Cookie Consent byPrivacyPolicies.comDigora / Vistascan/ RVG - Eugenol

Digora / Vistascan/ RVG

tiflo

16/12/2010 à 13h48

Bonjour,
jeune dentiste, je me lance et reprends un cabinet ou je dois changer le capteur radio,
Mon installateur me fait la pub pour les plaques au phosphore, je n'ai jamais eu l'occasion d'utiliser ce système.
Est ce vraiment mieux en terme de qualité prix?
Quel système conseillez vous ?

Merci


Ico v for vendetta08 jzhpep - Eugenol
ratinox

16/12/2010 à 14h32

Je suis en pleine création et après avoir utilisé les deux et lu plein de posts sur le forum, j'ai opté pour un Digora-like, en l'occurrence le modèle Satélec car j'avais une affaire de l'Adf mais bon mis-à-part les capteurs différents c'est kif-kif.
Sinon en rvg, chez Kodak la 6100 c'est le top en qualité.
La rvg c'est rapide mais tu peux le jeter si t'as une merde hors garantie.
Les phosphores tu les changes.


mat2t

16/12/2010 à 14h44

Question bête , c'est le même tube pour rVg et Digora ? c'est possible de faire cohabiter les deux systèmes ?

J'aime bien la rvg mais préférence pour le digora pour les bite-wings, les radio pédo et certaines radios avec clamp en place.


Img 3657 cwjvqm - Eugenol
alapex

16/12/2010 à 14h48

mat2t écrivait:
---------------
> Question bête , c'est le même tube pour rVg et Digora ?

Oui.


Grueavatar nptrc9 - Eugenol
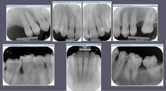
Le Choixpeau magique

16/12/2010 à 19h34

Pas les mêmes réglages par contre, bien que la lattitude d'exposition des plaques au phosphore soit très importante.
Ci-joint un petit exemple avec le vistascan, je trouve la qualité top, par contre ça irradie plus que la RVG.

Exemplevistascan fuvkh7 - Eugenol

Ico v for vendetta08 jzhpep - Eugenol
ratinox

16/12/2010 à 20h25

Top la qualité !


tiflo

17/12/2010 à 10h51

Merci pour vos réponses, j'hésite encore un peu question budget ...
dur dur de s'installer ! lol


fala

21/01/2011 à 14h03

bonjour je viens un peu tardivement,mais moi j'ai uncapteur RVG KRISTAL X (owandy) je travaille avec la RVG depuis 5 ans/déja deux capteurs /une visualisation incomplète des dents /je suis peut etre manche mais je refais souvent mes clichés pour tout voir comme il faut/le Krista X m'a couté 4800 euros en 2009 mais j'en ai ras le bol d'une technologie pas fiable ,onéreuse,et somme toute tout juste sympa parcequ'on obtient un résultat immédiat csq je vais investir dans le systeme ERLM j'ai des copains qui ont le digora depuis ses débuts ,ils n'ont jamais eu aucun problème ! et oui des fois ç'est possible!(1994) ,


Grueavatar nptrc9 - Eugenol
Le Choixpeau magique

21/01/2011 à 16h51

L'autre soucis des capteurs filaires, c'est la taille.
En bouche les taille 2 (taille standard en argentique) sont inutilisables donc tout le monde est en taille 1 ou 0. Le taux de clichés ratés s'en ressent.
Avec les ERLM, on peut se permettre le luxe d'avoir du 0, 1 ou 2 en fonction des utilisations (0 chez les marmots, 1 chez les ados et en antérieur chez les adultes, 2 pour le reste, et même si on en a l'utilité de l'occlusal, ou du bite wing large chez Digora).


Img 3657 cwjvqm - Eugenol
alapex

21/01/2011 à 19h38

J'avais la rvg , depuis peu Vistacan .
Effectivement même tube , réglage différent , il faut se faire à la manip car on s'attend tjs à voir apparaitre le cliché sur l'écran avec le déclenchement , mais ce n'est qu'une habitude à prendre . Plus de gêne par l'épaisseur du capteur , la fragilité de la jonction cordon capteur , et la peur de l'écrasement intempestif par une brute .