Cookie Consent byPrivacyPolicies.comRECIPROC® – One File Endo - Eugenol

RECIPROC® – One File Endo

Smile beach jgh0a1 - Eugenol
Céramik

23/04/2011 à 19h08

Le Choixpeau magique écrivait:
------------------------------
> Céramik écrivait:
> -----------------
>
> > Tu coupes les cheveux en 4...
>
> Je suis précis c'est différent ;)
>
> > Le moteur étant absolument requis pour la lime, et en plus il porte le nom de
> > Wave-One...
>
> Bah oui, mais tu peux utiliser des reciproc avec le moteur wave one et tu peux
> utiliser des wave one avec le moteur reciproc !

Pas vraiment, parce qu'ils ne sont pas disponibles chez moi, que le moteur Wave One vendu ici !



--
Céramik


Willy Pertot

23/04/2011 à 19h12

Ben oui mais le moteur est exactement le même.
Et qu'il permet la réciprocité mais aussi il est inclus dedans les programmes du ProTaper, ProFile GTX Files, PathFiles, et même un programme Gates....


Smile beach jgh0a1 - Eugenol
Céramik

23/04/2011 à 19h33

Willy Pertot écrivait:
----------------------
> Ben oui mais le moteur est exactement le même.
> Et qu'il permet la réciprocité mais aussi il est inclus dedans les programmes du
> ProTaper, ProFile GTX Files, PathFiles, et même un programme Gates....

+1
J'ai testé il y a 2 jours
Manque une vitesse maxi pour ouverture chambre pulpaire avec contre angle 1:1, ou bien le commercial n'avait pas encore eu cette question, vu que c'était sa 1er démo !

--
Céramik


Willy Pertot

23/04/2011 à 20h07

Et non, haute vitesse, ce n'est pas possible. Même en mettant un contre angle X5 on monte pas très haut. Et surtout y a pas d'eau...
Il y a aussi un programme 'My Program" si le praticien a envie de mettre ses propres paramètres de torque et de vitesse.


Smile beach jgh0a1 - Eugenol
Céramik

24/04/2011 à 00h31

Willy Pertot écrivait:
----------------------
> Et non, haute vitesse, ce n'est pas possible. Même en mettant un contre angle X5
> on monte pas très haut. Et surtout y a pas d'eau...
> Il y a aussi un programme 'My Program" si le praticien a envie de mettre ses
> propres paramètres de torque et de vitesse.

Oui, il y a un (seul) progamme (my program).
Il me semble que 3 ou 4 aurait été possible...

Pour ouvrir un chambre pulpaire, je me contenterai de ma turbine bague rouge et de mon microscope, dure dur

--
Céramik


01 ukhwbq - Eugenol
Bobby

29/04/2011 à 12h07

Bonjour,
je me demandais si un système avec localisateur intégré était prévu sur ces nouveaux moteurs, ou une dérivation qui permette de brancher le localisateur d'apex pendant le fonctionnement.
Je suis habitué au Tri auto ZX, et je ne me reverrais pas revenir en arrière à ce niveau là...
Ça doit être possible de se brancher sur la lime juste sous le mandrins, mais c'est pas super pratique.


Smile beach jgh0a1 - Eugenol
Céramik

10/12/2011 à 18h57

Bon, je fais pas bcp d'endo, et pas de molaire depuis 5 ans.
Donc je poste pas bcp de cas en endo...mais cette semaine, j'ai fais une molaire ! avec le Wave one, 1er essai clinique, j'avais le moteur depuis l'été, mais je continuais avec mes Protaper, question de ne pas avoir trop d'inventaire de limes, car avec 1 endo par semaine, parfois 2, le stock de Protaper descend pas trop vite...

Une gentille 36 pas difficile, 1 heure, avec Wave-one.
Je suis pas rapide, et je prend le temps de placer la digue.

En gros, ça fonctionne bien le wave-one.

Aller, lachez-vous les cadors de l'endo...

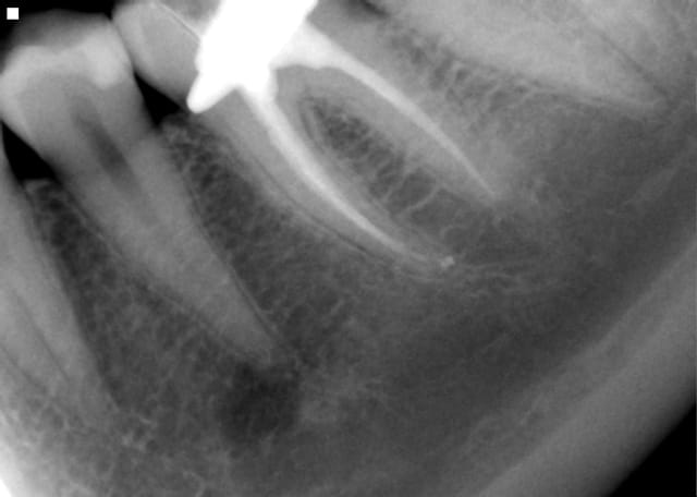
Ensuite, CCM, CCC, onlay, IC ?
Je sais , la radio est moche...On ne voit pas la portion distale de la dent, très abimée.


--
Céramik

Endo 36 wave one k5mr0c - Eugenol

olrik

24/12/2011 à 08h59

je viens de tomber là dessus:
http://www.bds-dental.ch/index.php?page=product&info=1371

par contre le PDF dentsply fonctionne pas....
http://www.dentsply.fr/2007/dentistes/catalogue_produits/endodontie/reciprocite/st_recirpocite.html


Capture d  cran 2015 03 12 12.28 - Eugenol
chicot29

24/12/2011 à 12h13

Qui peut le plus peut le moins. Encore un coup commercial. On sort le wd silver réciproc sans localisateur (alors que ca existe sur le wd gold) puis 6 mois après on en sort un autre avec localisateur.
Intérêt limité pour ma part car la mise en forme nécessite une irrigation abondante ce qui rend la fonction de localisation inopérante.


rayan

09/01/2012 à 15h38

Tu as raison, Dentsply nous prend pour des imbéciles au prix auquel ils vendent l'instrument.

je me demande à quoi sert un seul instrument si l'on doit repasser derrièere avec des intruments manuels: dans ce cas autant changer d'instrument!

J'ai essayé le Wave 1, il est bon mais il ne m'apporte pas rien de plus, à part que je le paie plus cher que les autres.

Apparemment leurs conférenciers sont bien payés pour vanter cet instrument qui est interessant, mais que nous ne pouvons utiliser qu'une fois dans un seul canal.
Regarde les photos qu'ils ont mis dans leur documentation.

Bonjour la casse

J'utilise CMA, ce sont des instruments qui ont une durée de vie assez longue et qui sont beaucoup moins chers.



Wave 1 rwh3wd - Eugenol

Rorschachwhite tx6rqr - Eugenol
Candide Candida

09/01/2012 à 15h55

Un premier post.

Une photo issue d'un doc de Dentsply "inédite" ^^

Un coup de pub pour un autre système.

J'hésite ... c'est gros, tu crois que ça va passer ?

:-)))

CC.


rayan

09/01/2012 à 16h23

Non il n'y a pas le localisateur avec le moteur.

j'ai un conseil à donner,quand on a l'habitude d'un instrument endo on ne le change pas si on n'a pas de plus avec le nouvel instrument.

Avec le Wave de Maillefer Dentsply ou le reciproque de VDW Dentsply il n'y pas pas beaucoup de plus à part que c'est un instrumet Single use.


Marque a3 orange fyvhyq - Eugenol
Marc Apap

09/01/2012 à 16h57

Tu rigoles, Rayan !? Même moi qui ne suis pas un fan des Protaper (sauf les F2 et 3 pour leur forme), je trouve que le Reciproc est une vraie révolution. D'accord, ce n'est pas la panacée, mais le gain de temps est largement significatif avec cet instrument par rapport aux autres systèmes.
Comme j'ai déjà dit, ça ne suffit pourtant pas pour me décider : je n'aime pas les périphériques encombrants et les moteurs annexes à cordon et pédale en particulier.


rayan

09/01/2012 à 17h15

Regardes la documentation sur le site


rayan

09/01/2012 à 17h18

Marc je vais voir quand l'instrument est absorbé et va bloqué avec toi dans le canal


rayan

09/01/2012 à 17h43

Candide,
rentre sur le site Dentsply Maillefer - Produit - mise en forme canalaire - wave one - brochur e- vas à la page 13, le titre est UNE EFFICACITE DE COUPE OPTIMALE. Tu verras les photos que j'ai mis


Pa050055 igyagy - Eugenol
mark

09/01/2012 à 19h48



et toujours pas de petit génie pour réaliser un CA à cames pour un mouvement de réciprocité mécanique; utilisable sur n'importe quel moteur?

pfff!


Rorschachwhite tx6rqr - Eugenol
Candide Candida

09/01/2012 à 20h17

rayan écrivait:
---------------
> Candide,
> rentre sur le site Dentsply Maillefer - Produit - mise en forme canalaire - wave
> one - brochur e- vas à la page 13, le titre est UNE EFFICACITE DE COUPE
> OPTIMALE. Tu verras les photos que j'ai mis


Tu en déduis quoi exactement ?

CC.


Index vf7ggk - Eugenol
dentisfuturis

12/07/2012 à 13h07

RECIPROC en cours de test au cab...
je teste en même temps le localisateur Raypex 6 de WDV qui a l'air sympa à utiliser. En plus ils ont une astuce pour le faire marcher sur le contre angle même si on se retrouve vite avec des cables de partout.
Pensez vous qu'ils vont sortir prochainement un localisateur interne sur le RECIPROC genre comme nouveauté ADF 2012 et qu'on se retrouve avec celui là dans le tiroir ?


Sarté

12/07/2012 à 19h32

Ça existe déjà c'est le VDW Gold Reciproc avec locapex intégré.

Quelqu'un l'a t'il déjà utilisé? Est ce que cela marche bien?


Index vf7ggk - Eugenol
dentisfuturis

13/07/2012 à 15h33

très satisfait du Reciproc, pemière endo molaire sur 17 en 20 minutes chrono. Il prépare tout pour cones 25 à 6%, les cônes rentrent nikel jusqu'à la LT.
Les mesures avec le raypex sont vraiment trop bizares, avec électrodes au contact du contre angle ou de la lime, ça me dit que je suis à la moitié du canal puis ça remonte d'un coup, bon ça doit être moi qui sait pas m'en servir on va dire :)
Par contre je suis un peu étnné que le vendeur Dentsply ne m'en ai pas parlé de ce nouveau Reciproq avec localisateur intégré vu qu'ils sont passé il y a 2 jours ! Voudraient il écouler les stocks de l'ancien modèle :) je vais tirer cet affaire au clair...
@+


Index vf7ggk - Eugenol
dentisfuturis

13/07/2012 à 20h23

voilà le Reciproc Gold serait apparament pas disponible pour la France, du moins pour l'instant.
On me dit que le moteur du Gold est moins efficace et que son localisateur est moins précis que le Raypex...
Bon du coup j'aimerais bien tester ce Gold pour comparer...


Index vf7ggk - Eugenol
dentisfuturis

13/07/2012 à 20h24

http://www.vdw-dental.com/produkte_e/index.html


Capture d  cran 2015 03 12 12.28 - Eugenol
chicot29

14/07/2012 à 00h50

J'ai le wd gold rotation continue uniquement. Il ne m'a pas donné satisfaction en ce qui concerne la localisation d'apex. Je préfère largement l'endomaster que j'utilise avec le s1 protaper pour ça. Préalablement je donne un coup de r25 avec le wd silver à une longueur pifométrique (16-18 mm) en fonction de la radio préop avant de passer le s1. Je n'ai jamais essayé de passer le r25 jusqu'à l'apex en première intention du coup. Sur les canaux droits et pas trop calcifiés ça doit le faire ,mais sur de bonnes courbures j'ai un doute.


malimor33

14/07/2012 à 03h18

Bon , moi aussi j'ai le WD gold en rotation continue, comme localisateur d'apex je trouve qu'il ne vaut rien et je continue à me servir de mon vieux Raypex que je trouve beaucoup plus fiable, mais ça multiplie l'encombrement de mon plan de travail...


1...567