Cookie Consent byPrivacyPolicies.comRéalisation d'une couronne : comment anticiper sa dépose ? - Eugenol

Réalisation d'une couronne : comment anticiper sa dépose ?

Bagheera tudzjy - Eugenol
bagheerra

29/12/2010 à 18h15

Bonjour,
je réalise une couronne métallique (à l'économie) pour une 36 chez une jeune fille de 13 ans. Il est plus que probable que, jeune adulte, elle ait envie d'une céram.
J'ai donc fait faire par le prothésiste une encoche vestibulaire juste sous la pointe de la cuspide MV, de la taille de la tête d'une WAMKEY 2 (l'épaisseur de la couronne est donc un peu plus fine à cet endroit), et à l'intérieur, juste derrière l'encoche, un espace calibré pour la wamkey, entre l'intrados et l'inlay-core, qui sera comblé par du ciment, et qui sera facilement fraisable pour introduire la wamkey. La dépose sera donc facilitée, à moindre frais, sans toucher le moignon. La coiffe n'en est pas significativement fragilisée.

Avez-vous d'autres "trucs" à utiliser dans ce cas ?

Je sais que certains (notamment en implanto) font faire une encoche au collet lingual pour que l'arrache-couronne ait une prise facile. Je déteste cet engin briseur de moignons et de racines, donc je n'adopte pas cette solution.

Pour ceux qui ne connaissent pas la wamkey :
http://www.wamkey.com/FR/produit/103-17/concept-


Grueavatar nptrc9 - Eugenol
Le Choixpeau magique

29/12/2010 à 18h51

bagheerra écrivait:
-------------------
> Bonjour,
> je réalise une couronne métallique (à l'économie) pour une 36 chez une jeune
> fille de 13 ans. Il est plus que probable que, jeune adulte, elle ait envie
> d'une céram.

Salut, je peux me tromper mais à mon avis jeune adulte elle aura plutôt besoin d'un implant... si tu en es déjà à devoir faire une couronne et un inlay-core sur une ado de 13 ans, c'est probablement que sa dent était déjà bien massacrée, non ?

> J'ai donc fait faire par le prothésiste une encoche vestibulaire juste sous la
> pointe de la cuspide MV, de la taille de la tête d'une WAMKEY 2

idée amusante, mais perso je m'interrogerai sur la faiblesse introduite dans la couronne à ce niveau, surtout qu'il s'agit de la cuspide MV d'une 36, donc probablement une de celles qui va le plus travailler dans toute la bouche ! Le métal risque de se déformer, le CVI va se barrer et sa va percoler ++ en dessous, enfin c'est mon intuition.

Si elle n'a pas de sous, tu lui fais sa Co-Cr et tu préviens les parents de commencer à économiser pour l'implant dans une dizaine d'années.


johnnybegood

29/12/2010 à 19h03

bonjour

je crois qu il ne faut pas s'ennuyer avec ce genre de considerations....tu fais ton tratement le mieux possible et dans 10 ans tu avisera ...


Bagheera tudzjy - Eugenol
bagheerra

29/12/2010 à 19h59

Etant optimiste de nature, et satisfait de mon endo, je donne une bonne espérance de vie à cette couronne. Certes, je n'ai pas dix ans de recul sur mon exercice.
Etant donné le contexte familial, et la tête décomposée de son père à la vue du devis pour la couronne métallique, je pense que si cette dent venait à être extraite elle ne serait pas remplacée.
D'autre part, si je me casse la tête (un peu) maintenant, c'est pour ne pas galérer (beaucoup) dans dix ans. Moins j'ai de métal à fraiser, plus la tête de mon CA bague rouge et les tendons de mon pouce me disent merci.
Quand à la pérennité de cette couronne "modifiée", l'avenir le dira. Il est vrai que je sors des connaissances médicales avérées. L'épaisseur de métal résiduelle reste partout supérieure ou égale à 0,4mm, donc le risque est limité.


Photo 158 mluhia - Eugenol
robin

29/12/2010 à 20h23

bagheerra écrivait:
-------------------
> D'autre part, si je me casse la tête (un peu) maintenant, c'est pour ne pas
> galérer (beaucoup) dans dix ans.

Sans vouloir te saper tes illusions, il y a de grande chances que dans 10 ans tu ai déménagé, que la jeune fille soit allée voir 5 praticiens différents dans ce laps de temps, qu’elle aussi ai déménagé. la probabilité pour que ce soit toi qui démonte cette couronne me semble assez restreinte.


87 ujotte - Eugenol
Spatouille

29/12/2010 à 21h59

Le Choixpeau magique écrivait:
------------------------------

> idée amusante, mais perso je m'interrogerai sur la faiblesse introduite dans la
> couronne à ce niveau, surtout qu'il s'agit de la cuspide MV d'une 36, donc
> probablement une de celles qui va le plus travailler dans toute la bouche ! Le
> métal risque de se déformer, le CVI va se barrer et sa va percoler ++ en
> dessous, enfin c'est mon intuition.

je crois pas avoir jamais vu des cca chrome-cobalt pliées car une seule zone de faiblesse, la globalité des épaisseur serait plutôt a prendre en compte amha .

0.4 mm comme précisé plus loin représente l'épaisseur moyennes d'une armature ccm .


juninho56

29/12/2010 à 22h20

Si j'ai bien compris, tu fais une couronne sur une dent définitive sur une gamine de 13ans.
Je suis sorti de la fac, il y a 3ans. En pédo, on nous disait de ne pas faire de couronne sur une dent définitive avant la fin de la croissance de l'enfant.
Je sais que c'est la théorie, mais comment vous faites en pratique.

J'ai jamais vu de couronnes faites chez l'enfant à part les coiffes pédo surles dents de lait qui sont transitoires.


Bagheera tudzjy - Eugenol
bagheerra

30/12/2010 à 10h34

robin écrivait:
---------------
> bagheerra écrivait:
> -------------------
> > D'autre part, si je me casse la tête (un peu) maintenant, c'est pour ne pas
> > galérer (beaucoup) dans dix ans.
>
> Sans vouloir te saper tes illusions, il y a de grande chances que dans 10 ans tu
> ai déménagé, que la jeune fille soit allée voir 5 praticiens différents dans ce
> laps de temps, qu’elle aussi ai déménagé. la probabilité pour que ce soit toi
> qui démonte cette couronne me semble assez restreinte.

J'ai bien sûr pensé à ça. Je donne à la patiente un courrier expliquant la chose, je pense que la WAMKEY est assez répandue maintenant. Dans cette histoire je pense rendre service à la patiente.


Bagheera tudzjy - Eugenol
bagheerra

30/12/2010 à 10h38

juninho56 écrivait:
-------------------
> Si j'ai bien compris, tu fais une couronne sur une dent définitive sur une
> gamine de 13ans.
> Je suis sorti de la fac, il y a 3ans. En pédo, on nous disait de ne pas faire de
> couronne sur une dent définitive avant la fin de la croissance de l'enfant.
> Je sais que c'est la théorie, mais comment vous faites en pratique.
>
> J'ai jamais vu de couronnes faites chez l'enfant à part les coiffes pédo surles
> dents de lait qui sont transitoires.

Je suis aussi sorti de la fac il y a 3/4 ans, et effectivement on m'a dit ça aussi. Dans ce cas clinique, le délabrement est tel que si je ne fais pas de couronne, la dent ne sera plus conservable dans 5 ans. De plus, la gamine étant assez avancée, il est trop tard pour penser extraire et mésialer 37-38 correctement. Je fais donc une couronne métallique avec l'accord de la patiente et de ses parents, qui sont prévenu que la denture va bcp évoluer d'ici la fin de l'adolescence, et qu'il faudre certainement refaire la couronne qui ne sera plus adaptée.
Techniquement, l'acte est le même que chez un patient adulte.


Kawaï

30/12/2010 à 12h05

à 13 ans ne vaut-il pas mieux extraire la dent et envisager de l'ortho ? Surtout qu'avec une pano on peut voir si DDS il y aura !! Car outre l'erruption passive de cette dent jusqu'à l'age adulte et des limites qui ne seront plus les bonnes, elle démarre déjà avec une dent fortement délabrée et qui a mon avis n'aura pas une durée de "vie" très très longue...

Et à 30/40 ans, il faudra enlever la couronne et là soit ortho ou implanto....

J'ai actuellement le même problème sur une patiente de 10 ans, suivi à la fac avant, caries +++, déjà eu des extractions lactéales suites à des caries très imposantes.
J'ai fait l'endo de la 46 et il reste juste la coque de la couronne avec un magnifique cratère...

J'ai refermé ça en précisant bien que cette dent est perdue, il va falloir l'enlever mais que je la laisse pour l'instant tant que la petite n'a pas vu l'ortho (rdv courant janvier)

Le fait de couronner cette dent serait absurde à mon sens (mais je me trompe peut etre), car en plus l'enfant n'est pas rééllement prête à se motiver et cette dent est deja perdue.

ce genre de cas est toujours délicat mais si les DDS sont là pourquoi ne pas faire un traitement ortho pour tout resserrer et permettre une seconde chance avec des dents saines?


Ico v for vendetta08 jzhpep - Eugenol
ratinox

30/12/2010 à 12h25

Tu aurais été dans ton cabinet définitif, tu aurais même pu fermer l'opercule avec une fine épaisseur de métal au niveau de la place du Wam-key no2 au moins (le 1 se tord trop vite) avec une petite signalisation : place for a Wam-key in case of danger comme pour un Soliouz...
Je ne pense pas que ta proposition fragilise tant que ça une Ni-Cr vu la tannée pour les enlever.
Dommage pour cette sympathique petite expérimentation sans grand danger mais dont tu et nous n'aurons pas les résultats dans cinq-dix ans puisque tu ne seras plus là.
Quand tu seras à une place fixe tu pourras essayer et vérifier la pertinence de ton choix. En attendant une cc normale conviendra et le praticien qui la changera éventuellement la fera sauter comme d'hab à la tungstène. Les encoches éventuelles sur le moignon ne sont pas graves si elles sont verticales, ça fait des rainures...
Au fait je n'ai pas appris le pourquoi de la temporisation de pose de couronnes sur les jeunes. Si c'est pour le changement de niveau de la gencive et l'intégration esthétique, vu la beauté du métal, on n'est pas trop concerné ici.


Bagheera tudzjy - Eugenol
bagheerra

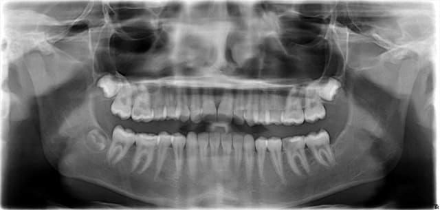
30/12/2010 à 12h47

Voilà la panoramique, vous constaterez que
1°) il n'y a pas de 38
2°) pour une gamine de 13 ans, la denture est plutôt avancée, d'où pour moi la difficulté de mésialer la 37 correctement.
Les 16-26-46 ont été traitées avec soin conservateur.

J'espère bien être là dans 5 ans pour voir le résultat, si la patiente est encore dans les parages.
Je précise que l'opercule est bien fermé par du métal, il est visible en vestibulaire comme pour dire "creusez là". La couronne est étanche et solide.

P2 dwkpay - Eugenol

juninho56

30/12/2010 à 12h49

Pour commencer, pour répondre à la question de ce post, moi je ne ferais rien sur la couronne au départ pour anticiper une éventuel dépose.
Une cc peut se déposer facilement. Je ferais un trou dans la face vestibulaire et utilisation d'un wamkey ou je la découpe à la transmétal si cest moi qui doit faire la dépose.
Je peux me tromper mais je pense que c'est tout a fait le moment ou l'on peut extraire la dent et faire rapprocher 37 et 38. Je demanderais un avis ortho.

J'ai un cas un peu dans le meme genre au cabinet, patient de 13ans, 46 dévitalisée et reconstituée aevec un amalgame volumineux et toutes les autres dents saines. J'ai adressé à l'ortho pour un avis sur l'extraction de 46 et rapprochemen de 47 et 48. J'attends le RDV est début janvier.

A la fac, il y avait un prof de chir qui se débrouillait bien. Je me souviens que si on avait du mal pour une extraction, on l'appellait, en 20s l'extraction était terminée. Je l'ai assisté plusieurs fois et notamment une fois, pour une transplantation de dent chez une gamine de 15ans d'apres mes souvenirs. Elle avait une énorme carie surla 46. la dent a été extraite. Dans le meme temps opératoir, il a extrait la 48 pour la mettre à la place de la 46.


Marque a3 orange fyvhyq - Eugenol
Marc Apap

30/12/2010 à 13h27

Mon point de vue : on est dans la vraie vie, pas dans les livres de dentisterie.
La 36 est tout à fait récupérable. Et tu peux faire une couronne. Et après, dans 5 ans ou plus, la patiente jugera de ce qu'il faut faire. Il n'y a qu'une 7, ce n'est pas le moment de sacrifier la 6 et de faire de l'ortho. Sans parler du coût de l'opération.
Pourquoi se casser la tête quand les choses ne sont pas compliquées. Si tu veux vraiment un truc encore plus simple, tu fais faire une légère encoche ou relief près du collet en lingual pour le passage d'un arrache couronne, et tu scelles ta courone avec un carboxylate, qui permet une bonne tenue de la prothèse et un descellement facile.


RépondreCiter
209209668 fh2mys - Eugenol
fredo667

30/12/2010 à 14h22

Je trouve également l'idée original, mais je reste septique quand au gain entre le risque réeel de percolation et celui de bouffer légèrement ton moignon.

Pour éviter de l'abimer dans ce genre de cas, je passe la fraise verticalementet assez haut pour voir la limite haute du FM et l'intrados de la partie occlusale et je pars horizontalement en meulant plus de couronne que de moignon. Mais bon je t'avoue que ça ne m'empeche pas de dormir, y a plus grave...

Effectivement, cet instrument est plutot sympa


king_zoulou

30/12/2010 à 14h52

Si on commence à extraire des dents à une gamine de 13 ans sous le prétexte qu'elle soit dépulpée et ne puisse être restauré "que" par une couronne, ça risque de finir loin ;)


Ico v for vendetta08 jzhpep - Eugenol
ratinox

30/12/2010 à 16h11

J'ai déjà mésialé des 7 en place de 6 quand j'étais attaché en Odf en centre hospitalo-universitaire, avec des profs qui avaient de la bouteille.
Je précise que c'était en période de croissance, pas après quand c'est encore plus délicat.
C'est rarement satisfaisant, les 7 en place de 6 car même avec des gros arcs acier elles mésioversent plus que ne se déplacent en translation. T'as au final un plan occlusal pas super-top.
Alors peut-être de meilleurs praticiens que moi auraient fait quelque chose de mieux mais bon ces cas ne sont vraiment pas faciles car une molaire déplacée c'est comme deux prémolaires 4 et 5 qu'on aurait extraites et pour lesquelles il faut rétablir l'équilibre du restant.

Les 7 en place de 6 est une solution de dernier recours et pas la solution idéale qui, j'en conviens, est plaisante intellectuellement.


Grueavatar nptrc9 - Eugenol
Le Choixpeau magique

31/12/2010 à 00h08

king_zoulou écrivait:
---------------------
> Si on commence à extraire des dents à une gamine de 13 ans sous le prétexte
> qu'elle soit dépulpée et ne puisse être restauré "que" par une couronne, ça
> risque de finir loin ;)

Oui, alors qu'un bon inlay-core avec deux clavettes et une CC en ferraille bien sous-gingivale, c'est vite fait, vite vendu, et de toute façon quand elle fera le complet dans trente ans on sera déjà à la retraite.


RépondreCiter
Utilisateur banni

31/12/2010 à 12h41

Vue la pano, cette dent n'est pas à extraire. Virer une dent comme celle-là pour faire de l'odf, c'est une variante édulcorée de ce que faisaient nos copains il y a 40 ans: on arrache et on fait de la prothèse. Et les patients en sont très mécontents.

La dent est parfaitement sauvable. Le blabla de la fac sur les cc définitives, ça marche dans les bouquins. Dans la vraie vie, tu "bricoles" pour attendre qu'elle ait son permis de conduire, et d'ici là la dent est perdue.

Donc pour moi c'est couronne. Ton idée de fraisage est originale et a le mérite de l'être. Mais faut vraiment bien obturer cette partie par contre car le risque d'infiltration est important. Personnellement, je me serais borné à "sauver" la dent. L'aspect esthétique lié aux finances des parents, malheureusement là, ça passe en second.

Par contre, comme il a été dit, tu vas partir, la gamine va aller voir ailleurs et peut tomber sur un crétin qui va démolir ton travail et crier bien fort que t'étais une brêle (alors que pas du tout!). Et comme c'est le dernier qui a parlé qui a raison...

Ton idée était louable. Sauver la dent c'est déjà super. Après ,l'esthétique, l'assurance maladie s'en fout. Tu fais ton taf.


Bagheera tudzjy - Eugenol
bagheerra

31/12/2010 à 15h30

Tapavuméclé écrivait:
---------------------
> Par contre, comme il a été dit, tu vas partir, la gamine va aller voir ailleurs
> et peut tomber sur un crétin qui va démolir ton travail et crier bien fort que
> t'étais une brêle (alors que pas du tout!). Et comme c'est le dernier qui a
> parlé qui a raison...

J'espère que la patiente aura gardé le courrier que je lui ai fait, à destination de son praticien futur !


Logo wam1 surda3 - Eugenol
WAMkey

02/05/2011 à 22h30

Ma réponse intervient sans doute trop tard, mais bon, à tout hasard ou pour accroître vos connaissances pour un futur cas, il existe une solution à votre problème.


Il s'agit d'une version coudée en forme de U du WAMkey. Le système s'appelle Ukey. (cf pièce jointe)

Il comporte 2 instruments livrés avec un double gabarit (mêmes sections que les instruments) et des tiges de silisone (mêmes sections que les instruments).

LE PRINCIPE DE MISE EN OEUVRE

Vous préparez en créant une petite encoche au sommet du moignon correspondant à la section du gabarit choisi.

Avec votre empreinte, vous remettez au labo le gabarit qu'il utilisera pour monter ses cires tout en laissant un orifice en face linguale ou disto-linguale.

Au moment de sceller votre coiffe, vous poussez la tige de silicone dans l'orifice de la couronne pour qu'il vienne combler cet espace. Puis vous obturez au composite.

Pour desceller, il ne vous reste plus qu'à retirer le composite par fraisage, puis à tirer la tige de silicone avec une lime endo (ou similaire), puis à insérer le Ukey dans l'orifice disto lingual et à tourner (comme avec un WAMkey).

Et le tour est joué.

Nous avions lancé ce concept il y a quelques années, et très franchement, nous avions déjà tellement de mal à convaincre de l'utilité des WAMkey, que j'ai décidé de mettre le concept en standby.

Mais il est disponible. Il suffit de le commander par téléphone auprès de WAM (04 42 26 80 64)

Si vous avez besoin de plus d'info, n'hésitez pas également à me consulter

Epsn0013 plpuhs - Eugenol
Epsn0007 vvkhkl - Eugenol
Ukey mmmtk2 - Eugenol
B zfyhmt - Eugenol
A os1bov - Eugenol
Ukey anim  layvyb - Eugenol

Smile beach jgh0a1 - Eugenol
Céramik

03/05/2011 à 04h48

Question :
Cela réduit la hauteur de la dent taillée de 2 mm ou plus, donc la rétention de la couronne sur la dent sera bcp moins bonne, non ?

Et si un IC est présent et qu'on "sauve" la couronne
après démontage de l'IC (ou de la reconstruction), pour problème endo par exemple, la couronne sauvée sera-t-elle si utile, car la préparation aura été pas mal modifiée.


--
Céramik


flicflac

03/05/2011 à 07h03

Je crois que c'est prévu pour restauration cimenté sur pilier d'implant seulement. Ici on fait plus simple... fraise ronde perfore couronne et pilier, cimentation ciment falble type tempbond ou même tempbond et vaseline et remplire orifice avec composite. Ton concept est bon, mais plus couteux en lab... comparé au nombre de dépose que nous aurons à faire...