Cookie Consent byPrivacyPolicies.comProthésiste au cabinet - Eugenol

Prothésiste au cabinet

marie27

11/01/2011 à 10h39

Bonjour,

je suis à la recherche des témoinages (positif ou négatif) à propos de l'idée d'avoir son prothésiste sur place, système très repandu en Allemagne par ex.
Biensur, il ne pourra pas tout faire, mais une grosse partie du secteur mobile, ortho, plâtre, rep...

Merci d'avance pour vos reponses et, on est encore dans les temps, Bonne Année à tout le monde!


arnak

12/01/2011 à 12h02

Bonne idée, mais pourquoi donc ne pourrait-il pas tout faire?


S2y2o1v7q53ws4r5wy6ou8czrpom - Eugenol
pxav

12/01/2011 à 13h44

marie27 écrivait:
-----------------
> Bien sur, il ne pourra pas tout faire, mais une grosse partie du secteur mobile,
> ortho, plâtre, rep...
>
et pourquoi pas faire de la fixe?
Prothésiste, c'est un vrai métier, il faut l'employer comme tel.
labo sur place depuis 89, et il font deux trois bricole, sympa.t

--
xbk
La théorie, c'est quand on sait tout et que rien ne fonctionne. La pratique, c'est quand tout fonctionne et que personne ne sait pourquoi. Albert EINSTEIN

Img 5390 u5bxjf - Eugenol
Img 5403 rvb7jn - Eugenol
Img 5388 frz1dq - Eugenol

3 76 hchzpi - Eugenol
kingkong

12/01/2011 à 14h03

Salut , t'as pas besoin d'un prothé pour faire de la bouse ( mode ironik)


Smile beach jgh0a1 - Eugenol
Céramik

12/01/2011 à 16h17

pxav écrivait:
--------------
> marie27 écrivait:
> -----------------
> > Bien sur, il ne pourra pas tout faire, mais une grosse partie du secteur
> mobile,
> > ortho, plâtre, rep...
> >
> et pourquoi pas faire de la fixe?
> Prothésiste, c'est un vrai métier, il faut l'employer comme tel.
> labo sur place depuis 89, et il font deux trois bricole, sympa.t
>
> --
> xbk
> La théorie, c'est quand on sait tout et que rien ne fonctionne. La pratique,
> c'est quand tout fonctionne et que personne ne sait pourquoi. Albert EINSTEIN

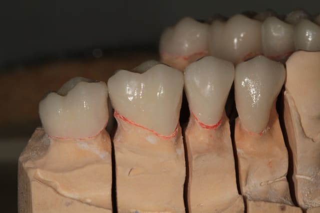
Dommage pour l'usure antérieure non compensée...
Les facettes d'usure sur les dents antérieures sont signe d'une occlusion instable. Sinon, beau boulot de céram...



--
Céramik


marie27

12/01/2011 à 16h47

Merci pour vos reponses...
Pourquoi pas la fixe?
Je ne mets pas en question le savoir-faire du prothésiste, mais niveau investissement gros matériel ce n'est plus le même calibre: four, fronde, sableuse, four à céram...et la place qui va avec! Puisque je ne compte pas à faire de la bouse...;))

(Joli boulot, fait "sur place"?)


01 ukhwbq - Eugenol
Bobby

12/01/2011 à 17h54

Le "in house", c'est porteur en horlogerie, pourquoi pas en dentisterie? Un bon moyen de tout maîtriser de A à Z ( c'est tellement bon de tout maîtriser mdr), coûts y compris, et de ne pas dépendre d'un tiers...
Après, c'est vrai que ça doit demander pas mal de place et d'investissement!
Les points de contact ont l'air soignés sur ton travail, je le souligne car c'est pour moi un des gros problèmes avec la plupart des quelques prothésistes avec lesquels j'ai eu l'occasion de travailler.


Dos02 qpcfgi - Eugenol
Rick

12/01/2011 à 19h22

Scie à dies plus performante pour ton prothésiste pxav ;)

Marie faut prévoir local adapté, les normes du travail ont beaucoup évolué, dans votre profession vous n'êtes pas trop assaillis avec les contrôles mais ça pourrait venir, parfois à partir d'un incident mineur.
Matériel, fournitures et salaire faire des calculs sur 12 mois, ça fera réfléchir ;)


marie27

12/01/2011 à 19h23

Je ne le cache pas, j'ai déjà fait ma petite expérience, mais justement...pas en France (d'ou mon interêt d'écouter vos avis)
Et je peux vous dire que c'est très benifique pour le dentiste et le prothésiste de se regarder mutuellement "dans la marmitte", on comprend mieux le métier (et ses difficultés!!) de l'autre.
Alors je cherche à comprendre à travers des témoinages pourquoi ce système ne se développe pas en France?
(Pas de soucis au niveau de mes points de contact, j'ai de la chance;)


S2y2o1v7q53ws4r5wy6ou8czrpom - Eugenol
pxav

12/01/2011 à 20h37

Rick écrivait:
--------------
> Scie à dies plus performante pour ton prothésiste pxav ;)
>
il est très clair que nous ne séparons pas les dies tip top, (il est même possible que je sois le fautif) mais je demande avant tout que le die ne "bouge" pas et que les limites soit parfaitement "protégées".
De plus la séparation est faite exclusivement au disque diam su pam d'où les "bougés".


--
xbk


S2y2o1v7q53ws4r5wy6ou8czrpom - Eugenol
pxav

12/01/2011 à 20h41

Bobby écrivait:
---------------

> Les points de contact ont l'air soignés sur ton travail, je le souligne car c'est pour moi un des gros problèmes avec la plupart des quelques prothésistes avec lesquels j'ai eu l'occasion de travailler.

les points de contacts sont vérifiés, inspectés, retouchés si besoin par ma pomme au stade de la cire, est à la phase caractérisation (céram) idem pour l'occlusion, là les 8 pressées ,furent posés sans retouche notable d'occlusion ni des points de contacts.


--
xbk


Avatar reduit tuudiu - Eugenol
saitosama

13/01/2011 à 08h51

marie27 écrivait:
-----------------

> Alors je cherche à comprendre à travers des témoinages pourquoi ce système ne se
> développe pas en France?

Tout bêtement le coût. Le CD français est parmi les moins bien rémunéré tous pays industrialisés confondus, avec ses soins bénévoles, sans compter que le taux de prélèvements est lui parmi les plus haut...


Capture d  cran 2015 03 12 12.28 - Eugenol
chicot29

13/01/2011 à 09h19

Un protho avec un cerec serait ideal, mais avec une assistante en plus il y a interet que le cabinet tourne !
Tout relachement et baisse de forme du praticien est interdit sous peine de découvert bancaire.
En plus tu mets quoi sur la facture prothésiste ? le prix des materiaux ? qu'elle marge ils font ces cochons de dentistes !


marie27

13/01/2011 à 10h45

chicot29 écrivait:
------------------
> Un protho avec un cerec serait ideal, mais avec une assistante en plus il y a
> interet que le cabinet tourne !

Pourquoi tout de suite le cerec? Y a aussi la prothèse amovible, les provisoires, les appareils ortho, gouttières, cires et j'en passes...

> En plus tu mets quoi sur la facture prothésiste ? le prix des materiaux ?
> qu'elle marge ils font ces cochons de dentistes !

Deux possibilités:
1.le labo est une structure à part ( sous forme de EURL par ex.), donc comptabilité à part et facturation selon tarif prothèse courant...
2. Le prothésiste est à son compte mais installé dans tes locaux, donc facturation directe par lui (pas de salaire dans ce cas).


marie27

13/01/2011 à 10h52

saitosama écrivait:
-------------------
> marie27 écrivait:
> -----------------
>
> > Alors je cherche à comprendre à travers des témoinages pourquoi ce système ne
> se
> > développe pas en France?
>
> Tout bêtement le coût. Le CD français est parmi les moins bien rémunéré tous
> pays industrialisés confondus, avec ses soins bénévoles, sans compter que le
> taux de prélèvements est lui parmi les plus haut...

Je suis d'accord, le système de SECU en Allemagne n'est pas tout à fait le même...


Dos02 qpcfgi - Eugenol
Rick

13/01/2011 à 11h29

"Deux possibilités:
1.le labo est une structure à part ( sous forme de EURL par ex.), donc comptabilité à part et facturation selon tarif prothèse courant..."
Et tu aurais alors une activité commerciale? Pourquoi pas.

"2. Le prothésiste est à son compte mais installé dans tes locaux, donc facturation directe par lui (pas de salaire dans ce cas)."
Facturation à tes tarifs ou libre choix pour le prothésiste?
À qui appartiennent le matériel, et quid des frais d'agencement?
Certes, intérêt de lui donner du travail à temps complet autrement risque pour toi qu'il cherche d'autres praticiens pour survivre ;)


Grueavatar nptrc9 - Eugenol
Le Choixpeau magique

13/01/2011 à 12h18

marie27 écrivait:
-----------------
> 2. Le prothésiste est à son compte mais installé dans tes locaux, donc
> facturation directe par lui (pas de salaire dans ce cas).

Ca le conseil de l'ordre n'est pas d'accord. Je connais un cab où le protho indépendant est dans des locaux mitoyens au cabinet, l'ordre les a obligés à faire fermer la porte de communication entre les deux parties !


marie27

13/01/2011 à 14h50

Peu importe qui achète, tout apartient à l'investisseur. Si c'est le CD le prothésiste loue le local "meublé". Les cabs sont souvent déjà équipés d'un "petit coin prothèse" pour le plâtre et/ou avec une pièce à main pour les retouches...
Et s'il est à son compte il peut travailler pour plusieurs clients, pourquoi pas? Avec priorité pour le CD sur place biensur, et un tarif convenable pour les deux(plus de frais de livraison par ex.)
Par contre s'il est employé, au CD de fournir une quantité de travail suffisant pour amortir son salaire...mais ça devrait faire partie du prévisionel avant toute installation...


marie27

13/01/2011 à 14h54

Le Choixpeau magique écrivait:
------------------------------
> marie27 écrivait:
> -----------------
> > 2. Le prothésiste est à son compte mais installé dans tes locaux, donc
> > facturation directe par lui (pas de salaire dans ce cas).
>
> Ca le conseil de l'ordre n'est pas d'accord. Je connais un cab où le protho
> indépendant est dans des locaux mitoyens au cabinet, l'ordre les a obligés à
> faire fermer la porte de communication entre les deux parties !

A vrai dire je ne vois pas pourquoi...au moment ou les mesures d'hygiène et la discretion sont respectées?!


Logo vuaztn - Eugenol
mac

13/01/2011 à 14h59

chicot29 écrivait:
------------------
> Un protho avec un cerec serait ideal, mais avec une assistante en plus il y a
> interet que le cabinet tourne !
> Tout relachement et baisse de forme du praticien est interdit sous peine de
> découvert bancaire.
> En plus tu mets quoi sur la facture prothésiste ? le prix des materiaux ?
> qu'elle marge ils font ces cochons de dentistes !


!!!!!!!


87 ujotte - Eugenol
Spatouille

13/01/2011 à 20h43

mac écrivait:
-------------
> chicot29 écrivait:
> ------------------
> > Un protho avec un cerec serait ideal, mais avec une assistante en plus il y a
> > interet que le cabinet tourne !
> > Tout relachement et baisse de forme du praticien est interdit sous peine de
> > découvert bancaire.
> > En plus tu mets quoi sur la facture prothésiste ? le prix des materiaux ?
> > qu'elle marge ils font ces cochons de dentistes !
>
>
> !!!!!!!


???????

sinon +1


87 ujotte - Eugenol
Spatouille

13/01/2011 à 20h48

il y a aussi la possibilité des mettre les locaux en sci avec un loyer pour chacune des parties au prorata de la surface utilisée, le materiel appartenant à l'investisseur ... les tarifs sont aussi discutés ...

je trouve énorme de connerie le coup de la condamnation de la porte de liaison par le CO. j'aimerais bien connaitre l'argumentation .


al13

13/01/2011 à 22h23

Desolé , je dois etre un peu debile mais cette question de prendre un proto dans le cab me laisse dubitatif....

Deja que l'on est tous emmer... dans nos relations avec les AD
pourquoi rajouter un risque de probleme aussi grand ??

Et si le super proto qui te faisait de si belles ceram commence a craquer et bacle son travail ,bonsoir pour le virer
Je doute fort de la competence des Prud'hommes pour apprecier que le point de contact n'est plus ce qu'il etait , etc ..

Tout externaliser en France !


Capture d  cran 2015 03 12 12.28 - Eugenol
chicot29

14/01/2011 à 01h22

Ou hors de france ! )))))


Wra300x300 gotue6 - Eugenol
hop

14/01/2011 à 01h46

Ou un proto auto-entrepreneur ( CA < 81500 zeuros ).
Il paye lui-même assez peu de charges et loue le local à ta SCI.