Cookie Consent byPrivacyPolicies.comRECIPROC® – One File Endo - Eugenol

RECIPROC® – One File Endo

FarFouille

06/04/2011 à 19h35

Salut,

Yared, lui, explique dans son protocole que dans la grande majorité des cas il n'est pas nécessaire de réaliser une perméabilisation manuelle du canal avant d'utiliser le Reciproc®, l'instrument n'étant jamais sollicité au delà de ses limites de fracture.

*********************
"The concept of using a shaping instrument without first creating a glide path with hand or mechanical glide path instruments is a completely new way of thinking, a paradigm shift. It goes against the current teaching standard which requires the creation of a glide path prior to using a rotary instrument to prevent it binding in the root canal.

In reciprocation, clockwise and counterclockwise angles determine the amplitude of reciprocation, the right and left rotations. These angles, stored in the motor, are significantly lower than the angles at which the RECIPROC® instrument would usually fracture (if bound). When a reciprocating instrument binds in the canal, it will not fracture because it will never rotate past its specific angle of fracture. Therefore, the creation of a glide path to minimise binding is not required for the RECIPROC® instruments.

I want to introduce the notion of the path of least resistance. The reciprocation technique’s centring ability together with the design of the RECIPROC® instrument and its increased cutting ability allows the RECIPROC® instrument to follow the existing and natural path of least resistance, which is the root canal. I want to take advantage of the presence of that natural path with the RECIPROC® instrument in order to eliminate initial hand filing for the creation of a glide path in the majority of cases. This is not only time-saving but also particularly convenient in teeth with limited access. Additionally, errors associated with the use of hand filing prior to using mechanically driven instruments can be avoided.”

Dr. Ghassan Yared
*******************


Marque a3 orange fyvhyq - Eugenol
Marc Apap

06/04/2011 à 21h09

C'est incroyable comme en endodontie, tout le monde affirme des trucs et des théories étayées sur rien. Peut être qu'il a raison, mais il y aura forcément des cas où ça ne marchera pas. Espérons que ce ne sera pas la majorité, comme il le dit lui-même.
Encore un truc complètement théorique, le fait que le mouvement interdisent le vissage. Puisque l'instrument au final, tourne bien (même s'il fait une petite marche arrière à chaque fois), il va forcément progresser vers le fond du canal. Pour peu qu'on le manie sans précaution, aucune raison pour qu'il n'arrive pas à s'y coincer. Disons que les risques sont sérieusement limités, mais qu'il faut quand même manipuler tous ces joujous avec délicatesse et savoir faire.


Bernard l ermite yjelun - Eugenol
doc-driba

06/04/2011 à 21h22

FarFouille écrivait:
--------------------

> Yared, lui, explique dans son protocole que dans la grande majorité des cas il
> n'est pas nécessaire de réaliser une perméabilisation manuelle du canal avant
> d'utiliser le Reciproc®...

Pour voir suivi hier une demi-journée avec P. Machtou sur le WaveOne (conf + démo), le message que j'ai surtout retenu, c'est perméabilisation du canal et lime 10 flottante dans le canal avant tout usage de l'instrument WaveOne. Et Machtou a particulièrement insisté sur cette notion. La démo qu'il a fait sur une dent extraite présentant une double courbure dans le plan MD et une autre dans le plan VL (le cas classique d'une racine mésiale d'une 6 mandibulaire) a été édifiante. Le temps passé à perméabiliser a été particulièrement long par rapport à la mise en forme et la descente de l'instrument à l'apex.

Mais il n'y a pas de secret, maitriser la perméabilité (glydepath) c'est 90% du succès de la mise en forme, le reste c'est juste une question "de matériel". Utiliser un seul instrument ou 2-3 c'est vraiment pas le problème, de toute façon, tu seras obligé de passer du temps à la désinfection
par une irrigation suffisante.

Donc l'instrument unique te fais gagner du temps, certes, mais uniquement sur une petite séquence de la totalité de ton traitement et permet de passer plus de temps à la désinfection.





Capture d  cran 2015 03 12 12.28 - Eugenol
chicot29

07/04/2011 à 01h16

En fait le reciproc rouge va faire gagner du temps apres avoir passé s1 s2 et f1 quel progrès ! )))))


Willy Pertot

07/04/2011 à 13h27

Par rapport à la perméabilité, un instrument dont la pointe est à 25 ne pourra jamais passer dans un canal qui fait 5 ou 6/100eme.
C'est l'une des raisons pour lesquelles des pointes d'instruments restent dans les canaux.
Donc perméabilité obligatoire.
Que Ghassan sache maîtriser l'instrument et qu'il ne pousse pas c'est un fait.
Quand on relis bien ça donne : l'instrument avance et si jamais il bloque, on perméabilise.
Quand on regarde ses conférences, et qu'il montre des séries de cas, dans un cas sur deux, il explique qu'il a passé la lime manuelle, surtout au niveau apical.
Donc en réalité, dans un certains pourcentages de cas, le canal est déjà suffisamment large et l'instrument avance.
Si l'instrument ne veut plus avancer, on perméabilise.
Au final, on a tous fait cela un jour ou l'autre quand on sent que le canal est suffisamment large.
A part que je pense qu'il vaut mieux jouer la sécurité, et perméabiliser au départ.
Logiquement, si le canal est perméable, la lime avance sans problème et là on a pas vraiment perdu de temps, puisque c'est très rapide.
Et si la lime de 10 ne peut même pas avancer, cela indique qu'on a bien fait de l'utiliser....


Willy Pertot

07/04/2011 à 13h35

CC : les Pathfiles sont à 2% de conicité.
Mais en réalité la sensation d'accroche vient du fait que l'instrument, même sans les Pathfiles, au fur et à mesure qu'il avance, accroche un partie plus longue du canal, puisque c'est lui qui fait quasiment tout l'ouverture.
Et il accrochera le plus quand il sera plus près de l'apex...
Cette sensation est amplifiée par les angles de coupes plus aggressifs du Reciproc par rapport au WaveOne.
Je travaille avec les 2 instruments depuis pas mal de temps, et je n'ai sincèrement jamais bloqué un instrument.
Il faut éviter de pousser, et comme je l'ai déjà écrit, ne pas lever le pied de la pédale si jamais on ressent l'accroche, mais plutôt tirer l'instrument vers le haut.
La courbe d'apprentissage est assez courte, mais une ou deux dents extraites, ne serait que pour la sensation, différente de la rotation continue, sont très utiles.


Grueavatar nptrc9 - Eugenol
Le Choixpeau magique

08/04/2011 à 11h17

Premier "cas" au wave one... mieux quand j'aurai l'occasion !

Test moi 1962 03 22 x 2011 04 07 19 10 38 3 pkylym - Eugenol

Marque a3 orange fyvhyq - Eugenol
Marc Apap

08/04/2011 à 16h04

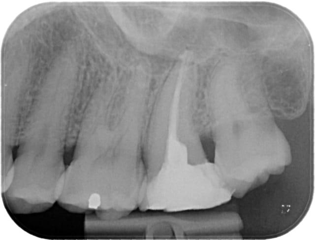
C'est quoi le petit truc au bout du distal ? je vois mal: de la gutta tire bouchonnée ou un fragment d'instrument


Grueavatar nptrc9 - Eugenol
Le Choixpeau magique

08/04/2011 à 16h33

Marc Apap écrivait:
-------------------
> C'est quoi le petit truc au bout du distal ? je vois mal: de la gutta tire
> bouchonnée ou un fragment d'instrument

C'est le cone qui s'est plié en deux ! Je l'ai mis une première fois, ça dépassait de deux mm, je l'ai remis une seconde fois, oh tiens c'est bizarre il va bien maintenant ;)


PopHip

08/04/2011 à 18h46

Le Choixpeau magique écrivait:
------------------------------
> Premier "cas" au wave one... mieux quand j'aurai l'occasion !

PopHip likes this


Grueavatar nptrc9 - Eugenol
Le Choixpeau magique

08/04/2011 à 19h50

Première dent sur patient vivant !
Pas un cas très intéressant à montrer, seulement deux canaux, un vestibulaire et un palatin.
Plutôt une bonne impression, mais est-ce que ça m'a vraiment fait gagner du temps, je ne sais pas....

27waveonepost eocktj - Eugenol
27waveonepr  q0ln5s - Eugenol

Grueavatar nptrc9 - Eugenol
Le Choixpeau magique

12/04/2011 à 20h43

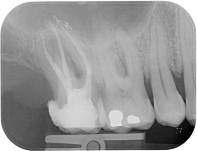
Un autre cas plus sympa, toujours au Wave One primary.
Ca marche super bien, par contre comme je pensais un peu ça ne fait pas gagner un temps inoui... si sur une endo d'une heure vous passez 5 minutes sur la rotation continue en elle même, vous en passerez peut être 1'30 (totalement pifométrique) sur le wave one, ce n'est pas ça qui va changer énormément la durée du rendez vous.

Waveone17 pr  q2fxwb - Eugenol
Waveone17post fcxjf1 - Eugenol

Marque a3 orange fyvhyq - Eugenol
Marc Apap

12/04/2011 à 21h03

Le résultat n'est pas mal du tout. Mais question : sur un rendez vous d'une heure, en dehors de la préparation canalaire avec les instruments mécanisés que tu prétends réaliser en 5 minutes, que fais tu pendant les 55 autres ???


200106 10150128247663588 709988587 6466236 5598391 n d7mksb - Eugenol
hallboy

12/04/2011 à 21h20

Pour avoir une détermination de la lt qui ait un sens, de toute façon, c est bonjour monsieur, installez vous, anesthésie, ouverture, nettoyage carrie, repérage des entrées et petit coup de lime, sx ou largo pour virer les triangles dentinaires, et effacer la courbe pour que la lt ne change pas, premières irrigation, détermination de la lt et pour les petochards pathfile jusqu au 20. Pour les gars qui bossent propre, digue voir reconstituion pré end o


Donc ça supprime le s 2 éventuellement le F1. Comme tu essuyé et ressort le voisin toutes les 10 secondes!.....


Désole pour la frappe encore plus cata que d' hab ' i pad dans un hôtel a cordou


Kaloyanis

12/04/2011 à 22h22

Elle est belle ton endo, moi j'ai toujours pas essayé la WaveOne (commandé depuis 10 jours), mais après reflexion je pense que j'ai pas aimé la Reciproque car elle est entre autre à 25 alors je termine beaucoup plus souvent en 20 ( f1)
A tu essayé les deux systèmes ?


Kaloyanis

12/04/2011 à 22h26

Marc Apap écrivait:
-------------------
> tu prétends réaliser en 5 minutes, que fais tu pendant les 55 autres ???


Meme si tu termine la mise en forme en 5 min il faut irriguer avec 10 à 15 ml de ClONa alors cela prends du temps....endoactivator...EDTA....sechage....essayage maitre cone etc....


Grueavatar nptrc9 - Eugenol
Le Choixpeau magique

12/04/2011 à 23h13

Kaloyanis écrivait:
-------------------
> Elle est belle ton endo, moi j'ai toujours pas essayé la WaveOne (commandé
> depuis 10 jours), mais après reflexion je pense que j'ai pas aimé la Reciproque
> car elle est entre autre à 25 alors je termine beaucoup plus souvent en 20 (
> f1)
> A tu essayé les deux systèmes ?

Je n'ai pas essayé le reciproc sur une vraie dent, et je ne suis pas sûr que j'aurai l'occasion d'essayer.
Avec les protapers je terminais toujours à F2 tout simplement parce que à F1 j'ai trop souvent tendance à avoir le cône qui se plie (trop fin).


Grueavatar nptrc9 - Eugenol
Le Choixpeau magique

12/04/2011 à 23h14

Marc Apap écrivait:
-------------------
> Le résultat n'est pas mal du tout. Mais question : sur un rendez vous d'une
> heure, en dehors de la préparation canalaire avec les instruments mécanisés que
> tu prétends réaliser en 5 minutes, que fais tu pendant les 55 autres ???

Je me pignole en pensant à toi.


Marque a3 orange fyvhyq - Eugenol
Marc Apap

12/04/2011 à 23h20

Le Choixpeau magique écrivait:
------------------------------
> Marc Apap écrivait:
> -------------------
> > Le résultat n'est pas mal du tout. Mais question : sur un rendez vous d'une
> > heure, en dehors de la préparation canalaire avec les instruments mécanisés
> que
> > tu prétends réaliser en 5 minutes, que fais tu pendant les 55 autres ???
>
> Je me pignole en pensant à toi.

Soit tu n'es pas un rapide, soit je ne suis pas assez sexy alors.


Willy Pertot

12/04/2011 à 23h24

Ben il a pas dit combien de fois en 55 min :-)


Willy Pertot

12/04/2011 à 23h26

Et l'endo est très belle, bravo.


Smile beach jgh0a1 - Eugenol
Céramik

13/04/2011 à 03h51

Le Choixpeau magique écrivait:
------------------------------
> Un autre cas plus sympa, toujours au Wave One primary.
>


Sympa,très jolie. Tu vas extraire bientôt pour l'analyse de ton scellement ?

Parce qu'avec la perte osseuse, les furcations exposées...

;-))


--
Céramik


Grueavatar nptrc9 - Eugenol
Le Choixpeau magique

13/04/2011 à 15h43

Tu ne crois pas si bien dire...

Furcagogo p637se - Eugenol

Capture d  cran 2015 03 12 12.28 - Eugenol
chicot29

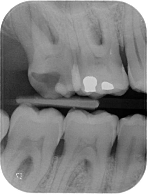
15/04/2011 à 21h44

premiere molaire au réciproc, bonnes sensations

R24 azxbz3 - Eugenol

Motion

16/04/2011 à 16h08

Pourquoi le Dentsply a t'il pris la peine d'inverser le pas de vis du reciproc et du waveone si ce n'est pour des raisons clairement commerciales.

Pour la réciprocité vous ne pourrez pas utiliser vos limes préférées (mtwo, fkg race, protaper) alors achetez mon moteur et utilisez mes limes.(90 euros les 6...).

Idem pour l'utilisation unique.Contamination croisée? ok mais alors pourquoi ne pas suivre le même raisonnement avec les Mtwo en leur adjoignant une bague ?

Et puis 15 euros pour une monoradiculée ça fait mal.

Spirale de la consommation,obsolescence planifiée par les fabricants qui lanceNT de nouveaux produits chaque année.

Que faire de ce moteur et des instruments si l'année prochaine arrive sur le marché un instrument avec un pas de vis à droite et un nouveau moteur type Atr technika ?


12345...