Cookie Consent byPrivacyPolicies.comVital Os : produit miracle ? - Eugenol
3f3boxni50k58rq7e9ce9ddqrxgk - Eugenol
dentiste57

17/12/2010 à 13h21

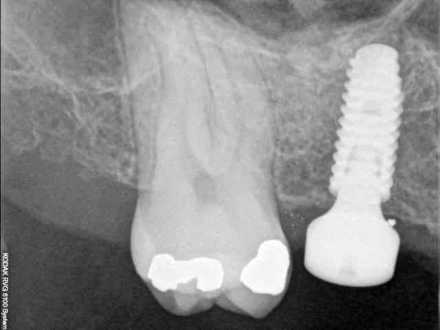
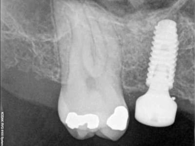
je sais pas si c'est un produit miracle, mais pour les sinus lift, c'est fantastique.
outre le fait de stabiliser un implant dans un sinus type SA4, pas de risque de voir partir le produit comme avec les granules de bioos et autres..

l'autre avantage est de ne pas avoir à mettre de membrane de recouvrement.

je suis donc hyper satisfait du résultat.

jugez plutôt...

Dsc 7175 hwjius - Eugenol
Dsc 7178 vnu9x8 - Eugenol
Dsc 7185 fbsobj - Eugenol
Dsc 7188 i7vsjr - Eugenol
Dsc 7191 ukqizf - Eugenol
Dsc 7195 tatcs2 - Eugenol
Dsc 7201 nzyz6j - Eugenol
Dsc 7179 cgqfff - Eugenol
Dsc 7181 t1wnnq - Eugenol
Dsc 7202 eys5w1 - Eugenol
Dsc 7212 js6ax2 - Eugenol
R2 yli80v - Eugenol
R4 vrmk6p - Eugenol
R6 p1sbm9 - Eugenol
R8 ewmkrb - Eugenol
R9 kwggxe - Eugenol

ad-hugo

17/12/2010 à 13h29

bravo d57
belle iconographie!
à combien, la dernière radio?


3f3boxni50k58rq7e9ce9ddqrxgk - Eugenol
dentiste57

17/12/2010 à 13h36

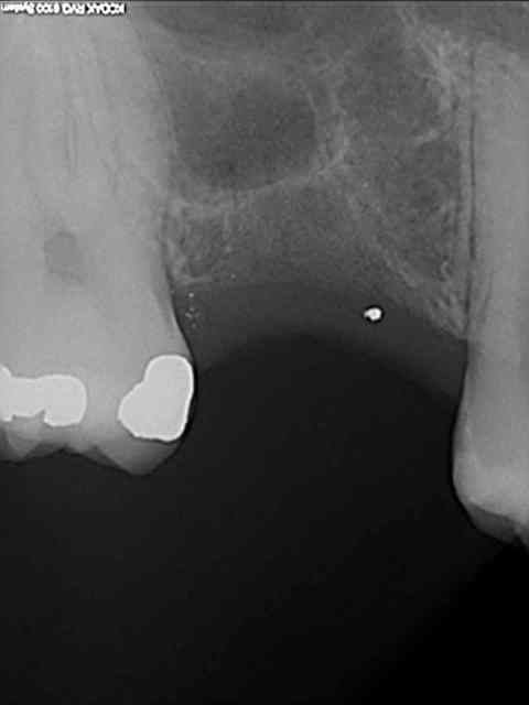
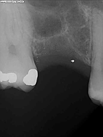
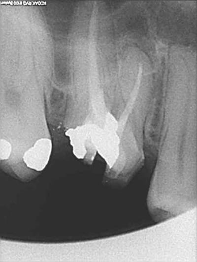
quasiment 6 mois entre les deux interventions (sinus lift et mise à jour)

c'est surtout la qualité des trabéculations osseuses qui m'interpelle.

d'habitude, on voit toujours un peu de particules, ici, c'est vraiment top.


Img 8465 fqhxid - Eugenol
noahaxeltiger-olivier

17/12/2010 à 13h45

Magnifique !!
Je suis en tout point d'accord avec toi : ce qui est vraiment intéressant, ce sont les trabéculations osseuses obtenues après cicatrisation.

Petite question lors de l'application du VitalOs : As tu d'abord appliqué du VitaOs dans la partie palatine du sinus avant de placer ton implant où juste injecter le Vitalos une fois l'implant mis en place ?


S2y2o1v7q53ws4r5wy6ou8czrpom - Eugenol
pxav

17/12/2010 à 13h48

FAYOT!!!
l'élève dépasse le maitre (facile mais quand même, enfoiré!)
l'application type du VitalOs, avec le bone splitting.
Chapeau gamin c'est très propre et très bien iconographié.
Par contre pas produit miracle, mais si bien utilisé, c'est hyper simple pour un sinus.
une toute petite remarque, le point blanc sur la radio avec pilier de cicatrisation.


--
xbk


3f3boxni50k58rq7e9ce9ddqrxgk - Eugenol
dentiste57

17/12/2010 à 13h58

noahaxeltiger-olivier écrivait:
-------------------------------
> Magnifique !!
> Je suis en tout point d'accord avec toi : ce qui est vraiment intéressant, ce
> sont les trabéculations osseuses obtenues après cicatrisation.
>
> Petite question lors de l'application du VitalOs : As tu d'abord appliqué du
> VitaOs dans la partie palatine du sinus avant de placer ton implant où juste
> injecter le Vitalos une fois l'implant mis en place ?

bonne question.
le protocole tel qu'il est d'écrit voudrait que l'on applique d'abord une couche de vital os en palatin - laisser durcir - mettre l'implant puis mettre une dernière couche.

ici, j'ai mis l'implant- maintenu la membrane de Schneider en poussant avec l'embout sur celle ci et terminer l'injection du produit. c'est l'un des avantages de ce produit, il est livré avec deux embouts donc les deux solutions sont possibles pour une même seringue.


S2y2o1v7q53ws4r5wy6ou8czrpom - Eugenol
pxav

17/12/2010 à 14h01

noahaxeltiger-olivier écrivait:
-------------------------------
> Magnifique !!
> Je suis en tout point d'accord avec toi : ce qui est vraiment intéressant, ce
> sont les trabéculations osseuses obtenues après cicatrisation.
>
+1
c'est ce que j'apprécie depuis le début.
Quelques fois il reste des toutes petites "boules" qui se sont isolées à la pose (ne pas comprimer) et qui sont doucement expulsées (visible à travers la gencive)
Par contre si le produit est bien posé le résultat de Thomas est le standard.


--
xbk
La théorie, c'est quand on sait tout et que rien ne fonctionne. La pratique, c'est quand tout fonctionne et que personne ne sait pourquoi. Albert EINSTEIN


3f3boxni50k58rq7e9ce9ddqrxgk - Eugenol
dentiste57

17/12/2010 à 14h01

pxav écrivait:
--------------

> une toute petite remarque, le point blanc sur la radio avec pilier de
> cicatrisation.
>
tu as raison, mais on le voit dés les premières radios post extraction.
j'en déduis donc que j'ai bossé comme un cochon pendant cet acte et qu'une inclusion (amalgame ?) est restée dans la gencive.


Smile beach jgh0a1 - Eugenol
Céramik

17/12/2010 à 14h06

dentiste57 écrivait:
--------------------
> je sais pas si c'est un produit miracle, mais pour les sinus lift, c'est
> fantastique.
> outre le fait de stabiliser un implant dans un sinus type SA4, pas de risque de
> voir partir le produit comme avec les granules de bioos et autres..
>
> l'autre avantage est de ne pas avoir à mettre de membrane de recouvrement.
>
> je suis donc hyper satisfait du résultat.
>
> jugez plutôt...

Sympa, tu m'en files une caisse? car pas disponible chez moi...


--
Céramik


003 penrd2 - Eugenol
Cingulum

17/12/2010 à 14h42

qui le commercialise en France ?


--
Dr Cingulum
-----Ancien interné----
----Attaché à l'apex----
www.clinic-all.fr formation par passion


Blason dql7mj - Eugenol
growler

17/12/2010 à 22h34

très convaincant Thomas! et les photos toujours bien nettes.

je crois que c'est la première fois que je vois une cliché radio à quelques mois post-op avec ce matériau et le résultat semble excellent.

Crois-tu qu'on aurait pu tenter du "un temps "dans ce cas précis? la stabilité primaire était-elle suffisante ou as-tu voulu jouer la sécurité en choisissant le 2 temps?


au fait, quel est le temps de durcissement de ce matériau?


Avatar jt8tlq - Eugenol
bogenom

17/12/2010 à 23h49

superbe D57
ça donne envie, même question que growler ?


laflutaille

18/12/2010 à 16h48

Quelqu'un sait pour quelle raison il est contre indiqué dans le comblemnts d'alveole, ou les comblements post kystique??


3f3boxni50k58rq7e9ce9ddqrxgk - Eugenol
dentiste57

18/12/2010 à 17h04

parce que ça ne marche tout simplement pas.
donc...

Dsc 9884 kaalti - Eugenol

laflutaille

18/12/2010 à 17h12

Désolé d'insister, mais j'aimerai comprendre pourquoi ca fonctionnerai pour les extrac implant immediate et pas les comblements alveolaire . Pareil pour sinus et comblement postkystiques . Pour ces deux exemples les sites sont exposés et non exposés donc... on a m'a tjs dit quand on peut faire pour du complexe forcement ca marche pour les cas simples.. je ne porte pas de jugement ca me surprend c tout


S2y2o1v7q53ws4r5wy6ou8czrpom - Eugenol
pxav

18/12/2010 à 18h11

laflutaille écrivait:
---------------------
> Désolé d'insister, mais j'aimerai comprendre pourquoi ca fonctionnerai pour les
> extrac implant immediate et pas les comblements alveolaire . Pareil pour sinus
> et comblement postkystiques . Pour ces deux exemples les sites sont exposés et
> non exposés donc... on a m'a tjs dit quand on peut faire pour du complexe
> forcement ca marche pour les cas simples.. je ne porte pas de jugement ca me surprend c tout


Tu résume de façon très simple le pourquoi VitalOs est dénigré par certains.
Avant de chercher à l'utiliser il ne faut pas croire que c'est LE produit à tout faire!
comblement alvéole post extraction: INTERDIT
comblement postkystiques: INTERDIT
tunnelisation:INTERDIT
comblement en Onlay: INTERDIT
J'ai une explication,(qui n'est qu'une explication) dans toutes ces situations, le collage primaire est mauvais et il y a semble t il une accumulation de sang entre le VitalOs et l'os qui entraine une expulsion.
En effet il est très important de faire un séchage compresse soigneux et qu'il y ai une stabilité primaire du produit (pas de PA dessus.
Par contre extraction et pose de l'implant immédiate, + vitalos ça marche (même si exposition vestibulaire) car la stabilité primaire de l'implant permet une fixation du vitalOs.
le produit à tout faire n'existe pas encore, donc cotentos nous d'utiliser les produits dans leurs bons secteurs d'activité.
--
xbk
La théorie, c'est quand on sait tout et que rien ne fonctionne. La pratique, c'est quand tout fonctionne et que personne ne sait pourquoi. Albert EINSTEIN


Avatar ow44t3 - Eugenol
Chicot

18/12/2010 à 18h11

joli joli D57, bravo ! Et tes photos deviennent de plus en plus belle ;O)

même question: pourquoi avoir fait du 2 temps ?

peut-on vraiment se passer de membrane ?

Le biomat se transforme en os ok, mais pourquoi agit-il également comme barrière gingivale ?

+1 pour l'inclusion d'Ag


--
;O)


laflutaille

18/12/2010 à 19h33

ok pxav, pour toi qui l'utilise regulierement , c plutot par sa facilité de mise en oeuvre, de meilleurs resultats cliniques , les deux peut etre? ou te le procures tu? le conseilles tu mm pour des débutants? c vrai qu'il me parait trés pratique dans le cadre de ces indications: plus de membrane, exposition possible. Si j' ai bien compris sa stabilité primaire, son adherence est determinante selon ton experience. Par contre j'ai lu par ci par la qu'il y avait des réactions de type brulure de tps en tps ? est ce vrai , merci d'avance


S2y2o1v7q53ws4r5wy6ou8czrpom - Eugenol
pxav

18/12/2010 à 19h56

laflutaille écrivait:
---------------------
> ok pxav, pour toi qui l'utilise regulierement , c plutot par sa facilité de mise
> en oeuvre, de meilleurs resultats cliniques , les deux peut etre? ou te le
> procures tu? le conseilles tu mm pour des débutants? c vrai qu'il me parait trés
> pratique dans le cadre de ces indications: plus de membrane, exposition
> possible. Par contre j'ai lu par ci par la qu'il y avait des réactions de type
> brulure de tps en tps ? est ce vrai , merci d'avance

Pour les brulures, le produit présente une forte acidité lors de la prise, donc il est bon d'éviter le contact avec les muqueuses avant le durcissement (en gros 1 à 3 mn) .
Je crois que ce sont les "pros" qui ont eu des soucis avec, pas les débutants.
Le débutant, il lit le mode d'emploi, il "prépare" la pose, alors que le pro, il sait donc il utilise comme un produit lambda et plouf pas bon. (le produit pas bon car le pro, il est pro)
cf la photo de l'échec présenté par D57, je lui avais dis: pas pour ça! mais le Thomas (saint Thomas),ne crois que ce qu'il voit.

--
xbk
La théorie, c'est quand on sait tout et que rien ne fonctionne. La pratique, c'est quand tout fonctionne et que personne ne sait pourquoi. Albert EINSTEIN


laflutaille

18/12/2010 à 20h05

il est commercialisé en France? je ne le trouve pas . merci


ladendur

18/12/2010 à 20h10

pxav écrivait:
--------------
> Je crois que ce sont les "pros" qui ont eu des soucis avec, pas les débutants.
> Le débutant, il lit le mode d'emploi, il "prépare" la pose, alors que le pro, il
> sait donc il utilise comme un produit lambda et plouf pas bon. (le produit pas
> bon car le pro, il est pro)

C'est le probléme avec les gens qui savent, on ne peut rien leurs aprendre.


Smile beach jgh0a1 - Eugenol
Céramik

18/12/2010 à 20h27

laflutaille écrivait:
---------------------
> il est commercialisé en France? je ne le trouve pas . merci

non, pxav l'importe de la Roumanie, avec ses couronnes !
;-))))

--
Céramik


17082007 synnio - Eugenol
kalif

18/12/2010 à 22h18

ipp pharma


Avatar ow44t3 - Eugenol
Chicot

21/12/2010 à 14h55

Céramik écrivait:
-----------------
> laflutaille écrivait:
> ---------------------
> > il est commercialisé en France? je ne le trouve pas . merci
>
> non, pxav l'importe de la Roumanie, avec ses couronnes !
> ;-))))
>
> --
> Céramik

LOL ! !!!!!
--
;O)


laflutaille

21/12/2010 à 15h55

ouep , private joke lol... mais ca ne repond tjs pas ... mdr


12