Cookie Consent byPrivacyPolicies.comJe suis pas dans la merde!!!!! - Eugenol

Je suis pas dans la merde!!!!!

Pépélaratiche

23/12/2010 à 18h15

Candida,

ce que tu en penses , on s en fout

Je ne vis pas de publications mais je suis attentif à l expérience de mes confrères et encore plus si celle ci est désagréable à vivre car il n y aucune utlité à revisiter les emmerdes des autres

Pp :-))))))))))))))))


RépondreCiter
Rorschachwhite tx6rqr - Eugenol
Candide Candida

23/12/2010 à 18h26

En fait j'ai du mal à situer le PP, autant ponderé dans ses remarques, ses avis et ses conseils dans des domaines on il a l'air de s'y connaître et autant prompt à dire de la merde le reste du temps : en gros dégoiser sur tout ce qui ne le concerne pas et si possible en mal (easy implant, maintenant Ankylos, qui demain : Nobel, Astra, Straumann ?), à base de "on dit" de "j'ai un pote" etc ..

Et je pense que je ne suis pas le seul à ne pas trop suivre tout ça..

Tu as entièrement raison ce que je pense et notamment de toi on s'en fout :-)))

CC.


Photo pluton1b h9n4ea - Eugenol
pluton

23/12/2010 à 18h35

du calme les gars, c'est bientôt les vacances...;-)

tous les systèmes ont des avantages et des inconvénients...
tous les systèmes n'ont pas la même ergonomie
ce qui peut sembler important pour l'un peut être dérisoire pour l'autre (par ex, la présence de forets à butée...moi je m'en fiche un peu, mais pour d'autres c'est indispensable...)

tout çà fait qu'on ne choisi pas tous le même système, car tous les goûts sont dans la nature...

n'empèche...le meilleur implant au monde...çà reste la dent naturelle parfaitement saine avec un parodonte intègre...


Pépélaratiche

23/12/2010 à 18h38

Tu veux dire quoi exactement là Candida ???

Tu veux que je dise que des disks cassent ou plutôt cassaient aussi ???

Et bien oui des disks de 1ère génération à savoir des filetage externe DE ont eu de la casse et même les premières générations de filetage interne DH ont encore cassé pcq tjs trop fins

Ces 2 premières générations ont eu de la casse mais aussi datent d une époque où personne ne songeait encore à faire passer des tests sur machine d essai

La 3 ème génération de type DM ne casse plus... Voilà, ça aussi c est dit

Tout le monde a modifié avec le tps ses cotes dimensionnelle pour assurer plus de sécurité

DE diamètre du fût 1.8 mm
DH 2.0
DM 2.35

Par contre, ce que je trouve fou et tu m en excuseras, c est que des firmes "revisitent" des choses que tout le monde a vu foiré ds le passé comme les branemarks à macrolfiletage interne et externe... Encore plus fou, le vendre à des praticiens et encore plus fous que des praticiens leur achètent ces implants

Est ce que Victory vend encore des DH non plus aucun...
Pourquoi d autres refont ils d inutiles retours en arrière???

Voici ma question et il n est nul besoin de dégoiser tel ou tel systême... Perso je m en fous et n ai rien à y gagner... Je veux juste des trucs qui marchent bien

Pp


Pépélaratiche

23/12/2010 à 18h39

pluton écrivait:
----------------
> du calme les gars, c'est bientôt les vacances...;-)
>
> tous les systèmes ont des avantages et des inconvénients...
> tous les systèmes n'ont pas la même ergonomie
> ce qui peut sembler important pour l'un peut être dérisoire pour l'autre (par
> ex, la présence de forets à butée...moi je m'en fiche un peu, mais pour d'autres
> c'est indispensable...)
>
> tout çà fait qu'on ne choisi pas tous le même système, car tous les goûts sont
> dans la nature...
>
> n'empèche...le meilleur implant au monde...çà reste la dent naturelle
> parfaitement saine avec un parodonte intègre...



Sages sont tes paroles Ô Grand Pluton ...

Amitiés de Pp


Rorschachwhite tx6rqr - Eugenol
Candide Candida

23/12/2010 à 18h40

pluton écrivait:
----------------
> du calme les gars, c'est bientôt les vacances...;-)
>
> tous les systèmes ont des avantages et des inconvénients...
> tous les systèmes n'ont pas la même ergonomie
> ce qui peut sembler important pour l'un peut être dérisoire pour l'autre (par
> ex, la présence de forets à butée...moi je m'en fiche un peu, mais pour d'autres
> c'est indispensable...)
>
> tout çà fait qu'on ne choisi pas tous le même système, car tous les goûts sont
> dans la nature...
>
> n'empèche...le meilleur implant au monde...çà reste la dent naturelle
> parfaitement saine avec un parodonte intègre...

Bien sûr 100% d'accord avec toi ^^

Je me demande même comment on peut penser le contraire, mais bon ça à l'air possible manifestement ;-)

Tu as posé des Superline ?

CC.


Photo pluton1b h9n4ea - Eugenol
pluton

23/12/2010 à 18h57

Candide Candida écrivait:
------------------------
>
> Tu as posé des Superline ?


yes, 2...;-)

Superline x7zkzx - Eugenol

Pépélaratiche

23/12/2010 à 19h06

Oups

La toile résiduelle au niveau du col a l air qd même assez réduite sur le petit diamètre

Tu en penses quoi toi Pluton ???

Pp


Photo pluton1b h9n4ea - Eugenol
pluton

23/12/2010 à 19h15

que la radio ne met pas vraiment en valeur cet implant...
le filetage externe est assez peu marqué en fait
mais tu as raison...c'est un petit diamètre...3.4mm pour le fût et 3.6mm au col
expansion pour ce cas...j'aurais aimé pouvoir y glisser un 4mm...mais l'os me disait "stop" pour le 3.6 en 12mm
l'implant postérieur est un 4.5/8

maintenant, un ID en 3.7mm ou un dentium en 3.6...on doit être assez proche...niveau finesse au col...


Rorschachwhite tx6rqr - Eugenol
Candide Candida

23/12/2010 à 19h34

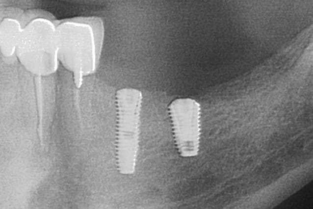
Tiens Pluton, un 4.5 par 12, j'aurais du poser un 4 je me serais fait moins peur :-)

Mais ce n'est pas pour l'axe que je le poste, juste regarde le niveau osseux à trois mois d'écart, le pilier de cicat a été vissé le jour de la pose le 17/09 !

AMHA c'est LE + de cet implant : la stabilité osseuse.

J'ai les mêmes RX pour tout ceux que j'ai posé depuis le début de l'année.

CC.

23122010 uedznq - Eugenol
17092010 tpbggg - Eugenol

yann7

23/12/2010 à 19h49

Pépélaratiche écrivait:
-----------------------
> Hélas les Ankyloss ont aussi cette sale réputation malgré que le fabricant nous
> ait vanté les mérites du superajustage et du superbloage de ses cônes morses, il
> pètent à tour de bras
>
> Et c est encore pire en unitaire
> J ai un pote qui en placé 10 et a de suite stoppé...
>
> Pp


Bonjour,

je ne sais d'où tu sors ça?
j'en pose depuis plusieurs années et je n'ai pas eu un seul cas de fracture


Wolford hm5yx3 - Eugenol
Doc lyonnaise

23/12/2010 à 19h57

yann7 écrivait:
---------------
> Bonjour,

salut mon Yann, bisousssssssssssssss ;-)


Photo pluton1b h9n4ea - Eugenol
pluton

23/12/2010 à 19h57

quoi ton axe...il est bien placé ton implant....bon pour pinailler, un chouilla plus mésial pour être parfait

j'avais un peu peur de mêler expansion et cet implant...mais non, comme sur des roulettes...
faut dire qu'on est aussi aidé par des forets particulièrement sécants...et donc on peut les faire tourner à très faible vitesse...juste pour finir d'aménager le logement implantaire...
et comme il n'est pas trop conique...moins de risques finalement de péter la corticale à l'insertion de l'implant...insertion par ailleurs particulièrement "douce" et progressive...le double filetage carré pas trop agressif n'y est certainement pas étranger...
et le blocage terminal est "franc"...bref...pour le moment très content...;-)


Pépélaratiche

23/12/2010 à 21h06

yann7 écrivait:
---------------
> Pépélaratiche écrivait:
> -----------------------
> > Hélas les Ankyloss ont aussi cette sale réputation malgré que le fabricant
> nous
> > ait vanté les mérites du superajustage et du superbloage de ses cônes morses,
> il
> > pètent à tour de bras
> >
> > Et c est encore pire en unitaire
> > J ai un pote qui en placé 10 et a de suite stoppé...
> >
> > Pp
>
>
> Bonjour,
>
> je ne sais d'où tu sors ça?
> j'en pose depuis plusieurs années et je n'ai pas eu un seul cas de fracture


Ben Yann tant mieux pour toi mais de mon côté c est loin d être la 1ère fois que des collègues se plaignent de fractures et de grosses difficultés de réalisation pour la prothèse

Mais bon si ça te réussit je ne demande pas mieux pour toi

Pp


80x80 image06 funny w4abq5 - Eugenol
bigcandy

23/12/2010 à 22h43

Je rebondis aussi : ça fait plus de 10 ans que je fais de la prothèse sur implant avec Ankylos et 3 ans que je les pose moi-même.

Et depuis, je n'ai pas eu UN SEUL CAS d'échec, que ce soit sur l'implant ou la prothèse.

Il est vrai que la manip de la clef de positionnement est un peu déroutante au début, mais après c'est un vrai bonheur !!

Tes collègues n'ont vraiment pas eu de pot Pépé !


Pépélaratiche

23/12/2010 à 22h59

C est possible

Je n en disconviens nullement

Pp


Pépélaratiche

25/12/2010 à 14h28

sinclair écrivait:
------------------
> Pépélaratiche écrivait:
> -----------------------
> > Je pose des implants Victory
> >
> > Ca vous fait tous pisser de rire que je pose ceux là mais j ai jamais eu de
> > fracture d implants ni de piliers...
> >
> > Ces implants sont depuis des années testés sur machine d essai et ils doivent
> > tenir a priori 20 à 30 ans...
> >
> > Pp
>
> ah bon je ne suis pas d'accord voila un de mes cas...

Cher Sinclair,

oui je vois bien cette casse

Plusieurs remarques s impose à ce sujet

1. il s agit d un disk d ancienne génération de type DH et à cette époque personne , pas même branemark, ne testait sur machine d essai
2. le diamètre du fût de ces anciens implants était de 2.00 mm... Les nouveaux de génération M ont un fût de diamètre 2.35 mm et ont été testé sur machine d essai et ne casse pas
3. néanmoins pour ma part, je ne pose pas de disk en unitaire sur une molaire et pas un double mais un simple plutôt à l haure actuelle

4. tu peux facilement corriger ça : tu coupes le fût en tournant autour avec une Zekrya longue SANS ouvrir de lambeau pour ne pas avoir du métal meulé de partout et tu poses au centre de tes disks intégrés un Fractal 8mmOI 3.75 avec pose de PRFs ds le fond de ton forage pôur que ta memebrane sinusale puisse se réparer si tu la lèses

5. Il n y aucune raison de virer ces deux disks intégrés... Tu auras au final un implant court stabilisé par deux disks déjà intégrés...

Bien à toi

Pp


ladendur

25/12/2010 à 15h39

Pépélaratiche écrivait:
-----------------------
> C est possible
>
> Je n en diskconviens nullement
>
> Pp

voila le vrai


Pépélaratiche

25/12/2010 à 16h13

ladendur écrivait:
------------------
> Pépélaratiche écrivait:
> -----------------------
> > C est possible
> >
> > Je n en diskconviens nullement
> >
> > Pp
>
> voila le vrai

Mais où le faux alors

Pp ??????????


sinclair

05/01/2011 à 00h11

Pépélaratiche écrivait:
-----------------------
> sinclair écrivait:
> ------------------
> > Pépélaratiche écrivait:
> > -----------------------
> > > Je pose des implants Victory
> > >
> > > Ca vous fait tous pisser de rire que je pose ceux là mais j ai jamais eu de
> > > fracture d implants ni de piliers...
> > >
> > > Ces implants sont depuis des années testés sur machine d essai et ils
> doivent
> > > tenir a priori 20 à 30 ans...
> > >
> > > Pp
> >
> > ah bon je ne suis pas d'accord voila un de mes cas...
>
> Cher Sinclair,
>
> oui je vois bien cette casse
>
> Plusieurs remarques s impose à ce sujet
>
> 1. il s agit d un disk d ancienne génération de type DH et à cette époque
> personne , pas même branemark, ne testait sur machine d essai
> 2. le diamètre du fût de ces anciens implants était de 2.00 mm... Les nouveaux
> de génération M ont un fût de diamètre 2.35 mm et ont été testé sur machine d
> essai et ne casse pas
> 3. néanmoins pour ma part, je ne pose pas de disk en unitaire sur une molaire et
> pas un double mais un simple plutôt à l haure actuelle
>
> 4. tu peux facilement corriger ça : tu coupes le fût en tournant autour avec une
> Zekrya longue SANS ouvrir de lambeau pour ne pas avoir du métal meulé de partout
> et tu poses au centre de tes disks intégrés un Fractal 8mmOI 3.75 avec pose de
> PRFs ds le fond de ton forage pôur que ta memebrane sinusale puisse se réparer
> si tu la lèses
>
> 5. Il n y aucune raison de virer ces deux disks intégrés... Tu auras au final un
> implant court stabilisé par deux disks déjà intégrés...
>
> Bien à toi
>
> Pp

salut pp

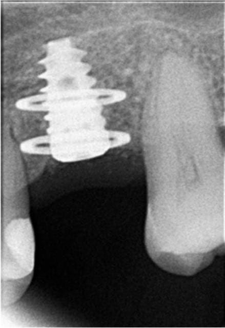
je ne me rappelle plus la référence de l'implant disk en voilà une radio et ce que j'ai fait pour rattraper le coup


sinclair

05/01/2011 à 00h12

voici les radios

Diskimplants q4ij2p - Eugenol
Diskimplants3 xdjbqv - Eugenol

Pépélaratiche

05/01/2011 à 00h20

Super

Voici donc un cylindre à double disk ;-)

Et puis chapeau de ne pas avoir déposer tes disks comme bcp le préconise car ils étaient intégrés et il n y vaiat aucune raison de faire autrement que ce que tu as fait

En tant que dentiste, on devrait plus svt s inspirer de nos collègues chirurgiens orthopédistes qui ne déposent jamais aucun matériel d ostéosynthèse sans raison

J ai connu une prf de fac allergique au disk qui les viraianet dès qu elle en voyait , qu ils fonctionnent ou pas.. Disosn qu elle les virait à titre préventif
Cette même conne posait des implants transzygomatiques et elle en a posé un qui est logé la base du cerveau mais bien engagé dedans... Ah cette donneuse de leçon me fait tjs bien piser de rire

Pp

PS Encore bravo à toi !!!!!!!


Pépélaratiche

05/01/2011 à 00h27

En y regardant de plus près , tes radios montrent un soutien osseux assez limité au niveau des dents voisines

Si elles sont mêmes légèrement mobiles , stt si elles pompent un peu verticalement, il est possible que ton implant soit devenu avec le tps la seule vraie butée occlusale ds le coin d où sa casse ...

Peux tu me dire si des dents bougent ds le voisinage ???

Pp


sinclair

05/01/2011 à 00h33

comme je te l'ai dis ces radios ont 5-6 ans
j'ai revu cette patiente récemment les dents voisines ne sont pas mobiles
mon petit bricolage tiens toujours...


ladendur

06/01/2011 à 00h30

fredo667 écrivait:
------------------
> serres les fesses et bon courage.


tout un programme gay !!


1...456