Cookie Consent byPrivacyPolicies.comgreffe onlay cas fini - Eugenol

greffe onlay cas fini

Avatar ow44t3 - Eugenol
Chicot

04/01/2011 à 22h04

Pour le fun ! car pas bcp de photos en ce moment sur nonol

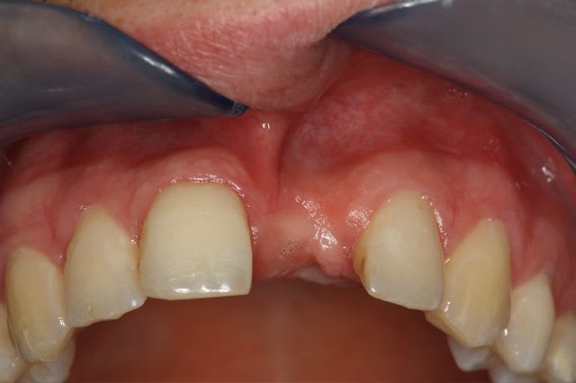
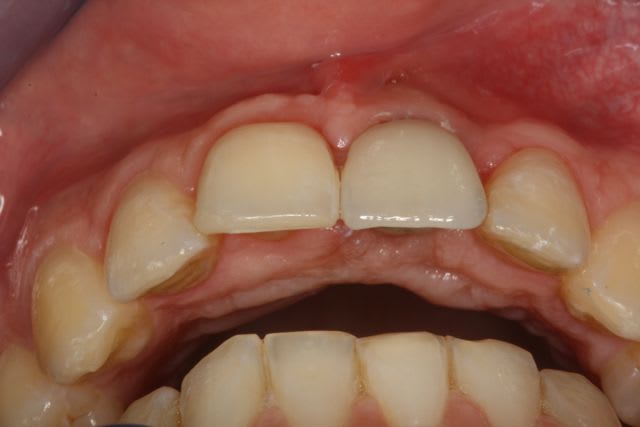
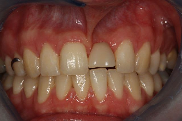
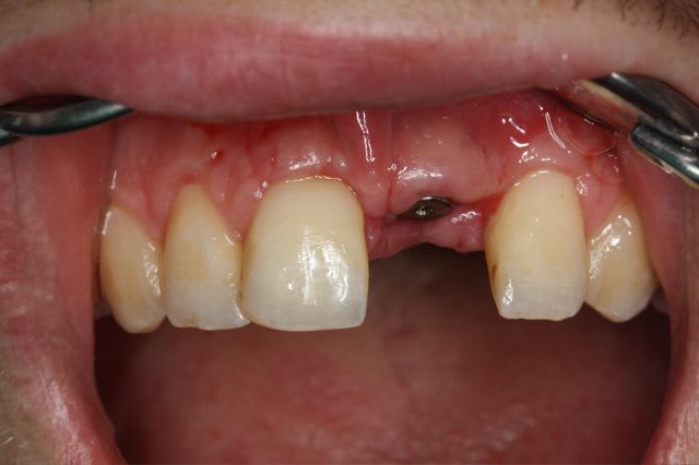
la dent était absente depuis 8 ans suite à "accident" de la vie (à 5h du mat'...)

très classiquement:
greffe onaly,
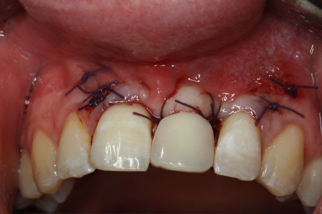
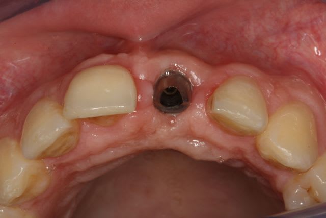
dépose des vis et pose de l'implant à 5mois1/2 avec un cj roulé et mise en place de la vis de cica,
et 3 mois 1/2 après empreinte
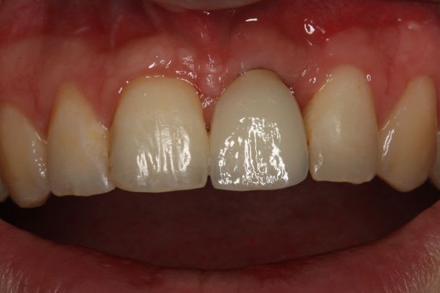
15j après essayage pilier et biscuit, visite au labo pour "finition en bouche" et 3 h après scellement.

en temporisation, la vieille PAP du patient (raison €€€ )

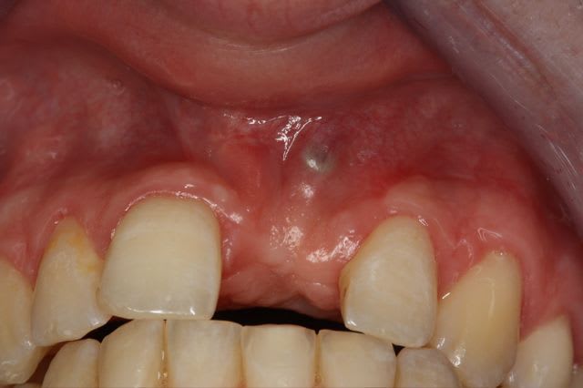
le liseré visible en cervicale n'est pas le pilier mais le petit suintement dut à la sonde pour enlever les excès de ciment

pour la greffe: un lit de copeaux généreux et un bloc corticale par dessus et des copeaux pour boucher les espaces. Pas de membrane par dessus, seulement le périoste.

--
;O)

Img 0422 2 l1bbs6 - Eugenol
Img 0424 opbwiy - Eugenol
Img 0425 wv8ujs - Eugenol
Img 0536 srqrms - Eugenol
Img 0532 qoo85b - Eugenol
Img 0533 b4w9uy - Eugenol
Img 0534 uspnek - Eugenol
Img 0537 cbrsep - Eugenol
Img 0539 g9xjrz - Eugenol
Img 0540 jootpg - Eugenol
Img 0542 gdz4pl - Eugenol
Img 1064 vl4wqu - Eugenol
Img 1065 pab5gv - Eugenol
Img 1069 op8oys - Eugenol
Img 1070 zqovuq - Eugenol
Img 1071 srekvs - Eugenol
Img 1072 dlscpu - Eugenol
Img 1073 kycxo0 - Eugenol
Img 1075 uzsne2 - Eugenol
Img 1083 aumpu5 - Eugenol

Avatar ow44t3 - Eugenol
Chicot

04/01/2011 à 22h06

suite

--
;O)

Img 1078 dozdlu - Eugenol
Img 1079 ehoeqy - Eugenol
Img 1080 m5bhh1 - Eugenol
Img 1132 gdpyot - Eugenol
Img 1133 jppomh - Eugenol
Img 1454 psqbyt - Eugenol
Img 1455 vzldjx - Eugenol
Img 1460 f02a12 - Eugenol
Img 1544 ekgelv - Eugenol
Img 1461 giywsg - Eugenol
Img 1545 msj3uy - Eugenol

Avatar ow44t3 - Eugenol
Chicot

04/01/2011 à 22h34

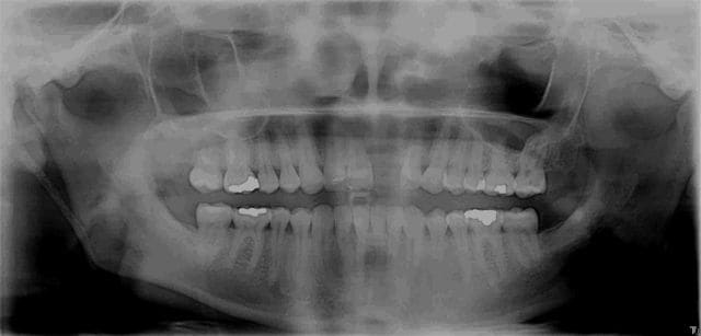
oups j'ai oublié l'OPT avant pdt et la rx après

--
;O)

Ramus1 f9pzlq - Eugenol
Ramus2 g3v6cg - Eugenol
R6 v9lbnf - Eugenol

ndecer

04/01/2011 à 22h37

Bonsoir,

avant tout très beau cas avec une indication bien posée et une belle réalisation.

Par contre une petite remarque pourquoi avoir fait une couronne aussi triangulaire? Accentuer le coté rectangulaire aurait permis une formation et un maintien plus facile de la papille distale. De plus cela aurait plus symétrique. Donc plus esthétique.

En dehors de ça je le répète c'est un très beau cas, la remarque que je fais est je l'éspère constructive.

Bonne soirée.


Photo pluton1b h9n4ea - Eugenol
pluton

04/01/2011 à 22h52

+1 pour la remarque sur la forme de la couronne

mais çà m'enlève rien a ta magnifique maîtrise...;-)
très beau résultat quand même...;-))


Cuisinier2 vnbbxx - Eugenol
jeff2

04/01/2011 à 23h06

Vu le peu de G.A, pourquoi ne pas avoir commencè par faire une greffe enfouie sur tout le secteur antérieur avant de faire ta greffe osseuse?


johnnybegood

04/01/2011 à 23h16

belle realisation

quel est la marque et modele d implant svp

nobel?


Avatar ow44t3 - Eugenol
Chicot

04/01/2011 à 23h23

jeff2 écrivait:
---------------
> Vu le peu de G.A, pourquoi ne pas avoir commencè par faire une greffe enfouie
> sur tout le secteur antérieur avant de faire ta greffe osseuse?

manque de GA ?????? Greffe enfui ???? tu parle de conjonctif ou de G.A. ???

j'avais pas remarqué un défaut gingival mais plutôt osseux....


pour la forme de la couronne c'est vrai, je suis 100% d'accord.

Mais comme le patient ne découvre pas, c'est pas trop important pour lui.

--
;O)


Avatar ow44t3 - Eugenol
Chicot

04/01/2011 à 23h25

johnnybegood écrivait:
----------------------
> belle realisation
>
> quel est la marque et modele d implant svp
>
> nobel?

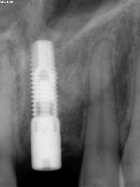
nobel effectivement: RP Replace Groovy 4*13

je suis en train de poser mes premiers astra plateform switching en antérieur.

--
;O)


Image001 e0kg9q - Eugenol
clemsdent

04/01/2011 à 23h27

tu n'as pas mis de membrane:

Je me souviens d'un cours du Prof. Zöller à Cologne, qui ne recommande pas les membranes, car ça gênerait l'alimentation sanguine du greffon à partir du perioste.

super ton cas,
on ne s'attend pas à ce résultat au départ, la papille est la, malgré les "reproches" sur la forme de la couronne.






Blason dql7mj - Eugenol
growler

04/01/2011 à 23h28

ndecer: "Par contre une petite remarque pourquoi avoir fait une couronne aussi triangulaire? "

parce que le patient n'avait pas les €€€ pour que notre chicot prépare le profil d'émergence gingival par une provisoire implantoportée. Mais ça mon chicot tu vas nous le faire la prochaine fois hein!( et même si le patient n'a pas les sous, just for fun and very beautiful result)

bravo mon chicot!


Image001 e0kg9q - Eugenol
clemsdent

04/01/2011 à 23h29


C'est une reprise de carie sur la 27?

...


Photo pluton1b h9n4ea - Eugenol
pluton

04/01/2011 à 23h30

johnnybegood écrivait:
----------------------

> nobel?

t'avais pas reconnu le trilobe?
dernière photos de son premier post juste avant les coupes scan...;-)
c'est un speedy, si ma mémoire est bonne en 4.3mm (plateforme jaune)


Pépélaratiche

05/01/2011 à 00h31

1. très joli

2. pour la couroone c est aussi les prothésistes qui pfs ont peur de faire trop compressif au niveau de la gencive en élargissant les profils... Il faut simplement le leur demander et éviter de trop les emmerder avec les gencives molles sur modèles qui les gênent plus qu elles ne les aident ds leur travail...

Conclusion : svt on parle pas assez à nos proteux...

Pp


johnnybegood

05/01/2011 à 01h32

non j arrivais justement pasa voir la connexion...mais sui en traindevoir pourdes loupes pluton


Avatar ow44t3 - Eugenol
Chicot

05/01/2011 à 08h34

pluton écrivait:
----------------
> johnnybegood écrivait:
> ----------------------
>
> > nobel?
>
> t'avais pas reconnu le trilobe?
> dernière photos de son premier post juste avant les coupes scan...;-)
> c'est un speedy, si ma mémoire est bonne en 4.3mm (plateforme jaune)

Non pas speedy mais straight: apex moins agressif et implant moins compressif

J'ai eu beaucoup de craterisation avec le speedy ( surtout sur des sites anciens ) et sur une greffe je préfère la mise en place plus douce du straight pour ne pas risquer de 'décoller' le greffon cortical
--
;O)


Avatar ow44t3 - Eugenol
Chicot

05/01/2011 à 08h37

clemsdent écrivait:
-------------------
>
> C'est une reprise de carie sur la 27?
>
> ...
>

P'etre bien ! Je contrôlerai ça au prochain contrôle mais sur les OPT c'est souvent trompeur

--
;O)


Avatar ow44t3 - Eugenol
Chicot

05/01/2011 à 08h41

Pépélaratiche écrivait:
-----------------------
> 1. très joli
>
> 2. pour la couroone c est aussi les prothésistes qui pfs ont peur de faire trop
> compressif au niveau de la gencive en élargissant les profils... Il faut
> simplement le leur demander et éviter de trop les emmerder avec les gencives
> molles sur modèles qui les gênent plus qu elles ne les aident ds leur travail...
>
> Conclusion : svt on parle pas assez à nos proteux...
>
> Pp

+1 et pourtant on se tel tout les jours !

Autre remarque:
Malgré la 'finition au labo' le glaçage est trop marqué, ce qui rend la dent un peu trop brillante par rapport au autre d'ou l'aspect chouilla trop neuf. mais a part nous avec nos yeux trop exigent qui le voit ?

--
;O)


Blason dql7mj - Eugenol
growler

05/01/2011 à 09h05

Pépélaratiche écrivait:
-----------------------
> 1. très joli
>
> 2. pour la couroone c est aussi les prothésistes qui pfs ont peur de faire trop
> compressif au niveau de la gencive en élargissant les profils... Il faut
> simplement le leur demander et éviter de trop les emmerder avec les gencives
> molles sur modèles qui les gênent plus qu elles ne les aident ds leur travail...
>
> Conclusion : svt on parle pas assez à nos proteux...
>
> Pp


c'est pour cette même raison que parfois, lorsque je n'ai pas temporisé par une provisoire anatomique mais seulement avec un pilier de cicat au diamètre le plus approprié, je prépare moi-même l'émergence gingivale sur le modèle en fraisant le masque gingival avec une fraise diamantée gros grain montée sur contre-angle bague rouge.

@+


Avatar ow44t3 - Eugenol
Chicot

05/01/2011 à 09h24

growler écrivait:
-----------------
> ndecer: "Par contre une petite remarque pourquoi avoir fait une couronne aussi
> triangulaire? "
>
> parce que le patient n'avait pas les €€€ pour que notre chicot prépare le profil
> d'émergence gingival par une provisoire implantoportée. Mais ça mon chicot tu
> vas nous le faire la prochaine fois hein!( et même si le patient n'a pas les
> sous, just for fun and very beautiful result)
>
> bravo mon chicot!

Ok ok promis j'y penserais.

Mais en pratique, tu préfères mettre ta prov au deuxième temps chir si 2 temps ou après la vis de cica à 3 mois si 1 temps chir ou encore tu systématises la MCI en unitaire dès que ton couple est suffisant.

Ici j'avais un bon couple mais sur une greffe j'ai pas voulu aller trop loin !

Sinon ton truc de dégager a la fraise le plâtre ok, on fait un peu pareil mais sans excès sinon compression énorme à la mise en place du pilier. Tu gères comment ?
AL et incision a la lame 15 mesial et distale ?

;0) chicot qui a toujours soif..... de connaissance !

--
;O)


Avatar jt8tlq - Eugenol
bogenom

05/01/2011 à 10h01

Merci pour cette belle presentation


Utilisateur banni

05/01/2011 à 12h25

Chicot écrivait:
----------------
> Autre remarque:
> Malgré la 'finition au labo' le glaçage est trop marqué, ce qui rend la dent un
> peu trop brillante par rapport au autre d'ou l'aspect chouilla trop neuf. mais a
> part nous avec nos yeux trop exigent qui le voit ?

une solution est de demander une finition poli qui a un rendu plus naturelle


blue sky

05/01/2011 à 14h23

Bravo, belle prestation.


Avatar ow44t3 - Eugenol
Chicot

05/01/2011 à 18h24

Sorry mais à 7h41 sur mon IPad j'ai envoyé un post truffé de 'fot' d'ortograf'

--
;O)


Blason dql7mj - Eugenol
growler

05/01/2011 à 19h18

Chicot écrivait:
----------------
> growler écrivait:
> -----------------
> > ndecer: "Par contre une petite remarque pourquoi avoir fait une couronne aussi
> > triangulaire? "
> >
> > parce que le patient n'avait pas les €€€ pour que notre chicot prépare le
> profil
> > d'émergence gingival par une provisoire implantoportée. Mais ça mon chicot tu
> > vas nous le faire la prochaine fois hein!( et même si le patient n'a pas les
> > sous, just for fun and very beautiful result)
> >
> > bravo mon chicot!
>
> Ok ok promis j'y penserais.
>
> Mais en pratique, tu préfères mettre ta prov au deuxième temps chir si 2 temps
> ou après la vis de cica à 3 mois si 1 temps chir ou encore tu systématises la
> MCI en unitaire dès que ton couple est suffisant.
>
> Ici j'avais un bon couple mais sur une greffe j'ai pas voulu aller trop loin !
>
> Sinon ton truc de dégager a la fraise le plâtre ok, on fait un peu pareil mais
> sans excès sinon compression énorme à la mise en place du pilier. Tu gères
> comment ?
> AL et incision a la lame 15 mesial et distale ?
>
> ;0) chicot qui a toujours soif..... de connaissance !
>
> --
> ;O)



si c'est du 2 temps je préfère mettre en place une provisoire anatomique dès la réouverture. Oui je privilégie le 1 temps avec reconstitution immédiate.
Sinon, si j'utilise un pilier de cicat, je choisis le diamètre qui se rapproche le plus de l'émergence voulue et de cette façon, même après avoir retouché un peu la fausse gencive, je n'ai pas de problème de compression exagérée à la pose.


12