Cookie Consent byPrivacyPolicies.comJe suis pas dans la merde!!!!! - Eugenol

Je suis pas dans la merde!!!!!

Christophe13

18/12/2010 à 11h29

Pour l'implant de fred c'est curieux sur le site de easyimplant " http://www.easyimplant.com " je ne trouve pas la réference de cet implant,on dirait plutot un eurotechnika.
Quoiqu'il en soit un diamètre inférieur à 4 pour une connexion interne sauf sur une latérale ou une incisive du bas c'est risqué , c'est peut être pas la peine d'alerter l'AFSSAPS...


RépondreCiter
003 penrd2 - Eugenol
Cingulum

18/12/2010 à 11h44

la mode est au implant de petit diamètre...
Le recul est faible
On montre 2 cas sur Easy, mais il y a de la casse avec tout les systèmes...



--
Dr Cingulum
-----Ancien interné----
----Attaché à l'apex----
www.clinic-all.fr formation par passion


Pépélaratiche

18/12/2010 à 11h45

Et puis de ttes les façons le chirdent qui pose reste responsable de ce qu il pose en 1ère ligne, bien avant même la firme

Pour niquer une firme ça prend des annnées
Demandez donc à Marc BERT ou à Philippe LECLERC combien d années il leur a fallu pour faire la nique aux implants sterioss recouverts d hydroxyapatite???

Et pourant cette firme les a bien mis ds le jus si on peut dire...

Pp


Christophe13

18/12/2010 à 11h45

autre info , si c'est un euroteknika natural " http://www.euroteknika.com " , c'est un grade 4 et pas un TiAl6V . C'est pas pareil.
Est ce que Fred tu pourrais nous donner quelques infos en + , ton sujet nous intéresse et nous inquiète !


Blason dql7mj - Eugenol
growler

18/12/2010 à 11h48

c'est bien un easy celui de fred. (toutes les references ne figurent pas sur le site)


Richard

18/12/2010 à 11h52

l'implant de Fred me semble plutôt être un master L (et non un prévium) de chez easy i


Amibien

18/12/2010 à 12h21

Pas du tout bruxomane.... 99% des patients grincent des dents la nuit....

--
Petit Prince


Dsc 0022 zyz4bz - Eugenol
Fred

18/12/2010 à 13h40

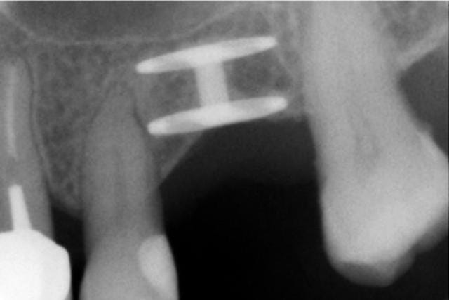
C'était un master L 3.3
3.3 étant le diamètre du fût, et 4mm le diamètre du col.
Je n'en ai posé que très peu juste pour essai, j'ai laissé tomber depuis
Quant à la déclaration de matériovigilance , ça me paraît une bonne idée, je vais m'en occuper.
J'ai transmis le N° de lot au fabricant, j'attends


Pépélaratiche

18/12/2010 à 13h53

Fred écrivait:
--------------
> C'était un master L 3.3
> 3.3 étant le diamètre du fût, et 4mm le diamètre du col.
> Je n'en ai posé que très peu juste pour essai, j'ai laissé tomber depuis
> Quant à la déclaration de matériovigilance , ça me paraît une bonne idée, je
> vais m'en occuper.
> J'ai transmis le N° de lot au fabricant, j'attends

Fred,

ceci explique cela... les 3.3 sont les plus cassant et les plus fragiles , fussent ils en TA6V...

Il faut vraiment être très vigilant ds le choix des 3.3

Mais par contre avantage , tu feras moins de dégât en le retirant...

Pp ;-)

PS Essaye vraiment de te faire une ostéotension tout autour ça va vraiment t aider


Dsc 0022 zyz4bz - Eugenol
Fred

18/12/2010 à 14h23

OK
Merci


Pépélaratiche

18/12/2010 à 15h05

Qques renseignements utiles...

Je comptis vraiment de te savoir ds cette situation car c est vraiment une des pires....

Si tu as une pano on est tjs preneur

Pp ;-)


Dsc 0022 zyz4bz - Eugenol
Fred

18/12/2010 à 16h03

En tout cas eugénol, c'est vraiment fabuleux !!

Je ne publie pas beaucoup de cas, parce que quand je vois Noax et beaucoup d'autres, dans d'autres domaines, je me sens assez "léger", mais quand on a un pb, de voir tous ces gens répondre comme ça , c'est génial.
Et j’apprends beaucoup a vous lire.
MERCI A TOUS.
Pour tes fichiers pépé,je regarderai ça semaine prochaine, là on se fait un petit WE sympa avec super restos et tout et tout, on va oublier un peu tout ça....
Je joins quand même vite fait avant de partir la pano.
BON WE TOUT LE MONDE

Pano k6vtgj - Eugenol

Pépélaratiche

18/12/2010 à 16h06

Fred,

personne n est léger ni toi ni aucun autre...
Même pas Pépé qui maigrit mais c est le lot des vieux LOL

Bien à toi

Pp ;-)


Pépélaratiche

18/12/2010 à 16h12

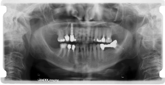
Deux petites choses sur la pano

1. les 7 sont qd mm toutes absentes ce qui fait qd mm que la pression se pose un peu plus en mésial

2. le bridge du côté gauche peut créer une contrainte mais à droite car courbe de Spee pas top

Question : ton patient a t il un deep-bite au niveau antérieur ou pas ???

Pp


Img 3657 cwjvqm - Eugenol
alapex

18/12/2010 à 16h27

alapex écrivait:
----------------
> N'empêche que j'ai eu raison de faire le forcing pour que Pépé vienne sur le
> forum , hein ?
> ..)))))

Et qu'est ce que j'ai dis à 8 heures ce matin , hein ?


flicflac

18/12/2010 à 16h44

merci encore pépé pour les lectures sur les ostéotenseurs,est-ce que la popularité de ces techniques est à la hausse..

pour ce qui est de l'implant de fred,,, problème de conception et faiblesse à la jonction évavement et cylindre.. probablement microfracture à la pose de l'implant 40N et et finalisation de la fracture avec quelque milliers de cycle de la mastication
salut les cousins


Avatar ow44t3 - Eugenol
Chicot

18/12/2010 à 18h03

Cingulum écrivait:
------------------
> la mode est au implant de petit diamètre...



pour ma part, je me suis fixé comme règle en unitaire: (inspiré par F. Renouard)

diamètre mésiodistale de la dent à remplacer = 2*diamètre de l'implant +1 mm pour un diamètre d'implant inf à 5 mm

ou + 2 mm pour un diamétre de 5mm



--
;O)


ladendur

18/12/2010 à 18h17

Pépélaratiche écrivait:
-----------------------
> 5. Ce point m intéresse bcp : donne nous à ton avis les cas où il est nécessaire
> de déposer un disk... après je te ferai un petit screening des cas ou on dépose
> et de ceux on dépose pas
>
> Bien à toi dentdur
>
> Pp

Jamais, les diskimplants sont toujours bien posés et il n'y a jamais de casse.


Blason dql7mj - Eugenol
growler

18/12/2010 à 18h44

Chicot écrivait:
----------------
> Cingulum écrivait:
> ------------------
> > la mode est au implant de petit diamètre...
>
>
>
> pour ma part, je me suis fixé comme règle en unitaire: (inspiré par F. Renouard)
>
> diamètre mésiodistale de la dent à remplacer = 2*diamètre de l'implant +1 mm
> pour un diamètre d'implant inf à 5 mm
>
> ou + 2 mm pour un diamétre de 5mm
>
>
>
> --
> ;O)


c'est bizarre cette formule

dist= 2D+1

donc D = (dist -1)/2
donc pour une 15 ou dist moyen est de 6.7mm

alors D = 2.85 c'est pas bézef (ou alors je me suis gourré dans mon calcul)

ou pour un 3.3 comme celui de fred: dist = 7.6 soit quasiment la largeur d'une canine sup.


il a tiré cela de ses études par éléments finis?


Pépélaratiche

18/12/2010 à 18h45

Trop succinct comme réponse

Il faut déjà faire un distinguo entre cassé et pas cassé et puis c est pas pcq c est cassé qu il y a dépose systématique

Mauvais réponse
Mauvais critère

Pp

Tu peux mieux dentdur j en suis sûr
A toi de jouer


Pépélaratiche

18/12/2010 à 18h58

Cingulum écrivait:
------------------
> la mode est au implant de petit diamètre...
> Le recul est faible
> On montre 2 cas sur Easy, mais il y a de la casse avec tout les systèmes...
>
>
>
> --
> Dr Cingulum
> -----Ancien interné----
> ----Attaché à l'apex----
> www.clinic-all.fr formation par passion


Cingulum,

implant de 3.3 microflité à l extérieur et à l intérieur, il reste une toile suffisante pour éviter la casse

Structure se série S 3.3 JAMAIS cassé

Pp


Avatar ow44t3 - Eugenol
Chicot

18/12/2010 à 19h17

growler écrivait:
-----------------

> c'est bizarre cette formule
>
> dist= 2D+1
>
> donc D = (dist -1)/2
> donc pour une 15 ou dist moyen est de 6.7mm
>
> alors D = 2.85 c'est pas bézef (ou alors je me suis gourré dans mon calcul)
>
> ou pour un 3.3 comme celui de fred: dist = 7.6 soit quasiment la largeur d'une
> canine sup.
>


2D+1 est la largeur maxi à reconstruire avec un implant de diam D mais pas pas le diam idéal ! Idéalement 2D. Mais comme toute régle simpliste elle a ses exceptions:

Pour une canine, si fonction de groupe, 4 mm mini, si protection canine, je préfère monter encore un peu (4,3-4,5, voir 5)

Pour une PM, je table sur 7 à 8 mm donc implant de 3,5 à 4 avec une préférence pour 4 si la largeur osseuse le permet.

Pour une molaire inf on frise souvent les 12 mm, donc mini diam de 5mm.

Si l'édentement est de 13-14, c'est un peut la merde sauf si le 6 passe, sinon --> 2* 3,7 avec les distances inter implants et implants dents critiques

3,3 mm pour une I lat ou I inf mais je prendrais pas le risque comme ici sur une arcade raccourcit de remplacer une PM.

>
> il a tiré cela de ses études par éléments finis?
>

non, je crois de son expérience clinique. Les éléments finis c'est pour les longueurs
(cf implants courts)

--
;O)


ladendur

18/12/2010 à 19h49

Pépélaratiche écrivait:
-----------------------
> Mauvais réponse
> Mauvais critère
>
> Pp
>
> Tu peux mieux dentdur j en suis sûr

ladentdur écrivait:
--------------------
> je suis titanisé Pp

Mauvais jeux de mot
Mauvaise question

Pp


sinclair

19/12/2010 à 01h55

Pépélaratiche écrivait:
-----------------------
> Je pose des implants Victory
>
> Ca vous fait tous pisser de rire que je pose ceux là mais j ai jamais eu de
> fracture d implants ni de piliers...
>
> Ces implants sont depuis des années testés sur machine d essai et ils doivent
> tenir a priori 20 à 30 ans...
>
> Pp

ah bon je ne suis pas d'accord voila un de mes cas...

Victory 1 sqoj91 - Eugenol
Victory 2 wwphs8 - Eugenol

Christophe13

19/12/2010 à 10h21

J'aimerai bien connaitre les indications d'un implant de 3.3 avec un col de 4mm , en forme trompettoide.
Moi j'en vois pas , si ce n'est un forage rapide avec une insertion en force du col et une stabilité primaire accrue mais avec encore encore plus de contraintes au niveau de la partie cervicale. Peut être ?
Si quelqu'un d'easyimplant pouvez nous répondre...

Car quand le tronc pète...


1234...