en ai la vague impression , voudraient qu'on continue à acheter ces produits pour qu'on leur envoie nos patients en passant pour des nuls et qu'ils rentabilisent leur microscope .

N'empèche qu'à ce propos , Willy PERTOT lors de l'A.A.P. de Bordeaux (02/10/10) nous a montré devant 350 prats , une obturation qu'il a eu l'humour d'appeler une " obturation Protaper" que même lui et son microscope n'avaient pas pu aller chercher.

(Je sais que vous n'êtes pas convaincu par le système que j'ai adopté parce qu'il créerait des deformations de canal ,mais depuis deux ans , obscur petit praticien de quartier , je ne casse plus )

Respect Monsieur, vous avez toute mon admiration ,


Willy Pertot

23/12/2010 à 01h34

Dans ma pratique quotidienne je vois beaucoup plus de reprise de traitement a faire parce que le traitement initial a été loupé par déplacement du canal, butée, déchirure apicale du fait de l'acier que de reprises due à des problèmes d'instruments fracturé.
Et dans la minorité des cas lorsqu'il y a des instruments fracturés, il y a des lentulos (probablement ceux qu'on voit le plus), des limes aciers, des tires nerfs et du nickel titane, ProTaper, Hero, Revo, Mtwo etc....
Les problèmes dus à l'instrumentation acier sont de loin beaucoup plus fréquents que les quelques fractures que l'ont peut avoir.

Concernant un autre post (celui sur l'EndoAce qui s'est transformé sur un sujet de réciprocité)
Marc tu a le doit de ne pas aimer un moteur avec pédale et cable, etc...
En revanche il n'a été dit nulle part qu'il y a absence de cathétérisme. Les instruments de réciprocité sont des instruments de mise en forme. L'exploration initiale se fait habituellement, avec la technique dont chacun a l'habitude.
Que Ghassan dise que lui n'utilise pas de cathétérisme, c'est son choix. Personne n'est obligé de suivre.
Et personellement, je ne le ferai pas.
Parce que quand un canal fait moins de 5/100ème je ne vois pas comment un instrument de diamètre 25 et 8% de conicité peut passer sans fracturer ou perforer.


Marque a3 orange fyvhyq - Eugenol
Marc Apap

23/12/2010 à 08h11

Willy Pertot écrivait:
----------------------

> Marc tu a le doit de ne pas aimer un moteur avec pédale et cable, etc...
> En revanche il n'a été dit nulle part qu'il y a absence de cathétérisme. Les
> instruments de réciprocité sont des instruments de mise en forme. L'exploration
> initiale se fait habituellement, avec la technique dont chacun a l'habitude.
> Que Ghassan dise que lui n'utilise pas de cathétérisme, c'est son choix.
> Personne n'est obligé de suivre.
> Et personellement, je ne le ferai pas.
> Parce que quand un canal fait moins de 5/100ème je ne vois pas comment un
> instrument de diamètre 25 et 8% de conicité peut passer sans fracturer ou
> perforer.

Willy, il me semble que tu n'as pas tout lu :

Voici ce que j'ai écrit le 20 décembre
"L'instrument qui pénètre et alèse sans cathétérisme préalable ? Dans certains cas, OK. Mais dans beaucoup d'autres, soit il n'ira pas au bout, soit il cassera avant car il y a des canaux dont l'anatomie est si tordue qu'on ne peut pas envisager autre chose "
http://www.eugenol.com/sujets/391318-endo-ace


croc1765

23/12/2010 à 12h33

j'utilise le protaper dans le cas de canaux retilignes mais pour les courbes voire maintenant tous l'endo express il est top pas d'effet de vissage (que j'avais avec le 25 de protaper)et aucune sensation de forçage


Grumpy cat ifik8s - Eugenol
radich_a_tord

23/12/2010 à 14h25

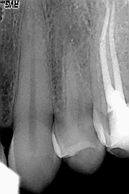
Bon je sais pas comment vous faites. J'ai fait ça ce matin, au protaper, sans mettre très longtemps, sur le contre angle endo, sans rien de spécial dans ma séquence. Et je casse pas. Et j'ai pas de déplacement de canal. Bref je suis entièrement satisfait des protapers.

Edit : 2eme radio sans l'apex, la dent est très longue j'ai eu du mal à viser (26mm). Obturation mixte : fouloir + thermomécanique au mac spadden.

R8 zjxd9j - Eugenol
R3 ywofin - Eugenol

200106 10150128247663588 709988587 6466236 5598391 n d7mksb - Eugenol
hallboy

23/12/2010 à 14h31

superbe.


Kon nx3ojp - Eugenol
Kon

23/12/2010 à 16h31

Très belles endos.
Concernant la première, est ce que ton dernier instrument a été jusqu'à l'apex, ou bien s'est il arrêté juste avant la courbure finale (très serrée).Et ce que l'on observe à la radio serai simplement la fusée de l'obturation qui suivrai le cathétérisme ?
C'est en aucun qu'un une critique ou un jugement simplement une question que je me pose vraiment.


Grumpy cat ifik8s - Eugenol
radich_a_tord

23/12/2010 à 16h43

Je me le demande aussi, je suis presque sur d'avoir cathétérisé à 0,5mm de l'apex (localisateur + digue) et par la suite j'ai amené tous mes instruments à cette LT (simplement S1, S2, F1, F2, pas de SX/endoflare, pas d'US pas de gates). Bon j'ai jeté les instruments après usage :).

Par contre pas de radio entre préop et obturation, la patiente avait juste RDV pour une "douleur au froid". On comprend pourquoi.

Maintenant le gutta condensor 35/10ème sur 20 mm ça pousse fort en effet...peut être que les instruments n'ont pas vraiment pénétré le crochet. C'est peut être aussi la limite de la zone "tassée" qu'on voit, les fouloirs et condensors sont droits contrairement aux protapers.

J'ai eu la surprise sur la radio finale, je n'avais pas vu ce crochet sur la préop.

et par contre c'est la même 25, qui a bien 2 canaux (radios + ou - angulées)

R1 zd1i7d - Eugenol